Эстетическая сторона вопроса
Подростки в любые времена заботятся о своем внешнем виде, особенно это актуально для девочек.
Вот почему, кроме изначально изобретенных металлических систем, производители разработали множество других вариантов.
Некоторые из них практически неразличимы, другие же просто привлекательно выглядят:
- Керамические.
Пластины и дуги белого цвета практически сливаются с цветом зубов и различимы только при близком рассмотрении. Самые популярные системы – ClarityAdvanced и DamonClear, которые отличаются типом фиксации. - Сапфировые.
Изготавливаются из прозрачных кристаллов, специально выращенных для этой цели. Такие системы выглядят как украшение зубов.Производители предлагают модели InspireICE, Radiance, DamonClear. - Золотые.
Пластины и дуги изготовлены из металла, покрытые позолотой. Системы марки Incognito выглядят привлекательно и стильно. - Лингвальные
. Эти конструкции незаметны в силу того, что установлены внутри зубного ряда. К лингвальным относятся модели Stb, In-Ovation-L.
Каждая из этих конструкций обладает своими плюсами и минусами, но всех их объединяет одно свойство – высокая стоимость.
Впрочем, для современных подростков высокая цена брекетов становится дополнительным плюсом и стимулом к их установке, так как это модно и престижно.
Комплексные системы могут стать компромиссом. Часть скоб, которые хорошо видны во рту при улыбке, выполняется из дорогого материала.
Другие же элементы изготавливают из металла и помещают их на нижние и жевательные зубы, то есть в те места, где они наименее заметны.
Система In-Ovation-C комбинирует пластины из керамики и стального замка, полукерамические модели Clarity SL и Damon 3 являются комбинацией керамических элементов с замками и пазами из стали.
Производители
Изготавливают эти ортодонтические аппараты разные производители.
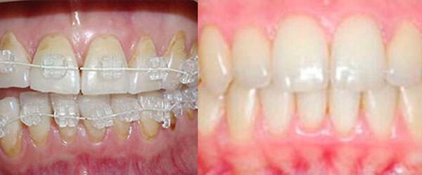
Inspire ICE от Ormco
В них учтены все недостатки предыдущих поколений, поэтому Inspire ICE пользуются заслуженной популярностью.

фото: до и после лечения
Особая платформа каждого брекета имеет специальное покрытие из микроскопических циркониевых шариков, которые при нанесении клеящего вещества создают максимальную силу сцепления с зубом. При этом свойства покрытия позволяют с легкостью снять брекеты после окончания лечения.
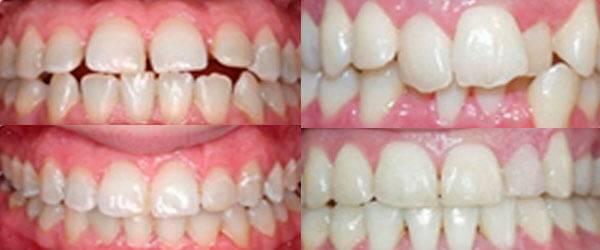
Damon Clear
Это самолигирующая пассивная система, которая имеет ряд преимуществ. В частности, это касается конструкции. Прежде всего, нужно отметить ромбовидную форму и скругленные края, которые увеличивают комфорт при ношении. Используя эту систему, нет необходимости в частом посещении стоматолога для активации дуги.

фото: до и после
Паз закрывается с помощью особого запатентованного механизма Spin Tek, который позволяет проводить необходимые манипуляции (замену дуги) быстро и не причиняя пациенту дискомфорта.
При открывании замка не происходит давления на зуб. Крепление к поверхности эмали очень прочное и надежное, благодаря лазерному протравливанию базиса брекетов.
Мiso
Также безлигатурная система, отличием которой является свободная фиксация дуги без ее блокирования. Это достигается благодаря наличию в конструкции специальных скользящих фиксаторов, которые схожи по внешнему виду с задвижкой.
Такой тип фиксации упрощает коррекцию и позволяет не слишком часто посещать ортодонта, а также облегчает уход.
Radiance от American Orthodontics
Основное преимущество этой классической лигатурной системы состоит в особом основании каждого брекета, имеющем запатентованное название «Quad-Matte».
Его особенность состоит в том, что по периметру крепление к эмали гораздо слабее, чем в центральной части. Это обеспечивает сохранность эмали и легкость снятия без ущерба для зубов и применения специальных инструментов.
Pure от OrthoTechnology
Отличаются аккуратностью формы, миниатюрными размерами и прочностью крепления, которая обеспечивается нанесением порошкового диоксида циркония на основания каждого элемента.

фото: результат лечения
Установленная система смотрится как украшение, так как пропускает не только естественный дневной свет, но и неоновый. Из-за этой особенности подойдет активным молодым людям.
Сапфировые брекеты
Сапфировая брекет-система является самой дорогостоящей, так как изготавливают ее из искусственного сапфира. Этот материал обладает высочайшей прочностью. Он позволяет изготовить конструкцию для лечения тяжелых патологий. Но главное преимущество сапфировых скоб — незаметность. Они полностью прозрачные, поэтому практически невидимы для окружающих. Если пациент закажет белую дугу, то мало кто догадается о том, что он проходит лечение у ортодонта. Есть и другие плюсы у таких брекет-систем:
- имеют гипоаллергенные свойства;
- позволяют быстро адаптироваться;
- не вызывают проблем с дикцией;
- более устойчивы к красителям.
Главный минус сапфировой системы — дороговизна. Также ее невозможно установить на внутренней стороне зубного ряда.
Зачастую пациенту приходится выбирать между металлическими и пластиковыми конструкциями, которые стоят не так дорого, как керамические и сапфировые. Однако материал скоб — не единственное основание, по которому их классифицируют. Узнаем, какие еще виды брекетов существуют.
Брекеты для изменения прикуса
Лечение прикуса с помощью брекетов – очень распространено у детей и взрослых. Большой ассортимент видов систем позволяет решить проблемы многих направлений и запросы широкого круга пациентов.
В нашей клинике пациенту предложат несколько брекет-систем с возможностью решить одну и ту же проблему с разным уровнем затрат, продолжительностью терапии и уровнем комфорта при ношении конструкции.
Тем не менее, только так большинство пациентов сможет устранить патологии прикуса и избавиться от проблем со здоровьем.
Бюджетный и доступный вариант – вестибулярная система, к которой прибегает большинство пациентов. Стоимость определяется конструкцией и материалом. Самые дорогие и высококачественные конструкции – системы из золота. Для уменьшения визуального контраста и снижения заметности скоб на зубах применяются керамические материалы. Сапфировый вид дешевле керамики и визуально привлекательнее металла. Преимуществом таких конструкций признана гипоаллергенность материала, снижение раздражения слизистых и наличие бесцветной дуги.
Противопоказания
Установка брекетов подросткам категорически противопоказана в следующих случаях:
- Острые психические расстройства. Противопоказание связано с тем, что подросток при обострении может повредить систему или собственные зубы. Кроме того, пациенты, страдающие психическими расстройствами, не всегда могут осуществлять полноценный уход за конструкцией.
- Болезни костных тканей. После изменения положения зубов меняется и положение костей черепа, что может сказаться на здоровье.
- Болезни эндокринной и иммунной систем. К ним относится и сахарный диабет любого типа.
- Лейкоз, проблемы со свертываемостью крови.
- Туберкулез.
- Злокачественная опухоль.
- Патологические состояния сердечно-сосудистой системы.
- ВИЧ, венерические заболевания.
Есть и относительные противопоказания, при устранении которых можно приступить к исправлению прикуса брекет системой.
К ним относятся следующие патологии:
- заболевания десен;
- невозможность проведения гигиенических процедур в период ношения брекетов;
- бруксизм (бессознательный зубной скрежет по ночам);
- проблемы с височно-челюстным суставом.
Показания к применению
Брекеты помогают устранить многие проблемы неправильного положения зубов в ряду и исправить разные патологии прикуса. Применять подобное лечение рекомендуется не раньше 10-12 лет. Это время идеально для работы с ортодонтическими системами из-за совпадения ношения корректирующих конструкции с периодом интенсивного роста костей черепа и зубов. Но более старший возраст подходит для использования систем.
Брекеты применяются для работы со следующими дефектами:
- уменьшение межзубных щелей у передних зубов и в зоне улыбки;
- неправильное и несимметричное положение единиц в челюсти (дистопия);
- большая скученность единиц ряда;
- неравномерное развитие одной из челюстей (отставание или избыточный рост);
Брекеты подходят не всем пациентам, так как давление на зубы и постоянный контакт с инородным материалом скоб плохо влияет на эмаль и микрофлору в полости рта. По состоянию здоровья зубов и наличию ряда системных заболеваний брекеты могут быть противопоказаны для применения. Противопоказания для ношения брекетов:
- ослабленная или поврежденная эмаль;
- пародонтит,
- отсутствие большого количества зубов в челюсти;
- бруксизм;
- аллергия на металлы;
- иммунные заболевания (в том числе ВИЧ);
- туберкулез;
- онкология.
Этапы лечения брекетами
Улыбка – это одно из главных достоинств людей. К сожалению, не всегда все зубы выглядят так, как мы хотели бы видеть. Неровные зубы или неправильный прикус могут существенно влиять на внешний вид и самооценку человека. Один из самых эффективных способов исправления этих проблем – использование брекетов. В этой статье мы рассмотрим основные этапы лечения брекетами и процесс достижения идеальной улыбки.
Этап 1: Предварительная диагностика и консультация
Перед началом лечения брекетами, пациенту необходимо пройти предварительную диагностику и консультацию со специалистом – ортодонтом. Во время этой встречи ортодонт проведет осмотр полости рта, сделает рентгенограммы и сфотографирует зубы пациента. На основании полученных данных ортодонт сможет определить степень проблемы и выбрать наилучший способ лечения.
Этап 2: Подготовка полости рта
Перед установкой брекет-системы необходимо провести ряд процедур для подготовки полости рта. Это может включать очищение зубов от налета и зубного камня, лечение кариеса, удаление лишних зубов или поправку состояния десен. Цель этих процедур – создать оптимальные условия для последующей установки и ношения брекетов.
Этап 3: Установка брекет-системы
После подготовки полости рта, специалист приступает к самому важному этапу – установке брекет-системы. Брекеты – это небольшие металлические или керамические элементы, которые крепятся к каждому зубу с помощью специального клея
Они соединены между собой тонким эластичным держателем, который называется дугой. Именно дуги оказывают давление на зубы, постепенно перемещая их в желаемое положение.
Этап 4: Регулярные посещения и регулировка брекет-системы
После установки брекет-системы пациент должен регулярно посещать ортодонта для регулировки. Во время каждого визита специалист будет заменять дуги, регулировать силу и направление давления на зубы, чтобы продолжить движение к идеальной улыбке. Эти визиты обычно происходят примерно каждые 4-6 недель.
Этап 5: Ношение удерживающих аппаратов
Удерживающие аппараты помогают сохранить новое положение зубов и стабилизировать результаты лечения. Обычно это съемные ретейнеры или проволочные дуги, которые носятся в течение определенного периода времени. Ортодонт определит необходимую продолжительность ношения удерживающих аппаратов, обычно они используются в течение нескольких месяцев или даже лет.
Этап 6: Поддержание результатов
После завершения лечения брекетами и использования удерживающих аппаратов, пациенту будет предложено поддерживать результаты самостоятельно. Это включает в себя правильную гигиену полости рта, регулярное посещение дантиста для профессиональной чистки и осмотра. Также следует избегать привычек, которые могут повредить зубы или брекет-систему, такие как неправильная пища или курение.
Показания к применению
Скобки на зубы ставятся в следующих случаях:
- Все виды патологии прикуса.
- Патологическое расширение или сужение неба.
- Одна челюсть опережает по скорости роста другую.
- Зубы располагаются неправильно.
- Между зубами в зоне улыбки слишком большие промежутки.
Следует отметить, что эти показания справедливы лишь по отношению к детям. Со взрослыми все немного сложнее по следующим причинам:
- Челюсть взрослого человека полностью сформирована. Поэтому увеличить или уменьшить небо не получится. Поэтому скобы в основном применяются лишь для устранения избыточного расстояния между зубами в зоне улыбки и коррекции аномального прикуса.
- У взрослых людей коррекцию зубов лучше выполнять брекет-системами, а скобы для зубов применять лишь как средство закрепления полученного ранее результата.
- Чем раньше у взрослого человека будет выявлена проблема с зубным рядом, тем проще будет устранить дефекты полости рта с помощью скоб на зубы.
Показания к установке
Показаниями к установке считают:
- неправильный прикус;
- выраженные промежутки между зубами либо скученность;
- смещение одной или нескольких единиц;
- поворот зуба вокруг своей оси;
- травмы челюсти, патологии ВНЧС;
- диспропорция лица.
Эти факторы зачастую обнаруживаются ещё в детстве. Чем раньше будет начато лечение, тем меньше времени оно займёт и стабильнее будет результат
Однако при выборе ортодонтических конструкций для детей следует уделять особое внимание возрасту пациента. Обычно лучше использовать корректирующие пластины, поскольку брекеты устанавливают только после формирования постоянного прикуса (иногда детям показаны брекеты на несколько зубов)

Как работают системы
Аномальное расположение резцов и моляров при серьезных патологиях вызывает необходимость применения брекет-систем, так как скобы лучше всего применять для закрепления полученных результатов, или в лечении неправильного прикуса в детском и подростковом возрасте.
Эффективность брекетов обеспечивает дуга. Она обладает упругостью, и ее стремление выпрямиться оказывает механическое воздействие на единицы челюстного ряда.
Смещение основано на том, что каждый альвеолярный отросток имеет запас динамики, и поэтому под давлением происходит плавное перемещение зуба в нужное положение.
Конструкция будет оказывать терапевтический эффект если при установке соблюдаются следующие правила:
- пластины крепится на коронковую часть зуба исходя из предусмотренного лечения;
- все пластинки размещаются по центру зубных единиц;
- крепление производится с помощью специального клеевого состава.
Необходимо знать, что полученный эффект от ношения брекетов сохраняется на всю жизнь, и они могут применяться в любом возрасте (начиная с 14 лет).
Скобы создают давление на всю поверхность зуба, из-за чего они перемещаются в заданное положение (скорость составляет 1 мм в месяц). На месте растяжения волокон происходит формирование костной ткани, что не допускает смещение единиц в обратном направлении.
Во время периодического посещения стоматолога происходит коррекция системы по увеличению упругости дуги.
Что такое скобы для зубов?

Скобы называются ортодонтическими и представляют собой специальную конструкцию, которая буквально опоясывает зубы, может закрепляться, а может и нет (в зависимости от разновидности).
По внешнему виду схожи с брекетами и большинство считают, что это одно и тоже.
На самом деле принцип и внешний вид немного различается. Брекеты представляют собой установку из замков, которые изготовлены из различных материалов.
Соединяются изогнутой дугой, которая дает напряжение и постепенно приводит зубной ряд к идеальной форме. Крепятся замки сильным антиаллергенным клеем.
Скобы в свою очередь ни к чему не крепятся, действуют на каждый отдельный зуб со всех сторон, выравнивание происходит с помощью верхней дуги, которая буквально выталкивает зубы наружу.
Важно!
Качество системы скоб зависит от работы ортодонта, от качества самих составляющих. Перед установкой каждый должен узнать, какой фирмой изготовлены детали конструкции, есть ли противопоказания к использованию, какие гарантии дает производитель
Как выглядят?

Современные скобы незаметны на зубах. Достигается это за счет использования новых прозрачных материалов.
Есть и металлические, которые по праву считаются одними из самых лучших, но тем не менее заметны на зубах и становятся причиной насмешек окружающих, особенно в том случае, если лечение проходит в подростковом возрасте.
Обычно дуги располагаются посредине зуба, клеем не крепятся.
Установка идет на десять-двенадцать зубов, но есть определенные показания, которые позволяют менять это число. Скобы снабжены специальным устройством, которое расположено на небе, но его может и не быть.
Разновидности брекетов
Конструкции изделий отличаются по способу крепления и регулировки, типами материалов и некоторыми функциональными характеристиками. Перечень общих конструктивных особенностей в системах:
- скобы устанавливают отдельно на каждый зуб;
- скрепление дугой, которая регулирует нагрузку и давление на зубы.
Для регулирования правильного положения для зуба применяются специальные резинки. Они прикрепляются на брекеты специальными замками. Резинки обладают хорошими эластичными свойства, в связи, с чем получили название эластики. Они отвечают за создание нагрузки или на один участок в челюсти, или на брекеты целиком. Благодаря эластикам процесс лечения проходит быстрее, и зубы занимают правильное положение
Резинки важно правильно зафиксировать, так как некачественная установка создаст неудобство при жевании или разговоре. Если пациент испытывает дискомфорт, лучше посетить ортодонта повторно для регулирования правильной позиции резинок и их тяги
Дополнительными приспособления для нормализации прикуса являются пружины и капы. С момента начала использования данных компонентов необходимо время для адаптации. Неприятные ощущения связаны с давлением на определенные участки челюсти, но привыкание наступает через несколько дней.

Отличие скоб от брекетов
Как отличаются скобы от брекетов, сможет объяснить лишь опытный ортодонт или дантист. Если нужно поровнять одну или несколько зубных единиц, то лучше применять скобку, а вот для тяжёлых случаев подойдёт брекет-система.
Прежде чем ставить скобы и брекеты, необходимо рассмотреть, в чем разница устройств:
- Отличия наблюдаются в комбинации. Скобки небольшие изделия. А брекеты имеют большие размеры;
- Вид крепления. Скобы одеваются на зубы. А пластинки приклеиваются к ним. Вывод, первые относятся к снимающимся изделиям, а вторые к стационарным;
- Результативность. Брекеты используются для решения различных проблем, они помогают убрать глубокий прикус, сильную кривизну ряда зубов. Скобы помогают только в обычных случаях;
- Продолжительность терапии. Скобы рассчитаны на пару месяцев. Корректировка глубокого прикуса с помощью систем занимает много лет;
- Стоимость. Сразу ясно, что брекет-системы стоят намного дороже даже самых утонченных и хороших скоб. А дело все в том, что их назначение состоит в исправлении больших проблем, благодаря этому их стоимость будет выше во много раз. Также на цену оказывает влияние материал, из которого сделаны пластины. Конструкции из сапфиров и керамики стоить будут значительно дороже;
- Красивая сторона. Брекеты смотрятся прекрасно и изыскано. А вот толстые пластины проигруют им в данном отношении.
При ношении брекет-систем у человека начнут появляться малоприятные чувства. Это происходит из-за постоянного давления на зубной ряд.
В результате зубы смещаются и принимают хорошее положение.
Обзорная характеристика
Несмотря на то, что данные ортодонтические устройства имеют одинаковое предназначение, между ними существует ряд отличий.
Поэтому каждая конструкция имеет свои технологические особенности, а также показания и противопоказания, положительные и отрицательные стороны в применении.
Скобы

Этот вид ортодонтической конструкции используется для предания зубному ряду анатомически правильного расположения. Исходя из разновидностей патологий, изделие может быть съемным, или носиться постоянно.
Лечебное действие в конструкции обеспечивают следующие элементы:
- Дуга. В основе конструкции лежит прочная проволока, которая фиксируется на последнем маляре в ряду. Она устанавливается для оказания нужного давления на искривленные зубные единицы.
- Спейсеры и разделители. Эти дополнительные элементы позволяют увеличить или сократить расстояние межзубных промежутков.
- Шины и резиновые кольца применяются для фиксации металлической проволоки.
Изделия изготавливаются из сплавов на основе титана или никеля. В некоторых случаях могут добавляться драгоценные металлы, которые подчеркивают красоту изделия, но не влияют на его функциональность.
Скобы можно применять в детском возрасте начиная с 7 лет. Их максимальный эффект наблюдается в период интенсивного роста верхней и нижней челюсти (примерно до 15 лет).
Для взрослых пациентов данная модель протезирования используется после ношения брекет-системы для закрепления полученного результата.
При этом в детском возрасте выравнивающая конструкция устанавливается на год, для взрослых этот срок увеличивается до 2 лет. Это связано с тем, что после 22 лет происходит окончательное формирование челюстных рядов.
Установление стоматологических скоб позволяет справиться со следующими дефектами:
- диагностирование в детском возрасте аномального прикуса (дистальный, открытый, перекрестный или мезиальный);
- широкое или узкое нёбо;
- если в развитии отстаёт одна из челюстей;
- когда расположение зубных единиц не соответствует анатомическому положению;
- увеличенное межзубное расстояние (трема и диастема).
Брекеты
В ходе ортодонтического лечения с помощью данного изделия можно исправить развитие любого аномального прикуса. Эта конструкция применяется с 14 летнего возраста.
Система отличается большей эффективностью, если производить сравнение со скобами и зубными пластинами (виниры или люминиры).
Выравнивание зубного ряда происходит за счёт особенности конструкции, которая включает в себя:
- Замковые соединения. Они могут быть из пластмассы, керамики или металлические.
- Стальная дуга. Обеспечивает необходимое давление, проходя через все замки, которые располагаются на зубе.
- Специальные кольца, это дополнительный элемент для крепления к молярам (последним в челюстном ряду).
- Эластичная цепь позволяет сузить промежуток в случае развития диастемы или тремы.

Показанием для установки данной системы является:
- наличие аномального прикуса на отдельных зубных единицах;
- патологическое искривление всего челюстного ряда;
- в период подготовки ротовой полости к имплантации;
- когда возникает необходимость улучшить эстетический показатель (если передние резцы сильно выдвигаться вперёд);
- для облегчения выведения непрорезавшихся третьих моляров.
Когда оправдана установка частичных брекетов и мнения специалистов о системах.
Заходите сюда, чтобы выяснить, почему шатаются зубы в брекетах.
По этому адресу http://zubovv.ru/ortodontiya/breketyi/vestibulyarnyie/provodit-otbelivanie-posle-snyatiya.html рассмотрим лучшие и щадящие методы отбеливания зубов после брекетов.
Разновидности
Современная стоматология развивается быстрыми темпами. Брекеты, которые появились относительно недавно, сегодня представлены в большом ассортименте.
Можно выделить несколько разновидностей этих конструкций.
По размещению
В зависимости от крепления брекеты подразделяют на два основных типа:
- Вестибулярные
конструкции крепятся на наружную сторону зубов, то есть скобы и дуга будут заметны окружающим. Смотрится это не слишком привлекательно, но зато стоимость таких систем вполне приемлема. - Лингвальные модели
абсолютно незаметны для посторонних, так как они крепятся на внутреннюю поверхность зубного ряда.
Конструкции лингвального типа крепления имеют целый ряд минусов:
- Длительные срок лечения.
Срок ношения значительно увеличивается. - Высокая цена.
Лингвальные системы стоят гораздо дороже, чем вестибулярные. - Нарушение дикции
в период привыкания. - Возможны травмы языка.
А такжеих установка возможна не всегда, это обусловлено особенностями прикуса подростка.
По материалу изготовления
Современные системы изготавливают из разных материалов:
- Металлические.
Экономичны, просты в установке и уходе, наиболее эффективны для исправления зубного ряда. Могут вызвать аллергию. - Сапфировые.
Изготавливаются из прозрачных, искусственно выращенных кристаллов. Они красивые, но в то же время хрупкие, сложные в установке и уходе, дорогие. - Золотые.
Металлические скобы покрываются золотом во избежание аллергической реакции. Обладают всеми преимуществами металлических систем, но стоят намного дороже. - Пластиковые.
Почти неразличимы на зубах, применяются только на нижней челюсти, хрупкие, могут применяться лишь для коррекции небольших изменений зубного ряда. - Комбинированные.
На жевательные зубы, которые не видны при улыбке, устанавливают металлические конструкции. Передний зубной ряд корректируется при помощи пластиковых, сапфировых или керамических систем.
Выбор конструкции для подростка осуществляется совместно с ортодонтом, который порекомендует оптимальный вариант.
Показания
Показаниями к установке брекетов в подростковом возрасте считаются:
- кривизна зубов;
- наличие промежутков между зубами;
- физиологическая аномалия прикуса;
- наличие жевательной дисфункции.
Выбор брекетов в качестве оптимальной системы для решения ортодонтических проблем осуществляется врачом. Специалист учитывает тип прикуса, а также состояние и особенности эмали зубов.
В некоторых случаях врач может порекомендовать ношение трейнеров или пластин. Ортодонтические пластины часто используются как часть комплексного лечения перед установкой брекетов, а трейнеры позволяют исправить лишь незначительные проблемы.
Полезные советы
СОВЕТ №1
При использовании скоб и брекетов важно помнить, что они имеют разные функции. Скобки (круглые скобки) обычно используются для обозначения приоритета операций в математических выражениях или для создания подгрупп в предложениях
Брекеты (квадратные скобки) чаще всего используются для обозначения ссылок, цитат, комментариев или для указания вариантов в списке.
СОВЕТ №2
Однако, существуют и сходства между скобками и брекетами. Оба символа используются для выделения информации, создания вложенных структур или для указания дополнительных деталей. Кроме того, как скобки, так и брекеты могут быть использованы для обозначения альтернативных вариантов или для выделения важных элементов в тексте.
Сколько стоит установка таких конструкций?
Стоимость установки скобок зависит от множества факторов:
- Именитости стоматолога и величины клиники.
- Ценовой политики, установленной руководством лечебного заведения.
- Материалов, использованных для создания коррекционной конструкции.
- Сложности проблемы у конкретного пациента.
- Количества зубов, к которым будут крепиться скобы.
- Толщина проволоки, из которой будет изготавливаться дуга, а также число элементов крепления.
В целом, минимальная стоимость установки скоб на зубы не может быть ниже 6 000 рублей. Максимальная стоимость ничего не ограничена. В среднем, дорогие скобы ставятся по 20 000 рублей. При этом, лингвальные скобки обходятся значительно дороже внешних.
Виды систем по месту крепления
Лингвальные
Лингвальные системы подходят пациентам, которые ввиду рода своей деятельности не могут носить брекеты. Пластины крепятся к лингвальной (обратной) стороне зубов и соединяются силовой дугой. Увидеть их может только стоматолог во время осмотра. Это достаточно дорогой метод коррекции, у которого есть ряд особенностей. Во-первых, ухаживать за лингвальными брекетами достаточно сложно. Для этого нужно приобретать специальные инструменты. Во-вторых, сроки лечения при установке такой системы увеличиваются.
Подводя итог, можно выделить следующие плюсы:
- сохраняют эстетику улыбки;
- часто изготавливаются индивидуально под пациента.
Недостатков у конструкции, к сожалению, много:
- обладают высокой ценой – зачастую в два раза выше обычных;
- влияют на дикцию;
- вызывают дискомфорт при прикосновении языком;
- лучшие модели сейчас не поставляются в Россию;
- не подходят для коррекции сложных дефектов.

Вестибулярные
Этот тип брекетов считается стандартным вариантом. Замки фиксируют на фронтальной стороне зубов с помощью стоматологического клея. Заметить конструкцию во время разговора достаточно просто, независимо от материала, из которого она изготовлена. Зато очищать вестибулярные изделия намного легче, чем лингвальные. Коррекция проходит быстрее, за счёт усиленного воздействия скобы на ряды. У них есть много других плюсов:
- низкая цена по сравнению с лигвальными системами;
- быстрая адаптация;
- вызывают меньше сложностей при уходе.
Из минусов стоматологи отмечают следующие факторы:
- меньшая степень эстетики;
- не подходят некоторым спортсменам и людям определенных профессий.
Недостатки брекетов
Отрицательные стороны имеются у любой ортодонтической конструкции. У каждой отдельной модели будет свой перечень недостатков. Общие моменты, вызывающие недовольство у пациентов у брекетов такие:
сложности в соблюдении качественной гигиены полости рта;
Кариозные поражения, деминерализация эмали, гингивиты и стоматиты – наиболее частые спутники использования брекет-систем. Наличие дополнительных конструкции ограничивает возможности доступа ко всем поверхностям при ежедневной чистке зубов. Требуется проявлять сноровку и усердия для удаления налета и остатков пищи. Скопление бактерий в местах креплений брекетов ведет к инициации разрушения эмали на этих участках и созданию очагов инфекции. Для очищения полости рта и самих брекетов нужны дополнительные приспособления и щетки. Это могут быть зубные нити, ершики и ирригатор
После каждого приема пищи важно удалять остатки еды и полоскать рот
продолжительность лечения с помощью брекетов;
В зависимости от возраста и степени нарушения строения челюстей время лечения занимает от 1 года до 3 лет. Серьезный срок требует решимости и терпения от пациента, но видимые изменения уже после месяца использования являются хорошим стимулом для достижения нужного результата.
ограничения в применении;
Ряд пациентов, нуждающихся в исправлении прикуса, не имеет такой возможности из-за наличия других патологий и заболеваний. Проблемы с минерализацией эмали, бруксизм, пародонтит или иммунные заболевания служат противопоказанием для установки брекетов.
достаточно высокая стоимость;
Ортодонтическое лечение требует финансовых вложений, связанных с неоднократными визитами к специалисту, изготовлением и установкой брекетов, профилактических мер и оборудования для ухода и лечения зубов и десен. Материал и брекетов влияет на их цену и отличается в разы у ряда моделей.

























