Какие системы лучше выбрать
Разнообразие брекет-систем обезоруживает обычного пациента. Рассмотрим «невидимые» приспособления высокого качества, которые почти незаметны при носке, хорошо справляются с поставленными задачами: сапфировые, керамические брекеты. Для определения, какие из них лучше, необходимо детально изучить все достоинства, недостатки каждого вида ортодонтических конструкций.
Керамические брекеты
Конструкции предназначены для корректировки зубного прикуса, крепятся на передней стенке зубов с помощью специального клея. Керамические изделия производят с учётом естественного цвета зубов. Металлокерамика является надёжным, практичным, современным материалом, по прочности почти сопоставима металлам.
Помимо высокой выносливости конструкции, керамические брекеты устойчивы к окрашиванию, во время носки не теряют свой первоначальный вид. Современные системы для выравнивания зубного ряда производят белыми или абсолютно прозрачными, что в сочетании с белой дугой делают керамические брекет – системы абсолютно незаметными для окружающих.

Преимущества керамических изделий:
- гипоаллергенность. Люди, страдающие аллергией на металл, смело могут носить изделия из керамики;
- высокая прочность, что снижает риск поломки конструкции;
- гладкая поверхность, закруглённые формы брекетов не повреждают слизистые десневой ткани, благодаря таким характеристикам снижается рис травмирования слизистых ротовой полости;
- высокая эстетичность. Белые/прозрачные конструкции сливаются с натуральными зубами, не вызывая никакого эстетического дискомфорта у пациента;
- брекеты не темнеют/желтеют со временем, сохраняют первоначальный привлекательный вид.
Недостатки изделий из керамики:
- сравнительно высокая стоимость. Цена керамических брекетов стартует от 17 тысяч рублей, возрастает в зависимости от престижа клиники, профессионализма стоматолога. Некоторые врачи предлагают установить системы за 35 тысяч рублей;
- срок исправления прикуса увеличивается на несколько месяцев, в отличие от металличекских;
- из-за плотного прилегания к поверхности зубов, риск повредить эмаль увеличивается в несколько раз .
Изделия из сапфира
Конструкции производят из монокристаллов искусственного сапфира. Изделие имеет дугу, также прикрепляются к внешней стороне зубного ряда. Сапфировые брекет – системы направлены на исправление разреженности зубного ряда, скрученность или вывернутость одного зуба.
Преимущества сапфировых изделий:
- высокая эстетичность. Сами монокристаллы ненатуральных сапфиров абсолютно прозрачны, брекет отлично сливается с эмалью, практически незаметен при носке. Немаловажный плюс – дуги для брекетов тоже корректируются по цвету, что делает всю конструкцию «невидимой»;
- материал, из которого изготовлены брекет-системы не вступают во взаимодействие с алкоголем и табаком, изделия меньше загрязняются, долго сохраняют свой отличный внешний вид;
- брекеты из сапфиров удобны в применении, не препядствуют нормальной дикции, риск травмирования снижён к минимуму;
- надёжность креплений;
- мало подвержены окрашиванию пищевыми продуктами;
- лёгкий уход, на брекетах не скапливаются болезнетворные бактерии, что положительно влияет на состояние полости рта.

Недостатки:
Продолжительность лечения с помощью сапфировых брекетов больше, составляет примерно два года. Конкретный срок определяет врач, исходя из индивидуальных особенностей челюсти пациента;
- высокая ценовая политика. Цена сапфировых брекетов от 25 тысяч рублей до 50 тысяч рублей. Конкретная сумма зависит от сложности ситуации, престижа клиники, других особенностей;
- сам материал из которого изготовлено изделие прочный, но вся конструкция хрупкая, не рекомендуется давать сложные жевательные нагрузки. Ограничений в еде нет, но доктора рекомендуют быть аккуратными с зубными приспособлениями;
- создаётся дополнительное трение между закрепляющим пазом и дугой. Процесс приводит к небольшому сдвигу конструкции, что негативно влияет на процесс лечения.
Металлические брекеты
Благодаря своей доступной стоимости и надежности, в современной ортодонтии брекеты из металла являются самыми популярными. Они обладают следующими качествами.
- Отлично подходят людям любого возраста.
- Обеспечивают бережное и эффективное исправление прикуса.
- При установке учитываются индивидуальные особенности челюстно-лицевого аппарата.
- Возможность использовать фигурные скобки в виде цветных сердечек, звездочек и цветочков. Такие брекеты чаще всего выбирают дети и подростки.
- Прочны, удобны в ношении, имеют эстетичный вид, не вызывают неприятных и болезненных ощущений.
- Не такие громоздкие, как раньше, за ними просто и легко ухаживать.
В зависимости от степени нарушения прикуса, вам придется носить металлические брекеты от 6 до 18 месяцев.
Существенным минусом этих систем является способность материала вызывать сильную аллергическую реакцию. Кроме того, они имеют длительный период привыкания, а неправильно подобранные металлические брекеты раздражают нежные ткани десен и могут способствовать возникновению язвочек.
Керамические брекет-системы
Эти брекеты изготавливают из специального высокотехнологичного стекла. Так как они практически незаметны на зубах, их чаще всего их выбирают люди, для которых внешний вид имеет большое значение.
- Мало подвержены воздействию пищевых красителей, за исключением кофе, табачного дыма, колы, карри, ярких ягод.
- Более комфорты в ношении, чем брекеты из металла, и имеют меньший период привыкания.
- Хорошо выдерживают большие физические нагрузки и плотно прилегают к поверхности зубов.
- Имеют отличную биосовместимость и не вызывают аллергии.
- Эстетичны и незаметны.
К недостаткам брекетов из керамики можно отнести их высокую стоимость и более длительный срок лечения, по сравнению с металлическими брекетами. В некоторых случаях он может составить до двух лет. Кроме того, их нельзя применять при тяжелых случаях нарушения прикуса. Керамические брекеты довольно хрупкие и требуют бережного отношения.
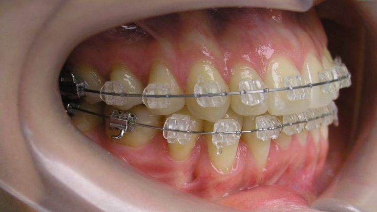
Сапфировые брекеты
Как уже ясно из названия, эти брекеты делают из особого медицинского сапфира, искусственного выращенного по той же методике, что камни для ювелирных украшений и часовых механизмов. Медицинские сапфиры бесцветные, прозрачные и совершенно не заметны на поверхности зубов, но на свету они красиво переливаются. Дуги брекетов покрываются специальным светлым составом, благодаря которому практически не бросаются в глаза.
Сапфировые брекеты имеют достаточно хрупкую конструкцию, но все же прослужат вам необходимое для лечения время – до двух лет.
- Обладают идеальной биосовместимостью. Риск возникновения аллергических реакций сведен к минимуму.
- Краткий период привыкания. Брекеты не травмируют десны и не влияют на дикцию.
- В отличие от керамических и металлических, сапфировые брекеты абсолютно прозрачны.
- Имеют высокую устойчивость к окрашиванию.
- Прекрасно держатся на зубах весь период лечения. Вам не придется слишком часто посещатьортодонта для коррекции.
Недостаток сапфировых брекетов в том, что они имеют приличную стоимость и при слишком большой нагрузке могут дать трещину. Из-за этого мы рекомендуем их устанавливать только взрослым пациентам, которые готовы бережно и аккуратно ухаживать за брекетами на протяжении всего периода лечения.
Разновидности брекетов
Существует несколько типов брекетов, которые отличаются своими характеристиками и материалами:
1. Металлические брекеты
Металлические брекеты – самый распространенный тип. Они состоят из металлических скобок, которые крепятся на передней стороне зубов, а дуги, которые связывают скобки, обеспечивают постепенное перемещение зубов в нужном направлении. Металлические брекеты довольно прочные и эффективны для сложных случаев исправления прикуса.
2. Керамические брекеты
Керамические брекеты имеют такую же структуру, как и металлические, но они изготовлены из прозрачного или цветного керамического материала
Это делает их менее заметными на зубах и более эстетичными, что особенно важно для взрослых пациентов или тех, кто предпочитает дискретные корректирующие устройства.
3. Сапфировые брекеты
Сапфировые брекеты – это вариант керамических брекетов, которые изготавливаются из искусственных сапфировых кристаллов. Они обладают еще более высокой прозрачностью и стойкостью к пятнам, что делает их еще менее заметными на зубах.
4. Лингвальные брекеты
Лингвальные брекеты размещаются на внутренней стороне зубов, что делает их совершенно невидимыми при улыбке. Они идеальны для тех, кто хочет исправить свой прикус незаметно. Лингвальные брекеты создаются индивидуально под каждого пациента и требуют определенного времени на адаптацию, но результат стоит затраченных усилий.
5. Самолигирующие брекеты
Самолигирующие брекеты – это брекеты, которые не требуют дополнительных эластичных резинок или защелок для фиксации проволоки. Они позволяют эффективно и комфортно двигать зубы, облегчают чистку зубов и поддержание гигиены полости рта, а также имеют более эстетический внешний вид.
6. Пластиковые брекеты
Пластиковые брекеты – это брекеты, в которых основные элементы, такие как слоты и крепления для проволоки, изготавливаются из прозрачной или цветной пластмассы. Это делает их менее заметными на зубах и предпочтительными с точки зрения эстетического внешнего вида для некоторых пациентов.
7. Безлигатурные брекеты
Безлигатурные брекеты – тип ортодонтических брекетов, которые не требуют дополнительных эластичных резинок или защелок для фиксации проволоки. Они обладают специальным механизмом, позволяющим свободное движение проволоки и уменьшение трения на зубы. Это может сократить количество визитов к ортодонту и повысить комфортность лечения.

Правила установки
После первичного осмотра специалист принимает решение о необходимости установки брекетов. При наличии кариеса и воспалительных процессах десен осуществляется целенаправленное лечение. При пародонтозе и других патологиях нельзя проводить фиксацию систем для исправления прикуса. После санации врач наносит специальное клеящее вещество на эмаль и прикрепляет брекеты под воздействием ультрафиолетового излучения от лампы. Вся процедура занимает не больше получаса. После полного просушивания остатки состава аккуратно счищаются, через отверстия в пластинах продевается дуга. В завершении профессионально фиксируется сила нажима в зависимости от проблемы пациента. Установка брекетов — безболезненный процесс, который проходит без анестезии.
Какие брекеты ставить ребенку
Детям часто ставятся лигатурные конструкции из металла. Скобы окрашиваются в разные цвета, что особенно нравится малышам. Плюсом является то, что приспособления редактируются под растущую челюсть. Кроме того, металлические модели самые дешевые, коррекция металла проще и выгоднее.
Керамика требует тщательной ежедневной гигиены, подобные изделия дорогостоящие, поэтому маленьким детям не ставятся.
В каком возрасте ставить брекеты ребенку
Коррекция зубного ряда ортодонтическими приспособлениями возможна с 10-летнего возраста, когда молочные зубы заменяются постоянными, а ткани полностью укрепляются. Однако у многих ребят в этом периоде еще не сформировался зубочелюстной аппарат. Поэтому лечение рекомендуется проводить после двенадцати лет. До этого возраста неукрепленные корни могут не выдержать нагрузку. Пока челюсть не сформировалась, не выросли коренные моляры в количестве четырех штук, специалисты исправляют дефекты съемными пластинами.
В каком возрасте ставить брекеты девочке
Если замечены какие-либо патологии зубного ряда, стоит установить приспособление сразу после формирования резцов и их корней. Конечно, возрастных ограничений к установке нет. Оптимальный возраст – это 11-13 лет. В этот период достаточно одного года для устранения аномалий. В подростковом и взрослом возрасте девушки сталкиваются с такими сложностями как медленный обмен веществ, прекращение роста челюсти, замедленная регенерация тканей. Эти факторы увеличивают продолжительность ношения конструкции до трех лет.
Какие брекеты ставить подростку
Подросткам в возрасте 12-16 лет устанавливается безлигатурные ортодонтические аппараты с защитой эмали. Таким образом, проще поддерживать гигиену полости рта. Чтобы не спровоцировать какие-либо комплексы, подростки выбирают керамические модели. Они менее заметны на поверхности эмали.
На выбор системы влияют такие факторы:
- недостаточность ухода за ротовой полостью. В этом случае нужно отдать предпочтение металлу.
- нежелание соблюдать диету. Также стоит выбрать металл.
Как проходит этап установки
Профессиональная чистка зубов
Установка систем из керамики осуществляется только после того, как будет проведена полная диагностика. Для этого выполняются слепки и делаются изображения полости рта для того, чтобы устройство максимально подошло человеку:
- на первом этапе проводится профессиональная чистка зубов и санация рта, а каждый отдельный зуб обрабатывают особым веществом;
- на поверхность зубов наносится клеевой компонент для фиксации скоб. Учитывая индивидуальные особенности прикуса, эти детали устанавливаются на необходимом уровне на каждом отдельном зубе;
- напоследок через скобы протягивают дугу, которая устанавливает правильное положение зубов.
В дальнейшем очень важно соблюдать все принципы гигиены и ухода за системами. Если вы будете постоянно соблюдать следующие принципы, это вовсе не тяжело:
- регулярная чистка зубов и ополаскивание ротовой полости в целях предотвращения развития кариеса. Вам нужно приобрести специальные приспособления для этого: щетку, ершик и флосс;
- полностью исключается из рациона клейкая пища, которая нарушает целостность установленных изделий;
- нужно забыть о жевательной резинке, так ка отдирать от устройств бывает очень сложно;
- после каждой трапезы необходимо ополаскивать рот.
Особенности конструкции систем
Раньше далеко не все пациенты соглашались ставить брекеты для коррекции зубов. Однако современные конструкции, в отличие от своих предшественников, могут быть почти незаметны и не портят улыбку человека. В стоматологии используются несколько разновидностей брекет-систем. Каждая имеет свои функциональные особенности, преимущества и недостатки. Мы же сегодня говорим про керамические и сапфировые. Это вестибулярные системы, устанавливаемые на внешнюю сторону зубов.
Альтернативой им служат наиболее распространенные брекеты из металла. На рынке они появились очень давно, носить их нужно меньше, они имеют доступную цену, но в плане эстетики существенно хуже керамики и сапфира. Ещё одна разновидность — лингвальная. Такие брекеты ставят на заднюю часть зубного ряда. Они хороши тем, что их совершенно не видно, однако такие модели имеют ряд противопоказаний и требуют длительного привыкания.
Показания к использованию брекетов следующие:
- искаженный зубной ряд — искажение может касаться не всех зубов, а некоторых. Речь может идти о неправильном наклоне и других дефектах;
- нарушение прикуса и плохое челюстное смыкание — все это может спровоцировать стирание зубной эмали;
- нарушение прикуса вследствие потери зубов. Если после этого пациенту не устанавливали имплант, то челюстной промежуток сужается, а прикус становится неправильным.
Удовлетворить все потребности пациента могут сапфировые или керамические брекеты. Они лучше других по многим параметрам. Например, дуга для выравнивания в них покрыта тефлоновым слоем и не контрастирует на фоне зубов, что делает систему менее заметной.
Конструкции нового поколения — керамические и сапфировые брекеты, отличия между ними есть, и их обязательно следует учитывать при выборе.

Сапфировые системы, несмотря на название, изготавливаются не из настоящего ювелирного материала. В их основе — кристаллы искусственного происхождения. Металлические вставки в них заменены алюминиевым оксидом на монокристаллической основе. При этом в плане прочности металлу этот материал никак не уступает, но удачно маскирует изделие. В числе преимуществ сапфира можно назвать:
- быстрое привыкание;
- простота установки и съема конструкций;
- удобство при ношении;
- легкость.
Сапфировые (на жевательных зубах стоят металлические с целью экономии — их там всё равно не видно)
За счет своих особенностей такие изделия очень дорогие. Но при этом они очень хрупкие и легко повреждаются. Ставят их лишь в тех случаях, когда проблемы в ротовой полости не слишком серьезные. В случае поломки изделия следует срочно обратиться к специалисту, в сломанном виде оно может изменить направление тяги или травмировать полость.
Модели на основе керамики лучше всего подойдут в том случае, когда зубы сами по себе не слишком белые. Они, как и сапфировые, удобны в ношении. При этом прочные, гипоаллергенные, риск травмирования десен низкий.
Керамические с белой дугой
Стоят они тоже недешево, но предназначены для более длительного применения. Кроме того, при удалении конструкции пациент может жаловаться на дискомфорт. Также изделия подвержены окрашиванию, поэтому рекомендуется не употреблять в пищу продукты, содержащие искусственные и натуральные красители.
Установка сапфировых брекетов
Ортодонт предварительно проводит ряд медицинских исследований, включая:
- панорамный рентген верхней и нижней челюстей, который позволяет обнаружить возможные воспалительные процессы и оценить состояние зубных корней;
- слепок, помогающий врачу дать наиболее полную оценку уровня деформации зубного ряда и смоделировать правильное расположение брекет-пластин.
При наличии патологий десен назначается консультация стоматолога-хирурга или пародонтолога. Рентгенография позволяет определить, необходимо ли удалять здоровые зубные единицы для коррекции всего ряда. Это решение, которое часто принимается стоматологами, положительно сказывается на окончательном внешнем виде улыбки.
Для вас подарок! В свободном доступе до
18.03
Как вылечить зубы недорого по полису ОМС
Пошаговая инструкция, что делать, чтобы получить скидку на лечение зубов от 50%
Установка сапфировых брекет-систем – безболезненная и довольно быстрая процедура, состоящая из нескольких этапов.
- Обработка поверхностей зубных коронок специальным раствором на основе композитов.
- Для установки сапфировых брекетов точечно наносится стоматологический клей на зубы, иногда с добавлением красящего пигмента. Это помогает врачу более точно контролировать корректную установку сапфировых замков. После высыхания клей становится полностью прозрачным и незаметным.
- На каждую зубную единицу накладывается индивидуальный брекет с уникальным размером и формой.
- После того как клей застынет, в замки или специальные пазы осуществляется установка никелированной дуги.
- Фиксация резиновых или металлических лигатур.
Перед установкой брекет-системы важно вылечить кариес и устранить все воспалительные очаги, а также удалить зубной камень. Процедура удаления конструкции из сапфира проста: врач разрушает каждый отдельный элемент, затем полирует поверхность зуба до идеальной чистоты
Процедура удаления конструкции из сапфира проста: врач разрушает каждый отдельный элемент, затем полирует поверхность зуба до идеальной чистоты.
Каждый пациент привыкает к брекетам индивидуально – кому-то нужно больше времени, кому-то меньше. В течение первой недели многие могут испытывать легкие болевые ощущения из-за начала движения зубов, но вскоре этот дискомфорт утихает. Брекеты не мешают речи, не влияют на дикцию и являются стильным современным украшением.
Важным этапом коррекции прикуса с использованием сапфировых брекетов является применение ретейнеров. Эти стоматологические устройства представляют собой прозрачные накладки, которые покрывают весь ряд зубов. Их ношение иногда требует столько же времени, сколько и в случае с брекетами. Ретейнеры идеально фиксируют результаты, достигнутые с помощью ортодонтической коррекции.
Установка
Установка всегда проходит в несколько этапов.
- Диагностика. В самом начале врач проводит полную диагностику не только типа аномалии, но и всей полости рта. С пациентом обсуждаются возможные варианты лечения (например, установка лигатурной или самолигирующей системы). Проводится визуальный осмотр, а также подробные исследования – ортопантомограмма, снимки и прочее.
- Подготовка. Так как установку сапфировых брекетов можно проводить только на здоровые зубы, выполняется санация полости рта – устраняются все проблемы (лечение кариеса, других заболеваний) и проводится профессиональная гигиена.
- Снятие слепков. Перед изготовлением врач должен снять слепок обеих челюстей пациента. Это необходимо для изготовления рабочей модели и точной подгонки брекетов.
- Заказ брекетов и ожидание их изготовления. Ожидание неизбежно, так как в каждом случае установка проводится сугубо индивидуально – для каждого зуба определяется расположение и форма брекета.
- Установка. Для того чтоб поставить брекеты достаточно одного посещения, однако требует от 1,5 до 3 часов времени, проведенного в кресле стоматолога. Врач закрепляет каждый брекет отдельно и только после этого устанавливает дугу
Этапы лечения брекетами
Улыбка – это одно из главных достоинств людей. К сожалению, не всегда все зубы выглядят так, как мы хотели бы видеть. Неровные зубы или неправильный прикус могут существенно влиять на внешний вид и самооценку человека. Один из самых эффективных способов исправления этих проблем – использование брекетов. В этой статье мы рассмотрим основные этапы лечения брекетами и процесс достижения идеальной улыбки.
Этап 1: Предварительная диагностика и консультация
Перед началом лечения брекетами, пациенту необходимо пройти предварительную диагностику и консультацию со специалистом – ортодонтом. Во время этой встречи ортодонт проведет осмотр полости рта, сделает рентгенограммы и сфотографирует зубы пациента. На основании полученных данных ортодонт сможет определить степень проблемы и выбрать наилучший способ лечения.
Этап 2: Подготовка полости рта
Перед установкой брекет-системы необходимо провести ряд процедур для подготовки полости рта. Это может включать очищение зубов от налета и зубного камня, лечение кариеса, удаление лишних зубов или поправку состояния десен. Цель этих процедур – создать оптимальные условия для последующей установки и ношения брекетов.
Этап 3: Установка брекет-системы
После подготовки полости рта, специалист приступает к самому важному этапу – установке брекет-системы. Брекеты – это небольшие металлические или керамические элементы, которые крепятся к каждому зубу с помощью специального клея
Они соединены между собой тонким эластичным держателем, который называется дугой. Именно дуги оказывают давление на зубы, постепенно перемещая их в желаемое положение.
Этап 4: Регулярные посещения и регулировка брекет-системы
После установки брекет-системы пациент должен регулярно посещать ортодонта для регулировки. Во время каждого визита специалист будет заменять дуги, регулировать силу и направление давления на зубы, чтобы продолжить движение к идеальной улыбке. Эти визиты обычно происходят примерно каждые 4-6 недель.
Этап 5: Ношение удерживающих аппаратов
Удерживающие аппараты помогают сохранить новое положение зубов и стабилизировать результаты лечения. Обычно это съемные ретейнеры или проволочные дуги, которые носятся в течение определенного периода времени. Ортодонт определит необходимую продолжительность ношения удерживающих аппаратов, обычно они используются в течение нескольких месяцев или даже лет.
Этап 6: Поддержание результатов
После завершения лечения брекетами и использования удерживающих аппаратов, пациенту будет предложено поддерживать результаты самостоятельно. Это включает в себя правильную гигиену полости рта, регулярное посещение дантиста для профессиональной чистки и осмотра. Также следует избегать привычек, которые могут повредить зубы или брекет-систему, такие как неправильная пища или курение.

Лигатурные и безлигатурные
Сапфировые брекеты могут изготавливаться двух типов.
Классический случай, когда система оснащена лигатурами для удержания дуги – креплениями, которые представляют собой небольшие резинки или тонкие проволочные колечки. Резиновые лигатуры довольно быстро изнашиваются, поэтому их приходится менять у своего лечащего врача.

Безлигатурные брекет-системы также называются самолигирующими. Они кардинально отличаются от лигатурных по своему строению. Каждый брекет оснащен замком, который защелкивается и прочно закрепляет дугу, позволяя ей скользить. В этом случае дополнительных креплений не требуется, и сила трения будет гораздо меньше.
Самолигирующие системы дороже и во многих случаях эффективнее, а также проще в использовании – нет необходимости менять лигатуры при изменении их цвета, деформации или разрыве.
Однако они не всегда лучше. Дело в том, что в процессе лечения может потребоваться не только замена дуги, но также плотности ее крепления. Когда контакт со стенками паза неплотный – это пассивный тип крепления, а если дуга закреплена очень плотно – активный.

Иногда нужно изменить силу воздействия на зубы. В случае с классической лигатурной системой это довольно просто – врач может немного ослабить крепления, позволяя дуге свободно скользить или наоборот.
А вот самолигирующие системы могут быть оснащены только одним (пассивным или активным) типом фиксации. Это может повлиять на срок лечения, удлиняя его.






















