Виды флюорографии
Видов рентгенологического обследования с помощью флюорографа существует 3 – пленочная, цифровая флюорография, сканирование в цифровом виде. Разделение методик напрямую связано с оборудованием, которое применяется в медицинской практике для проведения процедуры. Чем качественнее аппарат, тем выше эффективность и точность диагностического мероприятия. Описание современных методов флюорографии:
- Пленочная. Отличается низким качеством изображения. Пленочный аппарат работает по принципу записи фото на пленку, на специальном экране располагающуюся за спиной человека, через которого происходит излучение. Главное достоинство такого оборудования – его дешевизна, что позволяет использовать такие флюорографические станции почти во всех клиниках.
- Цифровая. Представляет собой аппарат, оснащенный специальной матричной системой, которая используется в современном оборудовании для съемки фото и видео. Обладает малым количеством излучения, изображение после процедуры получается значительно более качественным по сравнению с пленочной флюорографией легких. В случае регистрации данных о состоянии легких на цифровой аппарат, картинка остается в компьютере и может быть распечатана или отправлена по почте. Этот метод обеспечивает более длительное хранение результатов.
- Сканирование. Этот способ позволяет минимизировать облучение, однако малодозовое применение рентгеновских лучей имеет существенный недостаток – не очень точное изображение.
Что такое флюорография и что стоит знать для себя
Абсолютно каждый человек, сталкивался с направлением на флюорографическое исследование. Именно его делают как «законный» скрининг заболеваний легких. И что самое интересное, без него врач не подпишет медицинскую комиссию.
Делать флюорографию на сегодняшний день очень популярно — в нашей стране большой наплыв больных туберкулёзом и есть необходимость предотвращения распространения проблемы.
Стоит понимать, что проходить исследование раз в год не вредно, так как разовая доза не превышает 0.015 мЗв, при том, профилактическая доза облучения составляет в 1 мЗв. Всё это говорит о том, что передозировка от такой процедуры, как флюорография, может быть лишь в том случае, если сделать ее порядка 1000 раз за один год. Стоит понимать, что без назначения врача и его пожеланий, не нужно самостоятельно гоняться за прохождением данной процедуры.
На сегодняшний день существует несколько типов флюорографии:
К большому сожалению, в наших больницах и поликлиниках, кабинеты, где делают такие процедуры, имеют старое оборудование. Обследование обязательно назначают в следующих случаях:
- ФЛГ тем, кто впервые посещает то, или иное медицинское учреждение;
- обязательно нужно пройти процедуру и тем, кто живет с беременной женщиной или в семье, где есть новорожденный ребенок;
- тем, кто проходит медицинскую комиссию перед походом в армию или тем, кто поступает на контрактную службу;
- ВИЧ инфицированным.
По законным нормам, процедуру достаточно проводить не более двух раз в год.
Преимущества КТ
Томография позволяет строить сложные трехмерные модели
Если аномалия на рентгене может спрятаться за чем-то другим, поглощающим рентгеновское излучение лучше (так «исчезают» за костями многие опухоли), от КТ ей не убежать: специалист может повернуть изображение нужной стороной.
Точно так же с помощью трехмерного изображения оценивают состояние сложных поверхностей, практически неидентифицируемых на рентгене. Например, не только размеры, но и форму органов со всех сторон.
Что ещё интереснее, с помощью современных аппаратов для КТ с высокой скоростью генерации пучков излучения можно получить изображение в динамике. Посмотреть не только что, но и как.
Кровеносную систему в динамике иначе не увидеть
Поэтому результаты КТ-обследования куда ближе к ультразвуковым способам исследования (УЗИ), чем к обычному рентгену, от которого они наследовали только базовый принцип работы.
Впрочем, КТ серьезно отличается и от УЗИ. Дешифровка картин, полученных с помощью ультразвука, полностью лежит на специалисте, проводящем конкретное исследование. Уже на стадии самой съемки, поскольку аппараты требуют конкретной настройки под пациента и обследуемую область.
Для использования КТ в медицине был разработан международный стандарт, которому подчиняются все существующие медицинские комплексы. Поэтому КТ полностью объективно, как и рентген — хотя бы до стадии получения снимка.
Признаки заболевания
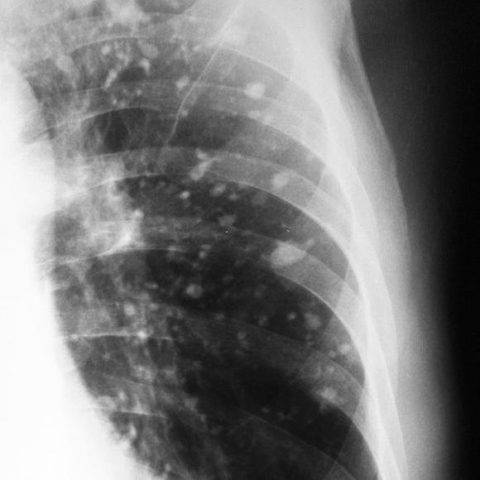
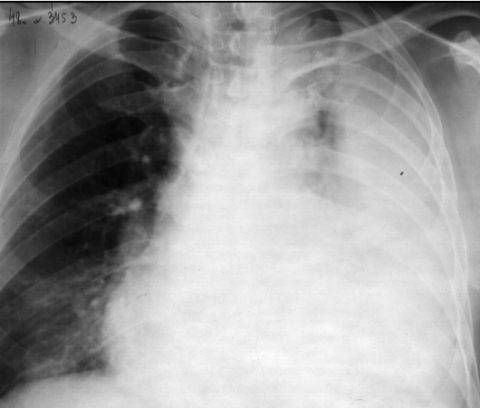
Флюорография позволяет выявить различные патологические изменения в легочной ткани.
Примеры:
| Усиление легочного рисунка | Легочной рисунок представляет собой сплетение кровеносных сосудов. При различных гемодинамических нарушениях он деформируется, становится более плотным. Иногда определяются участки повышенной прозрачности. Патологические изменения выявляются при следующих проблемах:
|
|
| Очаговые тени | Характерны для:
Могут быть как очаговыми, так и множественными. Большое значение имеет размер патологического образования. |
|
| Кальцинаты | Признак инфекционного процесса. |
|
| Патологические изменения корня легкого | Возможны следующие нарушения:
|
|
| Фиброзы | Замещение легочной ткани соединительной – последствие воспаления. | Фиброзно-кавернозный туберкулез |
| Скопление жидкости в плевральной полости | Признак воспаления плевры. |
|
| Смещение органов грудной клетки | Оценивается положение:
Смещение наблюдается при новообразованиях легких и средостения, сердечной патологии и скоплении жидкости в плевральной полости. |
|
| Изменения положении диафрагмы | Нередко наблюдается после травм и оперативных вмешательств. | Высокое положение купола диафрагмы |
Регулярное профилактическое обследование помогает выявить туберкулез и многие онкологические заболевания в ранней стадии. Своевременное начало лечения подарит надежду на выздоровление.
https://youtube.com/watch?v=o_Dk1VB–U4
Текст подготовил

Котов Максим Анатольевич, главный врач центра КТ и УЗИ «Ами», врач-рентгенолог, врач УЗД высшей категории, к.м.н., доцент. Стаж — 21 год
Список источников
- The American Cancer Society medical and editorial content team. Key Statistics for Lung Cancer, 2020.
- Eva-Christina Schliewert , Kara M Lascola, Robert T O’Brien, Stuart C Clark-Price, Pamela A Wilkins, Jonathan H Foreman, Mark A Mitchell, Susan K Hartman, Kevin H Kline. Comparison of radiographic and computed tomographic images of the lungs in healthy neonatal foals, 2015.
- Eva-Christina Schliewert , Kara M Lascola, Robert T O’Brien, Stuart C Clark-Price, Pamela A Wilkins, Jonathan H Foreman, Mark A Mitchell, Susan K Hartman, Kevin H Kline. Comparison of radiographic and computed tomographic images of the lungs in healthy neonatal foals, 2015.
- Sokolov V.A., V.M. Kartashov, A.I. Piven’, S.Iu. Krasnoborova, L.V. Blinova, A.V. Savel’ev. X-ray longitudinal and computed tomography in the diagnosis of peripheral tumor-like formations of the lungs, 1997.
- Струтынский А.В., Юдин А.Л., Семенов Д.В., Афанасьева Н.И., Семенов В.А. Опыт применения компьютерной томографии высокого разрешения легких в диагностике и оценке результатов лечения внебольничной пневмонии, 2011.
- Котов М.А. Опыт применения компьютерной томографии в диагностике заболеваний органов дыхания у детей / Материалы X Невского радиологического Форума (НРФ-2018). – СПб., 2018, Лучевая диагностика и терапия. 2018. № 1 (9). — С. 149.
- Министерство Здравоохранения РФ. Временные методические рекомендации. Профилактика, диагностика и лечение новой коронавирусной инфекции COVID-19, версия 8, 2020.
- Британский Королевский Радиологический Колледж, Федеральное государственное бюджетное учреждение здравоохранения «Клиническая больница №122 им. Л. Г. Соколова ФМБА России». Информация для пациентов, которым планируется выполнение компьютерной томографии.
- Всемирная Организация Здравоохранения / Информационные бюллетени: рак, 2018.
Когда нужно выбрать КТ вместо рентгена?

Рентген в виде плоских снимков проще и безопаснее для человека, нежели компьютерная томограмма. Однако, работу органов в режиме реального времени на рентгене не увидеть.
Точно так же рентген не способен показать объемные и замаскированные другими контрастными включениями проблемы, к которым часто относятся опухоли, проблемы с сосудами, сложные травмы.
КТ проводят и после операций, особенно при внедрении металлических протезов, шунтов или кардиостимуляторов
Поэтому КТ назначают в случае необходимости срочного принятия решения при подозрении на серьезные проблемы сердца и мозга, а так же другими экстренными состояниями, в которые входят:
- травмы головы, сопровождающиеся обмороками,
- головная боль при подозрениях на серьезные нарушения в работе организма,
- судороги, проявившиеся впервые без причины, и в сочетании с подозрением на системные заболевания,
- нарушения психического состояния при подозрениях на поражение мозга.
Плановые и не срочные обследования с помощью КТ проводятся строго по назначению врача в тех случаях, когда более простые методы не дают результата. В противном случае лучевая нагрузка неоправданно высока.
Как проводится диагностика?
Если провести процедуру соблюдая все правила, все симптомы и анализы будут определены верно. При этом подготовка к процедуре не требует особых усилий:
- Процедура не требует воздержания от пищи и напитков. Можно есть и пить, а также заниматься физическими упражнениями. Некоторые специалисты рекомендуют провести время перед процедурой в тишине и спокойствии.
- На процедуру следует приходить в удобной одежде, без украшений и бижутерий. В некоторых случаях пациенту может быть предложен одноразовый халат.
- Сам аппарат состоит из стекла и сканера. Перед началом процедуры пациенту необходимо занять максимально удобную позу, так как двигаться и перемещаться во время магнитно-резонансной томографии не получится.
- Врач должен зафиксировать тела пациента с помощью специальных ремней. Это необходимо для того, чтобы получить наиболее четкие, подробные и качественные снимки.
- После этого, стол с пациентом перемещается в туннель аппарата.
- Сканеры анализируют ткани, после чего данные отправляются на компьютер специалиста.
- Некоторые исследования могут потребовать контрастирования. Это проводится по показаниям. В случае необходимости, пациенту вводится специальное вещество внутривенно (кисть или предплечье).
- После этого врач-рентгенолог делает выводы и расшифровывает данные.
Стоит отметить, что во время процедуры врач наблюдает за пациентом из соседней комнаты. Сама процедура в среднем длится примерно 30-60 минут. При некоторых обстоятельствах на исследование может понадобиться больше времени.
Новости Севастополя
Как злоумышленники продавали арендованные в Севастополе квартиры
Севастополь активно голосует на выборах Президента России
В Севастополе поставили точку в деле жестокого убийства сотрудницы психдиспансера
Какие выплаты получат севастопольские ветераны ко Дню Победы
В Севастополе на двух улицах возобновляется двустороннее движение
Над Севастополем снова сгущаются тучи
В Севастополе сосновую рощу хотят принести в жертву застройке
В Севастополе судьбоносное решение 10-летней давности увековечили на почтовой открытке
Как народ Севастополя ломал волю украинских элит весной 2014 года? — ForPost «Реактор»
В Севастополе простились с погибшим в зоне СВО ефрейтором
Метки
аутизм
лечение
рак
ковид
вирус
туберкулез
погода
красота
мужское здоровье
биполярное расстройство
искуство
протезирование
кардиология
бактерии
вакцинация
Гипертония
гормоны
дети
масло
Питание
стоматология
проктолог
рейтинг
сердце
ПЦР
переохлаждение
зож
Материнство
мозг
день здоровья
антитела
здоровье
молодость
морщины
выставка
акушерство
синдром Дауна
молоко
анализы
аминокислоты
холестерин
острый перец
хоспис
иммунитет
Материнство и Детство
лор
РАС
зарядка
эволюция
здоровое питание
детская поликлиника
панкреатит
льготы
бессонница
с бодрым утром
ВИЧ
СПИД
женское здоровье
инфекции
больницы
ногти
международный день
мороз
ангелы
прививка
коронавирус
мужчины
польза и вред
стресс
ожирение
конъюнктивит
статистика
медицина
COVID-19
грыжа живота
Сон
лекарства
еда
школьники
диагностика
паллиативная помощь
диабет
солнечные дети
профилактика
Беременность
онкология
ИФА
Севастополь
витамины
аллергия
БАДы
Метеочувствительность
экспресс-тест
зрение
грипп
артериальное давление
Рассеянный склероз
ортопедия
Спорт
бесплатно
Можно ли считать что это одно и то же или нет
Несмотря на то, что между рентгенографией и флюорографией есть немало отличий, эти методы исследования относятся к одному виду лучевой диагностики с использованием рентгеновского излучения. В то же время это далеко не одно и то же, так как флюорография и рентген легких используются в разных ситуациях:
- флюорография — как профилактическое раннее выявление патологий, преимущественно туберкулеза и злокачественных опухолей, которые не сопровождаются явной клинической симптоматикой;
- рентген — для уточнения диагноза на фоне жалоб пациента, например, при воспалении легких, скоплении жидкости в плевральной полости, ушибе грудной клетки и т.д.

Обе эти процедуры не взаимозаменяемы. То есть невозможно вместо флюорографии сделать рентген легких и получить тот же результат. Поэтому первую принято делать в качестве профилактики опасных в плане неконтролируемого распространения заболеваний, а вторую врачи склонны назначать при опасных для жизни пациента патологиях, которые требуют детальной диагностики.
Важно! Разное назначение процедур — основное различие флюорографии и классического рентгена
Разница между рентгеном и флюорографией
Флюорография представляет собой разновидность рентгенологического обследования, но все же между этими исследованиями есть разница.
Рентгеноскопия проходит с применением рентгеновского аппарата и является более точным исследованием. По времени оно проходит несколько дольше, чем флюорография.
Времени на прохождение этой процедуры затрачивается немного, результат выдается через короткий промежуток времени.
Хотя четкость изображения ниже рентгеновского снимка, на нем можно увидеть патологии органов и тканей.
Для более точного диагностирования доктор может назначить дополнительное обследование на обычном рентгеновском аппарате.
Вред, причиняемый организму человека, определяется в уровне облучения. При флюорографии уровень влияния радиационного фона будет выше, чем при рентгеноскопии.
Фото:

Наименьший вред принесет цифровая флюорография. Человек вправе самостоятельно выбрать учреждение, где есть такое оборудование и пройти обследование.
Делать обследование грудной клетки или нет — решение пациента. Он может отказаться от процедуры, оформив свой отказ письменно.
Но если доктор подозревает у больного пневмонию или туберкулез, делать флюорографию придется в обязательном порядке.
Туберкулез опасен для окружающих, а пневмония может угрожать жизни пациента.
Многие ученые и исследователи спорят на тему о том, зачем нужна флюорография. Собственное мнение по этому вопросу может быть у каждого человека.
Все же стоит прислушаться к докторам и своевременно пройти данное обследование.
Вред организму при проведении процедуры будет нанесен минимальный, но у врача будет возможность своевременно диагностировать тяжелые заболевания в их начальной стадии развития.
Лечение, начатое при первых признаках изменения тканей легких, будет проходить быстрее и эффективнее.
9155
Рентген
Наиболее старый и привычный метод визуализации человеческого тела. Применяют рентген повсеместно, от хирургии до стоматологии. Метод прост и понятен: человека облучают особыми лучами, которые легко проходят сквозь мягкие ткани и задерживаются в твёрдых. Благодаря этому принципу, на фотоплёнку или датчик, расположенные на противоположной от источника лучей стороне, передаётся изображение, а в распоряжение врача попадает рентгенография или рентгеноскопия.
Главные плюсы такого обследования: быстрота и стоимость. Рентгеновскими аппаратами оснащены практически все больницы, процедура проходит быстро и стоит недорого.
Главные минусы: облучение и качество изображения. При проведении рентгенографии пациент облучается, а картинка получается двумерной. Врач с трудом может разглядеть внутренние органы по отдельности, поскольку их тени перекрывают друг друга. Также невозможно детально разглядеть хрящевую ткань и мозг. Хрящи практически не задерживает лучи, мозг надёжно закрыт черепной коробкой. Для их исследования рентгенография не подойдёт.
Наиболее эффективно будет проводить рентгенографию при повреждениях костей, суставов и зубов.

Разница между методиками
Из вышесказанного можно сделать вывод, что флюорография отличается от рентгена более высоким разрешением. Если второй метод показывает лишь туберкулез и онкологию, то первый способен определить наличие небольших инфильтративных очагов. Различиями в методиках является интенсивность лучевой нагрузки.
Кроме того, имеются следующие отличия методов:
- ФГ – скриниговое исследование, показанное даже при отсутствии жалоб и наличия признаков заболевания. R-диагностика назначается при явной симптоматике, когда необходимо установить размер, локализацию патологического очага.
- Рентген позволяет определить патологии дыхательного органа, сосудов, сердца, костей, обнаружить злокачественные опухоли. ФГ под силу обнаружение онкологии, туберкулеза.
- Флюорографическую диагностику рекомендовано проходить ежегодно всем людям старше 14-летнего возраста. Рентген не имеет ограничения нормативов. Проводится по мере надобности.
Получается, что у флюорографии (ФГ) диагностическо-профилактическое направление, целью рентгена является уточнение диагноза
Важно проводить диагностику, учитывая получаемые дозы облучения
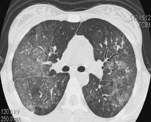
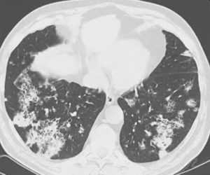
Что показывает компьютерная томография легких
На снимках рентгенолог видит картину вирусного поражения, которая в общих чертах мало отличается от картинки при гриппе. То есть поставить диагноз именно ковидной пневмонии по КТ нельзя.
Характерными признаками действия вируса будут изменения легочных полей в виде очагов (от одиночного до диффузных). Вирусная пневмония выглядит на томографии легких как совокупность типичных изменений.
- «Матовое стекло» — очаг просветления легочного поля из-за снижения воздушности в сочетании воспаления и утолщения межальвеолярных перегородок, заполнения альвеол жидкостью.
- Очаги округлые, могут сливаться между собой и распространяться на большую часть легочного поля. Чаще располагаются на периферии ближе к плевре. Чаще в нижних сегментах.
- «Булыжная мостовая» — утолщение пространства между легочными дольками, за счет чего они выглядят, как разрозненные части дороги.
- Консолидация — уплотнение легочной ткани за счет заполнения альвеол жидкостью.
- Симптом обратного ореола — кольцо консолидации вокруг участка “матового стекла”
- «Воздушная бронхограмма» — просвет бронха, пересекающего участок уплотнения легкого.
- Отмечается чаще двустороннее поражение.
- В отличие от бактериальной пневмонии реже наблюдается усиление легочного рисунка.

Рентген легких
Рентген грудной клетки является альтернативным, более качественным методом флюорографии. Поскольку у него большая разрешительная способность. Этот метод назначают при наличии подозрений на заболевания легких, тогда, как ФГ – для профилактики. К сведению, разница между флюорографией и рентгеном является в способности различия теней.
При помощи рентгена можно рассмотреть тени около 2 мм, а флюорографии – не меньше 5 мм. Функционирование R-графии основывается на попавшей в кадр выбранной области снимка в момент проникания через исследуемые ткани рентгеновского луча. В это время получается непродолжительная повышенная лучевая нагрузка, которая опасна развитием мутаций клеточного аппарата. Поэтому прежде чем направить на диагностику, врачом сравнивается получение пользы и вреда от процедуры.
Рентген назначают лишь в острой необходимости, при условии низкой величины от вреда исследования
Показания для проведения
Многие интересуются, чем отличается рентген от флюорографии. R-диагностика не относится к обязательной процедуре. Она назначается при наличии определенных показаний. Этот метод не используют в виде скрининга.
Показаниями для проведения рентгена является:
- пневмония;
- туберкулез;
- легочный абсцесс;
- отеки легких;
- плеврит;
- эмфизема;
- перелом ребра;
- онкология;
- гемоторакс.
Кроме того, данная диагностика показывает наличие инородного тела, уплотнений.
Виды рентгена
К проведению рентгенографического исследования не требуется специальной подготовки. Единственным требованием является обнажение области грудной клетки. Если нет такой возможности, то диагностику можно провести в натуральном белье, волокна которого не будут отображаться на снимке. К сведению, если у женщины имеются длинные волосы, то от этого может измениться прозрачность легочных полей. Для получения более точного снимка, следует их убрать заколкой вверх.
Рентгенография, проводимая на области грудной клетки, может быть следующих видов:
- Обзорная. Может выполняться в боковых, прямых проекциях.
- Прицельная. Фокусируется на конкретной области. Если данный вид проводится одновременно с мониторным контролем, тогда на больного увеличивается радиационное влияние.
При необходимости пациенту назначается рентгеноскопия
Какие болезни выявляет
Данные флюорограммы служат основанием для постановки различных диагнозов. Большое значение имеет прохождение флюорографии у больных туберкулезом, начало которого протекает бессимптомно. Ранняя диагностика этой болезни помогает получить медицинскую помощь своевременно и минимизировать риск развития осложнений, летального исхода. Флюорография дает возможность выявить и другие заболевания:
- Воспалительные заболевания (воспаление легких – пневмония, бронхит, плеврит) и их очаги;
- Фиброз (уплотнение ткани соединительного типа);
- Обструкции в бронхах;
- Наличие инородных предметов в дыхательных путях;
- Патологические полости – абсцессы, кисты;
- Газ в полостных участках;
- Наслоение плевры ее сращение;
- Грыжа, купола диафрагмы;
- Скелетно-мышечные отклонения;
- Сердечнососудистое заболевание.
Кроме того, на флюорографии видно, если человек подвержен курению. От здорового легкого органы дыхания курильщика отличаются увеличением ширины легочных стенок, тяжистыми корнями. Так выглядят снимки людей, имеющих большой стаж. Это необязательно говорит об опасных патологиях.

Вред компьютерной томографии
Этот метод диагностики более опасен по сравнению с предыдущим по следующим причинам:
- При КТ организм подвергается более высоким дозам ионизирующего излучения. Они колеблются в интервале от 2 до 10 мЗв. По сравнению с обычным рентген исследованием величина доз радиации в среднем больше в 150 раз. При неоднократном применении облучение может превысить получаемое при однократном прохождении рентгенографии в 500 раз.
- На основании изучения медицинской статистики американские ученые предупреждают о возможном увеличении количества злокачественных опухолей среди детей, которым назначали многократное прохождение компьютерной томографии. По подсчетам специалистов, при частом проведении процедура может привести к 60% росту заболеваемости.
- Опасность томографии для детей связана с тем, что организм ребенка растет, его органы развиваются. Это сопровождается более быстрым делением клеток. Поэтому и риск повреждения ДНК в них также возрастает.
- По мнению ученых высокие дозы облучения при КТ в детском возрасте могут вызвать со временем рак легких, грудных желез, щитовидной железы, мозга, прямой кишки, лейкемию.
- Процедура противопоказана беременным, так как может нанести вред здоровью плода, вызывая аномалии внутриутробного развития.
- Контрастное вещество способно вызвать аллергию у чувствительных к этому препарату людей, вызвать ухудшение состояния при таких опасных заболеваниях, как почечная недостаточность и тяжело протекающий сахарный диабет.
Что стоит знать о рентгене легких и насколько это вредно
Рентгенография – это по сути альтернатива самой флюорографии, но она имеет свой плюс — большую разрешительную способностью. Интересно то, что рентген может показать тени на снимке до 2 мм, чего не скажешь о флюорографии, где можно наблюдать тени лишь от 5 мм.
Такая процедура как рентген назначается при бронхите, туберкулезе легких, пневмонии, раке и так далее. К слову, флюорография считается профилактическим методом. Сам механизм процедуры достаточно прост: засвечиваются определенные участки при прохождении через них рентгеновских лучей. Когда больной проходит данную процедуру — он облучается.
В медицинских учреждениях мы видим старые приборы, отличающиеся тем, что они облучают пациента в разы больше, чем это нужно и можно для человека. На новом оборудовании от рентгена легких вреда и вовсе не наблюдается. Но когда речь идет о лечении острой пневмонии, врачи не перебирают частные клиники или государственные, чтобы выбрать новое оборудование, так как необходимо сделать срочную диагностику как можно быстрее. Облучение на аппарате не должно превышать 0.6 мЗв в год, если же говорить о старом оборудованием, то на нем человек может получить 1.5 мЗв.
Современный цифровой метод флюорографии оказывает меньшее радиационное влияние на организм больного, в то же время рентген легких – это более информативный способ определения патологий легких, но менее безопасный.
Стоит понимать, что опасно делать рентген в следующих случаях:
- Во время беременности;
- Перед планируемым зачатием.
При пневмонии врач может назначить прохождение рентгена. Чтобы пройти такую процедуру, пациенту не нужно никак подготавливаться заранее, и брать с собой дополнительные предметы. Есть единственное условие, которое требуется для того, чтобы сделать рентген правильно – снять все лишние аксессуары с грудной клетки (цепочки, шнурки и так далее). Не обязательно раздеваться, можно оставаться белье (но без железных застежек).
Есть два вида рентгенографии легких:
Конечная цель процедуры — получить специальный снимок, исследуя который, врач может определиться с диагнозами назначить курс лечения. Конечно, самостоятельно расшифровать такую фотографию сложно. Этим занимается специально обученный человек. Он легко изучит формы затемнения и просветления, а также сможет рассмотреть интенсивность линий и их оттенок и по всему материалу сможет сделать вывод о работе и патологии внутренних органов. Для примера, рак легких на снимке будет изображен округлыми пятнами разного диаметра, но при этом имеющими четкие границы. Если же границы не четкие, а размытые, то это скажет о сердечно-сосудистых заболеваниях либо о воспалении легких. А вот туберкулез на снимке будет изображен в виде интенсивных линий в сочетание с мелкими, затемненными участками.
Что лучше МРТ или КТ легких?
В диагностических центрах томографическое обследование легких осуществляется с помощью МРТ или КТ легких, а что из них лучше? Оба этих метода осуществляют исследование органов грудной клетки с последующей передачей информации на компьютер и ее расшифровкой. Во избежание сомнений при выборе КТ или МРТ легких и бронхов как метода исследования следует разобраться в особенностях компьютерной и магнитной томографии, и тогда станет понятно, в каких случаях показан тот или иной метод исследования, и какие противопоказания есть у сканирования органов грудной клетки с помощью компьютерной или магнитной томографии.
Приоритетным экспертным методом диагностики легких и бронхов считается компьютерная томография. Она способна точно воспроизводить детали изображения с охватом широкого спектра плотностей легочной ткани и выявлять начальные признаки морфологической перестройки при опухолевом и некротическом поражении. На первом этапе пациентам с заболеваниями легких обычно назначают выполнить рентгенографию в стандартных проекциях для исключения очаговых и инфильтративных изменений в легких. Если данные рентгеновских снимков носят тревожный характер, для уточнения диагноза, дифференциальной диагностики болезни легких и бронхов вторым шагом врач назначит сделать мультиспиральную компьютерную томографию органов грудной клетки. Она позволяет идентифицировать все мелкие повреждения в легочной ткани, которые имеют особое клиническое значение при выявлении опухолей, пневмонии, астмы, туберкулёза, хронической обструктивной болезни легких. Если данные КТ легких предполагают наличие злокачественного поражения, в качестве дополнительного метода могут назначить пройти МРТ легких с контрастом, чтобы оценить степень инвазии опухоли в ткани средостения и лимфатические узлы.
Качественная визуализация легких на МРТ снимках – это сложная задача. Принцип получения изображения на магнитно-резонансном томографе строится на явлении ядерного магнитного резонанса, когда атомы водорода в клетках начинают совершать колебательные движения под воздействием электромагнитного поля. Ткани легких содержат мало воды, поэтому эффект резонанса в них слабый, и тканевая контрастность изображения не очень высокая. Кроме того, МРТ аппарат очень чувствителен к движению, а в зоне грудной клетки в движении находятся не только органы дыхания, но и сердце. Все это дает артефакты на снимках и ухудшает качество визуализации.
Компьютерный томограф получает изображения за счет способности рентгеновских лучей проходить сквозь ткани различной плотности с разной скоростью. В легких содержится много воздуха, потому рентгеновские лучи в них не задерживаются, что дает хорошую тканевую контрастность, если в легких и бронха есть новообразования. Поскольку КТ аппарат делать множественные снимки с большой скоростью, он менее чувствителен к артефактам движения. Все это делает КТ более точными информативным методом диагностики легочных заболеваний по сравнению с магнитно-резонансной томографией.
К сожалению, у компьютерной томографии есть один существенный недостаток – ощутимая лучевая нагрузка на организм. Она в среднем составляет 1-3 мЗв за сканирование. Поэтому эта форма томографии запрещена для беременных женщин и крайне не рекомендуется для детей до 7 лет. МРТ легких – это более безопасный способ обследования, поскольку использует безопасное и безвредное магнитное поле.
Рентген легких
Рентгеновские лучи были открыты немецким физиком Вильгельмом Конрадом Рентгеном в конце XIX века, и получили свое название по имени первооткрывателя, хотя первоначально сам он назвал их Х-лучами.

Как известно, абсолютно все электромагнитное излучение, пронизывающее наш мир, представляет собой поток элементарных частиц, ведущих себя подобно волне. К этому типу излучения относятся не только рентгеновское, но и все остальные: видимый свет, ультрафиолетовые и инфракрасные лучи. Такое разнообразие получилось из-за их разной длины волны и частоты колебаний.
Длина волны излучения уменьшается пропорционально увеличению частоты колебаний и тем самым возрастает проникающая способность лучей. Говоря простыми словами, чем меньше волна, тем лучше она способна «огибать» препятствия, которые меньше нее. К примеру, клетки живых организмов. Рентгеновское излучение имеет в пятьдесят тысяч раз более короткие волны, что и обуславливает их исключительную способность проходить сквозь большинство сплошных препятствий.
Данное свойство нашло широкое применение в медицине для диагностики различных заболеваний, протекающих внутри организма человека, когда врачу невозможно узнать о состоянии внутренних органов больного визуально, что называется, «на глаз».

По своей сути рентгенография представляет собой обыкновенную фотографию, но лучи не отражаются от тела, а проходят сквозь него. Однако тело человека неоднородно и имеет различную плотность, поэтому на фотографической пленке получается снимок, где темные места соответствуют наименее плотным органам.
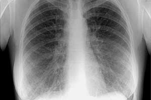
Цифровая диагностика лёгочных заболеваний
Цифровая диагностика имеет большие возможности, поэтому и изображение отличается большей информативностью. Например, при цифровом рентгене даже можно узнать, кому принадлежит снимок — мужчине, или женщине, поскольку на результатах видны тени молочных желез в виде контуров.
Врачи получают информацию о правильности проведения исследования — насколько был глубоким вдох и был ли пациент неподвижен в момент съёмки.
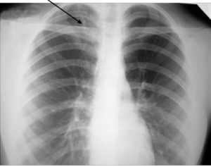
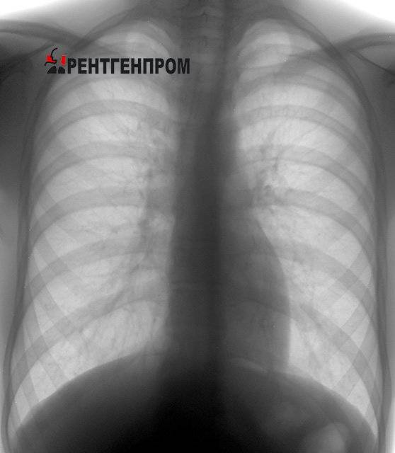
Снимок здоровых лёгких
При оценке результатов цифровой флюорографии врачи рассматривают следующие позиции при помощи рентгеновского облучения:
- мягкие ткани;
- целостность костных элементов;
- расположение трахеи;
- наличие кальцинатов;
- контуры сердца;
- лёгочные поля.
Исследование проводится в передне-задней проекции. Снимки информативны и дают возможность оценить или выявить наличие патологии в лёгких.
Подведение итогов
Какой из современных методов диагностики лучше в обследовании легких сказать сложно. Каждый имеет свои сильные, слабые стороны.
МРТ недостаточно качественно показывает состояние тканей, находящихся в постоянном движении. Но при исследовании функциональных изменений гемодинамики, перфузии, оценки вентиляции легких, их работы лучше воспользоваться магнитно-резонансной томографией.
Компьютерная томография считается более информативной в обследовании полых структур легких, оценке состояния мелких сосудов дыхательных путей, но ее результаты в исследовании новообразований уступают данным МРТ.
Выводы и рекомендации
Безусловно, если сравнивать КТ и флюорографию, то больший вред для организма может принести КТ. Потому что доза, полученная при томографии, в десятки, а иногда и в сотни раз выше, чем на флюорографии. Но нельзя забывать, что, несмотря на дозу, КТ более информативный метод. И, иногда, без него не обойтись.
Чтобы снизить риск негативных последствий, врачи советуют выполнять следующие рекомендации:
- Выполнять рентгенологические исследования строго по показаниям.
- Помнить, что польза от исследования должна превышать риски. Т.е. если подозревается опухоль, то важнее ее найти и удалить, а не бояться последствий облучения.
- Можно посоветоваться с доктором, и заменить компьютерную томографию на магнитно-резонансную. Если это не помешает диагностике, и у вас нет противопоказаний к ней.
- Если женщина кормит грудью, и ей необходимо пройти рентген исследования, то рекомендуется заранее сцедить молоко, до проведения исследования.



































