Дифференциальный диагноз патологии
Дифференциальная диагностика обструктивного бронхита обусловлена схожестью клинической картины данной патологии с другими заболеваниями дыхательной системы, такими как бронхиальная астма, пневмония и туберкулез.
Дифференциация от воспаления легкого
Оптимальным способом дифференциации обструктивного бронхита от воспаления легких является рентгенография. Зачастую ее вполне достаточно, и не приходится прибегать к дополнительной лабораторной диагностике. Если же на рентгеновском снимке картина заболевания недостаточно ясна, назначается бронхоскопия, МРТ и другие исследования.
Дифференциальная диагностика бронхита от пневмонии выглядит следующим образом:
- бронхит – температура ниже 38 градусов, кашель сухой, переходящий в продуктивный, безболезненный, лихорадочное состояние — не более 3 суток;
- воспаление легких – температура выше 38 градусов, сильный кашель с обильным выделением мокроты, лихорадочное состояние свыше 3 суток.

Кроме того, пневмония отличается синюшностью конечностей и лица, дрожью в голосе, укорочением перкуторного звука, наличием хрипов, крепитацией.
Дифференциация от бронхиальной астмы
Если при пневмонии рентгенография четко определяет наличие характерных для этого заболевания признаков, то отличить обструктивный бронхит от астмы не так просто. Оба заболевания дыхательной системы диагностируются на основании проявляемых ими признаков, и сложность заключается в схожести симптомов. К основным диагностическим синдромам относят:
- кашель – при бронхите постоянный, выматывающий, с выделением мокроты, при астме – приступообразный, мокроты выделяется мало или ее нет совсем;
- одышка – при бронхите постоянна, усиливается при движении, астма отличается приступообразным характером одышки и наличием стойкой ремиссии;
- наличие аллергии – при бронхите аллергия, как правило, отсутствует, а бронхиальная астма практически всегда сопровождается аллергическими признаками;
- использование бронхолитиков – при бронхите используются периодически, при астме – постоянно.

Дифференциация от других дыхательных патологий
Помимо вышеназванных схожих патологий, бронхит необходимо дифференцировать от таких дыхательных заболеваний:
- туберкулез легких – особенности: усиленное потоотделение, быстрая утомляемость, слабость, потеря веса, наличие палочки Коха в мокроте;
- сердечная или легочная недостаточность;
- бронхоэктатическая болезнь – чаще диагностируется у детей, бронхоскопия показывает локальный бронхит, в то время как хроническая форма бронхита носит диффузный характер;
- тромбоэмболия кровяных сосудов легких;
- некоторые инфекционные заболевания – корь, коклюш и др.;
- онкология – для нее характерны боль в груди, слабость, отсутствие гнойной мокроты.
Острый бронхит и воспаление легких
Дифференциальная диагностика острого бронхита и пневмонии чрезвычайно важна на ранних стадиях заболевания. Чем раньше поставлен диагноз и назначено лечение, тем выше вероятность скорейшего выздоровления пациента. Как правило, в случае пневмонии назначается антибактериальная терапия, а при остром бронхите – противовирусная и симптоматическая.
Основным методом дифференциации острого бронхита и пневмонии является лабораторное исследование крови
Особое внимание уделяется показателям лейкоцитов, сывороточного C-реактивного белка. При пневмонии наблюдается увеличение лейкоцитов в 3,7 раза. Если этот характерный признак отсутствует, вероятность наличия пневмонии наполовину снижается
Кроме того, концентрация сывороточного C-реактивного белка выше показателя 150 мг/л также указывает на воспаление легких
Если этот характерный признак отсутствует, вероятность наличия пневмонии наполовину снижается. Кроме того, концентрация сывороточного C-реактивного белка выше показателя 150 мг/л также указывает на воспаление легких.
Еще проводят рентгенографию – обычно на снимке ясно различаются признаки воспалительного процесса, характерного для пневмонии.
Наиболее явными признаками воспаления легких являются голосовое дрожание, шум трения плевры, притупление перкуторного звука и эгофония. Наличие их в симптоматике в 99,5% свидетельствует о пневмонии. А при кашле и гнойной мокроте пневмония диагностируется только у 1 человека из 10.

Бронхит
Причины
Бронхит это диффузное воспаление слизистой оболочки бронхов, которое приводит к гиперпродукции слизи, нарушению мукоцилиарного клиренса и снижению местной иммунной защиты. Выделяют два типа бронхита: острый и хронический (хроническая обструктивная болезнь легких). Они значительно отличаются по этиологии, патогенезу и подходам к лечению.
Как и воспаление легких, бронхит инициируют те же микроорганизмы:
- вирусы: грипп, парагрипп, риновирусы, РС-вирус, аденовирусы,
- бактерии: стрептококки, пневмококки, гемофильная палочка, микоплазмы и другие,
- грибы: кандиды, аспергиллы.
Среди асептических факторов часто встречаются:
- аллергены,
- пыль,
- табачный дым,
- промышленные выбросы,
- токсические вещества.
Справка. Примерно 80-90% бронхитов начинаются с вирусной инфекции, затем присоединяется бактериальная флора. Особое место в структуре разновидностей воспаления бронхов выделяют обструктивный бронхит. На фоне такой патологии очень часто формируется очаговая пневмония.
Клиническая картина
Острый бронхит проявляется субфебрильной лихорадкой (в некоторых случаях она может отсутствовать), умеренно выраженной интоксикацией. Как правило, начинается все с катарального синдрома, для которого характерно слезотечение, насморк, першение и боль в горле.
Основным симптомом является кашель, который появляется с самого начала заболевания и держится на всем его протяжении. Это обусловлено наличием кашлевых рецепторов в слизистой воспаленных отделов легких, в то время как пораженные участки при пневмонии уже не имеют таких рецепторов. Одышка в отличие от пневмонии возникает при физической нагрузке.

Сначала кашель сухой, приступообразный, звучный, порой, бывает мучительным. Приступы кашля носят настолько интенсивный характер, что вызывают боли в мышцах грудной и брюшной стенки. Мокрота отходит с трудом, небольшими порциями, имеет вязкий характер. Однако с течением времени мокрота становится более жидкой и её объемы увеличиваются. В тяжелых случаях вязкая мокрота закрывает просвет мелких бронхиол и вызывает обструкцию, а затем и ателектаз участка легкого. Это приводит к развитию пневмонии.
Диагноз хронического бронхита выставляется, если продуктивный кашель наблюдаются в течение двух лет, на протяжении трех месяцев в году. Он протекает с периодами ремиссии и обострения. При хронической обструктивной болезни легких в стадии ремиссии больного практически ничего не беспокоит, может наблюдаться одышка при физической нагрузке (при прогрессировании процесса, на поздних стадиях и в покое). Период обострения клинически не отличим от острого бронхита.
Для бронхита аллергического или профессионального происхождения не характерна лихорадка.
Особенности респираторного поражения бронхов
При бронхите наблюдается отек и накопление избыточной слизи в бронхиолах дыхательных путей, что ведут в легкие. Начало болезни провоцируется чаще всего вирусом, затем присоединяется бактериальная инфекция. Маленькие дети необычайно восприимчивы к этому заболеванию, так как у них узкие дыхательные пути, а иммунная система не является достаточно зрелой, чтобы противостоять многочисленным респираторным инфекциям.
Воспаление бронхов – высококонтагиозное заболевание, поскольку легко передается воздушно-капельным путем. При кашле, чиханье больного или даже контакте с инфицированными выделениями на поверхности предметов быта легко подхватить заразный вирус.
Общие симптомы острого бронхита
Болезнь начинается как обычное острое респираторное заболевание (ОРЗ). Для него характерны такие особенности:
- Насморк и заложенность носа;
- Сухой кашель вначале течения болезни без отделения слизи;
- Через несколько дней при откашливании может появляться прозрачная, желтая или зеленая мокрота;
- Наблюдается головная боль, озноб, но лихорадка отсутствует или сопровождается незначительной гипертермией;
- Результаты рентгенологических исследований не обнаруживают патологии в легких;
- Выздоровление наступает спустя 2-3 недели.
Лечение болезни предупредит проникновение инфекции в альвеолы. Чтобы облегчить состояние больного, применяются антигистаминные препараты, бронхолитики, стероиды и кислородная терапия. Правильно подобранные препараты помогут избежать пневмонии и хронического течения болезни, что потребует более длительной терапии.
Особенности бронхита
Бронхит – полное воспаление бронхиального дерева, протекает в острой или хронической форме. Бронхи – это 2 небольшие трубки, которые соединяют трахею и лёгкие.
Важно!Бронхит, переходящий в пневмонию – частое явление, особенно у детей, поскольку у них гортань, трахея и бронхи имеют меньший диаметр, нежели у взрослых, мокрота плохо отходит, патогенные микроорганизмы активно размножаются. Бронхит развивается на фоне ОРВИ, гриппа, хронического ринита, ангины – через 3–4 дня после начала этих болезней инфекция опускается в нижние отделы дыхательных путей. Бронхит развивается на фоне ОРВИ, гриппа, хронического ринита, ангины – через 3–4 дня после начала этих болезней инфекция опускается в нижние отделы дыхательных путей
Бронхит развивается на фоне ОРВИ, гриппа, хронического ринита, ангины – через 3–4 дня после начала этих болезней инфекция опускается в нижние отделы дыхательных путей.
Острый бронхит часто имеет вирусное происхождение, основные возбудители – вирус гриппа, парагриппа, аденовирус, болезнь передаётся воздушно-капельным путём, в терапии применяют противовирусные препараты. Реже заболевание возникает на фоне заражения грибками, воздействия на органы дыхания аллергенов и токсических веществ.
Причины хронического бронхита:
- проживания в местах с сильно пыльным, загрязнённым воздухом;
- работа на вредном производстве:
- длительное вдыхание излишне холодного или сухого воздуха;
- частые рецидивы респираторных болезней;
- курение активное или пассивное.

Бронхит может обостряться из-за появления респираторных болезней
Патология бывает простой или обструктивной, когда на фоне воспаления сильно отекает слизистая, закупориваются бронхи.
Симптомы заболевания
Бронхит начинается с повышения температуры до 37,5–38 градуса, которая держится не более 3 дней. Болезнь сопровождается сухим поверхностным кашлем, который постепенно переходит во влажный, выделяется много мокроты, хрипы слышны даже на расстоянии. Интоксикация выражена слабо, боль в груди отсутствует, но беспокоят спазмы в горле.
При хронической форме температурные показатели нормальные, кашель постоянный, продолжается более 3 месяцев, усиливается после пробуждения, вдыхания морозного воздуха.
При обструктивной форме заболевания сужаются или перекрываются дыхательные пути, воздуху тяжело проходить в лёгкие, появляется одышка, бронхообструктивный синдром, который по этиологии схож с астмой. Хроническая форма патологии – распространённая проблема среди курильщиков.
При прослушивании слышны хрипы по всей поверхности лёгких, их можно услышать спереди и сзади, с обеих сторон грудной клетки.
При бронхите отделяется мокрота зеленоватого или желтовато-серого цвета, иногда с незначительными примесями крови.
Специфика проявления у детей
У ребёнка из-за некоторых анатомических особенностей, часто диагностируют бронхит с подозрением на пневмонию. Некоторые специалисты сразу назначают антибиотики, другие врачи рекомендуют повременить с приёмом сильнодействующих препаратов 2–3 дня, иногда такая задержка только усиливает эффективность антибактериальной терапии.
В возрасте до 4 лет развивается острая форма обструктивного бронхита, частота дыхания увеличивается до 40 и более раз в минуту, развивается одышка, из-за сильных приступов кашля у ребёнка может начаться рвота, одышка.
Что показывает рентген?
Рентгенография – один из наиболее информативных методов диагностики заболеваний органов дыхательной системы.

Для анализа органов дыхания чаще всего делают рентген
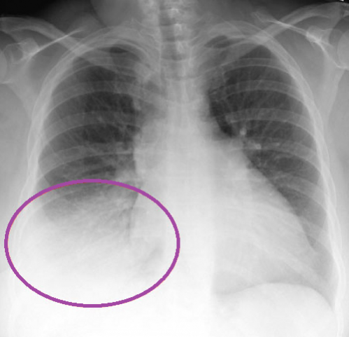
При бронхите на снимке контур бронхиального дерева становится более чётким, усиление лёгочного рисунка свидетельствует о наличии воспалительного процесса.
Чем отличается бронхит от пневмонии
Недуги бронх и лёгких имеют отличительные факторы. Очень остро встаёт вопрос для пациента бронхит или пневмония как отличить? Бронхиальная хворь поражается инфекциями, которые существенно отражаются на верхние дыхательные отделы. При самостоятельном лечении пациента, не проведя нужного медицинского обследования, для инфекционной среды внутри организма наступают благоприятные условия, болезнь принимает затяжной характер, мокрота опускается в бронхи. Во время самолечения, принимая неправильно медицинские препараты, бронхит переходит в воспаление лёгких. Заболевание бронхов отличается от лёгочных тем, что вирусная среда полностью поглощает организм. Процесс воспаления вызван микробами.
Особые факторы при бронхите
В холодное время года начинаются повально простудные заболевания, бронхиальному подвергается много людей.
При воспалении бронх проявляются следующие симптомы:
- непрекращающиеся сопли,
- забивает сухое покашливание на первоначальной стадии заболевания, отхождение мокроты начинается к концу болезни и переходит во влажное покашливание,
- при непрерывном покашливании болезненность в области горла и груди,
- максимальная температура до 39 градусов, держится от трёх до пяти дней:
- у пациента слабосилие, разбитое состояние,
- курс терапии при заболевании бронхов длится до месяца.
Во время медицинского осмотра врач может диагностировать хриплость в бронхиальном поле, хрипы могут быть односторонние или двухсторонние. Для того, чтобы врачу определиться в диагнозе, назначается рентгенографическое обследование.
Особые факторы при пневмонии
Симптоматика бронхиальной и лёгочной болезни имеет сходство, больной человек сам не определит без вмешательства врача. Для каждого недуга индивидуальный курс лечения, как только начинается кашель, обязательно требуется диагностика. Недуг лёгких —, это бактериальное заболевание. При недолечённости бронхиальной инфекции, получаются серьёзные последствия, переходят в воспаление лёгких. В бронхиальных каналах скапливается много слизистой мокроты. Пневмония имеет ряд симптом:
В боковой части болевые ощущения (левостороннее или правостороннее):
- Непрерывный кашель причиняет боль.
- Очень долго отходит мокрота.
- Вспышки при сухом и влажном покашливании.
- Дыхание становится частым, появляется одышка.
- Кровохарканье.
- Температура человека от 40 градусов.
- Охриплость голосовых связок.
- Слабосилие и расслабление организма.
- Биение сердца становится учащённым.
- В районе носа и губ покров кожи синего цвета.
- Курс терапии длится от одного месяца и свыше.
Грамотные доктора различают лёгочное заболевание от бронхиального. Прослушивание пациента помогает врачу определить хрипоту, в воспаленном участке их хорошо слышно. При бронхите хрипота равномерная. Во время болезни лёгких хрипы имеют другой характер. Доктор сразу назначает флюрографическое расширенное обследование. Отделы лёгких на плёнке затемнены. Заболевание пневмонией поражает несколько сегментов лёгких.
Бронхит

Характерным симптомом бронхита является кашель
Острый бронхит, который встречается у людей чаще хронического, редко приводит к фатальным последствиям. Однако хроническая форма данного заболевания может постепенно нарушать функцию лёгких и в конечном итоге угрожать жизни.
Причины
Бронхит — это воспаление бронхиальных трубок, по которым воздух поступает из трахеи в лёгкие.
Острый бронхит может иметь разные формы, в зависимости от причины развития.
- Вирусный бронхит. Вирусные инфекции вызывают большинство случаев бронхита. У людей могут развиваться проблемы с дыханием или кашель после распространённых вирусных инфекций, таких как простуда или грипп.
- Бактериальный бронхит. Иногда бронхит вызывают бактериальные инфекции. В таких случаях у людей также могут внезапно развиваться трудности с дыханием.
- В редких случаях причиной развития бронхита становятся грибковые инфекции.
- Иные причины. Помимо инфекций, бронхит могут провоцировать различные вещества, которые оказывают вредное воздействие на лёгкие. К числу таких веществ относится сигаретный дым, выхлопные газы автомобилей, пар от электронных сигарет, лаки или краски.
Хронический бронхит вызывает продолжительное воспаление воздухоносных путей. Он считается одной из форм хронической обструктивной болезни лёгких (ХОБЛ).
Симптомы
При любых видах и формах бронхита у людей наблюдаются похожие симптомы. Однако пациенты с хроническим бронхитом обнаруживают, что симптомы возникают регулярно, и при этом периодически усиливаются и ослабевают.
Вирусный или бактериальный бронхит обычно вызывают проблемы от нескольких дней до нескольких недель. К числу их симптомов относится следующее:
- сильный кашель, при котором обычно выделяется мокрота;
- прозрачная, зелёная или жёлтая мокрота;
- лихорадка или озноб;
- свистящее или затруднённое дыхание, особенно в лежачем положении;
- чувство переполненности или стеснения в грудной клетке;
- боль в горле.
Подробнее о симптомах бронхита можно прочитать здесь.
Лечение
Поскольку в большинстве случаев бронхит имеет вирусную природу, обычно он не реагирует на антибиотики.
При этом в помощь могут прийти следующие терапевтические стратегии:
- предоставление организму покоя;
- употребление значительных объёмов жидкостей;
- приём безрецептурных болеутоляющих средств;
- приём препаратов от кашля.
Увлажнители воздуха помогают ослаблять кашель в ночное время суток. Когда бронхит развивается на фоне бактериальной инфекции, врач может назначить антибиотики.
Хронический бронхит — медицинское состояние, которое невозможно вылечить полностью. Однако современная медицина способна предложить методы лечения, позволяющие значительно облегчать дыхательный процесс.
Некоторые врачи рекомендуют пациентам ингаляторы, кислородную терапию или лёгочно-реабилитационную терапию, а также лекарственные средства, помогающие снижать степень воспаления в воздухоносных путях.
И острый, и хронический бронхит часто затрагивает курильщиков. Путём отказа от курения можно снижать риск развития бронхита и предотвращать дальнейшие повреждения дыхательных путей.
Факторы риска
Хронический бронхит может приводить к серьёзным осложнениям, в том числе к смерти от повреждений сердца и лёгких. Со временем организм человека может потерять способность получать достаточные объёмы кислорода из крови, в результате чего наносится ущерб различным органам и развиваются другие заболевания.
Хронический бронхит также повышает риск развития пневмонии и затрудняет организму борьбу с ней.
Острый бронхит в большинстве случаев не вызывает серьёзных осложнений. Однако у пациентов с ослабленной иммунной системой данная форма бронхита может провоцировать развитие других инфекций, в том числе пневмонии или сепсиса.
Хронические заболевания нижних респираторных путей ежегодно становятся причиной тысяч смертей по всему миру.
Различие симптомов и клинической картины
Болезненные ощущения в боку, со стороны пораженного легкого — это один из признаков пневмонии
Чем отличается бронхит от воспаления легких? Пневмония — серьезная патология, которая приносит летальный исход. Особенно, если пациентом выступает маленький ребенок. Взрослые имеют иммунитет, но реже обращаются в больницу. Осложнение в их случае не редкость. Бронхит или пневмония поражает организм — определяют благодаря рентгену. Болезни поражают разные органы анатомически и воспалительный процесс происходит иначе.
Бронхит и особенности течения
Бронхит и пневмония обусловлены скоплением мокроты в дыхательных путях. Локализация воспалительных процессов бронхита ограничивается:
- гортанью и носом;
- бронхами;
- трахеей;
- бронхиолами.
Болезни имеют и другие отличия, бронхит начинается инфекционным заболеванием, которое поражает верхние дыхательные пути. При отсутствии правильного лечения и при благоприятных условиях для инфекции наступает опущение мокроты в сторону бронхов. При неправильной диагностике или комплексе лечения бронхита, болезнь может перейти в пневмонию. Отличие происхождения бронхита от пневмонии еще вирусное начало. Воспаление легких вызвано бактериями. Хотя есть разновидности и вирусных пневмоний. Воспаление бронхиального дерева проявляется такими симптомами:
- ринит;
- сухой кашель в начале процесса, мокрый в середине и конце. Кашель вызывает болезненные ощущения в горле и за грудиной;
- повышение температуры до 38,50С. Она сохраняется около 3-х дней;
- слабость и общее недомогание. Симптом не имеет интенсивную выраженность;
- лечение бронхита занимает от 1 до 3 недель.
При обследовании лечащий врач обнаруживает хрипы в бронхах. Они могут определяться с одной стороны или иметь двусторонний характер. При подозрении на острый бронхит, и также воспаление легких, врач назначает дополнительное обследование-рентген. На снимке бронхит выглядит как «усиление легочного рисунка». Бронхиальное дерево лучше просматривается и определятся.
Пневмония и особенности течения
Симптомы тяжелого бронхита и пневмонии имеют много сходства и не всегда заметны для пациента без наблюдения врача
Однако болезни требуют разного лечения, поэтому важно пройти диагностику при любом виде кашля. Пневмония или воспаление легких является бактериальным заболеванием и наступает как последствие от не долеченного бронхита. Слизь собирается в альвеолах и терминальных дыхательных путях
Основные признаки пневмонии:
Слизь собирается в альвеолах и терминальных дыхательных путях. Основные признаки пневмонии:
- болезненные ощущения в боку, со стороны пораженного легкого;
- боль при кашле и вдохе;
- сухой и мокрый кашель. При приступах, наблюдается тяжелое отхождение мокроты;
- отдышка. Частое и поверхностное дыхание;
- наличие прожилок крови в мокроте;
- повышение температуры тела до 400С и выше;
- осиплость и дрожь в голосе;
- сильная слабость и недомогание всего тела;
- учащенное сердцебиение;
- посинение носогубного треугольника;
- лечение занимает от 4-х и более недель.
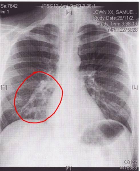
Опытный врач знает, как отличить острый бронхит от пневмонии. При прослушивании врач наблюдает изменения в виде хрипов и прослушиваются они локально, в зоне воспаления. Хрипы при бронхите отличаются равномерным расположением. При подозрении на пневмонию врач назначает рентгеновское обследование. На снимке воспаление легких видно, как затемненные участки с четкими границами. Пневмония может поражать от 1/3 до 2/3 всего легкого.
После пневмонии пациенту необходима реабилитация и повторные обследования рентген. На снимке могут появится рубцы тканей легкого.
Признаки воспаления легких
Воспаление легочной системы может появиться как самостоятельная болезнь, так и как осложнение после незалеченного бронхита или ОРЗ. Пневмония характеризуется поражением альвеол и дыхательных путей.
На начальных стадиях развития заболевания им часто пренебрегают, так как первые симптомы ничем не отличаются от простуды. Основные причины появления воспалительного процесса – размножение пневмококков (особенная бактериальная микрофлора, которая вызывает данное заболевание).
Основные признаки болезни:
- Температура тела сильно повышена (от 38 градусов)
- Отхаркивание сгустков крови
- Сильное выделение мокрот
- Боль в груди
- Тяжело дышать
- Явная тахикардия (от 100 ударов в минуту)
- Учащенное и тяжелое дыхание
- Человек болеет более 2-3 недель.
Если человек обнаруживает подобную симптоматику, медлить с визитом врача нельзя. Особенно это касается детей. У ребенка организм более слабый, он может не выдержать столько времени жить с пневмонией, как взрослый человек. При малейшем подозрении воспаления легких у ребенка следует немедленно вызвать скорую помощь. Признаки отличия у детей бронхита и пневмонии такие же, как и у взрослых.
Лечение пневмонии
Общий режим
1.2.питаниевитаминамимокроты3.
- регулярное проветривание, но избегать сквозняков;
- температура воздуха должна быть в пределах 19-22oС;
- воздух нужно увлажнять, сухой и слишком влажный микроклимат откладывают процесс выздоровления, для этого необходима регулярная влажная уборка, использование увлажнителей воздуха, или можно просто поставить кружку с водой возле источника тепла;
- нежелательно использовать сильно пахнущие дезинфицирующие средства для уборки помещения.
4.аллергенами
Медикаментозные методы для лечения воспаления легких
1. Антибиотики.антибиотикипенициллины
- Цефтриаксон (Медаксон);
- Цефазолин;
- Цефобид;
- Цефотаксим;
- Аугментин инъекции для внутривенного введения и многие другие препараты.
- Аугментин (капсулы);
- Амоксиклав;
- Флемоксин;
- Цефуроксим;
- Цефепим;
- Цефотаксим;
- Лопракс и другие.
противовирусными препаратамипротивогрибковые средства2. Бифидум- и лактобактериимикрофлоры
- Ацидолак;
- Хилак;
- Бифидумбактерин;
- Линекс;
- Симби Плюс и многие другие.
3. Муколитические препараты
- Бромгексин;
- Бронхолитин;
- Амброксол;
- Ацетилцистеин (АЦЦ);
- Амбробене;
- Пектолван Ц и прочие.
4.Антигистаминные препараты
- Лоратадин;
- Диазолин;
- Тавегил;
- Дезлоратадин и прочие.
5. Витаминыинтоксикации
- Витамин С;
- Витамины А и Е;
- Витамины группы В.
6.Жаропонижающиепротивовоспалительные препаратыПарацетамолИбупрофенАспиринаиммуномодуляторыздоровью
Как отличить бронхит от пневмонии по результатам рентгеновского снимка


Несмотря на некоторые различия пневмонии и бронхита, нередко клиника бывает размытой. В такой ситуации для установления верного диагноза необходимо сделать флюорографию или рентгенографию – это наиболее достоверный способ диагностики. По результатам рентгенограммы лечащий врач сможет легко распознать болезнь. Худшие опасения подтвердятся, если на снимке будут отчётливые затемнения.

Схемы лечения бронхита и пневмонии у взрослых могут кардинально отличаться
Поэтому очень важно не упустить драгоценное время и вовремя поставить точный диагноз. Всё дело в том, что бронхи воспаляются чаще всего от попадания в них вируса. В отличие от бронхита, пневмония чаще всего вызывается бактериальной инфекцией
Отсюда и принципиальная разница в методах излечения
В отличие от бронхита, пневмония чаще всего вызывается бактериальной инфекцией. Отсюда и принципиальная разница в методах излечения.
В случае бронхита лечение вполне допустимо осуществлять в домашних условиях. Значительного улучшения состояния удаётся добиться уже через 10 дней. Выздоровление в большинстве случаев наступает спустя 2 недели. Пневмония же требует нахождения пациента в стенах больницы, потому что такое сложное заболевание лечится строго под врачебным контролем. Длительность лечения тоже разная – чаще всего оно продолжается около 2-3 недель.
Для избавления от обоих заболеваний успешно используются и немедикаментозные методы:
- дыхательные упражнения;
- ЛФК;
- физиотерапевтические процедуры.
При высокой температуре желателен постельный режим и щелочное питьё. Если столбик градусника поднимается выше 38°С, нужны жаропонижающие препараты. В комнате необходимо поддерживать оптимальный уровень влажности.
Назначаемые при лечении бронхита лекарства прежде всего направлены на смягчение симптомов. Муколитики разжижают и облегчают отхождение мокроты, борются с кашлем; антигистаминные средства призваны снять аллергическую настроенность. Антибиотики назначаются только в том случае, если терапия не даёт заметных результатов.
Для эффективной борьбы с пневмонией необходимы антибиотики. Это главный метод лечения. Минимальный курс приёма – 7 дней. Могут быть назначены инъекции или таблетки. Антибиотикотерапия может спровоцировать развитие дисбактериоза. С целью предупреждения нарушения микрофлоры используются пробиотики.
Пневмония – это сложнейшее заболевание, требующее качественного и длительного лечения. Несоблюдение рекомендаций специалиста нередко приводит к тяжёлым последствиям, таким, как абсцесс или отёк легких, менингит, дыхательная недостаточность, сепсис и др.
Особенности терапии
Терапия бронхита проводится по следующему алгоритму:
- Назначается лекарство, которое непосредственно воздействует на возбудителя, нейтрализует его: противовирусное, антибактериальное, антигрибковое средства.
- Симптоматическая терапия с помощью жаропонижающих препаратов, муколитиков (Амбролитин, Амбробене, Муколван, Лазолван), противокашлевых средств, бронхолитиков.
- Ингаляции с помощью муколитиков, противокашлевых средств, Боржоми (для разжижения мокроты и увлажнения слизистых).
- Лечебная физкультура, массаж, которые направлены на отделение слизи.
Терапия воспаления легких предполагает:
- Госпитализацию.
- Постельный режим.
- Сбалансированное питание, соблюдение питьевого режима.
- Проветривание и кварцевание помещения.
- Прием антибактериальных медикаментов (Азитромицин, Пенициллин).
- При влажном кашле используются препараты для разжижения мокроты и облегчения выведения отделяемого.
- Устраняют одышку с помощью лекарств, расширяющих просвет бронхов.
- Прием жаропонижающих препаратов симптоматический.
- Прием иммуностимуляторов и витаминотерапия.
Чем отличается воспаление легких от бронхита?
Бронхит – обширное воспаление бронхиального дерева. Это вызвано инфекцией, как правило, вирусного происхождения. Возбудители прикрепляются к слизистой оболочке бронхов и бронхиол, вызывая их отек. В результате у пострадавшего нарушается функция дыхания и он не может свободно циркулировать в воспаленных бронхах.
На ранних стадиях типичными симптомами являются:
- тяжелое дыхание
- сухой раздражающий кашель
- хрипы и шипение при вдохе и выдохе.
На поздних стадиях бронхита после вирусной инфекции возникает бактериальная инфекция, и у больного появляется влажный кашель с выделением гнойной мокроты.
Пневмония – это инфекционное воспаление легочной ткани. Воспалительная реакция протекает в альвеолах, главном органе дыхательной системы, поглощающем кислород и удаляющем из организма углекислый газ.
Основными симптомами заболевания являются одышка и гипоксия во всех тканях и органах. Гипоксия особенно выражена у детей раннего возраста. Если воспаление затрагивает большие участки легких, вы можете чувствовать слабость и лихорадку в дополнение к дефициту кислорода.
Следует отметить, что у детей раннего возраста в связи с незавершенным развитием дыхательной системы инфекция быстро распространяется по бронхиальным ветвям и быстро достигает легочной ткани. Поэтому бронхит и пневмонию часто диагностируют у детей раннего возраста. При этой тяжелой патологии воспалительная реакция охватывает не только бронхи, но и альвеолы.
Как отличить болезни?
Клинические симптомы пневмонии и бронхита часто схожи, поэтому очень важно проводить дифференциальную диагностику. Для того, чтобы понять какой у пациента диагноз происходит тщательное изучение анамнеза, жалоб больного, его осмотр, проведение необходимых лабораторных и инструментальных исследований, основным из которых является рентгенография
Несмотря на все свои сходства, эти два заболевания имеют много специфических отличий, по которым их можно дифференцировать.
Ниже в таблицу мы внесли основные признаки острого бронхита и пневмонии для сравнения:
| Признак | Пневмония | Бронхит |
| Этиология | чаще всего бактерии | чаще вирусы |
| Объем поражения | локальное поражение респираторных отделов легких (альвеол, терминальных бронхиол) | диффузное поражение бронхов крупного и среднего калибра |
| Начало заболевания | характерно острое и резкое начало | более плавное начало |
| Выраженность интоксикации и лихорадки | ярко выраженные с высокой температурой | умеренно или отсутствуют |
| Катаральные явления | не характерны | хорошо прослеживаются |
| Кашель | сухой, навязчивый, постепенно переходящий в продуктивный, характерна одышка | нарастает постепенно, быстро переходит в продуктивный, одышка только при физической нагрузке |
| Аускультация | мелкопузырчатые хрипы или крепитация, не склонны к изменению локализации после кашля | сухие свистящие хрипы, меняющие свое расположение после кашля |
| Общий анализ крови | лейкоцитоз более 15, со сдвигом лейкоцитарной формулы влево часто до юных форм, токсическая зернистость нейтрофилов, резко повышенное СОЭ | умеренный лейкоцитоз и СОЭ, эозинофилия (при аллергическом генезе) |
| Рентгенографическая картина | инфильтрат (как правило, в нижней доли легкого), расширение корней | усиление легочного рисунка |
Эти различия проявляются при классическом течении заболеваний и могут отсутствовать или изменяться при их атипичном течении.
Внимание! В настоящее время количество нетипично протекающих форм пневмонии значительно возросло, поэтому самодиагностику необходимо исключить и при любых симптомах обращаться к врачу




























