Как не заразиться
Чтобы избежать инфицирования, необходимо соблюдать простейшие правила гигиены:
- Мыть руки с мылом после возвращения с улицы или контактов с окружающими.
- Не прикасаться к лицу, в особенности это относится к слизистым оболочкам.
- Пользоваться только личными средствами гигиены.
Но есть и дополнительные меры предосторожности:
- Дезинфекция гаджетов, поверхностей и рук, во время пребывания вне дома.
- Исключение тесных контактов. Особенно с людьми, имеющими явные признаки заболевания (чихание, кашель).
- Ограничение посещения общественных мест.
- Не касаться поручней, перил и подобных поверхностей без перчаток.
Чем отличается пневмония от коронавируса и что это такое далее.
Пневмония — это
Воспаление легких (пневмония) – заболевание, вызывающее поражение альвеол и нарушение газообмена. Концевые участки легких заполняются гноем или жидкостью, затрудняя дыхание.
Чем отличается пневмония от коронавируса? Ковид вызван определенной группой вирусов, а происхождение пневмонии необходимо выяснять.

Заболевание может быть вызвано микроорганизмами (грибами, микробами, вирусами) или же переохлаждением. Инфицирование пневмонией обычно происходит через дыхательные пути, в чем может проявлять себя и коронавирус. Обычные болезнетворные бактерии отфильтровываются, но некоторые микроорганизмы могут подавить иммунную систему.
Чем отличается пневмония от коронавируса? Тем, что воспаление легких при ковиде в 90% случаев наблюдается у пожилых людей. И если оно есть, то протекает тяжело. Обычную пневмонию труднее всего переносят дети и люди преклонного возраста, а также с ослабленным иммунитетом. Степень тяжести может варьироваться от легкой до смертельной. При сопутствующих хронических диагнозах риск летального исхода увеличивается.
Внебольничная плевропневмония
Внебольничная плевропневмония является одной из разновидностей воспалительных легочных процессов, при которых инфекционный возбудитель попадает в дыхательную систему за пределами стационарного или прочего лечебно-профилактического учреждения. Такая форма плевропневмонии бывает бактериальной или вирусной, а путь передачи – воздушно-капельный.
У большей части больных воспалительная реакция запускается после недолеченной ОРВИ или гриппозной инфекции, трахеита или бронхита.
Возбудитель проникает в легкие по нисходящему пути – из верхних дыхательных органов. Если иммунная защита ослаблена, то организму становится сложно побороть новые воспалительные очаги. В итоге инфекция обосновывается на легочной ткани, развивается острая плевропневмония.
Часто пациенты с внебольничной плевропневмонией уже имеют различные хронические респираторные процессы – например, хронический бронхит. Заболевание переходит в активную стадию при создании определенных условий, при ослабевании иммунной системы. Если запоздать с лечением, либо и вовсе проигнорировать его, может развиться плевропневмония.
Что такое пневмония?
Инвазия паренхимы легких болезнетворным агентом, в основном бактериями, вызывает экссудативное затвердевание (уплотнение) легочной ткани, известное как пневмония.
Классификация пневмонии основана на нескольких критериях.
Патогенез
В нормальном легком отсутствуют какие-либо болезнетворные организмы или вещества. Дыхательные пути имеют несколько защитных механизмов, направленных на предотвращение проникновения этих болезнетворных агентов.
- Носовой клиренс – частицы, осевшие в передней части дыхательных путей на нереснничном эпителии, обычно удаляются при чихании или кашле. Частицы, осевшие сзади, уносятся и проглатываются.
- Трахеобронхиальный клиренс – сопровождается мукоцилиарным действием.
- Альвеолярный клиренс – фагоцитоз альвеолярными макрофагами.
Пневмония может возникнуть, когда эти защитные механизмы нарушены или сопротивление хозяина снижено. Такие факторы, как хронические заболевания, иммуносупрессия и использование иммунодепрессантов, лейкопения и вирусные инфекции, влияют на сопротивляемость хозяина, делая его уязвимым для развития такого рода расстройств.
Механизмы зазоров могут быть повреждены несколькими способами,
Травма мукоцилиарного аппарата
Хроническое курение – основная причина разрушения мукоцилиарного аппарата.
- Вмешательство в фагоцитарное действие
- Застой в легких и отек
- Накопление легочного секрета при муковисцидозе и бронхиальной обструкции.
В чем разница между долевой пневмонией и бронхопневмонией?
Различать статью в середине перед таблицей
| Когда инфекция ограничивается только одной или несколькими долями легких, это называется крупозной пневмонией. | Бронхопневмония – это воспаление паренхимы легких, которое возникает из бронхов или бронхиол вторично по отношению к инфекции. |
| Возбудители | |
| Основные возбудители – пневмококки, клебсиеллы, стафилококки, стрептококки. | Основными возбудителями болезни являются стафилококки, стрептококки, пневмококки, гемофильная палочка и синегнойная палочка. |
| Воздействие воспаления | |
| Воспаление ограничивается одной или несколькими долями. | Воспаление не локализовано, возникают множественные воспалительные очаги. |
Различия и особенности плевропневмонии и пневмонии
Пневмония — это инфекционное заболевание, которое поражает легкие и вызывает воспаление воздушных пузырей (алвеол). Оно может быть вызвано различными микроорганизмами, такими как бактерии, вирусы и грибки. Пневмония обычно сопровождается симптомами, такими как кашель, боль в груди, повышение температуры тела и затрудненное дыхание.
Плевропневмония — это форма пневмонии, при которой нарушается работа плевры — тонкой мембраны, покрывающей легкие и внутреннюю поверхность грудной клетки. В результате воспаления плевры, легкие начинают скрипеть и не могут полностью развернуться при дыхании. Симптомы плевропневмонии могут быть похожи на симптомы пневмонии, но могут также включать боль в боку, усиливающуюся при глубоком вдохе и кашле.
Одним из главных отличий плевропневмонии от пневмонии является то, что при плевропневмонии воспаление ограничено в плевре, в то время как при пневмонии оно распространяется на алвеолы. Кроме того, плевропневмония может быть вызвана только бактериальной инфекцией, в то время как пневмония может быть вызвана различными микроорганизмами.
Лечение плевропневмонии и пневмонии обычно включает прием антибиотиков, противовирусных или противогрибковых препаратов, в зависимости от причины заболевания. Однако, в некоторых случаях, может потребоваться госпитализация для проведения дополнительных медицинских процедур и наблюдения.
| Плевропневмония | Пневмония |
|---|---|
| Ограниченное воспаление плевры | Воспаление алвеол |
| Может быть вызвана только бактериями | Может быть вызвана бактериями, вирусами или грибками |
| Симптомы могут включать боль в боку | Симптомы могут быть похожи на симптомы простой пневмонии |
| Лечение включает прием антибиотиков | Лечение включает прием антибиотиков, противовирусных или противогрибковых препаратов |
В любом случае, если у вас есть симптомы, связанные с дыхательной системой, важно обратиться к врачу для точного диагноза и назначения эффективного лечения. Плевропневмония и пневмония могут иметь серьезные последствия, поэтому раннее обращение за помощью очень важно
Причины
Возбудителем плевропневмонии является пневмококк, реже другие патогенные микроорганизмы. Например, диплобацилла Фридлендера. Основной путь инфицирования – бронхогенный. Возможно также проникновение бактерий через лимфу и кровь.
Причины развития крупозной пневмонии тесно связывают с обсеменением ротоглотки и носоглотки пневмокком. Бактерии способны вызывать воспаление легких в следующих случаях:
- повторное попадание пневмококков в дыхательные пути на фоне полного здоровья;
- активизация патогенной микрофлоры вследствие ослабления иммунитета после переохлаждения, стресса, ОРВИ, травмы и т. д.;
- размножение пневмококков на фоне нарушения функции отдельных органов и систем – аутоиммунные, хронические, онкологические заболевания, курение, наркомания, алкоголизм.
Этиология плевропневмонии может быть смешанной. У детей заболевание чаще развивается на фоне вирусной инфекции.
Профилактика воспаления легких
Снизить вероятность развития пневмонии у ребенка можно с помощью нескольких правил:
Укрепление иммунитета в период отсутствия респираторных заболеваний: прогулки, физическая активность, разумное закаливание, сбалансированное питание;
Прививки от гриппа, пневмококковой инфекции, гемофильной инфекции согласно календарю и при отсутствии противопоказаний;
Ограничение общения с инфекционными больными;
Предупреждение переохлаждения, длительного пребывания на сквозняке;
Своевременное лечение лор-заболеваний, обращение к педиатру при первых признаках ОРВИ.
Эффективность лечения пневмонии у детей зависит от того, как быстро были приняты первые меры. Помните, что воспаление легких может быть опасно формированием необратимых хронических заболеваний, не откладывайте получение помощи.
Обратиться к квалифицированному врачу вы можете в клинике «Семейный доктор». Наши специалисты проведут точную диагностику и дадут рекомендации, направят на госпитализацию при наличии показаний, дадут ответы на интересующие вопросы. Современное оснащение позволяет нам быстро получить информацию о состоянии здоровья ребенка и не терять драгоценного времени.
Для записи к педиатру на удобное для Вас время, позвоните по телефону единого контакт-центра в Москве +7 (495) 775 75 66 , воспользуйтесь сервисом онлайн-записи к врачу или обратитесь в регистратуру клиники.
Что такое крупная пневмония?
Когда инфекция ограничивается только одной или несколькими долями легких, это называется крупозной пневмонией. Основными возбудителями заболевания являются пневмококки, клебсиеллы, стафилококки, стрептококки.
Затор
Легкое тяжелое, болотное и красное. Эта стадия характеризуется нагрубанием сосудов, внутриальвеолярной жидкостью с небольшим количеством нейтрофилов и часто присутствием многочисленных бактерий.
Красная гепатизация
Застой сопровождается красной гепатизацией, которая характеризуется массивной сливной экссудацией с эритроцитами, нейтрофилами и фибрином, заполняющими альвеолярные пространства.
Серая гепатизация
На стадии серой гепатизации из-за прогрессирующего распада красных кровяных телец, накопившихся в альвеолярных пространствах, легкие приобретают серый цвет. Этот сероватый вид усиливается наличием гнойного экссудата фибрино.
разрешение
На заключительном этапе патогенеза консолидированный экссудат, накопившийся в альвеолярных пространствах, подвергается прогрессивному ферментативному перевариванию с образованием гранулированных полужидких частиц, которые реабсорбируются и поглощаются макрофагами или откашливаются.
Осложнения
- Абсцесс – в результате разрушения и некроза тканей
- Эмпиема – в результате распространения инфекции в плевральную полость.
- Организация
- Распространение в кровоток.
Расследования
- Рентген грудной клетки показывает области консолидации и может дать полезные подсказки для определения возбудителя.
- Мокрота на посев и окрашивание по Граму
- Бронхоскопия может быть выполнена при подозрении на злокачественное новообразование или обструкцию дыхательных путей.
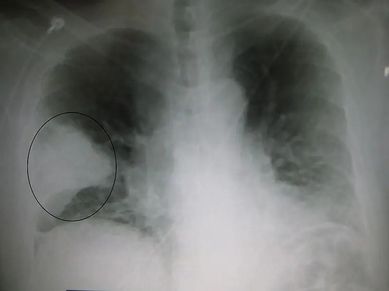
Разница между крупозной пневмонией и бронхопневмонией
Рисунок 01: Внешний вид рентгеновского снимка грудной клетки при долевой пневмонии
Управление
Эмпирическую антибактериальную терапию можно начинать после взятия образцов для исследования. Назначенные антибиотики могут быть изменены после получения результатов теста на чувствительность к антибиотикам и результатов посева. Пациентам с тяжелым затруднением дыхания следует оказывать искусственную вентиляцию легких.
Формы пневмонии разной степени поражения
Можно выделить такие как:
- очаговая,
- сливная,
- сегментарная,
- полисегментарная,
- долевая.
Патогенез происходит следующим образом: очаговая форма склонна перерастать в сливную, сегментарная − в полисегментарную. Результатом прогрессирования бронхиальной пневмонии может стать долевая. Она возникает не только вследствие очаговой, но и как самостоятельное заболевание, вызванное пневмококком. Эта форма воспаления легочной ткани является отдельной категорией и не относится к бронхиальной.
Сливная бронхопневмония является осложненной формой очаговой и образуется в результате объединения очагов поражения в участки размером до 10 см.
Сегментарная бронхиальная пневмония выражена локализацией воспалительных процессов в пределе бронхолегочного сегмента. Является второй по распространенности формой заболевания после очаговой.
Полисегментарная бронхопневмония поражает несколько сегментов легкого. Ее патогенез характеризуется стремительностью: полисегментарная пневмония быстро прогрессирует, поэтому лечить ее следует незамедлительно. В противном случае возможен даже летальный исход. В результате повреждения плевры отмечается сильно выраженный дискомфорт.
Симптомы и признаки плевропневмонии долей легких и плевры
Плевропневмония долей легких и плевры всегда развивается быстро и ярко. Человек может даже определить час и день, когда он заболел. Яркая симптоматика позволяет точно установить, что начинается болезнь, что способствует скорейшему обращению к врачу за помощью. Какие симптомы и признаки говорят о том, что человек заболел плевропневмонией?
- Начинается все с трех основных симптомов: сильного озноба, повышенной до 40ºС температуры и острых болей в груди, особенно при дыхании.
- При воспалении нижних отделов легких боль возникает и в животе.
- Начинает появляться вялость.
- Возникают сильные головные боли, которые похожи на мигрень.
- Появляется рвотный рефлекс, возбужденность и помутнение рассудка.
- Появляется одышка как основной признак любого вида пневмонии.
- У детей наблюдается втягивание кожи при вдохе со стороны воспаленного участка.
- Появляется на 4 день сильный кашель, вместе с которым отходит мокрота рыжего или коричневого оттенка.
- Возникает частое дыхание и учащенный пульс.
- Щеки краснеют с одной стороны.
- Кожа становится бледной или синюшной.
Симптоматику наблюдают по стадиям развития болезни:
- Стадия прилива – бактериальный отек – развивается до 3 дней – гиперемия, отек легких, экссудация ткани.
- Стадия уплотнения:
- Красное опеченение ткани – заполнение альвеол плазмой с большим количеством эритроцитов и фибрина;
- Серое опеченение – разрушение эритроцитов, скопление лейкоцитов, образование пленки из фибрина, переход гемоглобина в гемосидерин.
- Стадия разрешения – длится до 2 недель – растворение фибрина, рассасывание экссудата.
Обычно плевропневмония длится около 2 недель. Именно за этот период больной должен обратиться за врачебной помощью. Если он пренебрегает медикаментозным лечением под руководством врача, тогда у него неизбежно развиваются различные осложнения. Возникает отек легких, появляется сильная одышка и затрудненное дыхание, хрипы, которые приводят, например, к возникновению острой дыхательной недостаточности.
Когда больной лечится и наступают улучшения в здоровье, температура спадает, человек может жаловаться на:
- вялость, оглушенность, усталость,
- или возбудимость, эмоциональность, плаксивость.
Что такое пневмония?
Инвазия паренхимы легких болезнетворным агентом, в основном бактериями, вызывает экссудативное затвердевание (уплотнение) легочной ткани, известное как пневмония.
Классификация пневмонии основана на нескольких критериях.
- По отношению к возбудителю – Бактериальное, вирусное, грибковое.
- Что касается общего анатомического распределения болезни – долевая пневмония, бронхопневмония.
- Относительно места приобретения пневмонии – внебольничной, больничной
- По характеру реакции хозяина – гнойная, фибринозная.
Патогенез
В нормальном легком отсутствуют какие-либо болезнетворные организмы или вещества. Дыхательные пути имеют несколько защитных механизмов, направленных на предотвращение проникновения этих болезнетворных агентов.
- Носовой клиренс – частицы, осевшие в передней части дыхательных путей на не реснитчатом эпителии, обычно удаляются при чихании или кашле. Частицы, осевшие сзади, уносятся и проглатываются.
- Трахеобронхиальный клиренс – сопровождается мукоцилиарным действием.
- Альвеолярный клиренс – фагоцитоз альвеолярными макрофагами.
Пневмония может возникнуть всякий раз, когда эта защита нарушена или сопротивление хозяина снижено. Такие факторы, как хронические заболевания, иммуносупрессия и использование иммунодепрессантов, лейкопения и вирусные инфекции, влияют на сопротивляемость хозяина, делая его уязвимым для развития такого рода расстройств.
Механизмы зазоров могут быть повреждены несколькими способами,
Подавление кашлевого рефлекса и рефлекса чихания
Вторично после комы, анестезии или нервно-мышечных заболеваний.
Травма мукоцилиарного аппарата
Хроническое курение – основная причина разрушения мукоцилиарного аппарата.
- Вмешательство в фагоцитарное действие
- Застой в легких и отек
- Накопление легочного секрета при муковисцидозе и бронхиальной обструкции.
Лечение воспаления легких
В обязательном порядке назначаются таблетированные антибиотики, только при тяжелой пневмонии начинают с внутривенного введения антибиотиков, но через несколько дней при улучшении состояния переводят на таблетки. Лечение завершается через 3 суток после нормализации температуры, в общей сложности на терапию может уйти неделя, при тяжелом воспалении проводится 10-дневное лечение.
В настоящее время с целью профилактики используются пневмококковая и гриппозная вакцины, и после гриппа или респираторной вирусной инфекции пневмонии развиваются много реже. Так рекомендуют поступать все мировые клинические стандарты, так проводится диагностика и лечение в Международной клиники Медика24, а после него предложат индивидуальную программу реабилитации, чтобы восстановление было быстрым и полным. Запишитесь на консультацию: +7(991) 646-89-39
Оглавление:
Пневмония, или воспаление легких – острое локальное воспаление легочной ткани инфекционного характера. Чаще поражаются респираторные отделы легких – альвеолы, бронхиолы. Воспаление может затрагивать интерстициальную ткань, однако в современной классификации его относят к альвеолитам.
В России ежегодно пневмонию диагностируют примерно у 1,5 млн человек. В группе болезней органов дыхания на воспаление легких приходится 50 % летальных исходов. В среднем смертность от заболевания составляет 21 случай на 100 тыс. жителей. Среди всех причин смертности воспаление легких находится на 5 месте после сердечно-сосудистых патологий, онкологических заболеваний, травм и отравлений.
Чаще других риску развития пневмонии подвержены дети до двух лет и люди старше 65 лет. Вероятность летального исхода выше у людей пожилого возраста, имеющих сопутствующие заболевания.
Терапия
В подавляющем большинстве случаев лечение заболевания проводят в условиях стационара, во избежание развития опасных осложнений, включая плеврит, острую дыхательную недостаточность, инфекционно-токсический шок и в крайних случаях – летального исхода. Рекомендовать терапию на дому врач может при легком течении инфекции и только при условии четкого соблюдения пациентом прописанной схемы.
Лечение в первую очередь должно быть направлено на уничтожение возбудителя болезни
В ходе проводимого лечения должны реализовываться следующие цели:
- эрадикация микроорганизма, вызвавшего воспаление;
- купирование проявления патологии;
- нормализация функциональных нарушений органа дыхания и лабораторных показателей;
- разрешение инфильтративных изменений в ткани легкого;
- профилактика потенциальных осложнений заболевания.
Препаратами первой линии при болезни выступают те, действие которых направленно на устранение клеток-возбудителей – антибиотики, реже – противовирусные или противогрибковые средства. В дополнении к таким средствам для снижения выраженности симптомов применяются:
- противовоспалительные, противокашлевые, жаропонижающие лекарства;
- бронхолитики;
- растворы для ингаляций;
- методы физиотерапии – электрофорез рассасывающих средств, магнитотерапия, прогревание легких;
- дыхательная гимнастика;
- массаж грудной клетки;
- рецепты народной медицины.
Наиболее эффективными при пневмонии считаются такие лекарственные средства, как:
- антибактериальные: Аугментин, Амоксиклав, Азимед, Сумамед, Роксибид, Клацид;
- антибиотики резерва: Моксимак, Спарфло, Супракс, Левофлокс, Цедекс;
- противовирусные: Цитотект, Хумаглобин, Фоскарнет, Ганцикловир;
- противогрибковые: Кетоконазол, Итраконазол, Флуконазол, Амфотерицин;
- противовоспалительные: Ибупрофен, Нимесулид;
- жаропонижающие: Парацетамол, Фервекс, Терафлю;
- противокашлевые: Ацетилцистеин, Эрдостеин, Бронхикум, Бромгексин, Аскорил;
- бронхолитики: Теофиллин, Беродуал, Сальбутамол, Фенотерол, Эуфиллин.
Также важно ограничить контакты с окружающими лицами, во избежание передачи инфекции друг другу
Нетрадиционное лечение заболевания
По рекомендации врача, для улучшения состояния больного и снижения проявлений болезни, могут использоваться рецепты народной медицины, а именно:
- рецепт №1: ½ л дегтя медицинского вливают в стеклянную банку объемом 3 л, заливают кипятком до полного заполнения тары. Банку плотно закрывают крышкой и держат в теплом месте на протяжении 9 суток. Готовое средство принимают перорально перед сном, не запивая водой, взрослые – по 1 ст. ложке, дети – по 1 ч. ложке, утром жидкость используют для полоскания горла;
- рецепт №2: 1 ч. ложку корней и листьев мать-и-мачехи смешивают с таким же количеством душицы, заливают 1 л кипятка и настаивают на протяжении 1 ч. Готовый травяной настой пьют по ½ стакана 2 раза в сутки перед приемом пищи;
- рецепт №3: равные части (по 1 ст. ложке) плодов аниса, сосновых почек, корней алтея, листьев солодки и шалфея смешивают, заливают 1 л горячей кипяченой воды и отваривают на медленном огне в течение 15 мин. Далее отвар процеживают, остужают и принимают по ¼ стакана каждые 3 ч;
- рецепт №4: несколько листьев алоэ заливают 250 мл красного вина и добавляют 1 ч. ложку жидкого меда. Бальзам настаивают 14 суток, а затем пьют по 1 ст. ложке перед приемом пищи 3 раза в день.
Принимать домашние препараты следует только по назначению врача, поскольку учесть наличие у больного противопоказаний к таким средствам и возможные побочные эффекты от их приема может только специалист
Важно при приготовлении народных лекарств соблюдать рекомендуемые пропорции и не превышать назначенных дозировок
Лучшие специалисты в Санкт-Петербурге с рейтингом 4.5+
Киселева Людмила Ивановна
Специализация: Терапевт, Врач УЗИ, Сомнолог, Пульмонолог
Врачебный стаж: с 2013 года
Где ведет прием: Инфекционная клиника ID-Clinic
Записаться
Ухаботин Антон Сергеевич
Специализация: Терапевт, Пульмонолог
Врачебный стаж: с 2011 года
Где ведет прием: МЦ Медпомощь 24 Заневский
Записаться

Васильева Инна Александровна
Специализация: Пульмонолог
Врачебный стаж: с 2005 года
Где ведет прием: МЦ Энергия Здоровья, Благодатная клиника
Записаться

Овчинникова Татьяна Владимировна
Специализация: Пульмонолог
Врачебный стаж: с 2011 года
Где ведет прием: МЦ Лонга Вита, Городская многопрофильная больница №2
Записаться
Вострикова Екатерина Борисовна
Специализация: Гастроэнтеролог, Пульмонолог
Врачебный стаж: с 2007 года
Где ведет прием: СМ-Клиника на Ударников
Записаться
Спицына Надежда Филипповна
Специализация: Терапевт, Пульмонолог
Врачебный стаж: с 1986 года
Где ведет прием: СМ-Клиника на Малой Балканской
Записаться
Питиримова Елена Сергеевна
Специализация: Пульмонолог, Аллерголог, Иммунолог
Врачебный стаж: с 2004 года
Где ведет прием: СМ-Клиника на Ударников, СМ-Клиника на Малой Балканской
Записаться
Нереуца Лидия Альвиновна
Специализация: Педиатр, Пульмонолог, Аллерголог, Иммунолог
Врачебный стаж: с 2003 года
Где ведет прием: СМ-Клиника на Дунайском
Записаться
Шибут Светлана Николаевна
Специализация: Терапевт, Пульмонолог
Врачебный стаж: с 2015 года
Где ведет прием: СМ-Клиника на Маршала Захарова
Записаться
Котюргина Татьяна Геннадьевна
Специализация: Терапевт, Пульмонолог
Врачебный стаж: с 1998 года
Где ведет прием: СМ-Клиника на Выборгском
Записаться

Игнатьев Вячеслав Анатольевич
Специализация: Пульмонолог, Аллерголог, Иммунолог, Диетолог
Врачебный стаж: с 1976 года
Где ведет прием: СМ-Клиника на Дунайском, СМ-Клиника на Выборгском, СМ-Клиника на Малой Балканской
Записаться
Борисова Дарья Сергеевна
Специализация: Педиатр, Пульмонолог
Врачебный стаж: с 2016 года
Где ведет прием: СМ-Клиника на Выборгском
Записаться
Коваль Инга Станиславовна
Специализация: Терапевт, Пульмонолог
Врачебный стаж: с 2015 года
Где ведет прием: СМ-Клиника на Малой Балканской
Записаться
Кожубаева Наталья Анатольевна
Специализация: Терапевт, Пульмонолог
Врачебный стаж: с 2010 года
Где ведет прием: СМ-Клиника на Выборгском
Записаться
Легошина Анна Валерьевна
Специализация: Терапевт, Пульмонолог
Врачебный стаж: с 2016 года
Где ведет прием: СМ-Клиника на Ударников
Записаться
Панченко Василиса Львовна
Специализация: Терапевт, Пульмонолог
Врачебный стаж: с 2017 года
Где ведет прием: СМ-Клиника на Маршала Захарова, Городская больница № 15
Записаться
Смирнов Юрий Викторович
Специализация: Терапевт, Пульмонолог
Врачебный стаж: с 1997 года
Где ведет прием: СМ-Клиника на Маршала Захарова
Записаться

Ульянова Инна Владимировна
Специализация: Гепатолог, Педиатр, Пульмонолог, Инфекционист
Врачебный стаж: с 1990 года
Где ведет прием: Клиника доктора Пеля
Записаться
Литература
- Сатьвестров В.П. О диагностике и лечении пневмоний. // Терапевтический архив. 1998.-№9, с.45-49,
- Трубников Г-В. Внутрибольннчные респираторные инфекции зависимость частоты и клиники от нрофнля стационара, факторы риска. / Г.В. Трубников, Е.Б. Клестер, Б.И. Козлов. Н Пульмонология. 2004. – №3. -С. 32 -38.
- Тюрин. И-Е. Компьютерная томография органов грудной полости. -СПб.: Элбн, 2003.
- Хруслова Н.В. Первичные атипичные пневмонии, вызванные агентом Итона, //Сов. Мед. 1968. 5. – C-7I
- Якиманская К.И. Клиническое течение пневмонии у детей, инфицированных Mycoplasma pneumoniae- // Педиатрия- 1970. – Jfe 12. – С. 82.
Хроническая обструктивная болезнь легких
Как диагностировать хроническую обструктивную болезнь легких? Хроническая обструктивная болезнь легких (ХОБЛ) – это название группы заболеваний легких, вызывающих затруднения дыхания, включая:
эмфизему – патологическое расширение легких, при котором неестественно раздуваются и растягиваются ткани;
хронический бронхит – длительное воспаление дыхательных путей.
Хроническая обструктивная болезнь – это распространенное заболевание, которое в основном поражает курящих людей среднего и пожилого возраста (40- 50 лет).
Читать далее

Что покажет КТ легких с контрастом и без
Компьютерная томография лёгких – это неинвазивный метод обследования, который проводят в рамках КТ органов грудной клетки. Цель данного сканирования – максимально визуализировать лёгкие, бронхи, плевру, нижнюю часть трахеи, ткани средостения, нижнюю часть пищевода.
Читать далее
Лечение пневмонии
Краеугольным камнем лечения пневмонии являются антибиотики. Выбор антибиотика осуществляется в зависимости от микроорганизма, вызвавшего пневмонию. Используются также препараты, расширяющие бронхи и разжижающие мокроту — внутрь или в виде ингаляций, кортикостероиды, внутривенные солевые растворы, кислород. Иногда выполняются плевральная пункция и бронхоскопия. Часто используется физиотерапияультрафиолетовое облучение, вибрационный массаж, лечебная физкультура, парафин, озокерит.
При неопределённом типе возбудителя в антибиотикотерапии внебольничной пневмонии применяют сочетание защищённых пенициллинов и цефалоспоринов (то есть антибиотики широкого спектра), макролидов; применяются также карбапенемы (тиенам, меропенем), респираторные фторхинолоны. При неэффективности терапии производят замену антибиотика. Критерием успешности терапии является нормализация температуры тела на третий день от начала применения антибиотика, а также данные объективного исследования и рентгенографии грудной клетки.
Осложнения плевропневмонии
Другим частым осложнением плевропневмонии является эмпиема плевры. Эмпиема — это гнойное воспаление полости между легким и внутренней оболочкой грудной клетки. Она может возникнуть в результате распространения инфекции из легких или через кровоток. Лечение эмпиемы плевры требует дренирования гнойной полости и назначения антибиотиков.
К другим осложнениям плевропневмонии относятся пневмоторакс и шок. Пневмоторакс — это образование свободного воздуха в плевральной полости, что приводит к сдавлению легкого и затруднению дыхания. Шок — это серьезное состояние, характеризующееся снижением кровяного давления и нарушением функций органов.
| Осложнение | Описание |
|---|---|
| Апсцесс легкого | Ограниченное гнойное воспаление в легочной ткани, требующее дополнительного лечения. |
| Эмпиема плевры | Гнойное воспаление полости между легким и внутренней оболочкой грудной клетки, требующее дренирования и антибиотиков. |
| Пневмоторакс | Образование свободного воздуха в плевральной полости, приводящее к сдавлению легкого и затруднению дыхания. |
| Шок | Серьезное состояние, характеризующееся снижением кровяного давления и нарушением функций органов. |





























