Чем МРТ принципиально отличается от УЗИ?
УЗИ – традиционный метод исследования внутренних органов, который дает возможность оценить строение, анатомические особенности, уже достаточно развившиеся нарушения и прогрессирующие патологии, структуру тканей. Аппараты для УЗИ-диагностики дают недостаточно детализированное изображение, преимущественно двумерное (в двух плоскостях, с измерением по ширине и длине). Поэтому на черно-белом снимке видны лишь какие-то размытые очертания, для понимания которых необходимо уметь их «читать».
Аппарат МРТ делает послойные срезы внутренних органов и визуализирует информацию в виде трехмерного изображения. Исследование с высокой степень точности, детализировано показывает не только состояние каждого внутреннего органа, но и его функцию в динамике. Поэтому при подозрении на опухоль, функциональные нарушения, для более точного обследования и подтверждения диагноза рекомендуется сделать МРТ брюшной полости.
Сравнение стоимости проведения обследования
Некоторые пациенты во время процедуры обнаружили у себя клаустрофобию, приходилось нажимать сигнальную кнопочку. А есть и такие, которые умудрились за 40 минут исследования расслабиться и отдохнуть.
Средняя стоимость УЗИ в частных клиниках Москвы варьирует от 1000 до 2500 рублей, а процедура томографии в несколько раз дороже – от 4500 до 11000 рублей, в зависимости от объема исследования и применяемой технологии.
Независимо от множества различий в методах, вопрос о том, что лучше сделать – МРТ или УЗИ органов брюшной полости, должен решать врач с учетом показаний, противопоказаний, особенностей состояния здоровья пациента.
В чем различия методов?
Несмотря на общую схожесть процедур, разница между МРТ и КТ все же есть. Принципиально разные цели исследования и задачи диагностирования. Сложно сказать, что из них информативнее, так как области обследования значительно отличаются.
При МРТ печени можно увидеть нарушения кровотока, наличие опухолей в тканях, при КТ позвоночника легко определить структурные изменения в костной системе, защемления суставов и артерий. МРТ органов малого таза выявит причину кровотечений, нервные защемления, воспалительные процессы в сосудах. КТ легких укажет на опухоли, отобразит структуру и позволит определить природу затемнений.
Иногда наиточнейшую информацию не удается получить после одной процедуры, и назначают тут же следующее исследование. Отличие диагностики КТ от МРТ позволяет методам друг друга дополнять и получать еще более полную картину состояния организма.
Компьютерная томография чаще всего назначается тем пациентам, у которых есть подозрения на аномалии развития костной системы, при поражении суставов, при неуточненных диагнозах, после получения травм или ушибов. КТ сможет отобразить состояние грыжи, легко установит отклонения в развитии суставов, поражения позвоночника и его отделов, покажет повреждения головного мозга, определит и уточнит природу заболевания органов грудной клетки, выявит болезни щитовидки, обнаружит камни или воспалительные процессы.
МРТ печени покажет разницу состояния мягких тканей, состояние сосудов и суставов. Обнаружит опухоли и новообразования в мягких тканях, отобразит избыточное внутричерепное давление, кровотечение. МРТ хорошо и подробно поможет изучить подкорковую область головного мозга, оболочки и структуры спинного мозга, поможет установить точный диагноз пациентам с неврологическими заболеваниями. МРТ печени и желудка установит проблемы желудочно-кишечного тракта, диагностирует тех, кто перенес инсульт или страдает судорожными симптомами, эпилепсией и другими нервными заболеваниями.
Отличие КТ от МРТ имеет и ещё одну разницу – в цене. Дороже будет МРТ из-за дороговизны аппарата, на котором делают сканирование – томографа. Отсюда же вытекает еще одно отличие – доступность компьютерной томографии. КТ можно сделать практически во всех крупных клиниках и медицинских центрах, есть возможность получить процедуру бесплатно. Аппарат для магнитного сканирования могут позволить себе лишь крупные клиники и платные центры здоровья, в этом главная разница.
Противопоказания для проведения УЗИ и КТ
К каждому из методов имеются противопоказания. Однако у УЗИ они не такие глобальные, как у КТ, что связано с видом используемого излучения и спецификой аппаратов.
Противопоказания к УЗИ:
- наличие воспалений или ран на коже в области проекции органа;
- трансвагинальное и трансректальное УЗИ некоторое время нельзя делать после ряда предшествовавших операций;
- мочеполовую систему осматривают только при наполненном мочевом пузыре, в противном случае такая диагностика будет неинформативной;
- для обследования состояния яичников, матки или молочных желез УЗИ лучше делать в определенный день цикла, так как результат зависит от гормонального состояния.
В ситуации с УЗИ уместнее говорить о рекомендациях, чем о противопоказаниях, поскольку никакой опасности метод не несет. В худшем случае пациенту придется столкнуться с неинформативностью и необходимостью повторно обратиться к врачу.
Противопоказания к КТ:
- Нельзя помещать в томограф пациентов, которые тяжелее 150 кг, поскольку аппарат имеет ограничение по весу и может сломаться.
- Противопоказано проведение КТ беременным и кормящим. Если есть крайняя необходимость применить томографию в период лактации, то между процедурой и последующим кормлением необходимо подождать не менее суток.
- Младший детский возраст.
- Почечная недостаточность.
- Заболевания щитовидной железы.
- Миеломная болезнь.
- Клаустрофобия.
- Наличие гипсовых повязок или металлоконструкций в области исследования.
- Сахарный диабет.
Эти противопоказания не являются абсолютными. В экстренных случаях эти категории пациентов могут прибегнуть к КТ, однако прежде врач оценивает соотношение риска и пользы от процедуры.
Чем отличается МРТ головы, ЭЭГ и УЗИ
Главные отличия УЗИ, МРТ и ЭЭГ заключаются в принципах влияния на человеческий организм, способе функционирования оборудования.
МРТ прекрасно показала себя при всестороннем исследовании внутримозговых нарушений, обнаружении всевозможных новообразований головы пациента. Когда делают МРТ шейного отдела позвоночника или головы устанавливается специальная катушка, позволяющая усилить эффективность изображения.
Итогом диагностики является трехмерное изображение, которое способно помочь лечащему доктору установить верный диагноз.
УЗИ проходит благодаря воздействию звуковых волн с настолько высокой частотой, что человеческое ухо не может их воспринимать. При проникновении через организм человека происходит отражение эхо-сигналов с различными скоростными параметрами. Диагностируются процессы, происходящие внутри тела человека.
Часто при обследовании применяется ультразвуковая методика под названием нейросонография, которая с высокой точностью определяет размеры отдельных участков головы, наличие различных аномалий, раковых образований.
ЭЭГ (электроэнцефалография) фиксирует биоэлектрическую активность головного мозга, которая обрабатывается устройством, отображается в форме волновых колебаний на бумажной ленте или записывается отдельным файлом на компьютере.
Проводят ЭЭГ при помощи аппарата под названием электроэнцефалограф. По области головы распределяют специальные электроды, регистрирующие электрические сигналы от клеток мозга и перерабатывающие их в электрический колебательный процесс. Результатом электроэнцефалографии является получение снимка, который отображается на бумаге, выглядит, как волны с различной амплитудой.
ЭЭГ не способна определить вид и место органического нарушения, но готова предоставить данные о наличии патологии и выявить участок головного мозга , который ее содержит. Сравнивая с МРТ, способ дает возможность обнаружить нарушения психического типа в деятельности мозга.
Для правильного ответа на вопрос: что сделать УЗИ сосудов и коры головного мозга или МРТ нужно ориентироваться в положительных моментах обоих методов обследования.
УЗИ делает возможным исследовать детей с недостатком внимания. Проведение осуществляется скоротечно. Во время сканирования нет надобности продолжительное время лежать в неподвижном состоянии. Правильная подготовка к МРТ головного мозга позволяет предотвратить осложнения.
МРТ обследование служит одним из лучших способов для диагностики патологий головного мозга органического типа, эффективнее способно обнаружить раковые образования при первоначальных этапах развития, правильно назначить методику лечения.
При сравнении с ультразвуковым исследованием, МРТ энцефалография имеет один важный отличительный признак. УЗИ головного мозга или МРТ предполагают диагностику анатомических нарушений, а ЭЭГ направлена больше на обследование функционального состояния головного мозга. МРТ и ЭЭГ ставят перед собой совершенно разные задачи.
Особенности ультразвукового обследования сосудов головного мозга
При выполнении УЗИ доктор способен узнать структуру исследуемого сосуда, принять решение о функциональной способности, наличии патологических отклонений, дефектах. Метод диагностики носит название: допплерография.
Процедура делится на три вида:
Стандартная форма, которая выглядит, как двухплоскостное обследование – способ дает возможность произвести полноценное исследование, изучив сосуды до места их попадания в каналы, заметив новообразования.
Дуплексная форма – результаты сканирования (отображение сосудистой системы головного мозга) выдаются человеку в образе цветного изображения. Врач имеет детальную картину как внечерепной, так внутричерепной структуры, что кардинально упрощает определение диагноза.
Трехмерное ультразвуковое обследование позволяет создать сопоставимое по информативности с фотографическим отображение сосудов для дальнейшего анализа состояния верификации структурных нарушений. Имеется один минус, который не позволит врачу добиться получения данных о функциональном состоянии кровоснабжения.
Выполнение ультразвукового обследования необходимо при жалобах на появление симптомов, говорящих о сосудистых нарушениях области головного мозга. К основным признакам можно отнести учащение болей, беспричинные головокружения, немощь, которая может доходить до потери сознания.
Томография головного мозга
Если в качестве ключевого критерия выбора выступает уровень информативности, то магнитная томографии окажется предпочтительней, поскольку обеспечит детализированный результат.
Даже КТ не может сравниться с магнитной томографией в информативности при обследовании мягких тканей и сосудистой системы.
Некоторые разновидности УЗИ предполагают проведение специальной подготовки. Если предстоит исследовать брюшную полость, пациенту стоит воздержаться от еды и питья или за несколько дней до процедуры соблюдать диету.
В случае диагностики органов мочеполовой системы, наоборот, рекомендуется пить воду. Одним из преимуществ МРТ является отсутствие предварительной подготовки. Больному предстоит снять с себя металлические предметы и переодеться в одноразовую одежду.
Если же исследование проводится с использованием контраста, специалисты рекомендуют воздержаться от еды и питья за 6-8 часов до процедуры. По этой причине диагностику предпочтительнее проводить утром (натощак).
Сравнение показаний и противопоказаний к УЗИ и МРТ брюшной полости
УЗИ брюшной полости назначают, как правило, для проведения первичного обследования и выявления патологических отклонений в следующих случаях:
- при болях в животе, тошноте, рвоте, изжоге;
- при нарушении функции печени, поджелудочной железы;
- при расстройствах кишечника;
- при подозрении на опухоль;
- для контроля после проведенного лечения.
Томография, как более точное исследование, показана по результатам УЗИ при выявлении первичной патологии для ее уточнения. МРТ позволяет определить не только анатомические изменения, но и функциональные почти на клеточном уровне.
Существует разница и в противопоказаниях. Эхография может выполняться сколько угодно раз, не противопоказана пациентам любого возраста, начиная с момента рождения, беременным. Единственным препятствием к исследованию могут быть повреждения и заболевания кожи живота, аллергия на контактный гель, которым смазывают кожу пациента.

МРТ имеет определенные противопоказания:
- наличие несъемных зубных протезов;
- металлические предметы в теле – осколки, дробь, штифты, шурупы, пластины, скобы и титановые швы после операций;
- искусственные клапаны в сердце;
- имплантированный кардиостимулятор;
- наличие нейростимулятора;
- психические заболевания;
- первый триместр беременности;
- клаустрофобия;
- бронхиальная астма;
- сердечная недостаточность.
В трех последних случаях исследование возможно на новых аппаратах открытого типа, которые есть в современных клиниках.
Для чего применяют УЗИ и МРТ
Ультразвуковое и магнитное исследования могут быть применены практически для всех видов внутренних органов. Это критерии, по которым данные методики не отличаются. Чем отличается МРТ и УЗИ друг от друга? Прежде всего, разница в принципе действия. Магнитно-резонансная томография позволяет осуществлять более точное исследование, чем ультразвуковая процедура. К магнитно-резонансной томографии прибегают в случае возникновения необходимости исследовать следующие органы:
- головной мозг;
- позвоночник;
- суставы;
- мягкие ткани;
- верхние и нижние конечности.
При помощи МРТ осуществляются исследования таких органов, как сердце, печень, легкие, молочные железы и брюшная полость. В то время как ультразвуковым исследованием пользуются в случае необходимости выявления патологий в следующих органах и системах:
- диагностика беременности;
- обследование органов малого таза и брюшной полости;
- обследование сердца и сосудистой системы.
Из выше представленного можно сделать вывод, что МРТ преимущественно предназначается для исследования костных тканей, в чем процедура превосходит УЗИ. Ультразвуковое исследование превосходит МРТ по профилактике и диагностике патологий внутренних органов.
Рентген
Наиболее старый и привычный метод визуализации человеческого тела. Применяют рентген повсеместно, от хирургии до стоматологии. Метод прост и понятен: человека облучают особыми лучами, которые легко проходят сквозь мягкие ткани и задерживаются в твёрдых. Благодаря этому принципу, на фотоплёнку или датчик, расположенные на противоположной от источника лучей стороне, передаётся изображение, а в распоряжение врача попадает рентгенография или рентгеноскопия.
Главные плюсы такого обследования: быстрота и стоимость. Рентгеновскими аппаратами оснащены практически все больницы, процедура проходит быстро и стоит недорого.
Главные минусы: облучение и качество изображения. При проведении рентгенографии пациент облучается, а картинка получается двумерной. Врач с трудом может разглядеть внутренние органы по отдельности, поскольку их тени перекрывают друг друга. Также невозможно детально разглядеть хрящевую ткань и мозг. Хрящи практически не задерживает лучи, мозг надёжно закрыт черепной коробкой. Для их исследования рентгенография не подойдёт.
Наиболее эффективно будет проводить рентгенографию при повреждениях костей, суставов и зубов.
Узи головы мрт что лучше. Компьютерная томография или узи что лучше
Ультразвуковое обследование стоит намного дешевле, а МРТ является в ряде случаев более информативным. Ответить на этот вопрос однозначно невозможно. В каждом конкретном случае будет предпочтителен тот или иной метод. Давайте рассмотрим критерии, по которым можно будет выбрать наиболее подходящий из методов в зависимости от имеющейся проблемы. Ультразвуковое исследование предполагает использование ультразвуковых волн, которые проходят вглубь человеческого тела и отражаются от органов и тканей.
Современная медицина имеет множество различных диагностических методов. Каждый из них обладает своими достоинствами и недостатками. В ряде случаев особенно, при исследовании органов брюшной полости возникает вопрос: что же лучше выбрать между МРТ и УЗИ. Оба метода исследования могут применяться для исследования одних и тех же органов.
В чем отличие мрт от узи. Узи или мрт что лучше
Отдавая предпочтение МРТ или УЗИ специалист учитывает множество факторов: совокупность симптомов, данные анамнеза пациента, индивидуальные особенности его организма. Чтобы понять какими принципами руководствуется доктор при составлении программы диагностики, следует рассмотреть эти процедуры более детально. Магнитно-резонансная томография — неинвазивная манипуляция, основанная на магнитном резонансе ядер водорода при возбуждении их определенной комбинацией электромагнитных волн. Поскольку содержание водорода в разных тканях неодинаково, на снимках, полученных в результате МРТ, можно четко дифференцировать различные анатомические структуры. В основе УЗИ лежит распространение ультразвука в организме человека. При переходе между тканями с различной акустической плотностью часть ультразвукового пучка отражается. Отраженный эхосигнал фиксируется специальными системами, и после обработки выводится на экран монитора в виде черно-белых срезов исследуемого участка тела.
ПОСМОТРИТЕ ВИДЕО ПО ТЕМЕ: Что лучше КТ или МРТ? Отвечает рентгенолог Наталья Петровская
Чем отличается УЗИ от МРТ и что лучше выбрать
Вопрос такого характера волнует многих пациентов, которым показано прохождение профилактического исследования. Ведь на основании того или иного метода будет поставлен диагноз и назначено лечение. Если диагноз будет поставлен неправильно, то лечение окажется не эффективным, что повлечет за собой осложнение развивающегося недуга. УЗИ и МРТ — это две совершенно разные методики исследования, которые объединяются только предназначением — исследовать органы и части тела человека. Магниторезонансная томография представляет собой диагностическую процедуру, основывающуюся на использовании магнитного поля. Процедура исследования выполняется за счет специального аппарата, именуемого как томограф. Создаваемое магнитное поле вступает в связь с частицами водорода в организме человека. При взаимодействии, ионы водорода формируют определенные сигналы, которые и анализируются с помощью специального устройства — высокоточного компьютера
Результаты магнитного исследования получаются максимально точными, что немаловажно для диагностической процедуры
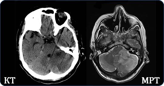
МРТ, КТ, УЗИ, ЭЭГ головного мозга – что лучше, чем отличаются методы диагностики головы
Звоните нам по телефону 8 с до или оставьте заявку на сайте в любое удобное время. Выбирая вид диагностического обследования, нужно всегда прислушиваться к позиции лечащего врача. Специалист сможет дать точную рекомендацию, основанную на результатах предварительного исследования или истории болезни пациента, определиться с методом диагностики, который способен максимально точно обнаружить вероятные заболевания. МРТ прекрасно показала себя при всестороннем исследовании внутримозговых нарушений, обнаружении всевозможных новообразований головы пациента. Когда делают МРТ шейного отдела позвоночника или головы устанавливается специальная катушка, позволяющая усилить эффективность изображения. Итогом диагностики является трехмерное изображение, которое способно помочь лечащему доктору установить верный диагноз. УЗИ проходит благодаря воздействию звуковых волн с настолько высокой частотой, что человеческое ухо не может их воспринимать.
УЗГД и МРТ, в чем разница?
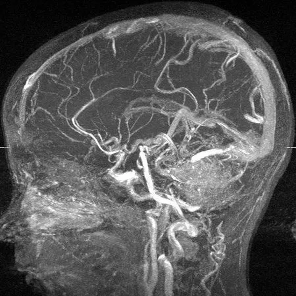
МР-ангиография головного мозга
МРТ или УЗДГ сосудов головы используют для получения изображения артерий и вен и поиска патологии, которая привела к неврологическим симптомам. Методы имеют ключевую разницу в принципе работы.
Ультразвуковая допплерография сосудов головы и шеи – это вид УЗИ, определяющий состояние кровотока обсуждаемой области. Метод является безопасным, успешно показывает изменения артерий и вен, наличие турбулентного тока, скорость движения плазмы и форменных элементов внутри них. Ультразвук, проходя через ткани с разной плотностью, отражается обратно к датчику. Компьютер обрабатывает сигнал, а доктор видит на экране монитора изображение. Цвет сосуда зависит от направления движения крови: к датчику – красный, в другую сторону – синий.
УЗИ сосудов шеи и головного мозга выполняют, чтобы врач определил следующую патологию по изображению на мониторе:
- сужение просвета сосуда за счет атеросклероза, сдавления извне или спазма;
- тромбоз;
- увеличение скорости линейного кровотока и появление турбулентных завихрений;
- аномальное развитие сосудов;
- патологическую извилистость и пр.
Магнитно-резонансная томография – высокотехнологичный и безопасный метод диагностики. МРТ головного мозга позволяет определить причину неврологической патологии, в том числе сосудистого происхождения при выполнении МР-ангиографии. В основе метода лежит использование магнитного поля. Последнее возбуждает протоны водорода, которых больше всего в насыщенных водой тканях. Обратный сигнал улавливается датчиками, программа обрабатывает показатели, а врач получает изображение.
Шаг снимков начинается от 1 мм. Тонкие срезы позволяют сделать результат достоверным и информативным. При изучении мозга могут применять МР-ангиографию с контрастом. Проведение усиленного сканирования сосудов даст информацию о наличии:
- стеноза;
- васкулита;
- аневризмы и расслоения артериальной стенки;
- артериовенозной мальформации и др.
Ход проведения исследований: отличительные особенности
Первичное отличие диагностического процесса в случае с УЗИ и МРТ состоит во времени исследования. Если предстоит провести УЗИ-диагностику, пациенту придётся подождать окончания процедуры в среднем 15 минут.
В случае с МРТ, тело больного находится под действием магнитного поля на протяжении 30-90 минут (зависит от области сканирования и типа диагностики).
Второй существенный момент — условия пребывания больного. При ультразвуковом исследовании обследуемый находится на кушетке в нужном положении.
МРТ предполагает нахождение человека внутри магнитного тоннеля томографа, что увеличивает риск появления у пациента дискомфорта в ходе сканирования, особенно если речь идёт о страдающем клаустрофобией.
В случае с УЗИ в процессе диагностики специалист применяет лубрикант для удобного перемещения датчика по телу больного.
Магнитная томография в некоторых случаях не обходится без введения контраста (для подробного обследования) или наркоза (при исследовании маленьких детей, психически неуравновешенных).
УЗИ: метод, преимущества и минусы исследования
УЗИ проводится посредством ультразвуковых волн разной плотности, позволяющих проникнуть на определенный уровень, отразить и изучить различные специфические состояния внутренних органов.
Ультразвуковые волны проникают в организм, отраженные эхосигналы поступают в специальные конструкции аппарата, транслируя на экране в виде изображения исследуемые органы, изучение которых происходит в реальном времени.
Диагностика ультразвуком позволяет обнаружить серьезные нарушения в организме. Поэтому чаще используется в ситуациях, когда диагноз обозначен и требует подтверждения.
УЗИ назначается для исследования наличия или отсутствия патологических изменений при заболеваниях органов:
- пищеварительной системы (печень, поджелудочная железа, желчный пузырь);
- дыхательных путей (легкие, бронхи);
- мочевыделения (почки, мочевой пузырь);
- малого таза;
- эндокринной системы (надпочечники, предстательная и щитовидная железа);
- ротовой полости (челюсть, десна, зубы).
УЗИ требует определенной подготовки к исследованию. Подготовка необходима при исследовании следующих органов:
- малого таза;
- брюшной полости;
- почек;
- половых органов.
Процедура сканирования, независимо от характера исследования, длится примерно 15-20 минут.
Основные преимущества УЗИ – это доступность, быстрота, безболезненность и безвредность
Основные преимущества ультразвукового обследования
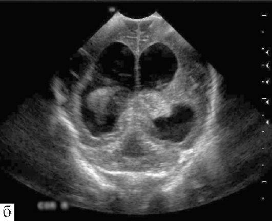
УЗИ является быстрым и качественным методом исследования, но главным его преимуществом является изучение различных состояний при беременности без вреда для здоровья.
УЗИ при беременности необходимо для изучения:
- внутриутробного развития плода;
- обнаружения патологического развития;
- дородового состояния будущей матери и ребенка.
Специалисты отмечают, что ультразвуковое обследование является методом:
- безопасным;
- доступным (проводится в любом медицинском учреждении);
- не требующим предварительной записи;
- недорогим.
Главная специализация УЗИ – профилактика и диагностика патологий внутренних органов. Несмотря на доказанную эффективность ультразвукового метода, данное аппаратное обследование имеет следующие минусы:
- невозможность оценить состояние костной ткани, кровеносных и лимфатических систем организма;
- в процессе обследования изучается состояние только одного органа;
- требует подготовки к определенным процедурам исследования;
- не распознает заболевание на ранних стадиях.
То, что УЗИ делают беременным женщинам, доказывает абсолютную безвредность методики
Основным недостатком УЗИ является то, что полученные результаты интерпретирует сам специалист. Специалист в силу различных человеческих факторов может допустить ошибку не только в расшифровке результатов, но и упустить из виду ту или иную информацию, транслируемую на экране. Подобные ошибки могут причинить непоправимый вред организму. Если ориентироваться на многочисленные отзывы и рекомендации людей, то правильным будет показать результаты УЗИ нескольким специалистам.
Рентген позвоночника
Рентгеновское исследование представляет собой один из самых старых и консервативных методов диагностики. Рентген эффективен при выявлении врожденных патологий позвоночника, искривлений позвоночного столба, остеохондроза, смещения позвонков, компрессионных переломов, а также при диагностике опухолей различного происхождения и такого заболевания, как туберкулез позвоночника.
С целью получения более объективной картины рентген обычно делают в двух проекциях: прямой (пациент лежит на спине) и боковой (пациент лежит на боку). Никакой специальной подготовки перед проведением рентгенографии не требуется.
Рентгенография информативна только при исследовании костных структур. Мягкие ткани (мышцы, межпозвонковые диски, связки) на рентгеновских снимках не визуализируются. Рентгеновское излучение в больших дозах опасно для организма, поэтому прибегать к данному способу диагностики рекомендуется не чаще 1 раза в год. Преимуществом рентгеновского метода является его невысокая стоимость и широкая доступность. Рентгеновские аппараты имеются практически во всех поликлиниках.
Оптическая компьютерная топография позвоночника
КОМОТ (компьютерная оптическая топография) – это современный диагностический метод, авторская разработка новосибирских ученых. Оптический топограф не просвечивает тело пациента, а анализирует соотношение изгибов его позвоночника и существующих нормативных показателей.
Во время обследования пациент встает спиной к камере, а с проектора, расположенного сбоку, на спину выводится изображение параллельных вертикальных полос. Полосы отображаются на теле и повторяют его изгибы. Форма позвоночника рассматривается в трех проекциях, для чего человек принимает разные функциональные позы. Полученная картина записывается камерой и выводится на компьютер в виде 3D-модели, проблемные зоны отмечаются разным цветом.
Этот метод абсолютно безвреден и отлично подходит для диагностики и предупреждения развития сколиозов у детей и подростков. Процедура может проводиться неограниченное количество раз. Однако в настоящее время подобные аппараты имеются только в некоторых наиболее современных диагностических центрах.
Ультразвуковое исследование позвоночника
УЗИ – неинвазивный, абсолютно безболезненный и безопасный метод диагностики. Еще совсем недавно при помощи УЗИ исследовались только внутренние органы, поскольку лучше всего проводит ультразвуковые волны жидкая среда. Но, благодаря совершенствованию метода, с помощью ультразвука в настоящее время можно диагностировать и патологии костных тканей.
УЗИ позвоночника может проводиться на шейном, поясничном и крестцовом его отделах. Единственным недостатком в данном случае является невозможность исследования грудного отдела, который доступен для ультразвуковых лучей только у новорожденных малышей.
К показаниям для УЗИ позвоночника относят:
- Подозрение на протрузии и грыжи межпозвонковых дисков;
- Остеохондроз, люмбаго, радикулит;
- Смещения позвонков, в том числе травматические;
- Сужение спинномозгового канала;
- Аномалии развития и нестабильность позвоночного столба;
- Синдром позвоночной артерии, симптомами которого являются головокружения, тошнота, обмороки, боли в шее, онемение конечностей;
- Боли в спине неясной этиологии.
Преимущества УЗИ
- Отсутствие вредного излучения, следовательно, этот метод подходит всем: женщинам на всех сроках беременности, детям (включая грудничков), пожилым людям;
- Возможность частого проведения: УЗИ можно делать многократно, неограниченное количество раз, как для постановки диагноза, так и в ходе лечения, чтобы следить за его результатами. Также УЗИ можно проводить тогда, когда сильный болевой синдром не позволяет применить другие методы диагностики;
- Относительно невысокая стоимость и широкая доступность метода для разных слоев населения. Оборудованием для УЗИ располагает практически каждая районная поликлиника, в то время как аппараты МРТ есть только в крупных и платных клиниках.
Компьютерная томография (КТ)
Компьютерная томография тоже осуществляется по принципу рентгенографии, но в результате врач получает не плоскую двухмерную картинку, а трёхмерное изображение. Это достигается путём одновременного создания большого числа снимков, которые собираются в единое изображение. Датчики компьютерного томографа обладают высокой чувствительностью и различают огромное количество оттенков, поэтому врач может детально рассмотреть все кости и органы пациента. Дополнительно повысить качество изображения можно, если ввести пациенту специальное вещество, так называемый “контраст”. Контраст помогает отличить здоровые ткани от изменённых и обнаружить аномальные структуры в организме, а также даёт возможность детально изучить состояние сосудов. КТ с контрастом назначают не в каждом случае, часто достаточно простой компьютерной томографии.
КТ делается быстро, с его помощью проводить скрининг на рак лёгких. Также можно использовать компьютерную томографию непосредственно во время проведения хирургических операций.
Недостатками КТ можно считать высокую лучевую нагрузку на пациента. Поэтому КТ не назначают беременным женщинам, детям и пациентам с избыточным весом (более 200 килограмм).

Что лучше для исследования головного мозга ЭЭГ или УЗИ
При выборе УЗИ или ЭЭГ следует обратить внимание на заболевания и патологии, которые может выявить каждый из указанных способов обследования. Основные болезни, нарушения, выявляемые ЭЭГ:
Основные болезни, нарушения, выявляемые ЭЭГ:
- Дефекты, говорящие о сбое системы кровоснабжения;
- Изменения структуры сосудов;
- Заболевания нервной системы.
- Патологии психического характера;
- Обнаружение раковых образований и иных органических поражений;
- Что способно выявить УЗИ диагностика?
- Комплексные нарушения сосудистой системы головы;
- Наличие предрасположенности к серьезным заболеваниям.
ЭЭГ и ультразвуковое исследование имеют свои недостатки.
К минусам, возможным при выполнении УЗИ, относятся:
- Обычно требуется выполнение дополнительных процедур для уточнения результата;
- Недостаточная четкость получаемого изображения;
- Оценить функциональное состояние не представляется возможным.
Недостатки при проведении ЭЭГ:
- Низкий уровень диагностики поражений органического типа;
- Получение качественного результата во время электроэнцефалографии зависит от эмоционального состояния пациента.
Что дешевле: МРТ или УЗИ?
Цена МРТ брюшной полости выше стоимости УЗИ. Однако сравнивать диагностические процедуры по этому критерию и выбирать таким образом метод исследования абсолютно не корректно. Если вы самостоятельно решили в профилактических целях обследовать организм, то можно записаться на УЗИ, а затем с результатом сходить на прием к специалисту и проконсультироваться.
Если же врач сказал сделать МРТ брюшной полости, то ни в коем случае не стоит заменять этот метод рентгеном, УЗИ или КТ. Способ диагностики выбирается по показаниям. Следовательно, врачу необходимо получить именно такой детализированный результат, по которому будет видно состояние тканей и можно будет оценить функционирование органов. В данном случае цена МРТ брюшной полости не должна иметь решающее значение. Это столь же бессмысленно, как и лечиться неподходящими препаратами просто потому, что они стоят дешевле.
Вывод
Одна из основных причин, по которой врачи рекомендуют УЗИ и МРТ, заключается в том, что они практически не имеют побочных эффектов. Они не включают использование ионизирующего излучения, которое очень вредно для нашего организма и увеличивает риск рака. Ультразвук намного безопаснее МРТ. Однако невозможно выполнить все виды визуализации, поскольку волны не могут проникать внутрь костей.
МРТ важна для получения подробной информации. Он может показать фактические структуры, когда ультразвуковое исследование не может этого сделать. Вместо этого он фокусируется на мягких тканях, таких как грудь. МРТ – это тест для выявления серьезных заболеваний, таких как опухоли, воспаления или врожденные аномалии.
























