Симптомы саркомы матки
Женщины жалуются на боль в животе, нерегулярность менструального цикла, кровянистую «мазню», обильные выделения с неприятным запахом. При расположении очага на шейке матки возникают контактные кровотечения после полового акта.
Часто больные обращаются с жалобами на симптомы, вызванные метастазами. И только после УЗИ удается выявить первичный очаг, находящийся в матке. У таких пациенток наблюдаются признаки нарушения работы соседних и удаленных органов — боль в позвоночнике, костях, кровохарканье, желтуха, водянка живота (асцит).
Быстрый рост опухоли приводит к ее распаду и отравлению организма образующимися токсичными веществами. Женщины отмечают плохое самочувствие, тошноту, рвоту, резкое снижение массы тела, быструю утомляемость, проливные поты.
К сожалению, метастазирование опухоли – плохой диагностический признак. Помочь женщине в этом случае очень сложно.
Способы лечения ЗФГ
Пациентам с злокачественной фиброзной гистиоцитомой показано комплексное лечение, включающее как хирургическое иссечение опухоли, так и лучевое и химиотерапевтическое лечение. Лучевое воздействие используется до оперативного вмешательства и после него. Химиотерапия показана при наличии крупных опухолей.
В современных онкологических центрах сегодня стали применять химиотерапевтические препараты нового поколения, которые не оказывают таких выраженных побочных эффектов. Но, к сожалению, когда злокачественная фиброзная гистиоцитома метастазирует, помочь человеку и удалить все имеющиеся метастазы бывает крайне сложно.
Основном лечебным мероприятием при наличии этой опухоли является полное ее иссечение. При операции помимо патологического очага хирург удаляет и здоровые ткани. Часто приходится прибегать к радикальной эксции, иссекая более половины мышечного слоя. Ампутации пораженной конечности — тоже не редкость.
Злокачественная фиброзная гистиоцитома зачастую после хирургического лечения рецидивирует. Более 25% пациентов после удаления опухоли сталкиваются с единичными случаями рецидивов, 10% — с множественными очагами опухолевидного процесса. У более 90% прооперированных больных местный рецидив развивается в течение первых пяти лет после проведенного лечения.
Злокачественная фиброзная гистиоцитома начинает метастазировать в течение первого года после обнаружения. Если предпринять все меры к ее успешному удалению, то можно надеяться на успешный исход лечения. В 80% опухоль дает метастазы в легкие, гораздо реже — в забрюшинное пространство, кости и лимфатические сосуды.
Что такое новообразование
Если говорить о том, что такое новообразования, то это всегда общность клеток, более или менее дифференцированных и приобретших в результате этого новые свойства или утратившие прежние. Появление новообразований в организме может происходить в ряде действия различных факторов или внутренних процессов. Новообразования могут возникнуть в любой части тела, любом его органе или ткани.
Но надо понимать, что не всегда новообразования могут трансформироваться в рак. Например, при предраке, когда изменения в ткани или органе уже произошли, рак возникает не всегда, для этого нужны триггеры. И поэтому выявление предрака на ранних стадиях и регулярный контроль этого состояния позволяют избежать серьезных последствий и болезни как таковой.
Фоновые изменения, которые проявляются обычно дистрофией или атрофией клеток, гиперплазией, по сути, являются предпосылкой для перерождения клеток, формирования новообразований и в дальнейшем рака. Но это не означает что при хроническом гастрите или бронхите человека обязательно ждет рак желудка или легких. Однако структурные изменения клеток, влекут изменения их функциональности, а значит, риск всегда есть.
Метастазы
При наличии у больного саркомных опухолей, такое явление, как метастазы представляют собой вторичное формирование опухолевых очагов. Наблюдается образование клеток злокачественного характера, которые в дальнейшем начинают проникать в кровоток и лимфу.
С кровью такие аномальные структуры клеток начинаю курсировать по системам организма. Когда они останавливаются в том месте, которое им «понравится» начинают развиваться метастазы.
В чем отличие саркомы от рака?
Кроме того, что раковые опухоли и саркомы образуются из разного типа тканей, саркомы различаются по таким признакам, как:
- саркома бывает реже в сравнении с раком;
- метастазы у саркомы распространяются через кровеносные сосуды, а не как в случае с раком через лимфатическую систему;
- в большинстве случаев саркома характеризируется прогрессирующим взрывным ростом новообразований;
- диагностировать саркому бывает очень трудно, зачастую заболевание определяется уже на последних стадиях, когда лечение невозможно;
- зачастую саркома наблюдается у детей и молодых людей.
Признаки и симптомы саркомы мягких тканей
Примерно половина из них возникает в руках или ногах. Большинство людей замечают опухоль, которая постепенно увеличивается в течение недель или месяцев, причем болит она не всегда.
Примерно 4 из 10 сарком развиваются в брюшной полости – животе, что вызывает не только неприятные ощущения, но и закупорку пищеварительного тракта или кровотечения из желудка и кишечника. Кроме того, они могут давить на нервы, кровеносные сосуды и ближайшие органы, и способны разрастаться до весьма крупных размеров.
В редких случаях новообразования появляются в груди, на голове или шее.
К возможным признакам заболевания относят:
- появление новой припухлости или шишки в любой области организма и рост уже имеющихся;
- усиливающаяся боль в животе;
- кровь в стуле или рвоте, поскольку она может быть вызвана повреждением пищеварительного тракта растущей опухолью;
- черный дегтеобразный стул, приобретающий подобный цвет и консистенцию из-за кровотечения в желудке или кишечнике.
Чаще всего вышеперечисленные симптомы вызваны не саркомами, но при их появлении необходимо срочно обращаться к врачу.

Проблемы жизни после саркомы и как с ними бороться
После выздоровления от саркомы люди могут столкнуться с некоторыми проблемами в повседневной жизни. Может наблюдаться снижение энергии или побочные эффекты от лечения, которое получал пациент. Это может привести к ощущению слабости или неспособности выполнять нормальную повседневную деятельность. Однако не следует замыкаться в себе, наоборот, необходимо работать над достижением баланса между активностью и отдыхом. Пациентам рекомендуется поговорить с врачами и психологами, а также обратиться за поддержкой к семье и друзьям. Можно извлечь пользу из занятий, которые заставляют пациента чувствовать себя комфортно и счастливо, например, легкие упражнения и йога. Пациенту необходимо напомнить о необходимости регулярного осмотра, заботы о здоровом питании и хорошем сне, которые являются важными факторами здоровой жизни после саркомы.
Саркома мягких тканей

Наиболее распространенными видами этой подгруппы заболевания являются:
- липосаркомы;
- злокачественные фиброзные гистиоцитомы и недифференцированные плеоморфные саркомы;
- лейомиосаркомы;
- рабдомиосаркомы;
- синовиальные саркомы.
Чаще всего саркома мягких тканей поражает конечности, а именно, область бедер.
К признакам заболевания можно отнести появление уплотнений в конечностях, которое сопровождается онемением и покалыванием. Сначала новообразование безболезненное, но позже может появиться болевой синдром. Пациент чувствует общее недомогание, тошноту, а также давление опухоли на соседние ткани и нервные окончания.
Как не пропустить опасную болезнь
Во время УЗИ опухоль можно обнаружить задолго до появления симптомов. Врач, выявивший опухолевое образование, определит количество узлов, их консистенцию и расположение. Хотя строго определенных акустических признаков саркома матки не имеет, опытного доктора насторожит нечеткий контур образования, его дольчатое строение и неправильная форма.
Поскольку злокачественная опухоль быстро разрастается, кровеносные сосуды не успевают за ее ростом. Ткани новообразования перестают снабжаться кровью и питательными веществами, что приводит к некрозу и распаду. Внутри саркомы появляется очаг с жидким содержимым, имеющим на УЗИ более темный цвет, как окружающие ткани. Такие образования называются гипоэхогенными.
Матка, пораженная опухолью, деформируется, иногда принимая неправильное положение. При метастазировании в яичники в них видны опухолевые участки.
Дополнительным методом выявления сарком матки является УЗ-обследование с допплером, позволяющим оценить состояние сосудистой сети. Внутри саркомы обнаруживается множество тонких или слишком широких кровеносных сосудов неправильной извитой формы. Поскольку сосудистая сеть неполноценная, кровоток имеет низкое сопротивление, а кровь движется быстро и хаотично. Миомы и фибромиомы матки, с которыми часто путают саркомы, растут гораздо медленнее, поэтому успевают прорастать полноценными сосудами.
Если у врача остались сомнения, больной назначается повторное обследование. Саркома растет быстро, поэтому врач сразу обнаружит увеличение узла.
Еще один признак беспокойства – доброкачественная опухоль, долго не меняющая размера и вдруг начавшая активно расти. Поэтому при наличии любых образований нужно периодически проходить УЗИ, чтобы не пропустить их перерождения в онкопатологию.
Поскольку саркома часто появляется после инструментальных абортов, диагностических выскабливаний, операций и тяжелых родов, женщинам после них нужно периодически проходить УЗИ, чтобы не пропустить развитие опухоли. Такое же обследование рекомендуется пациенткам, страдающим гормональными патологиями и тем, кто перешагнул 40-летний рубеж. Этим категориям нужно проходить УЗИ матки раз в год или даже чаще.
Саркома матки диагностируется и у абсолютно здоровых молодых женщин. Они выявляется даже у девственниц и совсем юных девочек. Поэтому раз в год-два проходить УЗИ рекомендуется всем.
Чем саркома отличается от рака
Люди, далекие от медицины, часто путают эти понятия. На самом деле рак и саркома – абсолютно разные опухоли, которые объединяют только признаки злокачественности — быстрый рост, прорастание в окружающие ткани и органы, метастазирование, интоксикация организма и высокая вероятность неблагоприятного исхода.
Рак образуется из клеток эпителия, покрывающих внутреннюю маточную полость. Опухоль имеет плотную консистенцию, что позволяет выявлять новообразования на ранних стадиях. Рак метастазирует через лимфатическую систему, поэтому процесс можно заподозрить, сделав УЗИ лимфоузлов.
Саркома образуется из соединительной ткани, отличающейся интенсивным клеточным делением, поэтому имеет более высокую степень злокачественности. Клетки опухоли распространяются через кровеносную систему, рано давая отдаленные метастазы и возникая снова (рецидивируя) после удаления.
Структура саркомы рыхлая и мягкая, что дало ей название, происходящее от греческого слова — «саркос» мясо + латинского «ома» — опухоль. Действительно, новообразование на разрезе напоминает рыбье мясо. Это особенность затрудняет диагностику. Даже опытные врачи без проведения дополнительных обследований не всегда могут дифференцировать ее от полипа или фибромиомы.
Саркома, как и рак, может развиваться из доброкачественных новообразований. Иногда очаги образуются внутри незлокачественной опухоли. Такое явление называется озлокачествлением (малигнизацией). Поэтому все удаленные образования, вне зависимости от их типа, отправляют на клеточный анализ – гистологию, чтобы убедиться в отсутствии атипичных (злокачественных) клеток.
По тяжести прогноза саркомы матки намного опережают рак. «Немой» характер опухоли позволяет ей долго время существовать незамеченной, распространяясь по организму.
Особенности диагностики липомы
При наличии любых образований следует обратиться к онкологу. Опытный врач при первичном осмотре может определить природу возникновения. Подкожные доброкачественные опухоли подвижны, не причиняют боли пациенту, кожные покровы не изменены.
Уплотнения, расположенные на внутренних органах, в средостении пальпировать невозможно. Симптомы не выражены – дискомфорт, нарушение функции, снижение чувствительности. Клиническая картина характерна не только для липом. Необходимо пройти комплексную диагностику.
На снимке УЗИ
Ультразвуковое обследование – не инвазивная безопасная процедура. Разрешено для всех категорий пациентов, включая детей и беременных женщин. Характеризуется высокой точностью и бюджетной стоимостью.
Для диагностики подкожных уплотнений на руке, бедре, щитовидной и молочной железы подготовка не требуется. Осмотр почек, печени, органов малого таза, матки выполняется по протоколам, правила проведения перед манипуляцией следует уточнить у врача.
Признаки заболевания на УЗИ:
- уплотнение ограничено и заключено в плотную капсулу;
- липома на УЗИ имеет овальную форму;
- гипоэхогенная структура, возможно, включение фиброзных тяжей, кристалликов кальция;
- при надавливании поддается сжатию;
- межмышечные опухоли располагаются вдоль фасциальных плоскостей между мышечными волокнами;
- акустические эффекты;
- изменения в ближайших лимфоузлах.
После осмотра и диагностики пациент получает на руки описание выявленного образования. УЗИ помогает определить жировик по параметрам: размер, форма, тип – узловой или диффузный, наличие компрессии соседних органов.
Ультразвуковое обследование позволяет выявить специфические показатели, присущие доброкачественной опухоли. Результатов недостаточно для постановки заключения. Назначается тонкоигольная биопсия. В отдельных случаях проводят оперативные мероприятия по удалению и гистологию иссеченной липомы.
На рентгене
Обследование показано при диагностике шишек, расположенных на внутренних органах, в кардиодиафрагмальном углу, загрудинном пространстве и в средостении.
Жировик определяется на рентгене как световое пятно с четкими краями. Форма может быть разной: грушеобразная при кардиодиафрагмальной опухоли, полукруглая при абдоминомедиастинальном уплотнении. Показатель зависит от степени компрессии.
На снимке при диагностике можно увидеть мелкие включения – фиброзные тяжи, кальцинаты. Во время исследования органов ЖКТ в брюшную полость вводят газ. Это позволяет оценить степень подвижности.
Для определения размеров и других параметров рентгеновские снимки делают в нескольких проекциях. При подозрении образования, локализованной в области мозга целесообразнее провести МРТ.
Саркома с метастазами
Метастазами являются опухолевые клетки, распространенные в здоровые ткани по лимфотоку либо кровотоку. В местах, где самая лучшая микроциркуляция, метастазы прикрепляются и активно растут. Часто метастазами поражается печень, легкие, лимфоузлы, мозг и плоские кости. Каждый вид новообразований имеет определенное место в организме, куда опухоль метастазирует чаще всего.
Есть опухоли, которые пускают метастазы, достигнув уже одного сантиметра в размере. Саркомы не имеют оболочки, которая могла бы ограничить их рост и размножение. Распространение метастазов во внутренние органы является более опасным, чем метастазирование в лимфатические узлы. Лечение множественно метастазирующей опухоли неэффективно, поэтому и не проводится.
Симптомы саркомы
Целостная картина заболевания напрямую зависит от местоположения и признаков, указывающих на злокачественность опухоли. Каждый вид саркомы обладает своими уникальными и непохожими симптомами. Выявление опухолей, отличающихся по происхождению, уже будет различно. Например, саркома в мягкой ткани очень редко имеет отношение к болевым ощущениям, боль ее не сопровождает. Известно, что её обычно обнаруживают, когда есть шишка, которая не пропадает, а лишь продолжает увеличиваться.
К основным симптомам саркомы можно также отнести:
- болевой синдром: там, где обнаружили опухоль, чувствуется что-то инородное, при физических нагрузках боли в этом месте также усиливаются;
- обнаруживается опухоль: пораженный участок на коже отекает и деформируется, видны зловонные выделения;
- пострадавший орган хуже работает: трудно или невозможно передвигаться;
- ткани вокруг опухоли разрастаются: кровообращение нарушено, сложности с оттоком мочи, увеличиваются лимфоузлы, если пострадало горло, то тяжело дышать.
Лечение и терапия

Лечение саркомы в решающей степени зависит от распространения заболевания после постановки диагноза. При небольших локализованных опухолях операция является самым первым решением. Основная цель ее заключается в том, чтобы полностью ликвидировать злокачественную ткань. Также удаляется часть здоровой ткани, которая прилегает к опухоли, так как там могут скрываться мигрировавшие раковые клетки, которые способствуют образованию метастазов.
Прежде чем хирургически удалять большие по размеру опухоли, проводится курс химиотерапии, чтобы уменьшить размеры саркомы.
Если метастазы распространились на большие участки, то пациенту также назначается химиотерапия, которая может быть проведена с помощью таблеток или путем инфузии и инъекции. Если такая терапия неэффективна, то уничтожить опухолевые ткани поможет только излучение. Поскольку каждый пациент по-разному реагирует на вещества и лекарства для химиотерапии, существует необходимость разработки индивидуального плана лечения.
Лечение саркомы
Лечение саркомы проводят, ориентируясь на принципы онкологической помощи, используемые в современной медицине. При выборе какого-либо метода лечения или комбинации нескольких методик врач должен опираться на:
- типы, стадии и местонахождение;
- возраст пациента;
- если больной раньше проходил лечение, это тоже учитывается;
- общее состояние.
Главным этапом в лечении саркомы чаще всего является хирургическое вмешательство. Только после того, как опухоль удалят, можно вести разговор об излечении. В каждой отдельной ситуации проявления болезни врач выбирает подходящий объем операции и учитывает необходимые особенности пред- и послеоперационных периодов. Все это происходит, если болезнь удалось выявить на ранней стадии.
Если местоположение опухоли, которая была удалена, было удачным, то после проведения операции все функции организма сохранятся, и инвалидности не последует. Но не всегда все так гладко. Иногда, когда человек лечится, даже после операции он все равно не застрахован от возможных осложнений и метастазов.
Для того, чтобы во время комплексного лечения снизить возможность появления рецидивов, надо применять курсы лучевой и химиотерапии. Тогда высок шанс добиться выживаемости в течение 5 лет почти у 2/3 заболевших. В других ситуациях побеждает болезнь.
Совершенно недопустимо лечение народными средствами. К сожалению, даже в наше время некоторые пациенты недостаточно информированы об опасности заболевания и откладывают лечение, полагаясь на народную медицину, которая не только неэффективна, но и отбирает драгоценное время, в течение которого ситуация только усугубляется. Раннее обнаружение и своевременное лечение средствами современной медицины — залог минимальных рисков при лечении любого заболевания.
Лечение саркомы и рака
Если говорить о способах лечения этих двух опухолей, то между собой они достаточно схожи. В большинстве случаев для избавления от заболевания рекомендуется пройти оперативное вмешательство, направленное на полное удаление опухоли вместе с лимфоузлами и окружающими тканями. Кроме того, после оперативного вмешательства также необходимо пройти курс химиотерапии и облечения.
В некоторых ситуациях, больной может иметь ряд противопоказаний по проведению оперативного вмешательства направленного на удаление саркомы или рака, к примеру, при наличии тяжелых заболеваний сердечно-сосудистого характера, а также при отсутствии эффективности лечение (при наличии обширных метастаз и поражений). В таком случае рекомендуется проведение симптоматического лечения, благодаря которому у больного стабилизируется состояние и облегчается степень проявления болезни.
В большинстве случаев прогнозы заболевания определяются местом, в котором наблюдается локализация опухоли, индивидуальными особенностями организма больного, а также ее стадией, своевременностью и качеством полученного лечения. Принято считать, что заболевание полностью отступило в том случае, если после окончания терапии, больной на протяжении пяти и более лет живет без метастазов и рецидивов.
Диагностика
Такое заболевание, как — саркома костей, практически невозможно диагностировать на начальных этапах его развития. Такое специфическое свойство симптомов на ранних стадиях для саркомы является характерным фактором.
Для определения саркомы используют следующие методы диагностики:
- Рентгенологический метод – данное исследование позволяет выявить места локализации поражений.
- Биопсия – подтверждает злокачественность опухоли.
- КТ (компьютерная томография) – более детальное изучение очагов опухоли.
- Магнитно-резонансная томография – дает возможность отслеживать метастазы раковых образований, и исследовать содержимое опухоли.
- Биохимия крови (анализ) – помогает выявить возможные патологии в организме.
Общие принципы лечения сарком мягких тканей
Выбор тактики лечения сарком определяется следующими параметрами:
- Локализация опухоли.
- Степень ее злокачественности.
- Степень ее распространения.
При низкозлокачественных опухолях достаточно их хирургического удаления, при высокозлокачественных саркомах необходимо комплексное воздействие, которое помимо удаления еще включает лучевую терапию и/или противоопухолевую лекарственную терапию. Это позволит отдалить время развития рецидива и уничтожить отдаленные метастазы.

Что касается рецидивов, то реже рецидивируют саркомы мягких тканей нижних конечностей, а чаще всего — забрюшинные опухоли. Если хирургически удалить саркому нельзя, используют химиотерапию, лучевую терапию или химиолучевое лечение.
При хирургическом лечении сарком мягких тканей конечностей проводятся органосохраняющие операции, во время которых опухоль иссекается с учетом принципов футлярности и зональности. Края резекции (отсечения) исследуются под микроскопом, и, если там обнаруживают злокачественные клетки, проводятся либо повторное иссечение опухоли (краёв резекции), либо послеоперационная лучевая терапия. Если опухоль располагается в глубоких тканях кистей и стоп, органосохраняющее лечение часто бывает невозможным, и тогда выполняется ампутация.
Лучевая терапия проводится в предоперационном и/или послеоперационном периоде. Перед операцией облучение назначают со следующими целями:
- Уменьшение злокачественного потенциала саркомы.
- Уменьшение объема опухоли.
- Снижения интенсивности воспаления и перифокального отека вокруг опухоли.
- Уменьшение риска развития рецидива и – опосредованно – отдаленных метастазов.
- Создание условий для проведения радикальных операций, перевод саркомы из неоперабельного состояния в операбельное.
- Создание условий для более четкого ограничения саркомы от окружающих тканей.
Послеоперационная лучевая терапия при радикальном удалении опухоли направлена на уничтожение злокачественных клеток, гипотетически оставшихся в краях раны, в том числе после нерадикально выполненной операции. Тем самым лучевая терапия снижает вероятность развития местного рецидива и отдаленных метастазов.
Химиотерапия используется при лечении нерезектабельных новообразований, совместно с лучевой терапией, для перевода саркомы в резектабельное состояние. При лечении диссеминированных форм химиотерапия (или другие варианты лекарственной противоопухолевой терапии, в зависимости от типа опухоли или наличия ряда генетических факторов) является основным методом.
При возникновении рецидива операбельные саркомы подвергают хирургическому удалению, а неоперабельные новообразования лечат с помощью химиотерапии, таргетной терапии или иммунотерапии.
Прогноз течения заболеваемости зависит от гистологической формы и степени злокачественности саркомы, чувствительности её к лечению, ее расположения и распространённости, возраста и общего состояния пациента на момент диагностики заболевания. Наиболее благоприятно протекают низкозлокачественные саркомы у сохранных пациентов. У них 5-летней выживаемости удается достичь в 50% случаев, а вот при высокозлокачественных опухолях этот показатель не превышает 10%. Необходимо отметить, что в силу своей редкости саркомы должны предпочтительно лечиться в медицинских центрах с большим опытом работы с пациентами именно с такими злокачественными новообразованиями – как в плане их диагностики, так и их лечения.
Запись на консультацию круглосуточно
+7 (495) 668-82-28
Виды онкологии
Выделяют первичную и вторичную саркому. Первый вид говорит про то, что опухоль считается первоначальным очагом патологии.
Как распространяются метастазы при раке (на примере меланомы)?
В другом варианте онкологии это метастазы.
Онкология делится на патологию мягких и костных тканей. Выделяют примерно 70 видов.
Их разграничение выполняется по принципу локализации опухоли в тканях организма. Если болезнь тяжело обозначать при помощи гистологии, то это недифференцированная саркома.
Очень популярными видами считают саркому костей, матки, молочных желез, кожи, ЖКТ (кишечно-желудочного тракта), зоны головы и шеи. От типа заболевания зависит методика лечения пациента.
Отличают такие разновидности, о которых детально в таблице:
| Наименование | Строение и описание |
| Остеосаркома | Вырабатывается из клеточных частей костной ткани |
| Ретикулосаркома | Распространяется в костном мозге |
| Хондросаркома | Представлена хрящевой тканью |
| Параостральная | Основывается в надкостнице |
| Саркома Юинга | Подвид остеосаркомы, который поражает концевые части костей |
| Фибросаркома | Состоит из самых разных соединительных тканей |
| Саркома Капоши | Поражает сосудистую систему и лимфоузлы |
| Липосаркома | Локализуется в жировых тканях |
| Лимфосаркома | Поражает лимфатическую систему |
| Нейрофибросаркома | Произрастает из оболочек нервов |
Виды саркомы в зависимости от роста:
- низкодифференцированные;
- среднедифференцированные;
- высокодифференцированные.
Вопросы и ответы
Как выглядит липома?
Классическая липома — скопление избытков жира в плотной капсуле из соединительной ткани. Образование подвижно, имеет четкие контуры, гладкую поверхность и размеры от нескольких мм до 7-8 см. Обнаруживается при пальпации или в процессе исследования внутренних органов для диагностики других заболеваний. Болевой синдром при симптомах липомы наблюдается только в случаях нарушения кровообращения и сдавленности мышц из-за активного разрастания опухоли.
Как избавиться от липомы?
Свои решения предлагает не только официальная медицина, но и народные методы. Однако не стоит следовать последним, чтобы не причинить организму вреда и не затягивать время. Тем более что риск рассасывания липомы крайне мал. Современные методы лечения предусматривают удаление опухоли хирургическим путем или ее разрушение методом лазерного или радиоволнового воздействия. В некоторых случаях оптимальная липосакция – размягчение и «отсасывание» жировой ткани через тонкую иглу. Преимущества метода – минимальная травматичность, отсутствие следов на коже и непродолжительный восстановительный период.
Может ли липома рассосаться сама?
Такие случаи имеются в медицинской практике, однако они носят единичный характер. Поэтому рассчитывать на самопроизвольное исчезновение жировика не стоит, особенно когда образования появляются в разных частях тела и быстро разрастаются. Оптимальным решением будет обращение за помощью. Врач сумеет точно установить причину заболевания и примет решение по качеству лечения – в пользу выжидательной тактики с постоянным наблюдением или немедленного оперативного вмешательства.
Диагностика саркомы
Диагностика саркомы предполагает комплексное обследование, которое направлено на обнаружение опухоли, верификацию диагноза и определение стадии заболевания. Первый этап – это обнаружение опухоли. Для этого проводится внешний осмотр и используются методы медицинской визуализации — УЗИ, КТ, МРТ. Эти методы не только позволяют обнаружить опухоль как таковую, но и определить ее взаимоотношение с окружающими тканями, например, есть ли распространение на соседние органы, вовлечены ли в процесс кровеносные сосуды и т. д.
Верификация саркомы проводится путем ее морфологического исследования под микроскопом. Для этого берется материал опухоли, удаленной во время операции, если ее размер менее 2 см. В остальных случаях либо же проводится специальная процедура – биопсия, во время которой из новообразования с помощью специального инструмента забирается столбик ткани. В ряде случаев требуется не только морфологическое исследование, но и более детальное изучение опухоли, например, исследуется наличие определенных генетических поломок или ее рецепторный статус. Такие данные могут помощь при выборе тактики лечения.
И наконец, для определения степени распространения саркомы проводится все та же медицинская визуализация, с помощью которой определяется наличие отдаленных метастазов. Здесь могут использоваться различные специфические тесты (ПЭТ-КТ, сцинтиграфия), которые позволяют обнаружить даже небольшие метастазы, невидимые с помощью обычных методов исследования.
Профилактика
Поскольку точные предпосылки к развитию саркомы не обнаружены, точные профилактические меры назвать сложно. Однако во избежание риска развития опухолей стоит придерживаться общепринятых правил:
- отказ от вредных привычек;
- соблюдение рационального питания;
- снижение стресса;
- полное и своевременное лечение инфекционных, вирусных и респираторных заболеваний, избегание контакта с аллергенами (при наличии аллергий);
- избегание травмоопасных ситуаций и повреждений.
Также необходимо плановое посещение врача, а при наличии жалоб – срочное обращение к специалисту. Залог успеха лечения саркомы – ранняя диагностика. Чем быстрее будет обнаружена патология, тем лучше подействует лечение.
Последствия и прогноз
Прогрессирующая опухоль сдавливает соседние ткани и органы. Это нарушает их нормальную работу. В результате развиваются разные заболевания, связанные с пораженными органами. При сдавливании лимфатических узлов возможно формирование слоновости, при новообразованиях в костях и суставах – деформации конечностей. Список опасных осложнений включает и следующие патологии:
- непроходимость и перфорацию кишечника;
- образование метастазов;
- внутренние кровотечения;
- летальный исход.
Прогноз заболевания определяется стадией и степенью злокачественности процесса. На начальном этапе удается вылечить недуг без губительных для организма последствий. При 4 стадии липосаркомы и рабдомиосаркомы 5-летняя выживаемость не превышает 20%. Эти виды имеют особенно неблагоприятный прогноз. Общая 5-летняя выживаемость после 1-2 стадии практически любой формы саркомы составляет 75%, при множественных и отдаленных метастазах – 5-10%.
Стадии рака кости в детском возрасте
Стадии рака костей у детей показывают, насколько распространилась болезнь в организме. Эта информация важна для разработки схемы лечения и прогнозирования выживания ребенка.
Классификация включает 4 стадии:
I стадия рака кости указывает на маленький размер опухоли, ее низкую злокачественность и не распространение за пределы костной ткани:
- стадия IА определяется при размере опухоли ≤8 см;
- стадия IВ указывает на размер опухоли ≥8 см, либо на локализацию в нескольких участках кости;
- рак кости II стадии указывает на начало малигнизирования (утрату дифференцировки) клеток опухоли, которая находится еще в пределах кости и глубоко вросла в ее ткань;
- III стадия характерна ростом в нескольких участках кости, дедифференцированой степенью опухоли, метастазированием в соседние лимфоузлы;
- IV стадия рака кости указывает на прорастание за пределы кости, активное метастазирование, распад ткани опухоли.
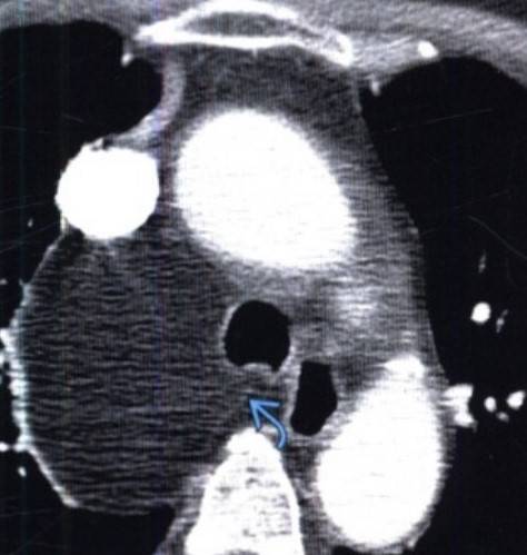
Признаки липомы средостения на КТ

Компьютерная томография с контрастным усилением (выявлено объемное образование с четким контуром, соответствующее жировой плотности, внутри визуализирована мягкотканная перегородка)
При проведении компьютерной томографии можно обнаружить опухоль и предположить характер патологического образования.
Критериями подозрения именно на липому являются:
- объемное образование;
- размер в большинстве случаев от 5 до 10 см, редко встречаются очаги большего диаметра;
- гомогенная консистенция;
- четкий контур;
- тонкие перегородки из соединительной ткани, толщиной около 2 мм;
- наиболее частое расположение – в переднем или периваскулярном отделе средостения;
- фиброзная капсула.
Рентгенолог изучает послойные снимки и на основании наличия/отсутствия перечисленных признаков формулирует заключение. Результат КТ не является окончательным диагнозом. Для абсолютно точного определения характера опухоли необходимо непосредственное изучение образующих неоплазию клеток. Материал для гистологического и цитологического исследования получают путем биопсии. Выбор места пункции должен осуществляться особенно тщательно из-за близости жизненно важных органов. Забор материала проводят под контролем КТ. Постановку заключительного диагноза и назначение соответствующего лечения осуществляет врач-онколог.
Чем отличаются и схожи рак и саркома
В народе любую злокачественную опухоль называют раком. Но на самом деле это неверно. Потому что между этими понятиями существует существенная разница.
Во-первых, раковый вид опухоли и саркомы образуется из разных видов тканей. Там, где человеческое тело состоит из эктодермы (т. е. из плоского, железистого, переходного эпителия), все злокачественные опухоли будут называться раком. Это общий рак кожи и пищевода, плоскоклеточный рак шейки матки, желудочно-кишечного тракта, слюнных желез, щитовидной и молочной железы и т. д.
Там, где речь идет о злокачественных новообразованиях на соединительной ткани (фиброзная, сосудистая, лимфатическая, жировая, хрящевая, костная, мышечная ткань, ткани лимфатического узла), опухоль называется саркомой. Это ангиосаркома, лимфангиосаркома, лимфосаркома, липосаркома, остеосаркома, хондросаркома и т. п.
Кроме этого рак отличается от саркомы следующими признаками:
- рак встречается намного чаще, чем саркомы;
- пациентами с саркомой в основном являются молодые люди и дети, рак же – это в основном заболевание пожилых;
- разный у этих заболеваний и путь метастазирования: саркома распространяется через кровь по сосудам, а рак – через лимфосистему;
- рак в отличие от саркомы имеет не такой прогрессивный рост;
- рак диагностировать немного проще, чем саркому. Зачастую саркома уже обнаруживается на запущенных стадиях, которые тяжело поддаются лечению и терапии.

Вывод
Теперь, когда вы знаете общие различия между раком и саркомой, вы сможете понять, что незамедлительное лечение должно проводиться в обоих случаях. Если вы заметили у себя первые признаки недомогания, рекомендуется сразу же показаться врачу, пройти необходимые анализы и начать соответствующее лечение. При наличии ранней стадии заболевания имеется высокая вероятность полного избавления от саркомы.
При этом нужно знать, что затягивать в данном случае категорически запрещено, саркома имеет свойство метастазировать, поражая органы и ткани. При последних стадиях заболевания лечение уже не способно принести результат.






























