Виды и стадии

В зависимости от объема поражения выделяют два вида пародонтоза:
локализованный – оголение корней наблюдается в ограниченной области;
генерализованный – дистрофические изменения затрагивают всю зубную дугу.
По интенсивности симптомов выделяют три стадии развития патологии:
Легкая. На первых этапах признаки выражены слабо. Пациент может ощущать лёгкий зуд или жжение в дёснах. Наблюдается незначительное уменьшение альвеолярных отростков, повышение чувствительности единиц. Патологию выявляют с помощью рентгеновского снимка, на котором отображаются первые изменения в костной ткани, а именно – уменьшение её объёма.
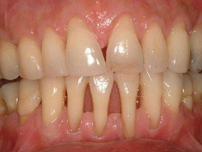
Средняя. По мере развития болезни увеличиваются промежутки между зубами, край десны отступает от своего естественного положения на несколько миллиметров, оголяя корни. Это ведёт к патологической подвижности единиц, из-за чего периодически начинается воспалительный процесс, сопровождающейся гиперемией воспалённого участка и неприятным запахом. Могут появиться гнойные выделения.
Тяжелая. Костное ложе единиц рассасывается, что ведёт к их выпадению. При утрате зубов пациент не испытывает болевых ощущений. Дёсны в районе сохранившихся элементов ряда бледные, а налёта или зубного камня практически нет. При анализе результатов рентгенографии можно увидеть разрушение структуры челюстной кости.
Профилактика

Людям с нарушениями гормонального фона, неправильным прикусом и другими патологиями, повышающими риск развития пародонтоза, крайне важно принимать меры для профилактики заболевания. Стоматологи рекомендуют соблюдать следующие правила:
Гигиена ротовой полости. Чистить зубы нужно минимум 2 раза в день, используя для этого щётку средней жёсткости и специальные приспособления – зубную нить, ирригатор.
Сбалансированный рацион
Важно следить за балансом белков, жиров и углеводов в ежедневном рационе. Диеты, несогласованные с врачами могут привести к проблемам с пищеварением.
Своевременное лечение патологий
При заболеваниях внутренних органов не стоит откладывать визиты в клинику. Даже самые незначительные патологии приводят к серьёзным осложнениям.
Регулярные визиты к стоматологу. Посещать стоматологические центры рекомендуется не реже двух раз в год для профилактического осмотра и профессиональной чистки зубов. Это поможет своевременно обнаружить и устранить очаги инфекции.
Отказ от вредных привычек. Курение и чрезмерное употребление алкоголя ведут к сбоям в работе сердечно-сосудистой системы. В результате нарушений кровотока страдает не только зубочелюстной аппарат, но и внутренние органы.
Персональный профилактический план поможет подобрать врач на индивидуальной консультации. Он учтёт все сопутствующие заболевания и факторы риска, а затем назначит комплекс мер для предотвращения патологии.

Эксперт статьи, которую вы читаете
Тяпина Юлия Александровна Главный врач. Врач стоматолог ортопед. Специалист по эстетической стоматологии. Подробнее о докторе



Лечение
Полностью избавиться от пародонтоза не получится, после диагностирования такого расстройства удастся сберечь зубы, замедлить дальнейшее развитие. Проводится визуальный осмотр, определяются провоцирующие факторы. С зубов удаляются отложения, чтобы медикаменты действовали лучше. Нужно научить пациента пользоваться пастами, стабилизирующими кровообращение возле зубов.
Процедуры при пародонтозе: электрофорез, массаж десен, дерсонавализация.

Для комплексного лечения этих двух заболеваний назначается овощная диета. Можно есть фрукты, рыбу и морепродукты. Когда лечение задерживается настолько, что зубы расшатываются, приходится укреплять их с помощью специальных приспособлений. На поверхности дентита создается неглубокая борозда, в которую вставляется специальная лента и закрепляется.
Влияние пародонтоза на организм
Исследования показывают, что существует связь между пародонтозом и рядом других болезней.
- Воспалительный процесс, вызванный пародонтозом, увеличивает риск развития сердечно-сосудистых заболеваний, включая ишемическую болезнь сердца и инсульт.
- Пародонтоз чаще встречается у людей с диабетом, и обратно, диабет может усугублять течение процесса. Хроническое воспаление, связанное с пародонтозом, влияет на контроль уровня глюкозы в крови.
- У беременных женщин с пародонтозом повышается вероятность преждевременных родов и рождения детей с низким весом.
- Бактерии из воспаленных десен, попадая в дыхательные пути, могут стать причиной пневмонии и других респираторных заболеваний.
- Связь между остеопорозом и пародонтозом обусловлена потерей костной массы, что усугубляет ее уменьшение вокруг зубов.
Пародонтоз – не только стоматологическая проблема, а болезнь, которая требует внимания и ответственного подхода. Современная медицина предлагает множество эффективных решений для ее терапии и контроля. Будьте внимательны к своему здоровью, и не забывайте, что предотвращение всегда лучше лечения. Ваша улыбка – не только отражение состояния ваших зубов, но и вашего общего самочувствия.
Степени тяжести заболевания
Легкая степень
Начальная форма с клинической потерей прикрепления десны 1-2 мм. Симптомы развиваются на фоне катарального гингивита. Пациент может жаловаться на:
- покраснение или изменение цвета десневого края;
- отечность, болезненность, кровоточивость десен;
- повышенная чувствительность десен во время чистки;
- образование зубной бляшки (налет, камень) в области шейки зуба.
В отличие от гингивита, на ранней стадии пародонтита образуются пародонтальные карманы (до 3,5 мм). Возможно выделение гнойного экссудата при нажатии на десну, однако зубы все еще неподвижны.
Лечение включает: мотивация и обучение пациента правильной гигиене, профессиональная чистка (удаление зубных отложений), пришлифовка и полировка зубных единиц.
Средняя степень
Обострение симптоматики начальной стадии, увеличение количества и глубины пародонтальных карманов (до 5 мм). Бактерии размножаются, провоцируя постоянные гнойные выделения, которые попадают в организм через кровь и слюну. Пациенты жалуются на:
- заметные межзубные промежутки;
- наклон, веерообразное расхождение и подвижность зубов;
- снижение иммунитета;
- слабость, повышенную утомляемость.
Десневой край заметно снижается, шейка корня оголяется практически наполовину. Средняя стадия сопровождается неприятным запахом изо рта, деформацией зубного ряда.
Лечение включает: профессиональную гигиену аппаратом Vector, закрытый кюретаж десны. В запущенных случаях открытый кюретаж, ортодонтическое лечение.
Тяжелая степень
При дальнейшем развитии заболевания воспалительный процесс обостряется. Ухудшаются все симптомы, глубина пародонтальных карманов при зондировании более 7 мм. Пациент ощущает:
- подвижность зубных единиц (3-4 степень);
- оголение шейки корня до 2/3 длины;
- увеличение количества гнойников (абсцесс);
- боль, припухание, рецессия десны;
- повышение общей температуры тела.
Тяжелая форма пародонтита может вызвать обострение соматических заболеваний, в особенности сахарный диабет, гормональные, сердечно-сосудистые и ревматические болезни.
Лечение включает: хирургическое вмешательство (открытый кюретаж), костная пластика, шинирование и протезирование зубов. В некоторых клинических случаях может потребоваться имплантация после удаления зуба.
Клинические отличия пародонтита и пародонтоза
Воспалительные и дистрофические процессы в пародонте имеют отличия в клинических симптомах и рентгенологической картине.
Клиническая картина пародонтита и пародонтоза
Признаки пародонтита
Отличия пародонтита от пародонтоза заключаются в следующих симптомах воспаления околозубных тканей:
- Симптоматический гингивит. В 70% пациентов с генерализированной формой пародонтита наблюдается гингивит или воспаление десенного края. Во время осмотра у таких больных стоматолог отмечает покраснение, кровоточивость и патологическое разрастание десенных сосочков. При этом пациенты могут жаловаться на чувство жжения, покалывания в ротовой полости. Многих беспокоит неприятный запах из полости рта.
- Пародонтальный карман. Одним из обязательных признаков разлитого воспаления пародонта специалисты считают образование пародонтального кармана. Этот симптомокомлекс может отсутствовать только на начальных стадиях пародонтита. В дальнейшем, постепенное разрушение зубодесневого соединения приводит к формированию атипичного промежутка между зубом и десной. В таких случаях пародонтальный карман заполняется остатками пищи, омертвевшими клетками эпителия, гнойными и некротическими массами. Именно, эта область в последующем служит источником неприятного запаха из полости рта. Глубина кармана варьируется от 2 до 10 мм.
- Травматическая окклюзия. Физиологическое смыкание зубов в процессе пережевывания пищи приводит к постепенному стиранию зубных бугорков. Этот процесс является своеобразным способом приспособлением организма к жевательному давлению, который таким образом пропорционально распределяется между всеми группами зубов. В то же самое время гингивит, пародонтит, пародонтоз сопровождаются патологической подвижности зубов, что препятствует притиранию верхних и нижних зубов. В результате у пародонтологических пациентов формируется травматическая окклюзия, которая характеризуется чрезмерной перегрузкой зубов и десен. Такие процессы повторно усугубляют течение воспалительно-деструктивных поражений костной ткани верхней и нижней челюсти.
- Прогрессирующая резорбция челюсти. Без рентгенологического подтверждения атрофии альвеолярного отростка верхней и нижней челюсти врач не может утверждать о пародонтите. Степень и скорость резорбции костной ткани является индивидуальным показателем. Уменьшение объема костной ткани клинически проявляется оголением и подвижностью зубов.
Симптомы пародонтита:
| Признак пародонтита | Клиническая картина |
| Гингивит | |
| Пародонтальный карман | |
| Травматическая окклюзия | Травматическое смыкание зубов |
| Резорбция кости | |
Симптомы пародонтоза
Дистрофическое поражение челюстей имеет свои особенности. Начальные стадии пародонтоза, как правило протекают бессимптомно. Для данного заболевания характерно длительное и медленно прогрессирующее течение.
При осмотре пациентов стоматолог диагностирует следующие изменения:
- Атрофические гингивит. Уменьшение объема десен при этом сочетается с их бледностью и даже цианотичностью. У больного отсутствуют признаки кровоточивости десны.
- Оголение корней зубов. У пациента с пародонтозом постепенное оголение зубов не сопровождается расшатыванием зубов, что объясняется медленным течением болезни и постепенной адаптацией связочного аппарата к таким изменениям.
- Резорбция костной ткани. Для дистрофического поражения кости типичным является разлитое и медленное снижение высоты альвеолярного отростка верхней или нижней челюсти.
Симптомы пародонтоза:
| Признак пародонтоза | Клиническая картина |
| Атрофический гингивит | |
| Оголение корней зубов | |
| Резорбция кости | |
Итак, ответить на вопрос: «кровоточивость десен — это пародонтоз или пародонтит?» можно следующим образом: «покраснение и отек слизистой оболочки десны более специфичны для воспаление пародонта, чем для пародонтоза».
КАКИЕ ФАКТОРЫ СПОСОБСТВУЮТ РАЗВИТИЮ ПАРОДОНТИТА?
Причины возникновения пародонтита те же, что и у гингивита. Часто пародонтит присоединяется к хроническому гингивиту. Если сохраняется травмирующий фактор, в поврежденной десне активно продолжают размножаться микроорганизмы. Их токсины и ферменты разрушают десну все глубже и глубже.
В результате нарушается соединение десны с зубом (дно зубодесневой бороздки) — очень важное защитное образование, предохраняющее связки зуба и кость от инфекции. Возникает пародонтальный карман, и теперь бактерии, зубной налет и т.д
устремляются в глубь пародонта — вот здесь и начинается пародонтит. Далее происходит постепенное разрушение связок зуба, раплавляется костная ткань.
Пародонтит может протекать остро и хронически. Обычно острый пародонтит возникает при глубокой сильной травме десны (например, длинной искусственной коронкой, зубочисткой). В этом случае может сразу нарушаться зубодесневое соединение — гингивит и пародонтит возникают одновременно.
Генерализованный пародонтит характерен для серьезных общих заболеваний организма — сахарный диабет, другие эндокринные заболевания, лучевая болезнь, тяжелые заболевания желудочно-кишечного тракта и сердечно-сосудистой системы. Вылечить такой пародонтит без общего лечения основного заболевания практически невозможно.
При хроническом процессе болезненные ощущения и отек выражены не так сильно, как при остром пародонтите, происходит увеличение количества зубного камня и мягкого налета, усиливается неприятный запах изо рта, десна начинает оседать, оголяя шейку зуба, появляется чувствительность зубов на холодное, горячее, кислое и соленое. Появляется подвижность зуба, сначала незаметная, но неуклонно усиливающаяся.
Часто наблюдается нагноение пародонтальных карманов. Гной выделяется из-под десны при надавливании на десневой край пальцем. Иногда, при отсутствии оттока гноя, возникают пародонтальные микроабсцессы — в этом случае пациенту уже требуется хирургическая операция.
Пародонтит может стать одной из причин некоторых общих заболеваний. В зубном налете часто обнаруживают микроорганизм, вызывающий язву желудка. Другие бактерии, живущие в зубном налете, могут приводить к образованию микротромбов (сгустков крови). Проникая в кровь (при кровоточивости десен), они повышают риск возникновения сердечно-сосудистых заболеваний, в том числе инфаркта миокарда.
Попадание в кровь микроорганизмов может приводить к возникновению септического эндокардита. Есть сведения о взаимосвязи хронических заболеваний зубов и пародонта с поражением почек. Помните, что очаг хронической инфекции в полости рта — это входные ворота для болезнетворных бактерий в организм.
Методы лечения пародонтита
Сложность лечения этого заболевания зависит от того, на какой стадии оно находится.

Стоматологическое кресло ждет Вас уже при первых признаках заболевания
Чем более серьезную форму приобрела болезнь, тем сложнее ее лечить. Поэтому дантисты советуют пациентам обращаться за помощью при первых же признаках недуга. В этом случает болезнь можно вылечить и избежать необратимых последствий.
Каждый пациент должен знать, что, если заболевание перейдет в хроническую форму, то вылечить его до конца уже не получится. Можно будет только оттянуть прогрессирование болезни.
Однако в большинстве случаев приходится удалять расшатанные зубы и искать методы их восстановления. Это касается как пародонтита, так и пародонтоза.
К счастью, современная стоматология позволяет восстановить утраченные зубы практически в любом возрасте. Существует много методов протезирования зубов, самым лучшим из которых является имплантация. Установка имплантов поможет восстановить потерянные единицы и вернуть себе красивую улыбку за короткий период времени. При правильной установке и соблюдении всех правил и предписаний имплантаты могут прослужить до конца жизни.
При лечении пародонтита врач сначала чистит десневые карманы, убирает оттуда гной и бактериальный налет, который провоцирует воспалительные процессы. Терапия проводится с помощью ручных инструментов, ультразвуковых приборов. В некоторых случаях может понадобиться кюретаж десен. Это хирургическое вмешательство, при котором десну разрезают, отслаивают, удаляют из-под нее гной, затем возвращают ее на место и зашивают. Это необходимо в тех случаях, когда в деснах появляются большие углубления, которые не удается почистить другими методами.
После того как все очаги воспаления ликвидированы, может понадобиться шинирование зубов, которые уже успели расшататься. Для этого на внутреннюю сторону зубного ряда накладывается специальная шина. Изготавливается она из стекловолокна. С ее помощью можно закрепить шатающиеся зубы в неподвижном состоянии.

Физиопроцедуры при пародонтите является дополнением к другим методам лечения
Помимо шинирования, пациенту назначают противовоспалительные препараты, полоскание специальными растворами и проведение физиопроцедур. Если в зубном ряду нет нескольких единиц, то, вместо шины, можно установить бюгельный съемный протез. Он состоит из металлической дуги и крючков, поэтому хорошо фиксирует зубы, не давая им расшатываться дальше. Кроме того, протез восполняет недостающие единицы.
Важно знать, что полностью вылечить пародонтит нельзя. Можно только замедлить прогрессирование болезни и постараться сохранить зубы как можно дольше.. Однако, если они сильно расшатаются, то их придется удалить
На место удаленных единиц можно вставить импланты
Однако, если они сильно расшатаются, то их придется удалить. На место удаленных единиц можно вставить импланты.
Способы восстановления зубов на фоне пародонтита или пародонтоза
Наличие заболеваний пародонта даже в компенсированной стадии создает определенные сложности с выбором методики восстановления потерянных зубов. Рассмотрим, какие варианты в такой ситуации будут эффективны и безопасны.
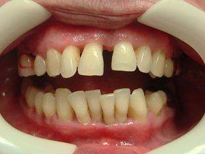
1. Можно ли ставить мосты и съемные протезы?
Мостовидные протезы с фиксацией на своих зубах – самый неподходящий вариант протезирования даже на начальной стадии пародонтита. Постепенное расшатывание зубов не позволяет им стать надежной опорой под ортопедическую конструкцию, которая в итоге тоже станет подвижной. Лучше выбрать съемное протезирование, но только как временное решение – пока длится курс терапии.
Для временного решения можно выбрать съемный протез
Так, проводить имплантацию, пока болезнь находится в активной фазе, категорически нельзя – это может привести к отторжению конструкций. Пока патологический процесс не будет полностью купирован, можно использовать съемный протез. Но это не решение на перспективу, поскольку слишком много недостатков у таких ортопедических решений – дальнейшая атрофия кости, сложное привыкания, боль и натирание, слабая фиксация и пр.
2. Почему имплантация – лучшее решение?
Имплантация является лучшим решением, но только после прохождения комплексного лечения, остановки патологического процесса и нормализации состояния пациента. При этом должны использоваться специальные импланты с гладкой поверхностью шеек, что препятствует скоплению бактерий. К тому же конструкции должны обладать высокими показателями первичной стабильности, иметь специальные покрытие для лучшей остеоинтеграции в условиях кости различной степени мягкости. Подобные модели есть в ассортименте компании Nobel Biocare – безусловного лидера в области производства дентальных имплантов с полувековым опытом и огромной наработанной клинической базой.
Нельзя вживлять импланты рядом с пораженными зубами, даже если они на противоположной челюсти, а болезнь находится в активной фазе. И это еще одна веская причина для начала пройти полный курс лечения, и только потом приступить к протезированию.
Оптимальным решением в такой ситуации будет применение комплексных решений для полного восстановления челюсти. В первую очередь, это базальная имплантация, в рамках которой обычно применяются импланты швейцарской компании Oneway Biomed – производитель более 40 лет существует на рынке, имеет подтвержденные клинические исследования о безопасности и успешном приживлении своих конструкций. Для случаев начальной и средней компенсированной стадии может также применяться комплекс all-on-6 на имплантах Nobel, в том числе с использованием скуловых моделей, которые задействуют не только челюстную, но и скуловую кость черепа, что обеспечивает их надежную фиксацию.
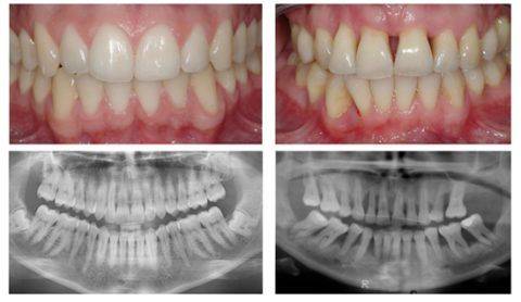
Фото «до» и «после» базальной имплантации
Все эти методики относятся к комплексам немедленной нагрузки, а это значит, что протез устанавливается в самые короткие сроки, без необходимости длительного ожидания, пока импланты полностью приживутся. Во-первых, это позволяет пациентам быстро вернуться к привычной жизни, восстановить эстетику и функциональность челюстного аппарата. Во-вторых, импланты буквально шинируются за счет прочного базиса протеза, что не позволяет им сместиться. Костная ткань через искусственные корни начинает вновь получать жевательную нагрузку, а это стимулирует ее восстановление и улучшает приживление титановых стержней.
Что такое пародонтит и пародонтоз?
Пародонтоз – это немного архаичный термин и не совсем корректный. Пародонтозом раньше называлось более агрессивное течение пародонтита, когда зубы оголялись быстро, но при этом были достаточно стабильны. Сегодня Всемирная Организация Здравоохранения такого заболевания не выделяет.
Сегодня выделяют пародонтит различной степени тяжести – это может быть локализованный пародонтит, генерализованный пародонтит. И пародонтит от гингивита отличается тем, что у пациента поражаются более глубокие структуры – поражаются связки пародонта, происходит потеря костной ткани, возможна подвижность зубов различной степени тяжести с их потерей. Протезирование при таком течении пародонтита с его недолечиванием часто приводит к нежелаемым результатам:

В отличие от гингивита, у пародонтита поражения ткани пародонта необратимые, то есть требующие впоследствии того или иного уровня реконструкции.
Врачи до сих пор часто используют термин “пародонтоз”, подразумевая под ним крайне тяжелое состояние тканей пародонта. Все-таки правильнее говорить “пародонтит”. НО:

Что касается подвижности зубов, ее патологическое развитие происходит вплоть до того, что зубы принимают активное участие в акте дыхания: то есть при каждом вдохе пациент чувствует подвижность зубов – это та ситуация, когда уже просто нужно бежать к врачу.
Причинами развития пародонтита могут быть неправильная или недостаточная гигиена полости рта, курение, нарушения в иммунной системе, гормональные изменения, генетическая предрасположенность, а также некоторые медицинские состояния, такие как диабет.
Пародонтит – это серьезное заболевание пародонта, характеризующееся воспалением и разрушением тканей, которые окружают и поддерживают зубы. Оно является одной из основных причин потери зубов у взрослых. Пародонтит начинается с воспаления десен (гингивита) и, если не лечиться, может прогрессировать, затрагивая альвеолярную кость и связочные структуры, что приводит к отслойке десны от зубов и образованию карманов между десной и зубами, где скапливается зубной налет и бактерии.
Основные симптомы пародонтита включают:
кровоточивость десен при чистке зубов и жевании пищи,
покраснение и опухание десен,
неприятный запах изо рта (галитоз),
чувствительность зубов,
появление зазубрин на поверхности корней зубов.
ВНЧСортопед-гнатолог
Лечение пародонтита может включать:
профессиональную чистку зубов,
снятие зубного налета и камня,
специальные процедуры для удаления бактерий из карманов между десной и зубами,
В некоторых случаях может потребоваться хирургическое вмешательство для восстановления поврежденных тканей и костной структуры.
Речь идет о достижении пациентом ремиссии и поддержании состояния ремиссии. После достижения ремиссии лечебные мероприятия под названием “лечение пародонтита” направлены на восстановление утраченных тканей пародонта и зубов путем пародонтологической хирургии, имплантации и эстетического протезирования зубов коронками и винирами, несъемными мостами и съемными протезами, см. на фото:

Пациент должен понимать, что лечение пародонтита – не разовая акция: нельзя прийти, сделать какую-то волшебную процедуру и на этом забыть о всех проблемах. В случае пародонтита исход заболевания зависит от того, как человек сам вовлечен в лечебный процесс, насколько ему правильно донесли всю информацию о заболевании.
Если пациент мотивирован, то тогда лечение и постпародонтитная реабилитация дадут свои плоды, и со своими зубами можно будет прожить долгие и счастливые годы.
А теперь давайте вернемся к начальной стадии развития пародонтита – гингивиту.
Что такое гингивит и как его лечат?
Гингивит – это, пожалуй, самое простое заболевание пародонта, это одна из самых первых стадий пародонтита.
На стадии гингивита начинается воспаление десны, из-за плохой гигиены присоединяется патогенная флора, и пациенты замечают либо отечность тканей десны, где-то, например, стало неудобно (языку, губе): при чистке зубов десна кровоточит, при откусывании яблока видны следы крови.
Если пациент обращается к стоматологу на этапе гингивита, то проще всего его реабилитировать и прогноз будет самый благоприятный, потому что в воспалительный процесс еще не вовлекаются более глубокие ткани пародонта – связка, кость еще не пострадала.
Для этого нужно просто нормализовать гигиену, подобрать правильные средства гигиены у врача, начать регулярно ходить раз в полгода к врачу гигиенисту и, собственно, все.










Катаральное воспаление десен
Патологический карман
Рентгенологический снимок – резорбция челюсти
Атрофическое воспаление десен
Оголение передней группы зубов
Резорбция челюсти















