Зона ответственности ортодонта
Чтобы разобраться, кто такой врач стоматолог-ортодонт, надо иметь представление о том, что сфера деятельности данного специалиста – исправление челюстных патологий врожденного или приобретенного характера. При визуальном осмотре доктор диагностирует отклонение от нормы, дает оценку имеющейся клинической картины и назначает необходимый в конкретном случае метод лечения.
Зубные аномалии
Отличие положения отдельных зубных единиц в ряду требует серьезной коррекции. Человеку причиняют дискомфорт коронки неправильного анатомического строения, например, зубы в форме шипов. Бывают ситуации, когда некоторые зубные единицы существенно отличаются от стандартного размера.
Консультация ортодонта необходима также при дефиците и переизбытке зубов. Данный специалист поможет выявить и решить задачи, касающиеся структуры тканей, гиперплазии или гипоплазии. Исправление формы прикуса направлено на устранение деформации зубного ряда.
Перед началом коррекционных действий специалист выполняет тщательный осмотр и назначает диагностические исследования. А затем принимает решение о том, какая схема коррекции будет наиболее эффективна.
Патологии зубного ряда
Зубные аномалии способны вызвать проблемы с речевым аппаратом или сложности в приеме пищи. Неправильные размеры зубных единиц, нарушение их расположения или асимметрия требуют срочной коррекции. Обращение к ортодонту желательно при нарушенных связях между стоящими рядом зубами. Например, при больших промежутках между ними или скученности.

Дефекты прикуса
Даже незначительные отклонения от нормы могут быть весьма вредны для организма.
Коррекция необходима при некоторых вариантах прикуса:
- Дистальный, при котором аномалия влияет на симметричность. Верхний зубной ряд в данном случае развивается активнее, чем на нижней челюсти, выпирает вперед, создавая косметический дефект.
- Мезиальный, когда нижняя челюсть развита больше верхней. Полученные от рождения черты лица приобретают грубость и угловатость.
- Открытый, при котором между верхним и нижним зубными рядами отсутствует контакт. Взаимодействуют лишь коренные зубы.
- Перекрестный прикус является патологией, при которой при смыкании челюстей отдельный нижний зуб или несколько единиц закрывают верхние, соответствующие им.
- Глубокий. При смыкании челюсти верхний зубной ряд чрезмерно перекрывает нижний. Такая ярко выраженная патология способна доставить большой дискомфорт пациенту.
Патологии прикуса необходимо своевременно устранять. В детском возрасте коррекционные мероприятия более эффективны, чем во взрослом. Выровнять зубы в детстве вполне возможно за пару лет. В старшем возрасте потребуется не менее трех лет, чтобы избавиться от описанных проблем. Имея достаточный опыт, доктор выявляет даже незначительные стадии аномалий и подбирает наиболее подходящий метод корректировки.
Челюстные аномалии
В некоторых случаях челюсти от природы располагаются асимметрично друг другу. Специалист способен выявить проблему при визуальном осмотре. Нередко пациенты не могут сами обнаружить аномалии. Подобные нарушения также должны быть скорректированы.

Наиболее распространенные дефекты:
- Изменение размеров коронок. Микрогнатия или макрогнатия представляют собой достаточно сложные дефекты. Например, когда одна из челюстей значительно больше другой, или обе челюсти остаются недоразвитыми.
- Аномалия соотношения дуг. Нестандартный прикус, мезиальные или дистальные окклюзии вполне реально исправить с помощью квалифицированного специалиста.
- Неестественное расположение зубного ряда, при котором зубные единицы растут асимметрично. Пациенты нередко обращаются к ортодонту при сильно выраженном выпирании челюсти вперед (прогнатии) или заметном смещении зубного ряда вглубь (ретрогнатии).
Стоматолог-пародонтолог
Пародонтолог занимается лечением невоспалительных и воспалительных заболеваний пародонта (околозубные ткани). Цели специалиста — остановить процесс консервативными методами, предотвратить выпадение сегментов, сохранить целостность ряда. Стоматолог пародонтологического отделения проводит лечение заболеваний:
- гингивит;
- пародонтит;
- пародонтоз;
- флюс;
- рецессия десны;
- воспаление тканей при прорезывании зубов мудрости (перикоронит);
- доброкачественных опухолевых заболеваний пародонта, др.
Пародонтолог — высококвалифицированный врач. Помимо лечения, он оказывает консультативную поддержку пациентам и коллегам стоматологам, разрабатывает тактику лечения.
Виды деятельности специалиста по стоматологической ортопедии
Эта статья рассказывает о типовых способах решения Ваших вопросов, но каждый случай уникален! Если Вы хотите узнать у меня, как решить именно Вашу проблему – задайте свой вопрос. Это быстро и бесплатно
!
Для реконструкции частично или полностью разрушенных зубов, врачу стоматологу-ортопеду важно правильно подобрать наиболее подходящую ортопедическую методику лечения. Существует три основных направления восстановления: микропротезирование, съемное протезирование и использование несъемных конструкций
Микропротезирование
Данный вид работ осуществляется при высокой степени сохранности зуба в случаях утраты его функциональности из-за поврежденной верхней части или при наличии косметических дефектов. В рамках микропротезирования используются виниры, люминиры и вкладки. Рассмотрим подробнее каждый из видов конструкций.
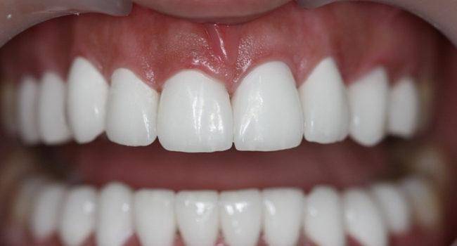
Виниры. Устанавливаются на передние зубы для коррекции внешнего вида зубного ряда, помогают замаскировать сколы, трещины, другие повреждения эмали, скрыть незначительную кривизну или выровнять цвет. Представляют собой тонкую керамическую или фарфоровую пластинку, наклеиваемую на поверхность резца при помощи цемента. При аккуратном обращении срок службы виниров – около десяти лет.
К недостаткам метода относятся:
- необходимость стачивать эмаль перед установкой накладки;
- невозможность установки пластинок другого вида после окончания срока эксплуатации.
Люминиры сходны с винирами по конструкции, но отличаются тем, что не требуют полного стачивания эмали, поскольку толщина пластинки не более 0,3 мм. Тонкость виниров является одновременно их достоинством и недостатком, укорачивающим срок службы.
Минусы люминиров:
- невозможность замаскировать неровность края зуба;
- затрудненное привыкание к наклеенным пластинкам;
- повышенная хрупкость конструкций.
Вкладки похожи на обыкновенные пломбы, но изготавливаются из керамики и обладают большей прочностью и презентабельным внешним видом. Применяются в случаях почти полного разрушения зуба. Чаще всего с помощью вкладок восстанавливают поврежденные жевательные зубы.
Съемное протезирование
Съемные протезы в стоматологии используются при необходимости восстановить отдельные утраченные зубы или группу из нескольких.
Съемные модели можно устанавливать в любом возрасте, их широко используют в детской ортопедической стоматологии для выправления зубного ряда после потери молочного зуба. Часто съемные конструкции рекомендуют пожилым людям.
Конструкции съемного типа выполняются из пластичных материалов, таких как полиуретан, акрил и нейлон, и повторяют рельеф десны и костной ткани зуба. Во рту протезы могут крепиться на здоровые зубы при помощи специальных креплений. Такие конструкции называются пластинчатыми. Возможно изготовление так называемых моделей на присосках (рекомендуем прочитать: ). В действительности, конструкция удерживается во рту благодаря эффекту вакуума между десной и нейлоновой частью искусственной челюсти.
Существует вариант установки условно-съемных протезов, базирующихся на металлических дугообразных конструкциях – бюгелях. Выгодное отличие бюгелей в том, что эта конструкция не закрывает небо. Существенный недостаток способа – в невозможности пациента самостоятельно надевать и снимать протезы.
Установка несъемных протезов
К несъемным конструкциям относятся коронки, мосты и имплантаты. Коронки используются в случае необходимости восстановления одного зуба, мосты применяются при утрате нескольких единиц и представляют собой три и более зубные коронки, объединенные в общую систему. Для установки данных видов протезов необходимо наличие живых зубов, которые обтачиваются и служат опорой конструкции.
Мосты и коронки могут выполняться из металла, керамики и пластика и сочетаний разных материалов. Керамические изделия благодаря полупрозрачности сырья выглядят более естественно, но по прочности первое место занимают металлокерамические коронки, поскольку ставятся на каркас из титанового сплава. Коронки из пластика имеют короткий срок ношения и используются в качестве временных до установки постоянного протеза.
После утраты одного или нескольких зубов костная ткань челюсти начинает быстро атрофироваться. Для предотвращения и замедления этого процесса стоматологи рекомендуют использовать имплантаты. Данный вид несъемных зубных протезов является наиболее предпочтительным, но при этом самым дорогостоящим.
Стоматолог-ортопед: чем занимается
В обязанности этого доктора входит восстановление зубного ряда. Ортопеда, из-за созвучного названия и схожих целей, часто отождествляют с ортодонтом. Но между ними есть существенная разница — ортодонт корректирует кривые зубы и проблемный прикус, используя брекеты, а ортопед восстанавливает зубы, а точнее, внешнюю и внутреннюю их часть, применяя протезирование. Поэтому его иногда еще называют протезистом.
Врач ортопед или протезист зубов помогает в решении всех вышеперечисленных проблем, с которыми рекомендуется обращаться в ортопедическую стоматологию.
От каких неприятностей можно избавиться с помощью зубного ортопеда:
Постоянное ощущение психологического дискомфорта. Отсутствие одного или нескольких зубов портит эстетичный внешний вид лица и даже его симметрию, что заставляет человека чувствовать себя неуверенно и некомфортно. Те же ощущения могут вызывать дефекты зубов: сколы, искривления, щели и т. д. Особенно в «зоне улыбки»
Здесь должна пригодиться помощь протезиста.
Следующая неприятность, которая бывает при недостаточности зубов, является не менее важной — существенные нарушения жевательной функции. Она нуждается в быстром восстановлении, потому как стимулирует естественные процессы всей зубочелюстной системы, восстанавливая ее нормальную работу: тонус мышц, питание и кровообращение клеток костной ткани
Нормальная жевательная функция является не только полезной для здоровья и обменных процессов в организме, но и помогает в борьбе с пародонтозом.
Угроза потери зуба из-за его непрерывного разрушения. Бывает, что зуб имеет вполне здоровые корни, но его внешняя костная ткань уже начала разрушаться, причем до такой степени, что пломба уже неэффективна. Чтобы остановить деструктивный процесс и сохранить зуб, избежав его полной потери, нужно обращаться в ортопедическую стоматологию.
Еще зубной ортопед лечит полную адентию, что дает возможность людям, у которых отсутствуют все зубы, вести нормальный образ жизни.
Основные методы ортодонтического лечения
Методы лечения, которые применяет врач ортодонт в своей практике, различны и носят индивидуальный характер. Выбор тактики лечения напрямую зависит от характера дефектов зубного ряда и тяжести патологии. В ряде случаев можно обойтись минимальными вмешательствами, а иногда требуется помощь стоматолога-хирурга.

Одними из самых распространенных методов лечения являются миогимнастика или миотерапия, аппаратное лечение и хирургическое вмешательство. Эти способы, как правило, комбинируются при лечении при подборе тактики для каждого пациента.
Миотерапия
Миотерапия – это комплекс мероприятий и упражнений, направленный на восстановительную функцию мышц полости рта. С помощью миогимнастики можно добиться хороших результатов укрепления мышц челюстно-лицевой области и, как следствие, избежать развития аномалий в детском возрасте. Миогимнастику обычно не назначают отдельно, она используется в комплексе или как дополнение к основному виду лечения.
Ребенку требуется выполнять два типа упражнений во время занятия:
- Статические. Такой вид упражнений заставляет органы все время находиться в напряжении.
- Динамические. При этих упражнениях мышцы лица и челюсти попеременно напрягаются, потом расслабляются.
Ортодонт подбирает подходящие упражнения, затем обучает им взрослого, ведь ребенок может просто забыть об упражнениях или не до конца понять врача. Проведение упражнений и лечебной гимнастики должно носить систематический характер. Взрослый должен обязательно контролировать ребенка, выполняет он упражнения или нет.
Аппаратный метод
Аппаратный метод — это самый часто используемый вид лечения, который встречается в практике врача ортодонта. Он заключается в установке несъемных или съемных аппаратных систем. К ним относятся: брекеты, капы, трейнеры или пластинки. При установке они воздействуют на отдельные зубы, заставляя их медленно занимать нужное положение в зубном ряду. Со временем все зубы встают на те места, на которых и должны были располагаться.
Для вас подарок! В свободном доступе до
18.03
Как вылечить зубы недорого по полису ОМС
Пошаговая инструкция, что делать, чтобы получить скидку на лечение зубов от 50%
У аппаратного метода лечения есть определенный ряд ограничений. Исправления возможны только в следующих случаях:
- Приспособление собрано и установлено правильно, что дает возможность прикладывать к зубу достаточные усилия для его перемещения.
- Аппарат хорошо зафиксирован, и у него есть надежная опора.
- Зубной ряд имеет место, на которое может встать выбившийся элемент.
- Отсутствуют препятствия на пути зуба, который нужно переместить.
Если эти условия не соблюдены, то в первую очередь ортодонт это исправляет и только потом устанавливает съемную или несъемную аппаратную систему. Подготовка к установке может занять длительное время. Если вам пришлось удалить зуб, то нужно обязательно дождаться, пока закончатся восстановительные процессы в тканях ротовой полости.
Хирургический метод
Иногда появляется необходимость прибегать к хирургическому вмешательству. К хирургу обращаются в случаях слишком сильной деформации челюстей и зубных дуг, а также при нарушении прикуса. Самые часто встречаемые виды хирургического вмешательства:
- Удаление отдельных зубов, имеющих неправильную форму, и тех, которые невозможно «вписать» в зубной ряд по каким-либо причинам.
- Обнажение коронки ретенированного зуба (над зубом, который неправильно прорезался, удаляется верхняя часть десны).
- Поворот зуба вокруг своей оси. Итогом этих манипуляций становится правильное расположение зуба в зубном ряду.
В случаях, когда ортодонт не может провести хирургическое вмешательство самостоятельно, он направляет пациента к стоматологу-хирургу для выполнения назначенных манипуляций.
Стоматолог-хирург
В запущенных случаях поврежденные зубы приходится удалять. Этим занимается стоматолог-хирург. Он также вычищает полости между зубами и деснами при пародонтозе (научное название этого процесса — кюретаж), удаляет кисты, проводит подсадку костной ткани.
Гигиена: при чистке зубов сделайте то же самое с мобильным устройством, удерживая его акрилом и никогда не проводя. После чистки, чтобы избежать неприятного запаха, сделайте раствор в половине стакана воды, смешайте 1 ложку перекиси водорода или добавьте 1 ложку бикарбоната и поместите прибор на 30 минут в этот контейнер.
Использование сдерживания: после ортодонтического лечения пациент оценивает с командой профилактики, которая будет указывать на использование устройств для ограничения движения вновь расположенных зубов. Это ограничение может быть фиксированным, полуфиксированным или съемным. В этих последних двух случаях использование также является непрерывным, кусок снимается только во время еды.
Стоматолог-хирург делает операции на челюстях, суставах и лице, связанные с травмами, врожденными и приобретенными дефектами, опухолями, инфекционно-воспалительными процессами, заболеваниями слюнных желез и нервных волокон, находящихся в данной области.
Вживление в кость челюсти имплантатов (искусственных корней) для дальнейшего протезирования также в компетенции хирурга.
Среднее время использования контейнеров составляет 6 месяцев, но может варьироваться в зависимости от случая и проведенной обработки
Важно то, что этого периода достаточно для реорганизации и стабилизации костной ткани и смежных тканей в новом положении
Современная ортодонтия всегда ищет новые альтернативы, чтобы предоставить пациенту больший комфорт и более короткое время лечения. «Трение» между структурами, ответственными за движение зубов, производится главным образом за счет использования эластичных лигатур, которые фиксируют ортодонтический провод. Поэтому сила, используемая проволокой для преодоления этого трения и вызывающая смещение зубов, должна быть очень большой и, следовательно, вызывает боль.
Нередко врачам этого профиля приходится удалять так называемые погруженные зубы мудрости, которые растут в неправильном направлении и вызывают воспаление и сильную боль в деснах.
Кто такой зубной врач
Впервые словосочетание появилось в 1710 году. До этого времени зубы не лечили, они выпадали и разрушались самостоятельно. Некоторые пациенты умирали от мучительных зубных болей. В лучшем случае больной элемент просто вырывали из ротовой полости.
Стоматология в Росси начала развиваться во времена Петра 1. Он открыл первые зубоврачебные школы, но только через 10 лет вышло постановление, разрешающее заниматься лечением ротовой полости после получения медицинского образования. Постепенно услуги стоматологов стали более востребованными. Кроме того, из-за перехода на мягкую пищу у людей возникло больше проблем с зубами.
Еще несколько столетий назад люди нуждались во врачах различных профилей, но в терминологии чаще использовалось слово «зубной врач». На сегодняшний день это понятие вытеснил термин «стоматолог».
Для получения профессии зубного врача необходимо пройти 3 год обучения и получить диплом соответствующего уровня квалификации. Зубной врач не вправе решать некоторые стоматологические задачи:
- пульпит;
- аномалии прикуса;
- протезирование;
- анестезия.
В небольших поселках заниматься вышеперечисленными задачами может и зубной врач, если отсутствует специалист необходимого профиля.
За рубежом зубного врача именуют дантистом. Он получает диплом после окончания среднего образования.
Что делает стоматолог, получивший среднее образование? Занимается он несложными манипуляциями, которые включают в себя:
- осмотр ротовой полости пациента;
- установление причины нарушения;
- лечение патологий десен;
- пломбирование незначительных участков разрушенной эмали;
- консультацию по выполнению гигиенических процедур;
- рекомендации по выбору подходящих средств для личной гигиены рта.
- выписку направления к узкопрофильным специалистам при обнаружении серьезных стоматологических проблем.
Список обязанностей зубного врача достаточно обширный. За счет этого специалист является весьма востребованным врачом в клиниках.
Врачи стоматологи: какие бывают
Стоматология довольно обширная область медицины, которая делится на несколько специфических направлений: терапия, хирургия, ортопедия, ортодонтия, пародонтология и другие. В зависимости от выбранной квалификации, навыков и умений, каждый врач имеет свою область ответственности и набор выполняемых действий.
Чтобы понять, к какому именно стоматологу обращаться в различных ситуациях и в чем состоит отличие ортопеда и ортодонта, хирурга и терапевта, следует знать особенности их деятельности.
Стоматолог-терапевт
С этого стоматолога обычно все начинается. К нему приходят, когда беспокоит зубная боль или другие симптомы, связанные с челюстно-лицевой областью. Он проводит диагностику и первичный осмотр, устанавливает диагноз и назначает лечение, дает направление к узким специалистам. В его компетенцию входят стандартные проблемы: кариес, инфекционные заболевания и воспалительные процессы в ротовой полости.
Стоматолог-терапевт:
- чистит каналы;
- удаляет нервы;
- устанавливает пломбы;
- удаляет зубной камень и налет;
- реставрирует зубы;
- делает санацию полости рта перед протезированием или другими стоматологическими мероприятиями.
Стоматолог-хирург
Этот доктор приходит на помощь, если обычные методы лечения неэффективны, и необходимы кардинальные решения, требующие хирургического вмешательства.
Стоматолог-хирург:
- удаляет зубы, новообразования и кисты;
- устраняет приобретенные и врожденные дефекты;
- вскрывает очаги абсцесса и других воспалений;
- подготавливает челюсть к протезированию и производит имплантацию;
- занимается восстановлением и пластикой челюсти, а также любыми другими операциями в полости рта.
Стоматолог-ортодонт
Данный врач занимается зубочелюстными нарушениями, связанными с неправильным прикусом, который он исправляет с помощью брекетов, кап, пластинок и других аппаратов. Это могут быть генетические, врожденные, возрастные, приобретенные вследствие заболевания либо деформации аномалии:
- отдельных зубов;
- зубных дуг;
- челюстей.
Среди дантистов есть еще несколько важных специальностей:
- Пародонтолог. Лечит заболевания пародонта, который представляет собой комплекс тканей, окружающий зубы и обеспечивающий их фиксацию.
- Детский зубной врач. Отличается от взрослого стоматолога, так как молочные зубки, формирующиеся челюсти и детская психика имеют особенностей. Здесь требуются определенные знания для правильного лечения.
- Зубной техник. Занимается изготовлением протезов в зуботехнических лабораториях.
Но главное направление, которое дает возможность восстановить зубы даже в тех случаях, когда другие стоматологи помочь не в силах — это зубная ортопедия.
Сравнение
Таким образом, два понятия неравнозначны по своему объему. Отличие ортодонта от ортопеда заключается в том, что только первый из них связан исключительно со стоматологией. Вообще, эта медицинская сфера складывается из нескольких ветвей. Каждой из них соответствует своя врачебная специальность.
Например, стоматолог-терапевт помогает при возникновении кариеса или воспалении десен. Зубной хирург удаляет разрушенные фрагменты и производит другие необходимые операции
Внимание остальных специалистов направлено на иные проблемы
Ортодонт, один из них, занимается необходимыми коррекционными процедурами. Он выравнивает зубной ряд путем установки соответствующих конструкций, работает над искажениями прикуса. Предметом рассмотрения здесь являются именно дефекты развития жевательного аппарата, а не последствия каких-либо травм. Пациентами в этом случае часто являются дети и подростки. Но и у взрослых исправляются некоторые деформации, например связанные с потерей зубов.
Что касается ортопеда, то он не всегда стоматолог. К этому специалисту обращаются люди с нарушенной осанкой, дефектами стоп, измененной формой грудной клетки и тому подобными проблемами. Часто при этом рекомендуется ношение приспособлений коррекционного назначения.
Ортопед, работающий в сфере стоматологии, занимается разрушенными или отсутствующими зубами. Он наращивает коронки на еще живые единицы, устанавливает импланты и закрепляет во рту конструкции в виде съемных протезов подходящей конфигурации.
Подведем итог и скажем еще раз, в чем разница между ортодонтом и ортопедом. Итак, деятельность первого специалиста связана только со стоматологией. Ортодонт устраняет аномалии, возникающие в зубочелюстной зоне. Врач-ортопед занимается костно-мышечными нарушениями. Он необязательно является стоматологом. А если это так, то именно ортопед ставит на зубы коронки и внедряет в ротовую полость различные протезы.
При посещении стоматологической клиники можно заметить на дверях кабинета различные таблички с названием врачей. Многие пациенты не могут понять, чем один специалист отличается от другого. Особенно много вопросов возникает при записи к зубному врачу и стоматологу. Чем отличается зубной врач от стоматолога и какие функции выполняет каждый из них? Ответ на вопрос будет дан в статье.
Стоматолог-терапевт
Терапевт занимается лечением самого распространенного заболевания зубов — . Чистка зубных каналов, удаление больных нервов, пломбирование тоже в его компетенции.
Первый шаг – использовать зубную нить с помощью нити, никогда не использовать зубочистки, так как они могут повредить прибор. Как только это будет сделано, пришло время чистить: на всех зубах и на внутренней поверхности зубов поместите кисть на 45º в линию десны и сделайте движения вперед и назад. С внутренней стороны используйте кисть вертикально, с движениями вверх и вниз. На поверхности жевательной резинки используйте кисть горизонтально с движением вперед-назад.
Там, где есть металлическая ортодонтическая проволока, вставьте и вибрируйте щетину щетки между зубом и проводом. Сделайте это концами вниз и вверх. Не забывайте чистить язык и делать рта с фтором в течение 1 минуты каждый день перед сном. Уход и обязанности: используйте съемное устройство в соответствии с рекомендациями ортодонта относительно количества часов, обслуживания, гигиены и хранения.
Стоматолог-терапевт может также провести реставрацию зубов с помощью пломбировочных материалов, чтобы спасти зуб, начавший разрушаться. Многое в этом случае зависит от качества материалов и мастерства врача.
Список литературы
- Богдан В. Е. и др. Профилактика зубочелюстных аномалий и ортодонтическое лечение в раннем возрасте // Главный врач Юга России. — 2013. — № 6 (37). — С. 4-6
- Кызина С. Л., Реброва А. Е. Ортодонтия для всех // Здравоохранение Югры: опыт и инновации. — 2022. — № 4. — С. 33-38
- Токаревич И. В. Общая ортодонтия // Учеб.-метод. пособие. — Минск: БГМУ. — 2015. – 80 с.
- Хотайт А. Х., Бутвиловский А. В. Способ изготовления несъемного индивидуального ретейнера // Ортодонтия гнатология. — 2022. — ноябрь. — № 2 (3). — С. 22-26
- Кипкаева Л. В., Белькевич В. В. Применение элайнер-системы при лечении зубочелюстных аномалий в постоянном прикусе. Особенности конструкции. Эффективность лечения // Ортодонтия гнатология. — 2021. — апрель. — № 1 (4). — С. 50-55
- Булгакова А. И. и др. Структура и оснащение стоматологических организаций // Учебное пособие. — Уфа: Изд-во ФГБОУ ВО БГМУ Минздрава России. — 2016. – 84 с.
- Гянджали Н. Т. Брекет-техника или элайнеры? // Бюллетень медицинских интернет-конференций. — 2014. — Т. 4. — № 4. — С. 370
- Уильям Р. Проффит и др. Современная ортодонтия // Учебник. — 686 с.
- Демина М. А. Положительные и отрицательные аспекты работы с ортодонтическими конструкциями, критерии выбора // Бюллетень медицинских интернет-конференций. — 2022. — Т. 7. — № 9. — С. 1440-1442
- Алимирзоев Ф. А. Современные представления о комплексном лечении в ортодонтии // Достижения вузовской науки. — 2014
- Шкавро Т. К., Павлова И. А. Ортодонтические аппараты // Учебное пособие. – Иркутск: ИГМУ. — 2022. – 32 с.
Чем занимается стоматолог-ортодонт
Многие из тех, кто никак не связан с медициной и стоматологией в частности, нередко путаются в специализациях врачей, в связи с чем у них может возникнуть вполне закономерный вопрос: ортодонт – какой это врач? Попробуем дать на него четкий и понятный ответ: это стоматолог, который занимается лечением врожденных или приобретенных аномалий зубочелюстного аппарата, включая главным образом неправильное расположение челюстей относительно друг друга, искривленное положение зубов, наличие больших межзубных промежутков, скученность, аномалии формы и размеров зубов.
Не путать!
Судя по анализу запросов в интернете, люди чаще всего путаются и не знают, как правильно назвать нужного им врача: ортодонт или ортопед, и чем они отличаются друг от друга. Ортодонтом может быть только стоматолог, и занимается он диагностикой и лечением аномалий зубочелюстного аппарата. Ортопед в широком понятии занимается лечением проблем, связанных с костно-мышечной системой. Стоматолог-ортопед, в свою очередь, специализируется на восстановлении целостности зубных рядов и протезировании.

А теперь подробнее о том, чем занимается ортодонт в стоматологии. Перед тем, как назначить лечение, специалист должен определить, с какой конкретно проблемой ему предстоит иметь дело. Для этого проводится тщательная диагностика, которая включает не только визуальный осмотр полости рта, но и рентген-обследование. Только изучив снимки обеих челюстей пациента, врач может составить полную и достоверную клиническую картину, а также выбрать оптимальный метод лечения. Все проблемы, которые входят в сферу компетентности ортодонта, можно разделить на 3 большие группы:
- врожденные патологии: такие нарушения обычно связаны с неправильной формой или положением молочных и постоянных зубов, их недоразвитостью или отсутствием, и, как правило, эти проблемы становятся следствием сбоев в формировании челюстной системы у ребенка в раннем возрасте или еще на стадии развития плода,
- генетическая наследственность: проблемы, которые дети получают от своих родителей. Это может быть неправильный прикус, большие межзубные промежутки, скученность или сверхкомплектность (аномально большое количество зубов),
- приобретенные дефекты: такие проблемы обычно возникают уже спустя несколько лет после рождения, например, искривление положения передних зубов из-за привычки ребенка засыпать с большим пальчиком во рту.

В зависимости от вида патологии, характера ее происхождения, степени сложности и серьезности, врач выбирает конкретный метод решения проблемы или, при необходимости, назначает комплексное лечение, которое зачастую длится не один год. Если в некоторых ситуациях, особенно когда речь заходит о пациентах-детях, врач может назначить корректирующую пластинку, то в других – потребуются более кардинальные меры, и тут уже без установки несъемной брекет-системы не обойтись. Самые тяжелые формы патологий требуют удаления отдельных зубов и хирургического вмешательства. И все это входит в сферу деятельности врача-ортодонта.
Мифы о враче и его работе
Относительно стоматологов-ортодонтов существует целый ряд мифов и заблуждений. Поговорим о них.
Заблуждение 1. Ортодонты лечат только детей и подростков
Это совершенно неверно. Хотя на заре становления профессии в XVIII-XIX веках действительно считалось, что исправить патологии челюстей можно только до 20 лет. А современные ортодонты успешно работают с пациентами любого возраста. Просто набор подходов, инструментов и оборудования отличается в зависимости от ситуации.
Конечно, эффективность лечения тем выше, чем раньше оно начато.

В детстве и юности даже сложные зубочелюстные патологии легко исправить без операции и в короткие сроки, просто направив развитие челюстей в нужное русло. Фото: Яндекс.Картинки.
Но и во взрослом возрасте тоже можно добиться отличных результатов. Хотя челюстные кости уже полностью сформированы и работать немного сложнее. Лечение может быть длительным. Возможно, потребуется операция. Часто у взрослых приходится совмещать несколько разных подходов к лечению, а после брекетов ставить виниры для нормализации эстетики.
Заблуждение 2. Есть «детские» и «взрослые» ортодонты
Как правило, нет. Стоматолог, окончивший ординатуру по направлению «ортодонтия», может работать как с детьми, так и со взрослыми. Другое дело, что каждый врач обычно выбирает по душе – работает в более узком направлении, проходит дополнительные курсы повышения квалификации, набирается опыта в работе с пациентами определенных возрастных групп.
Но в большинстве ситуаций ортодонты – универсальные врачи, которые принимают пациентов вне зависимости от их возраста. Это тот редкий случай, когда вы и ваши дети можете наблюдаться у одного и того же специалиста.
Заблуждение 3. Ортодонт – тот, кто ставит брекеты
Брекеты – далеко не единственный вариант ортодонтического лечения. Хотя и очень популярный. Брекет-системы состоят из набора пластинок, которые крепятся на зубах, корректирующей дуги, а также соединительных элементов для этих двух частей. Ортодонт задает дуге определенное положение и натяжение, усилие передается на зубы, постепенно меняя их позиции.
Брекеты – это для всех
Брекеты – универсальная ортодонтическая конструкция, которая используется в любом возрасте. Но не раньше, чем у ребенка молочные зубы сменятся на постоянные.
Функциональные аппараты – это для детей
А вот специфическим детско-подростковым лечением является установка функциональных аппаратов: ортодонтических пластинок, небных бюгелей, трейнеров, лицевых дуг, масок. Все эти аппараты нужны на этапе роста челюстных костей – они эффективно изменяют параметры, задавая тон для формирования их правильного положения.

Ставят пластинки или другие аппараты как в молочном прикусе, так и в постоянном – это зависит от проблемы, которую нужно скорректировать. Фото: Яндекс.Картинки.
Лечение без брекетов – новинка в ортодонтии
Еще ортодонты используют в работе элайнеры – ортодонтические каппы для коррекции прикуса. И у взрослых, и у детей.

По сути, элайнеры – отличная альтернатива брекетам. Только более дорогая. Фото: Smile-at-Once.ru.
Не будем про них много рассказывать, лучше почитайте наш отдельный материал на эту тему. Но отметим, что элайнеры – это непревзойденная эстетика и высочайший комфорт на всем протяжении лечения.
Заблуждение 4. Ортодонтия – самая простая специальность
Одно из главных заблуждений. Потому что ортодонтия на самом деле – одна из самых сложных сфер!
Работу ортодонта можно сравнить с настройкой дорогого музыкального инструмента (а что может быть дороже вашего здоровья?). Врачу необходимо точно рассчитать, какое давление дать на зубы, как перераспределить нагрузку при жевании, перенастроить тонус мышц – это тонкая и ювелирная работа.
К слову, перед началом ортодонтического лечения врач обязательно проводит комплексную цифровую диагностику всей зубочелюстной системы. Для этого применяют компьютерную томографию, ТРГ и фотометрию, 3D-сканирование зубных рядов, а также исследуют динамические параметры прикуса (аксиография и миография).




























