Новости
читать все
К 2030 году в России откроют до 150 новых предприятий химии, в том числе для обеспечения сырьем фармации
В ближайшие семь лет в России планируется создание до 150 новых предприятий средне- и малотоннажной химии. Об этом сообщил Денис Мантуров, вице-премьер — глава Минпромторга РФ, на заседании Владимира Путина с членами кабинета министров, сообщает ТАСС. Денис Мантуров уточнил, что развитие ключевых отраслей экономики переводится в формат национальных проектов по поручению президента. Он отметил, что одной
ЧитатьНовости отрасли
15.03.2024
36
СобытияМинздрав включил «сердечников» в число получателей бесплатных лекарств
Министр здравоохранения Михаил Мурашко подписал приказ, утвердивший перечень лекарств для бесплатного обеспечения диспансерных пациентов с сердечно-сосудистыми заболеваниями. Среди получателей лекарств появились больные с ишемической болезнью сердца в сочетании с фибрилляцией предсердий и хронической сердечной недостаточностью. Документ опубликован на портале правовой информации. Документ вступает в силу 24 марта 2024 года. В нем перечислено, что лекарства будут
ЧитатьРегуляторика
15.03.2024
56
СобытияНовый исполнительный директор возглавил Ассоциацию международных фармпроизводителей
В Ассоциации международных фармацевтических производителей (АМФП) 14 марта 2024 года к своим обязанностям приступила новый исполнительный директор Лариса Матвеева, сообщается на сайте АМПФ. Лариса Матвеева возглавила ассоциацию вслед за Владимиром Шипковым, который работал на этой должности предыдущие 16 лет и покинул пост в декабре 2023 года. После ухода руководителя, в ассоциации отметили, что основополагающие принципы организации
ЧитатьНовости отрасли
15.03.2024
72
СобытияИнвестиции в образование: фармкомпания оборудовала лаборатории в техникуме
Фармацевтическая компания «Вертекс» открыла учебные лаборатории в фармтехникуме Санкт-Петербургского химико-фармацевтического университета, сообщила пресс-служба компании. «Вертекс» стал первым отраслевым производителем, который реализовал проект, одновременно улучшающий учебную среду фармтехникума и способствующий привлечению учащихся к рабочим специальностям в индустрии производства лекарств. В техникуме за четыре месяца был проведен ремонт и оборудование помещений общей площадью 115 квадратных метров, куда было вложено
ЧитатьКадры
14.03.2024
233
События
Магнитно-резонансная томография

В основе МРТ лежит явление магнитного резонанса, основанного на переизлучении радиоволн, взаимодействующих с атомами водорода, в избытке содержащимися в организме человека. Эти переизлученные электромагнитные волны улавливаются датчиком МР-томографа, усиливаются и в виде цифровых изображений появляются на экране монитора. Это безвредный и абсолютно безопасный для здоровья человека метод лучевой диагностики, так как в основе получения изображения отсутствует рентгеновское излучение, поэтому МРТ можно проходить неограниченное количество раз, с любым интервалом.
Существенное преимущество МР-томографии перед КТ заключается в том, что она не противопоказана беременным во II и III триместре и совершенно безопасна для детей. В МРТ исследуемая область сканируется в трех проекциях, что позволяет врачу-рентгенологу в полной мере оценить состояние тканей и органов исследуемой области, а высокая контрастность изображения и пространственное разрешение позволяют визуализировать серое и белое вещество головного мозга, оценивать состояние костного мозга и мягких тканей различной локализации. Кроме того, метод МРТ позволяет получать изображения сосудов головного мозга и сосудов шеи без введения контрастного препарата.
Конечно, как и многие другие методы исследования, МР-томография имеет ряд противопоказаний. Однако, если внимательно ознакомиться с ними, можно заметить, что в основном они связаны с наличием металлсодержащих имплантов (не обладающие магнитными свойствами устройства противопоказанием не являются), а также с выраженной клаустрофобией. Таким образом, в большинстве случаев МРТ может стать наиболее оптимальной и совершенно безопасной альтернативой компьютерной томографии и рентгенографии.
Главные отличия
Ниже будут представлены главные отличительные характеристики этих двух видов исследований:
- При магнитно-резонансной томографии можно получить снимок изучаемой области в разных плоскостях, чего нельзя сделать при рентгене. Полученный снимок в разной плоскости можно преобразовать в трехмерную модель.
- Магнитно-резонансная томография длиться не более минут, что может доставить некий дискомфорт пациентам, которые страдают от сильных болевых ощущений или от клаустрофобии. Зато рентгеновское исследование длиться всего несколько секунд, что очень удобно и тем самым экономит время.
- Рентгеновское исследование наносит определенный вред человеческому организму, особенно при частом применении. Если человеку проводиться сразу несколько рентгеновских исследований подряд за короткий срок, то это приравнивается к годовой норме облучения. Что касается МРТ, то оно не вредно, так как используется магнитное поле. Однако эти исследования имеют одинаковые противопоказания – беременность.
- Магнитно-резонансная томография – уникальный метод, позволяющий изучить различные области человеческого тела, тканей и органов. Рентген же ограничивается исследованием только костной ткани.
- МРТ предоставляет информацию, которая касается патологий небольших размеров. Рентген предоставляет информацию о патологиях костной ткани и не всегда дает возможность оценить незначительные изменения.
- Главное преимущество рентгена – проводиться у пациентов, которые имеют металлические и электронные имплантаты, а также которые не способны выдержать длительное обследование.
Как проводится обследование
Чтобы УЗИ коленного сустава было наиболее информативно, обследование проводится в нескольких проекциях. Обычно – в двух; какие из четырех имеющихся позиций потребуются, решает специалист:
позиция спереди. Пациент лежит на кушетке, вытянув пострадавшую конечность. Такой доступ дает возможность оценить состояние всех элементов четырехглавой мышцы, надколенных связок, суставных сумок, переднего заворота, жировой клетчатки;
медиальный, то есть боковой доступ
В такой позиции исследуют мениск и суставную капсулу, внутренние боковые связки, что важно при развитии многих патологий коленного сустава. Данные снимаются в положении лежа на спине, ноги тоже должны быть выпрямлены, но датчик проходит по внутренним поверхностям в продольном направлении. Эта проекция снимается, когда требуется исследовать гиалиновый хрящ и крупные кости; она позволяет оценить уровень жидкости в суставах;
следующая позиция обеспечивает латеральный доступ
Для этого исследования пациент должен согнуть ногу в колене под острым углом. В таком положении изучаются связка, проходящая снаружи, бедренная фасция снизу, мениск с наружной стороны, сухожилия и капсула сустава, на этот раз сбоку. Как раз с таким доступом возникают проблемы, если пациенту вследствие острых болей или ограниченной подвижности трудно сгибать колено. Иногда для получения информации врачу приходится назначать повторное обследование, когда острые проявления заболевания будут сняты;
последняя позиция направлена на изучение сосудисто-нервного пучка. Он располагается в подколенной ямке, так что пациент укладывается на кушетку на живот. Доступ сзади обеспечивает также возможность обследовать обе головки икроножных мышц, мениски с заднего ракурса, прилегающую мускулатуру и крестообразные связки.
Эта проекция снимается, когда требуется исследовать гиалиновый хрящ и крупные кости; она позволяет оценить уровень жидкости в суставах;
следующая позиция обеспечивает латеральный доступ. Для этого исследования пациент должен согнуть ногу в колене под острым углом. В таком положении изучаются связка, проходящая снаружи, бедренная фасция снизу, мениск с наружной стороны, сухожилия и капсула сустава, на этот раз сбоку. Как раз с таким доступом возникают проблемы, если пациенту вследствие острых болей или ограниченной подвижности трудно сгибать колено. Иногда для получения информации врачу приходится назначать повторное обследование, когда острые проявления заболевания будут сняты;
последняя позиция направлена на изучение сосудисто-нервного пучка. Он располагается в подколенной ямке, так что пациент укладывается на кушетку на живот. Доступ сзади обеспечивает также возможность обследовать обе головки икроножных мышц, мениски с заднего ракурса, прилегающую мускулатуру и крестообразные связки.
При отсутствии патологий УЗИ коленных суставов показывает ровные поверхности всех компонентов сочленения, с четкими границами, без выступов, разрывов и новообразований, к которым относятся и отечные области. Хрящ имеет однородную структуру, а синовиальная оболочка – завороты в виде гармоничных структур складчатого характера.
При патологиях визуализируются изменения, что показывает УЗИ коленного сустава со 100-процентной гарантией:
- наличие жидкости в суставных карманах и полости сочленения свидетельствует о развитии бурсита, артрита, гемартроза либо синовита. В этом случае потребуется забор жидкости на предмет обнаружения гнойных образований;
- инородные тела в суставе позволяют предположить наличие костного нароста, чьими обломками они могут быть, либо внутрисуставный перелом;
- поражение связок проявляется изменением их структуры, размера, толщины, нарушением целостности.
О многом специалисту скажут гипертрофия жировых тканей, патология их структуры, нестандартные контуры хряща, аномальное состояние всех прочих составляющих сустава. Любые новообразования на экране также прекрасно просматриваются.
В список преимуществ УЗИ можно внести и выдаваемый сразу после обследования подробный вывод. Конечно, сам пациент многое в нем может не понять: медицинская терминология трудна для восприятия не специалистом. Зато лечащий врач сразу же разберется в особенностях заболевания и сможет назначить наиболее эффективный курс терапии. Возможно – после консультации с другими узкими специалистами, если у пациента имеются системные хронические патологии.
Врач-рентгенолог рассказала, в чем разница между рентгеном, КТ и МРТ
Определить точный диагноз и оценить эффективность лечения помогут методы лучевой диагностики, среди которых — рентгенография, компьютерная томография (КТ) и магнитно-резонансная томография (МРТ). Чем они отличаются друг от друга и как понять, какой тип исследования будет наиболее эффективным, рассказала заведующая отделением лучевой диагностики Международного медицинского центра «СОГАЗ», врач-рентгенолог Марина Дмитриевна Герко.
КТ, МРТ и рентген — это диагностические инструменты, которые позволяют врачам исследовать внутренние структуры тела. В основе этих методов лежат электромагнитные излучения различной длины волны (в т.ч. и рентгеновские), в результате применения которых получают изображения внутренних органов.
Эти технологии визуализации различаются по следующим параметрам:
доступность
разрешение (уровень детализации изображений)
тип используемой энергии
Рентген
Рентгеновские исследования являются самым распространенным и доступным методом диагностической визуализации. Его обычно используют для диагностики заболеваний костей, переломов, вывихов, воспалений и новообразований.
Во время рентгена исследуемая часть тела помещается между рентгеновским аппаратом и фотопленкой. Затем аппарат посылает излучение через тело, отражая его внутреннюю структуру на пленке. Кости и другие плотные объекты поглощают излучение и выглядят белыми на снимке. Мягкие ткани на рентгеновских снимках выглядят более темными и даже черными.
Хотя количество излучения, используемое для рентгеновского снимка, не считается опасным, у данного метода могут быть противопоказания, например, беременность. Беременным женщинам следует проводить рентгенографию только в случае, если польза от диагностики превышает потенциальный риск для плода.
КТ
Компьютерная томография (КТ) создает подробные качественные изображения костей, кровеносных сосудов (при внутривенном контрастировании во время исследования), мягких тканей и органов. Исследование используют для диагностики онкологических заболеваний, травм, сосудистых патологий, поражения легких, брюшной полости и т.д.
КТ-аппарат выглядит как большой «бублик». Пациент лежит на столе, который постепенно движется, пока аппарат вращается вокруг и создает изображения поперечного сечения тела под разными углами. Затем изображения выводятся на экран компьютера, и с помощью цифровых алгоритмов создается трехмерное изображение.
Рентгеновские аппараты в некоторых случаях не могут диагностировать повреждения мышц, мягких тканей или других органов тела, что возможно с помощью компьютерной томографии. Кроме того, рентгеновские изображения представлены в 2D-формате, а изображения компьютерной томографии — в 3D.
МРТ
В отличие от КТ и рентгенографии, магнитно-резонансная томография (МРТ) не использует рентгеновское излучение для получения изображения. Принцип работы аппарата МРТ основан на том, что под воздействием магнитного поля атомы водорода в организме человека резонируют и выдают различные сигналы в зависимости от характера заболевания. Затем компьютер обрабатывает этот сигнал и создает трёхмерное изображение исследуемых участков тела.
МРТ часто используют для диагностики проблем с суставами, воспалительных заболеваний, выявления доброкачественных и злокачественных новообразований, а также для оценки прогресса лечения.
Аппарат выглядит как большой ящик с тоннелем в центре, в который помещен выдвижной стол. Исследование обычно длится дольше, чем КТ или рентгенография, и может занять от 20 минут до полутора часов в зависимости от исследуемой области. Поэтому скрининг для пациентов, страдающих клаустрофобией, становится проблематичным.
Поскольку одним из свойств магнитного поля МРТ является притягивание металлов, выполнять исследование нельзя при наличии медицинских приборов и металла в теле (кардиостимуляторов, протезов, имплантов и т.д.).
Определить наиболее оптимальный в конкретном случае метод исследования может только лечащий врач или врач-рентгенолог. Не стоит назначать исследование самому себе или проходить их слишком часто, так как это может быть не только бессмысленно, но и небезопасно. Однако и игнорировать рентгеновские исследования нельзя. Ежегодная флюорография (а для женщин старше 40 лет и маммография) — это «золотой» стандарт диагностики, который позволяет не допустить развития опасных заболеваний.
8 ноября 2021
Исследование суставов
В табличке дана информация о показаниях к МРТ и рентген-исследованию.
Таблица 2. Особенности исследования суставов.
| Сустав | Описание | Когда нужен рентген? | Когда требуется МРТ? |
| Является «фундаментом» тела человека, принимает на себя серьезную нагрузку. | Артрит, артрозы, травматические повреждения, воспаление суставной сумки. | Точная оценка мягких тканей. |
| Соединяет бедренную кость, большеберцовую кость и надколенник. | Перелом, разрыв мениска, вывих. Позволяет исследовать как сам сустав, так и зоны большеберцовой, бедренной и малоберцовой костей. | Диагностика ранней степени воспалительных патологий. |
| Шаровидный, многоосный сустав. Образуется полулунной поверхностью вертлужной впадины кости таза и суставной поверхностью головки бедренной кости. | Артриты, перелом шейки бедра, деформирующий артроз, асептический некроз. | Диагностика начальной стадии опухолевого процесса. |
| Подвижное сочленение плечевой кости с локтевой и лучевой костями. | Воспаление синовиальной сумки, вывих, перелом плеча и отростков локтевой кости. | Более детальная оценка травмы. |
| Подвижное сочленение плечевой кости с лопаткой. Связывает свободную верхнюю конечность с поясом верхней конечности. | Плечелопаточный периартрит, перелом, артриты, артроз, некроз плечевой головки, тендинит. | Выявление начальной стадии воспалительного или опухолевого процесса. |
Чем отличается МРТ от рентгена?
Для того, чтобы найти ответ на этот вопрос, необходимо просто определить то, как работают обе эти процедуры. В основе МРТ и рентгеновских методов лежат совершенно различные принципы, которые дают в итоге абсолютно разные ограничения к проведению, преимущества, недостатки, области применения.
Рентген – это один из старейших диагностических методов, применяющийся уже очень много лет и до сих пор не потерявший своей актуальности. Область его приложения ограничивается в основном костной тканью и некоторыми органами. Главной проблемой этого метода является его небезвредность: он несет некоторую лучевую нагрузку на организм пациента, небольшую, но склонную накапливаться.
Магнитно-резонансная томография – метод, который основан на использовании мощного магнитного поля, применяется преимущественно для диагностики повреждений и состояния мягких тканей организма. Чем отличается МРТ от рентгена в лучшую сторону – так это полной безопасностью процедуры: отсутствие использования ионизирующего излучения делает МРТ абсолютно безвредным для организма.
Заболевания, при которых назначают МРТ или рентген
МРТ необходимо для диагностики:
- Спондилеза
- Спондилолистеза
- Аномалий развития сосудов, позвонков, дисков
- Остеохондроза
- Межпозвоночной грыжи
- Опухолей
- Туберкулеза позвоночника
Рентген понадобится при:
- Любых травмах позвоночника
- Остеохондрозе
- Смещении позвонков
- Разрастании костной ткани
- Опухолях позвонков
- Кифозе, сколиозе
- Перед экстренной операцией
Рентгенография, несмотря на появление МРТ, не сдает позиций. Применять оба метода надо только по назначению врача, который и подберет необходимое исследование. Самостоятельное назначение обследования может привести к получению лишней лучевой нагрузки и к ненужной трате средств, поэтому не рекомендуется пациентам.
Назначение МРТ
МРТ помогает буквально послойно изучить область исследования. За одну секунду томограф в состоянии сделать до сотни изображений сразу в трёх проекциях. Показания к проведению исследования:
- аномалии развития, анатомические особенности внутренних органов;
- новообразования, подозрение на онкологические опухоли;
- структурные изменения мягких тканей.
Магнитно-резонансная томография обеспечивает чёткую визуализацию мягких тканей, что помогает выявить изменения ещё на зачаточной стадии.

При помощи магнитно-резонансной томографии определяют патологический очаг и саму причину изменений в тканях.
Сцинтиграфия, ОФЭКТ, ПЭТ
Пожалуй, это одни из самых редких процедур нашего списка. Эти методы обследований основаны на лучевой диагностике, только используется она наоборот. Пациента не облучают снаружи, а вводят ему специальный радиоактивный препарат, чтобы заставить “светиться изнутри”. Сначала учёными была придумана и опробована сцинтиграфия. С её помощью удавалось получить двухмерные изображения. Затем исследования пошли дальше и была изобретена однофотонная эмиссионная компьютерная томография (ОФЭКТ), а вслед за ней и позитронно-эмиссионная томография (ПЭТ). Разница между этими методами скорее техническая, в них используются разные радиофармпрепараты и разные типы детекторов, которые фиксируют излучение из тела пациента.
Возникает вопрос: “Зачем такие сложности?”. Дело в том, что благодаря этим процедурам на снимках можно увидеть образования, которые не видны на снимках, полученных путём внешнего облучения. Метастазы и опухоли могут появляться внутри костей или органов и долгое время не проявляться. Радиофармпрепарат вводится внутрь организма и накапливается в тканях, что позволяет “подсветить” определённые участки.
Основной минус этого метода обследования — стоимость. Радиофармпрепарат разрабатывается индивидуально для каждого пациента, кроме того, пациент получает лучевую нагрузку, да и сама процедура более сложная, нежели те, которые мы описывали ранее. Однако в некоторых случаях без неё не обойтись, например, при онкологических и неврологических заболеваниях, диагностике болезней сердца и щитовидной железы.
Когда назначаются?
МРТ и рентген применяются в различных областях медицины. Магнитно-резонансная томография назначается в такой ситуации:
- Изучение заболеваний спинного мозга, его патологий, аномалий.
- Для выявления грыжи.
- Для выявления опухолей.
- Для выявления инфекционных очагов и определения степени распространенности.
- Для выявления воспалительных процессов.
- Для выявления точной локализации и очертаний очага патологии в мягких тканях и внутренних органах.
Рентген назначается в такой ситуации:
- При переломах костей.
- При вывихах суставов.
- Для выявления заболеваний и патологий опорно-двигательного аппарата.
- Для определения инородных тел в организме.
Рентген может проводиться одновременно с МРТ, если диагностируется воспалительный, дегенеративный или инфекционный процесс в мягких и костных тканях.
МРТ и рентген – эффективные методы диагностирования, которые помогут специалисту точно поставить диагноз и как следствие назначить эффективное лечение. При назначении того или иного метода исследования необходимо учитывать некоторые нюансы и противопоказания, а также положительные стороны каждого методы.
Врач-рентгенолог рассказала, в чем разница между рентгеном, КТ и МРТ
КТ, МРТ и рентген — это диагностические инструменты, которые позволяют врачам исследовать внутренние структуры тела. В основе этих методов лежат электромагнитные излучения различной длины волны (в т.ч. и рентгеновские), в результате применения которых получают изображения внутренних органов.
Эти технологии визуализации различаются по следующим параметрам:
- доступность
- разрешение (уровень детализации изображений)
- тип используемой энергии
Рентген
Рентгеновские исследования являются самым распространенным и доступным методом диагностической визуализации. Его обычно используют для диагностики заболеваний костей, переломов, вывихов, воспалений и новообразований.
Во время рентгена исследуемая часть тела помещается между рентгеновским аппаратом и фотопленкой. Затем аппарат посылает излучение через тело, отражая его внутреннюю структуру на пленке. Кости и другие плотные объекты поглощают излучение и выглядят белыми на снимке. Мягкие ткани на рентгеновских снимках выглядят более темными и даже черными.
Хотя количество излучения, используемое для рентгеновского снимка, не считается опасным, у данного метода могут быть противопоказания, например, беременность. Беременным женщинам следует проводить рентгенографию только в случае, если польза от диагностики превышает потенциальный риск для плода.
КТ
Компьютерная томография (КТ) создает подробные качественные изображения костей, кровеносных сосудов (при внутривенном контрастировании во время исследования), мягких тканей и органов. Исследование используют для диагностики онкологических заболеваний, травм, сосудистых патологий, поражения легких, брюшной полости и т.д.
КТ-аппарат выглядит как большой «бублик». Пациент лежит на столе, который постепенно движется, пока аппарат вращается вокруг и создает изображения поперечного сечения тела под разными углами. Затем изображения выводятся на экран компьютера, и с помощью цифровых алгоритмов создается трехмерное изображение.
Рентгеновские аппараты в некоторых случаях не могут диагностировать повреждения мышц, мягких тканей или других органов тела, что возможно с помощью компьютерной томографии. Кроме того, рентгеновские изображения представлены в 2D-формате, а изображения компьютерной томографии — в 3D.
МРТ
В отличие от КТ и рентгенографии, магнитно-резонансная томография (МРТ) не использует рентгеновское излучение для получения изображения. Принцип работы аппарата МРТ основан на том, что под воздействием магнитного поля атомы водорода в организме человека резонируют и выдают различные сигналы в зависимости от характера заболевания. Затем компьютер обрабатывает этот сигнал и создает трёхмерное изображение исследуемых участков тела.
МРТ часто используют для диагностики проблем с суставами, воспалительных заболеваний, выявления доброкачественных и злокачественных новообразований, а также для оценки прогресса лечения.
Аппарат выглядит как большой ящик с тоннелем в центре, в который помещен выдвижной стол. Исследование обычно длится дольше, чем КТ или рентгенография, и может занять от 20 минут до полутора часов в зависимости от исследуемой области. Поэтому скрининг для пациентов, страдающих клаустрофобией, становится проблематичным.
Поскольку одним из свойств магнитного поля МРТ является притягивание металлов, выполнять исследование нельзя при наличии медицинских приборов и металла в теле (кардиостимуляторов, протезов, имплантов и т.д.).
Определить наиболее оптимальный в конкретном случае метод исследования может только лечащий врач или врач-рентгенолог. Не стоит назначать исследование самому себе или проходить их слишком часто, так как это может быть не только бессмысленно, но и небезопасно. Однако и игнорировать рентгеновские исследования нельзя. Ежегодная флюорография (а для женщин старше 40 лет и маммография) — это «золотой» стандарт диагностики, который позволяет не допустить развития опасных заболеваний.
Рентген
Наиболее старый и привычный метод визуализации человеческого тела. Применяют рентген повсеместно, от хирургии до стоматологии. Метод прост и понятен: человека облучают особыми лучами, которые легко проходят сквозь мягкие ткани и задерживаются в твёрдых. Благодаря этому принципу, на фотоплёнку или датчик, расположенные на противоположной от источника лучей стороне, передаётся изображение, а в распоряжение врача попадает рентгенография или рентгеноскопия.
Главные плюсы такого обследования: быстрота и стоимость. Рентгеновскими аппаратами оснащены практически все больницы, процедура проходит быстро и стоит недорого.
Главные минусы: облучение и качество изображения. При проведении рентгенографии пациент облучается, а картинка получается двумерной. Врач с трудом может разглядеть внутренние органы по отдельности, поскольку их тени перекрывают друг друга. Также невозможно детально разглядеть хрящевую ткань и мозг. Хрящи практически не задерживает лучи, мозг надёжно закрыт черепной коробкой. Для их исследования рентгенография не подойдёт.
Наиболее эффективно будет проводить рентгенографию при повреждениях костей, суставов и зубов.
Каковы показания к МРТ?
Снимок МРТ идеально отражает все изменения в мягких тканях, позволяет получить трехмерное изображение межпозвоночных дисков, хрящей, опухолей, нервной и сосудистой ткани, а также спинного мозга. Именно с помощью МРТ лучше визуализируются межпозвоночные грыжи и протрузии, любые аномалии строения позвоночного столба. Показания к проведению процедуры будут следующими:
- Необходимость диагностирования остеохондроза и установления его точной степени.
- Поиск нарушений в строении и функционировании спинного мозга и канала (сжатие мозга, сужение спинномозгового канала и т.д.).
- Определение места воспалительного процесса в нервах или сдавленных мягких тканях, поиск опухолей и их дифференцирование.
- Врожденные аномалии позвоночной ткани, изменение структуры позвоночника и дисков.
- Оценка состояния позвоночника после операций.
Еще более точным методом диагностики является магнитно-резонансная томография с контрастированием. Для этого вводят в вену специальное вещество, которое окрашивает ткани и позволяет их лучше визуализировать. Обычно контраст используют для диагностики опухолей и их вида, для изучения состояния околопозвоночных сосудов.
Почему КТ — не панацея?
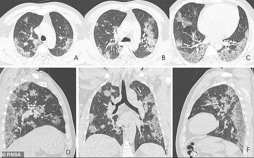
COVID виден на томограмме даже не специалисту
Если бы не эпидемия COVID, большая часть жителей нашей страны даже не услышала бы о томографии, и уж точно не столкнулась с ней в жизни. И дело не только в цене.
В зависимости от региона России, стоимости услуг врача и обследуемого органа, томография обойдется в сумму от 1 500 до 10 000 рублей за один орган, или до 100 тысяч за подробное исследование всего организма. Тогда как обычный рентген или УЗИ не стоят и тысячи.
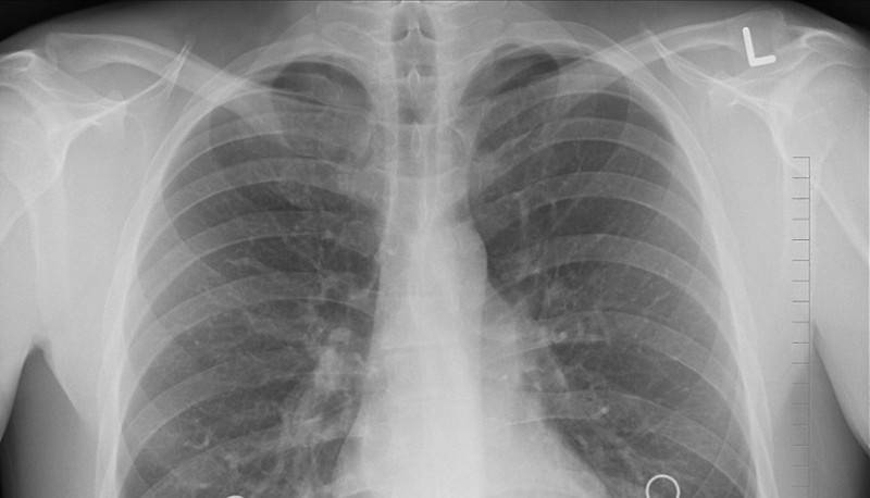
Пресловутый COVID во многих случаях первично диагностируется уже на обычных рентгеновских снимках. То же с другими проблемами легких.
Даже на рентгеновских плоских снимках видно COVID
Аналогично, первичная диагностика ряда заболеваний и состояний человека, не требующих срочного вмешательства, диагностируются более простыми и дешёвыми методами.
В иных, сложных случаях, хорошо проявило себя более безопасное обследование с помощью МРТ-аппаратов — более длительное, требующее покоя и не разрешенное людям с металлическими «запчастями».
Кроме того, стоит помнить, что КТ не заменяет другие объективные анализы — человеческих жидкостей, например. Которые в руках опытного эксперта часто говорят ничуть не меньше.
Полная томография позволяет находить рак на ранних стадиях
Нестись сломя голову прямо сейчас в ближайший круглосуточный центр для КТ не стоит: там можно встретить древний аппарат, да и точность обследования во многом зависит от оператора установки.
P.S. Не забывайте вовремя проходить плановые обследования, вовремя обращайтесь к врачу и будьте здоровы!
Хочешь ещё?
Ищешь ответ на вопрос?
iPhones.ru
Подробно разбираемся с технологией глубокой диагностики здоровья.
Достоинства и недостатки МРТ
Преимущества МРТ несомненны:
- Отсутствие вредного излучения.
- Возможность проведения у беременных, кормящих, детей с первых дней жизни.
- Отсутствие ограничений на повторное выполнение.
- Точная постановка диагноза по МРТ-снимку.
- Возможность поиска опухолей, метастазов, сдавления нервов, сосудов и т.д.
- Можно записать данные на диск.
Минусов у МРТ немного, но они есть. Возможно, будут трудности с проведением процедуры ребенку, ведь следует неподвижно лежать 15-30 минут. Не подходит МРТ для больных со стентами в сосудах, кардиостимуляторами, прочими металлическими предметами, при эпилепсии, аллергии на контраст. Также МРТ стоит на порядок дороже рентгена, оборудование отсутствует в большинстве поликлиник.
Так какой же метод всё-таки главнее?
Магнитно-резонансная томография и рентгенография отличаются друг от друга и не являются взаимозаменяемыми исследованиями. Для каждого из них есть свои показания, и решение о том, какое исследование лучше сделать принимает врач. Не нужно делать более дорогостоящее МРТ-сканирование, если для определения и наблюдения за вашим заболеванием достаточно рентгенографии. Но не стоит и недооценивать возможности МРТ или жалеть на него денег, если есть причины по которым вам его назначили.
В диагностической медицине есть два понятия: гипердиагностика и гиподиагностика, играющие не самую лучшую роль в выявлении заболеваний. Гиподиагностика, при которой врач вместо назначения магнитно-резонансной томографии рекомендует вам рентгенографию, не показывает истиной причины заболевания. А гипердиагностика – врач назначает МРТ, когда можно и нужно обойтись только рентгенографией. Гипердиагностика часто выявляет лишние детали, которые не играют никакой роли в возникновении и развитии заболевания, а только дезориентируют врача, мешают поставить точный диагноз.
Не нужно экономить на магнитно-резонансной томографии, но и делать обследование по собственной прихоти – тоже не выход. Особенно, когда врач сообщает, что достаточно проведения рентгенографии. Каждый метод имеет свои преимущества в диагностике конкретных патологий.
Чем может быть опасен рентген?
Рентгеновское излучение — это электромагнитные волны, находящиеся в диапазоне между ультрафиолетовым и гамма-излучением. Соответственно, рентгеновский аппарат является источником ионизирующего излучения, серьезная передозировка которого ведет к разрушению целостности ДНК и РНК цепочек. Они не всегда восстанавливаются, ведь способность молекулы ДНК противостоять негативным последствиям от ионизирующего излучения ограничены. Поэтому годовая эффективная доза, утвержденная СанПин, определена из расчета быстрого восстановления молекул ДНК и РНК, а также количества излучения, при котором повреждения будут незначительные.
Возможные последствия от злоупотреблением процедурой:
- рак любой системы или органа;
- лучевая болезнь;
- мутации;
- генетические изменения и т.п.
Последствия могут быть неприятными и даже страшными, но все это становится возможным только при огромных передозировках ионизирующего излучения, которое просто невозможно получить в современных цифровых рентгеновских аппаратах. Тем более, если вы проходите обследование по рекомендации врача.
А теперь для большего понимания приведем дозы облучения, которые получает пациент при рентгенографии:
- рентген грудной клетки — 0,03 мЗв;
- маммография — 0,05 мЗв;
- внутриротовая рентгенография — 0,02 мЗв;
- шейный отдел позвоночника — 0,03 мЗв;
- флюорография — 0,03 мЗв;
- рентгенограмма черепа — 0,04 мЗв;
- рентгенограмма кишечника — 0,02 мЗв.
Очевидно, что рентгеновские исследования на современных цифровых аппаратах совершенно безопасны и не дают существенной лучевой нагрузки на организм человека. При этом увеличивают шансы обнаружить серьезное заболевание на ранней стадии и назначить максимально эффективное лечение.
Показания к прохождению МРТ и рентгена
Области применения МРТ отличаются разнообразием. Данный вариант исследования дает лучшие результаты при исследовании мягких тканей, поэтому процедуру назначают при:
- обнаружении онкообразований;
- выявлении грыжи;
- наличии аномалий развития, травм или патологий спинного мозга;
- течении воспалительных процессов;
- выявлении очагов развития инфекции и необходимости оценки их интенсивности;
- наличии патологических зон в мягких тканях.
Что касается рентгена — к его помощи специалисты прибегают при:
- вывихах суставов;
- переломах или трещинах костей;
- наличии заболеваний опорно-двигательной системы;
- необходимости проверки организма на наличие инородных тел.
Получить бесплатную консультациюКонсультация по услуге ни к чему Вас не обязывает
В некоторых случаях инфекционные, воспалительные или патологические процессы затрагивают не только мягкие, но и твердые ткани. В подобных ситуациях назначают одновременное проведение МРТ и рентгена. Полученные снимки позволят получить максимально полное представление о состоянии определенной зоны.
Цены на МРТ в Москве могут быть разными. Стоимость процедуры будет зависеть от общей ценовой политики медцентра, а также от требующей исследования зоны.
Стоимость рентгена будет более низкой, чем МРТ. Цена данной процедуры будет зависеть от объемов исследуемой области, поскольку основное влияние на ценовой показатель будет оказывать формат используемой пленки.










Голеностопный
Коленный
Тазобедренный
Локтевой
Плечевой
















