В чём плюс УЗИ молочных желёз?
Ультразвуковое обследование абсолютно безболезненно и безвредно, что позволяет некоторым клиникам рекомендовать метод в качестве ежегодного обследования для всех, кто хочет провериться на рак. Однако УЗИ молочных желёз не годится для онкоскрининга и вот почему.
Врач видит на экране только небольшой участок железы, куда посылает ультразвуковые волны с помощью аппарата. Хороший специалист не спешит и старается осмотреть всю грудь целиком, однако вполне естественно, что какие-то области молочной железы могут оказаться «за кадром». Ситуация усложняется, если мало времени на исследование или грудь большого размера.
Искать вероятную опухоль в объёме ткани с помощью УЗИ также трудно, как иголку в стоге сена. Кроме того, бывают виды рака, которые плохо различимы с помощью ультразвука.
Наконец, эффективность метода слишком сильно зависит от опыта и квалификации врача. А чтобы получить второе мнение, исследование придётся пройти ещё раз.
УЗИ не может заменить маммографию, но очень часто дополняет её. Врач УЗ-диагностики может прицельно осмотреть образование в груди со всех сторон, направляя ультразвуковые волны под разными углами, оценить кровоток и помочь ответить на вопрос: рак это или нет.
Что такое УЗИ и только ли женщинам до 50 лет оно необходимо
УЗИ молочной железы – это исследование ее структуры на наличие патологий или новообразований с помощью ультразвука.
Ультразвук, достигая внутренние органы, отражается по-разному от здоровых и больных тканей, что и взяли на вооружение диагносты.
Показания к внеочередному ультразвуковому исследованию молочной железы следующие:
- обнаруженные при пальпации уплотнения;
- болезненность независимо от приближенияменструации;
- боль, зуд и покраснения;
- выделения из сосков;
- воспалительныйпроцесс;
- наличие имплантатов в груди;
- подготовка к любой операции на груди;
- периодгрудного вскармливания и его завершение.
Своевременное исследование позволит начать лечение воспалительных заболеваний в самые ранние сроки и избежать осложнений. В качестве профилактического исследования назначают следующим группам лиц:
- нерожавшие женщины;
- имеющие наследственную предрасположенность к онкологии;
- женщины до 35;
- беременные.
Женщинам после 50 УЗИ тоже может быть показано как дополнительное исследование при выявлении опухолей.
Проходит процедура безболезненно, без малейшего дискомфорта, и длится не более четверти часа.

Проводится в период отсутствия разрастания их тканей преддверии наступления овуляции, то есть, с 5 по 12-й менструального цикла. Происходит исследование в несколько этапов:
- Пациентка раздевается по пояс и ложится на кушетку, которую предварительно застелили одноразовой или личной пеленкой.
- Диагност смазывает грудь специальным гелем и начинает водить по груди датчиком.
- На экране УЗ-прибора он видит ткани груди, делает необходимые замеры, которые записывает ассистентка.
- Исходя из увиденного, врач делает заключение и выставляет оценку по шкале Bi-RADS.
- Далее необходима консультациямаммолога.
В процессе УЗИ диагност обращает внимание на следующие параметры:
- объем жировой ткани;
- наличие опухолей и их состояние;
- структура железистой ткани;
- состояние млечных протоков;
- плотность груди;
- кровоток в молочной железе.
Если в груди обнаружены доброкачественные образования менее 1 см, которые не увеличиваются, то лечение не требуется. За ними просто наблюдают каждые полгода.
Если есть подозрение на злокачественную опухоль или доброкачественная растет, то назначают пункцию. По результатам ставят окончательный диагноз.
Делается исследование с помощью пункции только по необходимости, потому что, как и любой инвазивный метод исследования, оно сопряжено с риском.
Подозрительными является присутствие следующих моментов:
- асимметричные тела;
- кальцинаты;
- неравномерная структура.
Главную роль в точности исследования играет сам аппарат и квалификация диагноста, который должен правильно определить тип груди, ознакомиться с предыдущими УЗИ и верно истолковать данные.
Лучше всего проводить исследования всегда у одного и того же специалиста. В этом случае динамика будет наблюдаться максимально точно. Кроме того, аппараты часто дают разную картинку, что может повлиять на замеры и определение структуры.
Проводить исследование может любой УЗИст, но хорошо если есть возможность отдать предпочтение тому, кто специализируется на УЗИ молочных желез.
Существует еще более точное исследование – ультразвуковая эластография. Оно позволяет выявить природу образований на клеточном уровне.
Но проводится только на специальном аппарате, который имеется далеко не во всех клиниках. Исследование целесообразно при спорных диагнозах.
Гипоэхогенное образование
Гипоэхогенное образование молочной железы по УЗИ – так замысловато описывается тоже киста, заполненная жидкостью, но только в составе этой жидкости могут быть включения (лейкоциты при воспалении или белковый субстрат, или кровь). При прохождении через неё звуковая волна отражается от частичек, и компьютер рисует такую кисту не чёрным цветом, а серым.
Плавающая в жидкости взвесь делает жидкость внутри кисты более “плотной”, чем анэхогенное образование. Это ничего не означает и ни к чему не ведёт.
Если такая киста болит, по форме стремиться к шару и не имеет волнистого контура – можно предполагать о воспалении – если шприцем её отсосать – боль и сама киста исчезнет (смотрите видео в середине ЭТОЙ страницы).
В какой день менструального цикла лучше проходить диагностику
Для профилактики различных заболеваний проходить исследование необходимо ежегодно женщинам старше 40 лет. Связано это с тем, что именно в таком возрасте происходят различные изменения гинекологических процессов и грудных тканей, потому на этом фоне увеличиваются риски развития онкологических заболеваний.
Также существуют следующие медицинские показания, по которым необходимо пройти диагностику:
- боль в области груди;
- уплотнения или узлы, которые ощущаются при пальпации;
- выделения из сосков (за исключением периода лактации);
- изменения формы или симметрии молочных желез;
- увеличение расположенных поблизости лимфоузлов;
- обследование перед операцией;
- изменения гормональных процессов;
- в целях контроля при реабилитации;
- огрубение груди;
Какой врач может направить к маммологу на обследование? Чаще всего направление предоставляет врач-гинеколог или лечащий терапевт. При этом учитывается возраст пациента. Если есть подозрения на течение онкологических процессов, дополнительно могут назначить лабораторные исследования. Как правильно подготовиться к процедуре, расскажет маммолог.
Врачи настоятельно рекомендуют всем женщинам хотя бы раз в год проходить процедуру, поскольку только таким образом можно обнаружить развитие злокачественной опухоли на ранней стадии. Особенно это актуально для женщин в возрасте более 40 лет.
Маммография в обязательном порядке показана в случае:
- непонятных выделений из сосков;
- наличия болевых ощущений и уплотнений в груди;
- деформационных изменениях сосков или целой груди.
Каждая женщина, достигшая 35-летнего возраста, должна обследовать свои молочные железы хотя бы раз в два года. После 50 лет такую диагностику нужно делать каждый год.
Как часто можно делать обследование. Его рекомендуется проходить с более раннего возраста, а именно с 30 лет, если есть генетическая предрасположенность, то есть в семье были женщины с патологиями молочных желез.
Один из наиболее часто задаваемых вопросов касается того, когда лучше делать маммографию – перед менструацией или сразу после нее. В начале менструального цикла (до овуляции – выхода из яичника созревшей яйцеклетки) женский организм пребывает под воздействием эстрогенов – группы женских стероидных гормонов.
Благодаря им молочные железы становятся более мягкими, ненапряженными и менее чувствительными. Поэтому результат исследования, проведенного с 5-го по 12-й дни менструального цикла, будет более точным, а процедура причинит минимум дискомфорта пациентке. Это и есть ответ на вопрос о том, на какой день цикла делают маммографию.
В течение 17-28-го дней в женском организме преобладает стероидный гормон прогестерон. Под его влиянием происходит усиление кровотока в молочных железах и нарастание их отечности. Если провести маммографию в данный период, уплотнение в тканях, не являющееся патологическим, может стать причиной ложноположительного результата исследования.
Кроме того, в это время многие женщины испытывают болевые ощущения в груди, из-за чего ее невозможно зафиксировать правильно между пластинами маммографа для получения качественного снимка. Поэтому отвечая на вопрос о том, можно ли делать маммографию перед месячными, следует сказать, что процедура в данный период не рекомендована.
Во время климакса (полного прекращения месячных и угасания детородной функции женского организма) не имеет значения, когда проходить маммографию. Сделать снимки можно в любой удобный для пациентки день.
Врачи с целью визуализации новообразований в качестве альтернативы маммографии назначают пациенткам ультразвуковое исследование (УЗИ) и магнитно-резонансную томографию (МРТ).
Ультразвуковая диагностика предоставляет возможность предварительно отличить доброкачественную опухоль от злокачественной, а также рассмотреть очаги патологии в тех местах, которые не видны на мамограмме (к примеру, в случае близкого их расположения к грудной клетке).
МРТ позволяет получать объемные послойные изображения, на которых визуализируются даже мельчайшие изменения в мягких тканях. В связи с этим данный метод диагностики дает слишком большое количество ложноположительных результатов, из-за чего пациенток в дальнейшем напрасно подвергают множеству неприятных тестов, в том числе и биопсии.
Кроме того, обследование на магнитно-резонансном томографе длительное (более 30 минут) и дорогостоящее. Поэтому его рекомендуют проводить уже после маммографии, если у женщины есть тревожная симптоматика, но на основании полученных рентгеновских снимков врач не может поставить диагноз.
Преимущества каждого метода диагностики
И УЗИ, и маммография – исследования, которые направлены на оценку состояния молочных желез. У многих пациентов возникает вопрос, почему одним назначают ультразвуковое исследование, а других отправляют на маммографию.
У каждого метода диагностики есть не только отличия, но и преимущества. К достоинствам УЗИ следует отнести:
- Безопасность процедуры для здоровья пациента, отсутствие болезненных ощущений.
- Возможность изучения состояния органа в режиме реального времени, под разными углами.
- Диагностика состояния лимфатических узлов.
- Исследование проводится, независимо от размера груди.
- Воспаления и патологии не являются противопоказанием к проведению исследования.
- По результатам можно оценить кровоток в железах и новообразованиях.
- Точность исследования – 90%.
Кроме того, в ходе УЗИ врач может с легкостью определить место взятия пункции.
Однако, у ультразвукового исследования есть ряд недостатков, к которым следует отнести отсутствие возможности определить качество новообразования. Для того чтобы получить более точные результаты, требуется использование инновационного дорогостоящего оборудования; кроме того, на результат влияют опыт и квалификация лечащего врача.
К преимуществам маммографии следует отнести:
- Возможность определения даже мелких отклонений в структуре протоков и тканей.
- Определение скопления солей.
- Точное установление места развития патологии, размер и форму новообразования.
Несмотря на то, что точность маммографии составляет 95%, такой способ диагностики молочных желез запрещено проводить часто: это обусловлено негативным воздействием рентгеновских лучей.
В ходе анализа нельзя определить состояние лимфатической системы, а плотность тканей у женщин в возрасте до 40 лет может стать причиной недостоверных результатов.
По сравнению с маммографией УЗИ – более безопасная процедура, в ходе которой не оказывается негативного воздействия на организм человека. Однако, ультразвуковое исследование проводится дольше: врачу предстоит рассмотреть не только железы, но и лимфатические узлы, и протоки.
При выборе способа диагностики лечащий врач, как правило, руководствуется симптоматикой пациента и другими индивидуальными показателями: некоторые новообразования можно определить только посредством УЗИ, другие – во время маммографии.
Для обнаружения кисты назначается УЗИ, а определить микрокальцинаты можно только с помощью рентгеновских лучей.
Каждая из диагностических методик является взаимодополняющей; нередко проводятся сразу два исследования, что позволяет определить клиническую картину состояния молочных желез и составить эффективный план лечения.
25.09.2022
Услуги

УЗИ-диагностика
Проведение ультразвуковой диагностики специалистами с многолетним опытом работы по медицинским показаниям. Широкий спектр направлений для исследований с помощью УЗИ на современном оборудовании с цветным допплеровским картированием. Расшифровка.
Узнать больше

Прием узких специалистов
- Невролог
- Гастроэнтеролог
- Кардиолог
- Терапевт
- Отоларинголог
- Хирург
- Травматолог
- Дерматовенеролог / Трихолог
- Аллерголог
Узнать больше
Врачи
Остапенко Татьяна Вениаминовна
Врач-УЗИ, терапевт, высшая категория
Корельский Иван Леонидович
Врач-УЗИ, 1 категория
Ярулкин Константин Петрович
Врач-УЗИ, 2 категория
Когда МРТ молочных желез лучше, чем маммография и УЗИ?
МРТ груди с контрастом является самым точным неинвазивным способом диагностировать образования различного характера – от кист до рака. Показаниями к проведению МРТ молочных желез с динамическим контрастированием являются:
- наследственная предрасположенность, когда близкие родственники по женской линии болели раком молочных желез;
- при неясных результатах УЗИ или маммографии для постановки окончательного диагноза;
- именно МРТ с контрастом поможет понять, нужно ли проводить пациентке биопсию для оценки стадии, размеров опухоли и поражения грудных лимфоузлов;
- для контроля состояния молочных желез после недавно проведенной химиотерапии или хирургического вмешательства по удалению опухоли молочной железы.
Кроме того, МРТ без контрастирования может оценить состояние силиконовых имплантатов.
Сравнение методик по основным признакам
Зачастую УЗИ и маммография используются комплексно, что повышает вероятность установления точного диагноза с дальнейшим подбором максимальной лечебной схемы.
Вследствие того, что маммография и УЗИ молочных желез имеют некоторую разницу, а также индивидуальные плюсы и минусы, важно получить профессиональное мнение специалиста
Ведь в некоторых случаях тот или другой метод может быть малоинформативным, поэтому рекомендуется обратить внимание на следующее:
- Женщинам младше 40 лет больше подойдет УЗИ, чем маммография.
- Пациенткам старше 50 лет лучше делать маммографию, так как рентгеновские лучи для этого возраста менее опасны, чем в молодом возрасте.
- Наличие таких веществ, как кальцинаты определяет только маммография.
- Присутствие кист хорошо выявляет ультразвуковое исследование.
- При подозрении на раковую опухоль в груди врач обязательно отправляет пациентку на маммографию.
В таблице представлена краткая сравнительная характеристика различий между двумя диагностическими процедурами:
| Критерий для оценки | Отличия | |
| УЗИ | Маммография | |
| Степень безопасности | Является абсолютно безвредным для беременных и кормящих женщин. | Не рекомендуется при беременности, особенности в первом триместре, так как имеется опасность нанесения вреда ребенку. Относительно противопоказан при лактации. |
| Как часто можно делать в течение года | По необходимости. | Используется рентгеновское излучение, поэтому процедуру можно сделать только 1 раз в год. Для женщин, у которых имеется предрасположенность к раку груди, допустимо обследование 2 раза в год. |
| Процент информативности | До 80% | До 95% |
| Зависимость от месячного цикла | С 5 по 10 день месячного цикла. При необходимости срочного обследования процедура выполняется в любое время. С наступлением климакса – в любой день. | |
| Степень сложности | Отличается простотой и доступностью. | Не обладает какими-то сложностями. Длительность – до 20 минут. |
| Комфорт | В большинстве случаев не доставляет неприятных ощущений. При присутствии узлов в груди или мастопатии может возникать неприятный дискомфорт. Возможна индивидуальная аллергия на гель, применяемый при процедуре. При УЗИ с контрастным веществом присутствует кратковременное проявление тошноты, сыпь, незначительный дискомфорт. | Чтобы сделать снимок, необходимо произвести некоторые предварительные манипуляции. Подобные действия могут принести пациентке неприятные ощущения и легкую болезненность. Присутствует необходимость задержки дыхания на пару-тройку секунд. |
| Особенности подготовки к процедуре | Перед диагностикой нужно воздержаться от нанесения дезодорантов, гелей и прочих косметических средств в области подмышек и груди. Подобные вещества способны ухудшать качество изображения (на снимке появляются ложные пятна и затемнения). | |
| В каком возрасте актуально | До 40 лет. | После 40 лет. |
| Цена в частных клиниках | С включением лимфоузлов – 2000 рублей. С выполнением пункции – до 3500 рублей. | Классическая – от 1500 до 2500 рублей. Цифровая – от 3500 до 4000 рублей. |
Как проходит процедура МРТ маммографии?
Магнитно-резонансное сканирование не несет в себе никакой лучевой нагрузки, но у него, в отличие от УЗИ, имеются противопоказания. Любая электроника, кардиостимулятор, имплантат внутреннего уха, инсулиновый насос, металлические предметы (осколки, стружки), медицинские изделия (скобы, спирали, клапаны, имеющие в своем составе сталь) в теле пациента сделают проведение томографии невозможным. Исключением являются изделия из титана или тантала, хирургический пластик, поскольку эти сплавы совместимы с магнитным полем томографа.
МРТ маммография обычно проводится на 8-й,12-й день менструального цикла. Если у женщины наступила менопауза, то томографию груди можно проводить в любое время. В отличие от рентгеновской маммографии, МРТ груди осуществляется абсолютно безболезненно. Во время исследования пациентка находится в комфортном положении внутри томографической трубы. Для обеспечения комфорта и защиты от шума работающего аппарата предусмотрено использование наушников или беруш.
Чтобы качественно провести МРТ исследование молочных желез, должны быть выполнены два важных условия:
- использование специальной МРТ катушки (в чашу помещаются молочные железы, что позволяет получить четкое изображение, не сдавливая их);
- особый способ введения контрастного вещества.
При МРТ молочных желез при подозрении на рак используется болюсное динамическое контрастирование. Контрастное вещество впрыскивается в определённый момент времени, и это позволяет найти зоны повышенного кровоснабжения. Чем злокачественнее образование, тем оно сильнее кровоснабжается. Задача врача – определить эти места и оценить степень накопления контраста. По этим данным он сможет ответить на вопрос, носит ли опухоль доброкачественный или злокачественный характер.
Список источников:
- Фомин, Ю.А. Рентгено-анатомический атлас молочных желез / Ю.А. Фомин, B.C. Саманов. – СПб.: Гиппократ, 2003.
- Комарова, JI.E. Маммографический скрининг и его роль в снижении смертности от рака молочной железы / JI.E. Комарова // Маммология. -2006.-№3.
- Robson, M.E. Breast MRI for women with hereditary cancer risk / ME Robson, K Offit// JAMA. – 2004. – Vol.292, №11.
- Kolb, T.M. Comparison of the performance of screening mammography, physical examination, and breast ultrasound and evaluation of factors that influence them: An analysis of 27,825 patient evaluation/ TM Kolb, J Lichy, JH Newhouse// Radiology. – 2002. – Vol.225, №1.
- Gabe, R. Evaluation of service screening mammography in practice: the impact on breast cancer mortality / R Gabe, SW. Duffy // Ann Oncol. -2005. – Vol.16, №2.
- Kuhl, W. Mammography, breast ultrasound, and magnetic resonance imaging for surveillance of women at high familial risk for breast cancer / CK. Kuhl, S. Schrading, CC. Leutner, N. Morakkabati-Spitz, Wardelmann E, R. Fimmers, W. Kuhn, HH. Schild // Journal of Clinical Oncology. -2005. – Vol.23, №33.
- Сишокова, Г.Т. Ультразвуковое исследование молочной железы в онкологии. Практическое руководство / Г.Т. Сишокова, Г.П. Корженкова, Т. Ю. Данзанова. – М.: СТРОМ, 2007.
МРТ при беременности
Так как с каждым днем технологии МРТ дают врачам медицинских центров СПб все больший спектр диагностических возможностей, её начинают активно применять в педиатрии, пренатальной диагностике у беременных женщин и онкологии. Как только женщина узнаёт, что станет матерью, у неё сразу возникает вопрос, какие процедуры ей можно делать, а какие противопоказаны. Почти все беременные женщины знают, что им категорически запрещается делать рентген и можно проходить УЗИ.
Читать далее

МРТ молочных желез при раке
МРТ молочных желез с контрастом является приоритетным методом диагностики рака груди. Услугу томографии груди в СПб предлагают многие диагностические центры, оснащенные высокопольными аппаратами мощностью 1,5 Тесла и выше. В первую очередь это обследование востребовано
Читать далее

Противопоказания к МРТ
Магнитно-резонансная томография – это безопасное обследование без лучевой нагрузки, но и она имеет ряд противопоказаний в зависимости от модели томографа и протокола обследования – с контрастом или без. Томография нашла широкое применение в нейрохирургической, онкологической, ортопедической и неврологической практике для исследования позвоночника, головного мозга, сосудов, суставов, внутренних органов и мягких тканей.
Читать далее

Где сделать МРТ в СПб?
Чтобы пройти МРТ в медицинских центрах Санкт-Петербурга, необходимо записаться на диагностику. Адреса и цены на услугу томографии в различных клиниках вам подскажут в нашем центре записи. В базе данных у нас есть информация о более 80 диагностических клиник СПб и Ленинградской области.
Читать далее
Сравнение УЗИ и маммографии
Обе методики довольно результативны, поскольку с их помощью диагност может выявить малейшие новообразования в молочной железе. При этом в процессе УЗИ врачу удобнее рассматривать исследуемую область, поскольку он может корректировать угол зрения, что невозможно при проведении маммографии. Кроме того, УЗИ позволяет попутно выяснить состояние лимфоузлов.
Таким образом, УЗИ даст больше результатов при необходимости исследования:
- лимфоузлов;
- труднодоступных мест;
- большой груди.
Именно УЗИ, а не маммографию, назначают при взятии пункции, а также во время беременности и кормления. Его можно без опасений проводить при наличии воспалений и травм.
Точность
Точность методики УЗИ составляет примерно 90%. Оставшиеся 10% — довольно большая погрешность, поэтому после процедуры обычно назначают биопсию или другие исследования для уточнения полученных результатов. Кроме того, большая часть новообразований, которые удается найти с помощью этой методики, оказываются доброкачественными.
В проведении УЗИ на точность диагноза сильно влияет человеческий фактор. Только опытный врач способен выявить признаки развития онкологии и вовремя назначить допобследование.
В отличие от УЗИ, маммография дает более ясную картину – ее точность составляет 95%.
Вредность
Многие пациентки интересуются, вредна ли маммография. В большинстве случаев в молодом возрасте женщинам назначают УЗИ, чтобы избежать облучения, поскольку этот метод полностью безопасен.
Маммография после 40 – оптимальное решение, поскольку рентгеновские лучи не оказывают негативного эффекта на организм в этом возрасте.

Критерии выбора
Маммография и УЗИ – это взаимодополняющие диагностические методики, назначаемые параллельно для получения достоверного результата. При необходимости выбора учитывают следующие моменты:
- Возраст. До 40 лет предпочтительно УЗИ, после – маммография.
- Тип новообразования. Кисты удобнее изучать с помощью УЗИ, микрокальцинаты «видит» только маммография.
- Давность последнего обследования. Маммографию не рекомендуется проводить чаще одного раза в год пациенткам до 50 лет.
Поскольку эффективность исследований определяется множеством факторов, таких как возраст, плотность тканей, показания и противопоказания, однозначного ответа на вопрос, что лучше, просто нет.
Эффективность методик маммографии и узи молочных желез
Сравнение данных видов обследование следует проводить с позиции простоты получения и понимания их результатов, ведь чем быстрее будет получен результат, тем быстрей пациент сможет получить подходящее лечение и избавиться от опасного недуга.
Во время маммографической диагностики результаты получаются при помощи специально разработанной компьютерной программы. Зафиксированные аппаратом данные вносятся в систему BI-RADS, где они классифицируются, выявляются совпадения, указывающие или опровергающие наличие новообразований. Ряд специалистов утверждает, что такая диагностика позволяет не только выявить наличие рака, но и сделать выводы о причинах его возникновения, сделать прогноз дальнейшего развития событий, предсказать появление тех или иных симптомов.
Результаты произведенного анализа выводятся в цифровом эквиваленте (от 0 до 6). Наивысший результат указывает на раковую опухоль.
Шкала оценок, выведенная британскими специалистами, такова:
- 5 – новообразования;
- 4 – подозрения на наличие опухоли;
- 3 – начало формирования ракового образования;
- 2 – обнаруженное инородное тело является доброкачественной опухолью;
- 1 – состояние пациентки находится в норме.
Когда речь идет об УЗИ, параметры, указывающие на норму или отклонение, существенно отличаются от описанной выше методики. Также скринингу в обязательном порядке предшествует визуальный осмотр молочных желез маммологом на предмет наличие уплотнений, язв, повреждений кожного покрова. Проводить обследование и оценивать его результаты могут только квалифицированные специалисты.
Достаточно тяжело сравнить обе представленные методики, ведь они назначаются при разных исходных данных, отличается и сама техника их проведения.
Важно, что маммография и УЗИ позволяют получить полную картину о наличие злокачественных и доброкачественных опухолей, кист, кальцинатов. Их изобретение и комплексное применение стало настоящим прорывом в борьбе с опасными недугами, более чем на треть сократив число смертельных случаев
Суть проведения маммографии
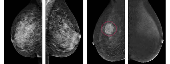
Под маммографией подразумевается диагностический метод обследования при помощи рентгеновского аппарата, так называемого маммографа. Основное его действие аналогично принципу УЗИ, однако ткани железы просвечиваются не ультразвуком, а рентгеновскими лучами.
В ходе сканирования изучаемой области на экране отображается структура молочной железы с четко выделяемой патологической зоной.
Существует две разновидности маммографии:
| Аналоговая | Цифровая |
| Результаты мониторинга записываются на пленку | Полученные данные фиксируются на электронные автономные носители |
В последнее время чаще практикуется цифровой вариант исследования, который обладает многими техническими преимуществами.
В чем заключается процедурное отличие маммографии от УЗИ молочных желез? Диагностика посредством рентгеновского излучения осуществляется в конкретном направлении, а именно – обследование определенной области груди, в котором присутствует опухоль, что позволяет:
- Установить вид новообразования.
- Выявить патологию на ранней стадии развития.
- Определить этиологию новообразования (доброкачественная или злокачественная).
- Подобрать максимально эффективный вариант терапии.
- Контролировать происходящие изменения в МЖ во время лечения.
- Своевременно принять меры для предотвращения рецидива патологического процесса.
Оптимальный период для диагностики – с 5 по 10 день менструального цикла. Такой нюанс обусловлен тем, что в этот период исчезает характерная для МЖ отечность тканей. Грудь становится намного мягче, позволяя получить снимки с четким изображением.
Почему и по каким причинам необходимо пройти маммографию? Данное исследование рекомендуется всем женщинам, старше 40 лет со следующей целью:
- Диагностической.
- Профилактической.
Преимущества процедуры
Маммография или УЗИ молочных желез, что из этих методов лучше? Маммография, как современный вид инструментального исследования обладает следующими положительными характеристиками:
- Помогает не только классифицировать опухоль, но и ее размер, структурные особенности и уровень агрессивности.
- Позволяет обнаружить даже очень маленькие аномальные образования в тканях МЖ.
- Предоставляет подробную информацию о состоянии млечных каналов в груди.
- Изучает и определяет присутствие микрокальцинатов.
- Безошибочно выявляет наличие разнообразных кист.
- Степень точности результатов маммографии – 95%.
- Рекомендуется пациенткам старше 40-45 лет, так как из-за естественных возрастных изменений, организм теряет чувствительность к рентгеновскому излучению.





























