Показания
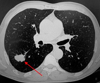
КТ снимок лёгких (Рак)
Рассмотрим показания к проведению обеих процедур.
| Показания к КТ | Показания к МРТ |
|---|---|
| 1. Отклонения опорно-двигательного аппарата и заболевания суставов. Методика выявляет артрозы, артриты, болезнь Бехтерева, остеохондроз и другие. При помощи КТ нельзя провести полное сканирование позвоночника, но в выявлении патологических процессов, определённых его частей, методика занимает одно из ведущих мест. 2. Наличие злокачественных образований, наростов, деформирования костей. 3. Травмирование костной ткани организма, такие как перелом, трещина, вывих определяются на этапе расшифровки информации (специалистом используется книга «Норма при КТ и МРТ-исследованиях»). 4. Атеросклероз, сопровождающийся изменением структуры сосудов и снижением работоспособности всей системы. 5. Сканирование мягких тканей органов дыхательной, половой, мочевыводящей систем, а также ЖКТ при помощи контрастного исследования. | 1. При необходимости подтверждения развития опухолей, кист, наростов мягких тканей (мышечной, жировой) после предварительного ультразвукового исследования. 2. Контроль состояния и работы различных участков в головном мозге. Это может быть как физический, так и психический фактор. 3. Выявление развития патологических процессов в спинном мозге. 4. Диагностирование отклонения в структуре мягкой, хрящевой ткани позвоночника. |
МРТ снимок головы
Противопоказания к обследованиям КТ и МРТ
Важно учесть и то, что оба метода имеют свои противопоказания. Они могут отличаться, так как принцип работы у обоих способов диагностики различный
Возможно, что при подозрении на патологии костной ткани у пациента будут противопоказания к применению КТ, соответственно, врач назначит МРТ и наоборот. Именно поэтому диагностика не назначается сразу по желанию пациента. В любом случае при обращении в клинику медсестра назначит основные лабораторные исследования крови, чтобы исключить возможные ограничения.
Так, компьютерная томография не применяется при беременности у женщин независимо от срока, так как рентгеновское излучение опасно для плода. То же касается пацанов, которые в силу обстоятельств не могут находиться в томографе. Внутривенное контрастирование не используется у людей с индивидуальной непереносимостью препаратов с содержанием йода. Это абсолютные противопоказания, но помимо них выделяются и относительные. Это бронхиальная астма в тяжелой форме, повышенный уровень креатинина, клаустрофобия и тиреотоксикоз.
Абсолютные противопоказания к МРТ несколько схожи, но имеют свои отличия. Объясняется это тем, что метод основан на создании магнитного поля. В связи с этим категорически запрещено проводить обследование в следующих случаях:
- Наличие ферромагнитных устройств, имплантов, скоб, например при лечении патологий сосудов и сложных переломов.
- Установленная инсулиновая помпа, имплант внутреннего уха.
- Тяжелое состояние пациента, требующие проведения ИВЛ.
- Первый триместр беременности.
Временными ограничениями являются неадекватное поведение человека, психические нарушения, клаустрофобия. Перечисленные состояния затрудняют нахождение человека в неподвижном положении. В этом случае медсестра может предварительно ввести успокоительное либо используется седация.
Внутривенное контрастирование при МРТ не применяется при повышенном уровне креатинина, а также при аллергии на препараты с содержанием гадолиния.
Отличия между МРТ и КТ на подготовительном этапе
Нативное сканирование часто можно проводить в день обращения. Исключение составляют томографическое исследование брюшной полости и малого таза, когда пациенту рекомендуют соблюдать специальную диету.
На вопрос: “В чем разница между подготовительными этапами КТ и МРТ?” – лучше ответить на примере контрастного сканирования. Перед компьютерной томографией пациент должен сдать биохимический анализ крови. Повышенное содержание креатинина говорит о почечной недостаточности. При заболеваниях щитовидной железы возможен дополнительный тест на уровень гормонов. Пациенты с сахарным диабетом, принимающие метформин, обговаривают с эндокринологом возможность отмены препарата на время исследования (за 72 часа до введения контраста).

Черепно-мозговая травма на снимках КТ
Подготовка к магнитно-резонансной томографии включает обсуждение возможных противопоказаний с лечащим врачом. Перед МРТ с контрастом необходимо слегка перекусить, что поможет избежать вегетативных реакций на внутривенную инъекцию.
Мобильные телефоны, металлические украшения, аксессуары пациент оставляет в раздевалке.
Ультразвуковая диагностика
Не все способы «просвечивания» человеческого тела сопряжены с воздействием радиации. В принципе действия одного из самых популярных видов исследований — ультразвуковой диагностики — заложены свойства механических волн. Любая среда, в том числе и человеческое тело, обладает акустическим сопротивлением. Ультразвук с разной скоростью преодолевает препятствия — наши внутренние органы — благодаря чему на мониторе прибора врач-сонолог способен увидеть анатомическую картину
Важно учитывать, что УЗИ информативно для органов, имеющих плотную структуру, таких, как печень, почки, щитовидная железа. Для исследования желудка и кишечника применяют другие метода диагностики
Замечательной особенностью УЗИ является полное отсутствие противопоказаний к этому методу исследования. Оно совершенно безвредное — в любом возрасте и при любом сопутствующем заболевании.
УЗИ внутренних органов
Во время одного сеанса УЗИ врач способен провести диагностику одного или нескольких органов. На нужный участок тела человека наносится специальный гель, обеспечивающий контакт датчиков с кожей. При некоторых УЗИ вас могут попросить заранее провести небольшую подготовку к процедуре: например, есть только лёгкую пищу в течение суток или не мочиться (или голодать) несколько часов перед исследованием. Обязательно уточните эту информацию, если по своей инициативе решили записаться на УЗИ в частную клинику!
Эхокардиография
Несмотря на то, что сердце — полый орган, во время исследования ультразвук отражается от его стенок и клапанов, что позволяет не только увидеть анатомическое строение «пламенного мотора», но и понаблюдать за его сокращениями в режиме реального времени. ЭхоКГ применяется в диагностике широкого спектра кардиологических заболеваний — от ревматического поражения клапанного аппарата и врождённых пороков до сердечной недостаточности, инфекционных заболеваний сердца и инфаркта миокарда. Продолжительность исследования составляет около 30 минут.
Доплерография
Каждый сталкивался с эффектом Доплера, услышав изменяющуюся высоту звукового сигнала, проезжающего по дороге на большой скорости автомобиля. Учёные сумели найти применение в медицине и этому физическому свойству: с его помощью можно оценить кровоток в крупных сосудах человеческого тела. Допплерография назначается для диагностики различных поражений артерий и вен, расслоения стенок аорты, нарушений кровоснабжения внутренних органов или даже плода в утробе беременной женщины. Процедура длится 20–60 минут. Существует ряд ограничений, например, рекомендуется отказаться от курения за 2 часа до исследования, поскольку никотин может вызвать спазм сосудов, что в значительной степени повлияет на результаты обследования. Обязательно поинтересуйтесь у врача, можно ли вам принимать те или иные лекарственные средства перед процедурой.
Результатом доплерографии является картинка на экране монитора, на которой врач может измерить основные индексы, характерные для нормы или патологии сосудов. Специальная функция, называемая цветовым картированием, позволяет увидеть артериальный и венозный кровоток в виде красных и синих участков соответственно.
УЗИ при беременности
Плановое ультразвуковое исследование плода трижды назначают всем женщинам во время беременности. В первый раз — на сроке 10–14 недель. УЗИ позволяет уточнить локализацию и срок беременности, положение плода в матке и состояние плаценты. Во время процедуры врач должен исключить грубые пороки развития плода, в том числе — синдром Дауна (для этого измеряются такие показатели, как толщина воротникового пространства и нормальные размеры носовых костей).
Второе скрининговое УЗИ проводится беременным на 20–24 неделе беременности. Оно необходимо для оценки состояния плаценты, количества околоплодных вод и измерения плода. Во время исследования также есть шанс узнать пол ребёнка.
Третье УЗИ назначают на 32–34 неделю беременности. В ходе процедуры врач уточняет положение плода перед родами, убеждается в отсутствии пуповинного обвития. В этот период могут быть диагностированы пороки сердца. Как правило, исследование проводится совместно с доплерографией маточных сосудов.
При необходимости врач может направить пациентку на дополнительные УЗИ на любом сроке беременности. Бояться этого не стоит, поскольку исследование абсолютно безопасно для здоровья как матери, так и ребёнка.
Принцип действия и устройство магнитно-резонансного томографа
Принцип МРТ основан на свойствах электромагнитного поля высокой частоты, которое вызывает реакцию протонов водорода в тканях. Ткани имеют различную плотность и, следовательно, содержат разное количество атомов водорода. Аппарат МРТ регистрирует разницу в интенсивности импульсного потока и создает контрастное черно-белое изображение органа с помощью пленки, на которой отображаются тонкие срезы органа с шагом от пяти до одного миллиметра.
Аппарат магнитной томографии представляет собой цилиндрическую капсулу, внутри которой создается электромагнитное поле. Пациент помещается на диагностический стол внутри этого поля. Датчики аппарата регистрируют информацию и передают ее на компьютер, который соединен с аппаратом.
КТ или МРТ головного мозга детям
Компьютерная томография мозга сопряжена с лучевой нагрузкой на организм до 10 мЗв, поэтому детям до 7 лет ее проводят строго по направлению врача. По возможности следует избегать делать КТ исследование ребенку и заменять его на более безопасное магнитно-резонансное сканирование, поскольку в медицине есть ряд исследований, которые показывают связь межу риском возникновения рака у детей и проведением им КТ в раннем возрасте.
Список источников:
- Труфанов, Г.Е. Магнитно-резонансная томография: руководство для врачей / Под ред. Г.Е.Труфанова, В.А.Фокина.- СПб.: ООО «Издательство ФОЛИАНТ», 2007.
- Витько Н.К. Перфузионная компьютерная томография в ранней диагностике ишемических инсультов головного мозга / Н.К. Витько, А.Г. Зубанов // Актуальные вопросы лучевой диагностики заболеваний М.: Медицина, 1998.
- Терновой С.К.. Компьютерная томография / С.К. Терновой, А.Б. Абдураимов, И.С. Федотенков – М: Гэотар-медиа, 2008.
- Пронин, И.Н. Магнитно-резонансная томография с препаратом «Магневист» при опухолях головного и спинного мозга / И.Н. Пронин, В.Н. Корниенко // Вестн. рентгенологии и радиологии. 1994. – № 2
- Ринк, П. А. Магнитный резонанс в медицине / П.А. Ринк. М.: ГЭОТАР-МЕД, 2003.
- Гайдар Б.В., Рамешвили Т.Е., Труфанов Г.Е., Парфёнов В.Е. Лучевая диагностика опухолей головного и спинного мозга. — СПб: ООО «Издательство Фолиант», 2006.
- Власов В.В. Эффективность диагностических исследований. М.: Медицина, 1998.
- Stark D.D., William G. Bradley. Magnetic resonance imaging. St. Louis: Mosby Year Book, 1992.
- Barkovich A. J., Chuang S.H. Unilateral megalencephaly: Correlation of MR imaging and pathologic characteristics // Am. J. Neuroradiol.-1990,- Vol. 11.
Что покажет МРТ головы
МРТ головы – это высокоинформативный метод диагностики, направленный на изучение различных структур головного мозга, их состояния, функционирования, выявление патологических изменений в голове и определение способа их коррекции и лечения. В медицинских центрах Санкт-Петербурга с помощью протокола магнитно-резонансной
Читать далее

Что показывает МРТ головного мозга
На сегодня в медицинских клиниках СПб МРТ головного мозга – это всеми признанный золотой стандарт в исследовании разных заболеваний структур головы. Показаниями для исследования мозга будут:
Читать далее

Где сделать МРТ в СПб?
Чтобы пройти МРТ в медицинских центрах Санкт-Петербурга, необходимо записаться на диагностику. Адреса и цены на услугу томографии в различных клиниках вам подскажут в нашем центре записи. В базе данных у нас есть информация о более 80 диагностических клиник СПб и Ленинградской области.
Читать далее

Отличие МРТ головного мозга от МРТ сосудов головного мозга
На первый взгляд особого отличия между МРТ исследованием головного мозга и МРТ сосудов головного мозга не существует. Оба этих обследования выполняются одинаково – снимки получаются путем сканирования на МРТ аппарате. В результате диагностики врачи получают объемные изображения, которые можно рассмотреть под любым углом. Расстояние между срезами доходит до 1 мм, что позволяет визуализировать даже самые мелкие новообразования и патологии. Тем не менее отличия в диагностике все-таки есть: и МРТ головного мозга, и МРТ сосудов головного мозга не следует путать между собой.
Читать далее
Магнитно-резонансная томография
Магнитно-резонансную томографию (МРТ) можно считать одним из самых современных неинвазивных (то есть — без разрезов или уколов) методов исследования человеческого тела.
Он основан на способности атомов водорода, из которых состоит организм человека, возбуждаться в постоянном магнитном поле высокой напряжённости.
Как и при КТ, во время МРТ создаётся серия снимков тканей и органов пациента в разных проекциях. Для этого он ложится на специальный подвижный стол, который перемещает тело внутрь узкого тоннеля томографа (этот аппарат называется «МРТ закрытого типа»). В этот момент врач находится в соседнем помещении (поскольку его компьютер не будет работать в магнитном поле), но может общаться с вами посредством микрофона и динамиков. МР-томограф издаёт достаточно громкий шум, поэтому во время обследования вы можете использовать наушники или беруши.
Процедура занимает от 20 минут до часа, и некоторые пациенты испытывают дискомфорт от долгого неподвижного лежания в узком пространстве. Кроме того, МРТ закрытого типа невозможно проводить людям, которые вследствие крупного телосложения или избыточного веса, сопровождающегося большой окружностью талии, не помещаются в аппарат. В целях решения этих проблем сравнительно недавно в эксплуатацию ввели МР-томографы открытого типа, магнит которых имеет С-образную форму. Такие аппараты имеют меньшую мощность, чем МРТ закрытого типа, поэтому их используют в основном в качестве дополнительного исследования или для подтверждения уже установленного диагноза.
МРТ применяют для исследования головного мозга и позвоночника, оценки состояния внутренних органов и сосудов, а также для проведения хирургических вмешательств под визуальным контролем.
Для улучшения качества изображений часто проводят МРТ с контрастированием. Вещество, применяемое при этой процедуре, называется гадолиний — в отличие от йодсодержащих контрастов, применяемых в рентгенографии, КТ и ПЭТ, оно редко вызывает аллергические реакции. Гадолиний вводят внутривенно, после получения неконтрастных снимков, после чего процедуру повторяют. МРТ с контрастированием назначают для диагностики новообразований, инфекционных заболеваний или патологии кровеносных сосудов.
Как человек реагирует на процедуру контрастирования
Контрастирование — это внутривенное введение препарата, который виден в кровотоке. При КТ — это йод—содержащий препарат, при МРТ используются гадолиний-содержащий препарат. В просвете сосуда контраст ярко окрашен: изображение черно-белое, а он, соответственно, ярко-белый.
Во время процедуры в вену устанавливают катетер и с помощью специального устройства вводят контрастный препарат. Ощущения у пациента могут быть различные, иногда не очень приятные. Может стать тепло, горячо или возникнет металлический привкус во рту. Эти ощущения длятся менее минуты и заканчиваются сразу после введения контрастного препарата. При КТ вводится обьем контрастирующего вещества от 60 до 100 мл, в зависимости от веса, при МРТ — от 10 до 20 мл, также в зависимости от веса.
Препарат всегда вводится в кровь. Иногда пациент пьет контрастное вещество, но это происходит чаще при компьютерной томографии, чтобы визуально отделить петли кишки от других структур. Это редкие виды исследований.
Суть контрастирования состоит в том, что окрашенная контрастным веществом кровь позволяет лучше увидеть структуры тех или иных органов. Если речь идет о воспалении, опухоли, нужно понимать, как опухоль кровоснабжается, сколько в ней сосудов, насколько она активно накапливает контрастный препарат. По этим данным врач делает вывод о злокачественности или доброкачественности опухоли.
Катетер после введения не вынимается сразу, поскольку медики смотрят, не появятся ли побочные явления. Самые распространенные — это аллергические реакции. Они бывают нескольких видов: высыпания на коже по типу крапивницы; отеки на разных частях тела — шее, руке, спине. Самый опасный вид — это анафилактический шок, он сопровождается падением давления, нарушением сердечной деятельности и потерей сознания. Это грозное и опасное осложнение, поэтому на вопрос врача, нет ли у вас аллергии, нужно подробно описать, на какие лекарства или пищевые продукты она есть. Йод-содержащий препарат чаще вызывает аллергические реакции и водится его большее количество. При МРТ такая реакция тоже может быть, но намного реже. Контрастные жидкости выводятся естественным путем, с помощью почек.
Решение о контрастировании принимает врач. Процедура называется «КТ с контрастным усилением» или «МРТ с контрастным усилением». Для многих слово «усиление» ассоциируется с лучшим качеством обследования. Это не так. Врач решает, нужно ли это делать или нет. Некоторые исследования без контраста не делают. Например, КТ брюшной полости. Все расположенные там органы одной плотности, чтобы диагностировать патологический процесс их нужно отделить визуально друг от друга. А вот контрастирование суставов делается крайне редко.
МРТ или КТ – что эффективней?
К сожалению, дать однозначный ответ на этот вопрос нельзя.
Информативность МРТ и КТ отличается в зависимости от органов,
которые подвергаются обследованию. МРТ может дать максимально полную
картину мягких тканей, хрящей, мозга, поможет выявить опухоли на
самой ранней стадии. КТ, скорее, направлен на поражения костной
ткани. Таким образом, эти методы можно назвать взаимодополняющими, и
необходимость того или иного обследования может выявить лишь врач.
Потому мы рекомендуем вам не выбирать метод диагностики
самостоятельно, а обратиться к специалисту: это позволит вам
сэкономить время и деньги. Выбор метода обследования зависит не
только от заболевания, но и от его противопоказаний.
В Диагностическом центре Елены Малышевой
МРТ для вас проведут специалисты с
многолетним стажем работы на томографе
экспертного класса.
Запишитесь на МРТ в Диагностический центр Елены Малышевой у метро
Бауманская (см. карту)
по телефону: 8 (495) 127-03-71 или оставьте заявку на сайте.
Преимущества каждого вида исследования
В плане исследования чаще всего МРТ назначается для диагностики мягких тканей головного мозга, а компьютерная томография больше практикуется, в частности, костной ткани. Помимо этой характеристики, также можно выделить другие отличия в виде преимуществ каждого вида исследования, а именно:
- Во время проведения компьютерной томографии требовательность к неподвижности пациента несколько снижена по сравнению с МРТ, где каждое движение может сказаться на качестве получаемого изображения.
- Диагностика при помощи МРТ включает в себя исследование срезов фронтальной, проксимальной и сагиттальной плоскостей, что является невозможным при проведении стандартной рентгеновской процедуры КТ.
- Компьютерная томография менее чувствительна к нанесенным татуировкам и перманентному макияжу (не вызывает раздражение и ожог из-за содержания металла в краске). Также не является противопоказанием для исследования при вживленных в тело пациента приборов жизнеобеспечения (кардиостимуляторы, инсулиновые помпы и т. д.), и более лояльные ограничения по поводу металлических имплантатов в теле человека.
- При всей строгости ограничений МРТ, при этом виде диагностики лучше всего диагностируются опухоли головного мозга, а также других демиелинизирующих заболеваний, и при исследовании получаются более точные измерения перифокального отека головного мозга.
- При КТ острые внутренние кровотечения обладают лучшей визуализацией, но в то же время, а особенно при введении контрастного вещества, МРТ дает более четкие изображения со скрытыми патологиями.
Компьютерная томография чаще всего применяется в экстренных ситуациях, т. к. в данном случае присутствует возможность получения ультрабыстрых результатов диагностики, также сама процедура занимает меньше времени в отличие от МРТ.

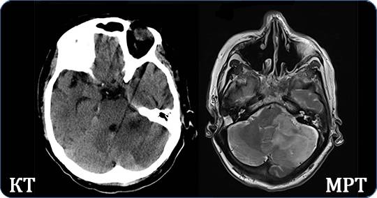
Сравнение снимков головного мозга методами КТ и МРТ
В чем различия методов?
Несмотря на общую схожесть процедур, разница между МРТ и КТ все же есть. Принципиально разные цели исследования и задачи диагностирования. Сложно сказать, что из них информативнее, так как области обследования значительно отличаются.
При МРТ печени можно увидеть нарушения кровотока, наличие опухолей в тканях, при КТ позвоночника легко определить структурные изменения в костной системе, защемления суставов и артерий. МРТ органов малого таза выявит причину кровотечений, нервные защемления, воспалительные процессы в сосудах. КТ легких укажет на опухоли, отобразит структуру и позволит определить природу затемнений.
Иногда наиточнейшую информацию не удается получить после одной процедуры, и назначают тут же следующее исследование. Отличие диагностики КТ от МРТ позволяет методам друг друга дополнять и получать еще более полную картину состояния организма.
Компьютерная томография чаще всего назначается тем пациентам, у которых есть подозрения на аномалии развития костной системы, при поражении суставов, при неуточненных диагнозах, после получения травм или ушибов. КТ сможет отобразить состояние грыжи, легко установит отклонения в развитии суставов, поражения позвоночника и его отделов, покажет повреждения головного мозга, определит и уточнит природу заболевания органов грудной клетки, выявит болезни щитовидки, обнаружит камни или воспалительные процессы.
МРТ печени покажет разницу состояния мягких тканей, состояние сосудов и суставов. Обнаружит опухоли и новообразования в мягких тканях, отобразит избыточное внутричерепное давление, кровотечение. МРТ хорошо и подробно поможет изучить подкорковую область головного мозга, оболочки и структуры спинного мозга, поможет установить точный диагноз пациентам с неврологическими заболеваниями. МРТ печени и желудка установит проблемы желудочно-кишечного тракта, диагностирует тех, кто перенес инсульт или страдает судорожными симптомами, эпилепсией и другими нервными заболеваниями.
Отличие КТ от МРТ имеет и ещё одну разницу – в цене. Дороже будет МРТ из-за дороговизны аппарата, на котором делают сканирование – томографа. Отсюда же вытекает еще одно отличие – доступность компьютерной томографии. КТ можно сделать практически во всех крупных клиниках и медицинских центрах, есть возможность получить процедуру бесплатно. Аппарат для магнитного сканирования могут позволить себе лишь крупные клиники и платные центры здоровья, в этом главная разница.
Что безопаснее – МРТ или КТ головного мозга?
С точки зрения безопасности обследования МРТ головного мозга лучше, чем КТ головы, поскольку в ходе МР-сканирования нет воздействия вредоносного облучения. Назначение магнитно-резонансной томографии может быть ограничено только пациентам с электроникой и металлическими имплантами в теле. В остальном магнитно-резонансное исследование не причиняет вреда здоровью пациента, поэтому, если нужно начать плановое обследование головы, то следует в первую очередь записаться на МРТ головы.
Список источников:
- Верещагин Н.В., Брагина Л.К., Вавилов С.Б., Левина Г.Я. Компьютерная томография мозга. М.: Медицина, 1986.
- Белова Т.В. Биофизические основы магнитно резонансной ангиографии (моделирование кровотока в измененных сосудах. Дис. канд. мед. наук. – М – 1998 .
- J. W. D. Bull, G. D. Hungerford, J. Gawler. Computer assisted tomography and angiography in the diagnosis of cerebral tumours -1975, Advances in cerreb. angio. Berlin
- Barkovich AJ, Frieden IJ, Williams ML. «MR of neurocutaneous melanosis.» – AJNR 15, 1994
- Корниенко В.Н., Липатцев И.И., Касумова С.Ю. Значение компьютерной томографии в хирургическом лечении метастатических опухолей головного мозга – Вопр. Нейрохир., N1 1987.
- Schellinger PD, Meink HM, Thron A -Diagnostic accuracy of MRI compared to CCT in patients with brain metastases J Neurooncol 44, 1999.
- Sijens PE, Levendag PC, Vecht CJ, et al. «1Н MR spectroscopy detection of lipids and lactate in metastatic brain tumors.» – NMR Biomed 1996; 9.
- McGann GM, Platts А. Computed tomography of cranial metastatic malignant melanoma – Br J Radiol, 1991.
- Корниенко В.Н., Васин Н.Я., Кузменко В.А. Компьютерная томография в диагностике черепно-мозговой травмы. // М., 1987.
Что показывает МРТ головного мозга
На сегодня в медицинских клиниках СПб МРТ головного мозга – это всеми признанный золотой стандарт в исследовании разных заболеваний структур головы. Показаниями для исследования мозга будут:
Читать далее
Где сделать МРТ в СПб?
Чтобы пройти МРТ в медицинских центрах Санкт-Петербурга, необходимо записаться на диагностику. Адреса и цены на услугу томографии в различных клиниках вам подскажут в нашем центре записи. В базе данных у нас есть информация о более 80 диагностических клиник СПб и Ленинградской области.
Читать далее
УЗИ или МРТ головного мозга
Если у Вас возникает вопрос, МРТ или УЗИ головного мозга – что лучше, то в этой статье мы проведем сравнительный анализ диагностической ценности этих двух видов аппаратных исследований. Чтобы понять все преимущества и недостатки любого диагностического метода, в первую очередь нужно разобраться в принципе его действия.
Читать далее
Отличие КТ и МРТ головного мозга
Методы диагностики – компьютерная томография (КТ) и магнитно-резонансная томография (МРТ) головного мозга – пациенты часто путают, а между тем у них мало общего, за исключением того, что томографы внешне очень похожи друг на друга. В этой статье мы поговорим о том, в чем проявляется разница между КТ и МРТ мозга и головы.
Читать далее



























