Содержание гемоглобина
Гемоглобин состоит из двух типов белковых цепей – α-цепей и β-цепей. У человека гемоглобин состоит из α-цепей и β-цепей, в то время как у лягушек гемоглобин состоит только из α-цепей.
Каждая цепь гемоглобина содержит гем – комплекс, который способен связываться с молекулами кислорода. Одна молекула гема способна связываться с одной молекулой кислорода. У человека каждый гемоглобин содержит 4 гема, а значит может связываться с 4 молекулами кислорода. У лягушек гемоглобин содержит только 1 гем, поэтому каждый гемоглобин может связываться только с 1 молекулой кислорода.
- Содержание гемоглобина у человека значительно выше, чем у лягушек, что обеспечивает более эффективный перенос кислорода в организме человека.
- Уникальная структура гемоглобина человека, состоящая из 4 гемов, позволяет ему эффективно связываться с кислородом и доставлять его в ткани организма.
- Гемоглобин лягушек, содержащий только 1 гем, имеет более низкую способность связываться с кислородом, поэтому перенос кислорода в организме лягушек менее эффективен.
Вопросы для самоподготовки к освоению данной темы:
Строение
эукариотической клетки.
История развития
представлений о строении клеточной
мембраны.
Молекулярная
организация цитоплазматической мембраны
(модели Даниели и Даусона, Ленарда
(мозаичная).
Современная
жидкостно-мозаичная модель строения
клеточной мембраны Ленарда-Зингера-Николсона.
Химический состав
клеточной мембраны.
Функции мембраны.
Пассивный транспорт
веществ через мембрану: осмос, простая
диффузия, облегченная диффузия.
Активный транспорт.
Принцип работы натрий-калиевого насоса.
Эндоцитоз. Этапы
фагоцитоза. Пиноцитоз.
Экзоцитоз.
4.
Вид занятия:
лабораторно – практическое.
5.
Продолжительность занятия
– 3 часа (135 минут).
Разнообразие клеток крови
Кровь образована жидким межклеточным веществом, которое называется плазма, и форменными элементами. К ним относятся лейкоциты, эритроциты и тромбоциты. Первые являются бесцветными клетками, которые не имеют постоянной формы и самостоятельно передвигаются в кровяном русле. Они способны распознавать и переваривать чужеродные для организма частицы путем фагоцитоза, поэтому формируют иммунитет. Это способность организма противостоять различным заболеваниям. Лейкоциты очень разнообразны, обладают иммунологической памятью и защищают живые организмы с момента их появления на свет.
Тромбоциты также выполняют защитную функцию. Они обеспечивают свертывание крови. В основе этого процесса лежит ферментативная реакция превращения белков с образованием их нерастворимой формы. В результате формируется кровяной сгусток, который и называется тромб.

Уровень движения
Как известно, кровь человека состоит из различных клеток, в том числе и эритроцитов. Они играют важную роль в организме, отвечая за транспортировку кислорода к разным органам и тканям. Но как эритроциты человека отличаются от эритроцитов лягушки?
Одно из ключевых различий между эритроцитами человека и лягушки заключается в уровне их движения. В биологическом смысле, движение эритроцитов — это способность этих клеток передвигаться в крови. Это движение обусловлено наличием внутриклеточного белка — актина, который, при взаимодействии с альфа- и бета-тизинами, обеспечивает конденсацию и деконденсацию эритроцитов.
Различия в движении эритроцитов человека и лягушки Эритроциты человека Эритроциты лягушки
Уровень движения Низкий Высокий
Эритроциты человека обладают низким уровнем движения. Они медленно передвигаются внутри кровеносных сосудов и обеспечивают стабильную транспортную функцию — доставку кислорода к клеткам и органам. Это обусловлено особенностями структуры эритроцитов человека.
В отличие от эритроцитов человека, эритроциты лягушки обладают высоким уровнем движения. Их активное перемещение внутри крови обусловлено наличием дополнительных белковых структур — фагоцитов и псевдоподий. Такое быстрое движение эритроцитов лягушки помогает им эффективно выполнять свою функцию транспортировки.
Таким образом, различия в уровне движения эритроцитов человека и лягушки являются одной из основных отличительных черт этих кровяных клеток.
Эритроциты человека
Эритроциты являются одной из важнейших составляющих крови. В биологии они известны как красные кровяные клетки или эритроциты. У человека и лягушки эритроциты имеют свои различия.
Первое заметное различие заключается в размере эритроцитов. У человека они имеют диаметр примерно от 6 до 8 микрометров, в то время как у лягушки они значительно больше и могут достигать величины от 20 до 70 микрометров.
Еще одно отличие заключается в форме эритроцитов. У человека они имеют двояковыпуклую форму в виде диска, благодаря чему могут легко прокрашиваться и проникать через капилляры. В то же время, у лягушек эритроциты часто имеют более овальную или сферическую форму.
Кроме того, эритроциты человека и лягушки отличаются по структуре. У человека они не имеют ядра, от чего образует свою характерную биконкавную форму. У лягушек же эритроциты могут содержать ядра, а также иметь более разнообразные формы.
Сравнительные особенности эритроцитов человека и лягушки представлены в таблице:
| Параметры | Эритроциты человека | Эритроциты лягушки |
|---|---|---|
| Размер | 6-8 мкм | 20-70 мкм |
| Форма | Двояковыпуклая | Овальная или сферическая |
| Структура | Биконкавная без ядра | Могут содержать ядро, разнообразные формы |
Таким образом, эритроциты человека и лягушки имеют свои различия в размере, форме и структуре. Эти различия проистекают из особенностей адаптации каждого вида к своим физиологическим потребностям и условиям жизни.
Эритроциты лягушки
Эритроциты – это кровяные клетки, которые несут на себе главную функцию крови – переносить кислород и углекислый газ по всему организму. Как и у человека, у лягушек также существуют эритроциты, но они имеют свои особенности и отличаются от эритроцитов человека.
Вот как эритроциты лягушки отличаются от эритроцитов человека:
- Форма. Эритроциты человека имеют форму двоядерной биконкавной диска, а эритроциты лягушки обладают формой ядрышковых ячеек. Это связано с тем, что эритроциты лягушки содержат ядра.
- Размер. Размер эритроцитов лягушки значительно меньше, чем у человека. Лягушачьи эритроциты имеют диаметр около 12 микрометров, в то время как человеческие эритроциты имеют диаметр около 7-8 микрометров.
- Количество. В сравнении с человеком, у лягушек обычно наблюдается большее количество эритроцитов в крови. Это связано с их адаптацией к жизни в водной среде, где процесс дыхания более интенсивный.
Как видно из приведенных различий, эритроциты у человека и лягушки имеют существенные отличия в форме, размере и количестве. Это обусловлено их разными адаптациями к условиям жизни и особенностям среды, в которой они существуют.
Особенности переливания крови
В жизни человека часто возникают ситуации, при которых требуется переливание крови. Долгое время такие операции приводили к смерти больных, а настоящие причины этого оставались загадкой. Только в начале 20 века было установлено, что виной всему – эритроцит. Строение этих клеток обусловливает группы крови человека. Всего их четыре, а различают их по системе АВ0.
Каждая из них отличается особым типом белковых веществ, содержащихся в эритроцитах. Называются они агглютиногены. У людей с первой группой крови они отсутствуют. Со второй – имеют агглютиногены А, с третьей – В, с четвертой – АВ. Одновременно в плазме крови содержатся белки агглютинины: альфа, бетта или одновременно оба. Сочетание этих веществ определяет совместимость групп крови. Это значит, что невозможно одновременное присутствие в крови аггглютиногена А и агглютинина альфа. В этом случае эритроциты склеиваются, что может привести к гибели организма.

Особенности и функции эритроцитов
Эритроциты, или красные кровяные клетки представляют собой структуры, содержащие дыхательные ферменты. Их форма и внутреннее содержимое у разных животных может варьировать. Однако, есть ряд и общих черт. В среднем эритроциты живут до 4 месяцев, после чего разрушаются в селезенке и печени. Местом их формирования является красный костный мозг. Образуются эритроциты из универсальных стволовых клеток. Причем у новорожденных кроветворную ткань имеют все типы костей, а у взрослых – только в плоских.
В организме животных данные клетки выполняют целый ряд важных функций. Основной из них является дыхательная. Ее осуществление возможно благодаря наличию в цитоплазме эритроцитов особых пигментов. Эти вещества еще и определяют цвет крови животных. К примеру, у моллюсков она может быть сиреневой, а у многощетинковых червей – зеленой. Эритроциты крови лягушки обеспечивают ее розовый цвет, а у человека он ярко – красный. Соединяясь в легких с кислородом, они несут его к каждой клетке организма, где отдают его и присоединяют углекислый газ. Последний поступает в обратном направлении и выдыхается.
Эритроциты также транспортируют аминокислоты, осуществляя питательную функцию. Эти клетки – носители различных ферментов, которые способны влиять на скорость протекания химических реакций. На поверхности эритроцитов расположены антитела. Благодаря этим веществам белковой природы красные клетки крови связывают и обезвреживают токсины, защищая организм от их болезнетворного влияния.

Что такое клетки крови человека
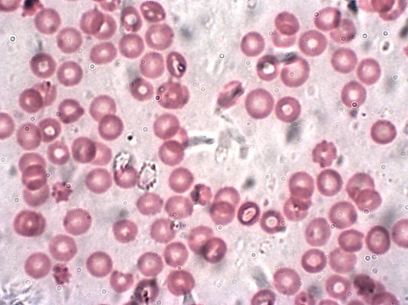
Клетки крови человека – это циркулирующие клетки в крови человека. Человеческая кровь состоит из клеток крови и плазмы. У взрослого человека около 5 литров крови, а клетки крови занимают около 2 литров от общего объема крови. Остальной объем занимает плазма. Клетки крови растворены в плазме. Три основных типа клеток крови человека – это эритроциты (эритроциты), белые кровяные клетки (лейкоциты) и тромбоциты (тромбоциты). Наиболее распространенным типом клеток крови являются эритроциты. На их долю приходится от 490 до 45% всех клеток крови. Характерный красный цвет крови придает гемоглобин в красных кровяных тельцах. Гемоглобин – это белок, который связывается с кислородом, чтобы транспортировать его по всему телу. Обычно красные кровяные тельца представляют собой круглые и плоские клетки. Они имеют характерную двояковогнутую форму. Форма красных кровяных телец может в значительной степени изменяться, чтобы они могли транспортироваться по кровеносным сосудам. Красные кровяные тельца человека показаны на рисунке 1.

Рисунок 1: Красные кровяные тельца человека при увеличении в 1000 раз.
Примечательно, что красные кровяные тельца человека и других млекопитающих лишены ядра и органелл. Это увеличивает пространство внутри красных кровяных телец для переноса большего количества молекул гемоглобина внутри клетки, увеличивая способность переносить кислород. С другой стороны, красные кровяные тельца человека не могут делиться из-за отсутствия ядра. Следовательно, эти элементы следует заменять на постоянной основе. В эритроцитах человека также отсутствуют митохондрии. Это может увеличить пропускную способность кислорода. Помимо этого, аэробное дыхание, которое осуществляется митохондриями, потребляет кислород, который переносится эритроцитами. Таким образом, отсутствие митохондрий в красных кровяных тельцах экономит кислород, который должен транспортироваться к клеткам тела. Пять типов лейкоцитов у человека показаны на рисунке 2.

Рисунок 2: Белые кровяные тельца
Лейкоциты служат частью иммунной системы животных. Двумя основными типами лейкоцитов являются гранулоциты и агранулоциты. Гранулоциты содержат ферменты в гранулах, которые переваривают инородные материалы, циркулирующие в кровотоке, путем фагоцитоза, попадая в клетки. Три типа гранулоцитов – это нейтрофилы, эозинофилы и базофилы. Моноциты и лимфоциты – это агранулоциты, в которых отсутствуют пищеварительные ферменты. Моноциты попадают в инфицированные ткани и становятся макрофагами. Двумя типами лимфоцитов являются Т-лимфоциты и В-лимфоциты. Все белые кровяные тельца вызывают неспецифический иммунный ответ при врожденном иммунитете, за исключением лимфоцитов. Лимфоциты вызывают специфические иммунные ответы адаптивного иммунитета.

Рисунок 3: Тромбоциты
Тромбоциты участвуют в свертывании крови, образуя тромбоцитарную пробку. Это предотвращает как внутреннее, так и внешнее кровотечение. Тромбоциты показаны на рисунке 3.
Сравнение
Именно в эритроцитах наиболее заметно отличие крови лягушки и человека. Так выглядят эти частицы у животного:
Эритроциты в крови лягушки
А здесь изображены человеческие эритроциты:

Сравним названные кровяные тельца по нескольким критериям:
- Форма. Клетки подобного рода у лягушки овальные. У человека они имеют компактную круглую форму.
- Ядро. Оно есть только в частицах крови животного. Отсутствие этого компонента в эритроцитах человека способствует освобождению дополнительного места для гемоглобина, переносящего кислород.
- Размер. В реальности у животного эти тельца сравнительно крупные. У человека эритроциты характеризуются маленькими размерами. В определенном пространстве мелкие частицы размещаются в большем количестве и плотней, тем самым увеличивается дыхательная емкость крови.
- Поверхность. Очертания у эритроцитов лягушки простые. Между тем у человека эти клетки имеют вогнутости. Благодаря данной особенности газ поглощается максимально эффективно.
Выяснив, в чем разница между кровью лягушки и человека, сделаем вывод. Так, наша кровь справляется с поглощением и транспортировкой кислорода гораздо лучше. А это, наряду с другими преимуществами (четырехкамерным сердцем, разделением содержимого артерий и вен и прочим), объясняет теплокровность млекопитающих, к которым с позиции биологии относится и человек.
Рассмотреть под
микроскопом постоянный микропрепарат
– кровь лягушки при малом и большом
увеличении микроскопа. В поле зрения
видны отдельные клетки правильной
овальной формы с гомогенной цитоплазмой
интенсивно розового цвета. В центре
клетки заметно сине-фиолетовое, вытянутое
в длину ядро. В поле зрения встречаются
более крупные шаровидные клетки –
лейкоциты со светлой цитоплазмой, с
шаровидными или лопастными ядрами.
Рассмотрите
готовый окрашенный препарат крови
лягушки при малом и большом увеличении.
Все поле зрения покрыто клетками.
Основную массу клеток составляют
эритроциты, имеющие овальную форму,
розовую окраску цитоплазмы и продолговатое
ядро сине-фиолетового цвета
Среди
эритроцитов иногда встречаются лейкоциты.
Они отличаются от эритроцитов округлой
формой и строением ядра, которое разделено
на сегменты (нейтрофилы) или имеет
круглую форму (лимфоциты).
Обратите
внимание, что в животных клетках в
отличие от растительных клеток клеточные
оболочки почти незаметны
Для зарисовки
выберите участок препарата, где клеточные
элементы расположены не так плотно.
Зарисуйте
несколько эритроцитов.
Сделайте
обозначения:
Эритроцит.
Оболочка.
Ядро.
Цитоплазма.
Как происходит газообмен
У человека и других хордовых животных гемоглобин находится внутри эритроцитов, а у беспозвоночных растворен прямо в плазме крови. В любом случае химический состав этого сложного белка позволяет образовывать нестойкие соединения с кислородом и углекислым газом. Кровь, насыщенная кислородом, называется артериальной. Она обогащается данным газом в легких.
Из аорты она направляется в артерии, а потом – в капилляры. Эти самые мелкие сосуды подходят к каждой клетке организма. Здесь эритроциты отдают кислород и присоединяют основной продукт дыхания – углекислый газ. С током крови, которая уже является венозной, они поступают снова в легкие. В этих органах газообмен происходит в мельчайших пузырьках – альвеолах. Здесь гемоглобин отсоединяет углекислый газ, который удаляется из организма посредством выдоха, и кровь снова насыщается кислородом.
Такие химические реакции обусловлены наличием двухвалентного железа в геме. В результате соединения и разложения последовательно формируется окси- и карбгемоглобин. Но сложный белок эритроцитов может образовывать и стойкие соединения. К примеру, при неполном сгорании топлива выделяется угарный газ, который формирует с гемоглобином карбоксигемоглобин. Этот процесс ведет к гибели эритроцитов и отравлению организма, которое может привести к летальному исходу.

Строение гемоглобина
Строение и функции эритроцитов во многом обусловлены особенностями именно этого вещества. В гемоглобин входят две составляющие. Это железосодержащий компонент, который называется гем, и белок глобин. Впервые расшифровать пространственную структуру этого химического соединения удалось английскому биохимику Максу Фердинанду Перуцу. За это открытие в 1962 году он был удостоен Нобелевской премии. Гемоглобин является представителем группы хромопротеинов. К ним относятся сложные белки, состоящие из простого биополимера и простетической группы. Для гемоглобина этой группой является гем. К данной группе относится и хлорофилл растений, который обеспечивает протекание процесса фотосинтеза.

Что такое резус-фактор
Строение эритроцита человека обусловливает выполнение еще одной функции – определение резус-фактора. Этот признак также обязательно учитывается во время переливания крови. У резус-положительных людей на мембране эритроцита расположен особый белок. Таких людей в мире большинство – более 80 %. У резус – отрицательных людей такого белка нет.
В чем опасность смешивания крови с эритроцитами разных типов? Во время беременности резус-отрицательной женщины в ее кровь могут проникнуть белки плода. В ответ на это организм матери начнет вырабатывать защитные антитела, которые нейтрализуют их. В ходе этого процесса разрушаются эритроциты резус-положительного плода. Современная медицина создала специальные препараты, предотвращающие данный конфликт.
Эритроциты являются красными клетками крови, основной функцией которой является перенос кислорода от легких к клеткам и тканям и углекислого газа в обратном направлении. Выполнение этой роли возможно благодаря двояковогнутой форме, маленьким размерам, высокой концентрации и наличию гемоглобина в клетке.
Механизмы транспорта кислорода
У эритроцитов человека основным механизмом транспорта кислорода является связывание его с гемоглобином. Гемоглобин — это специальный белок, который содержится в эритроцитах. Когда кислород попадает в легкие, гемоглобин связывает его и транспортирует по кровеносной системе к тканям организма. Там, в условиях недостатка кислорода, гемоглобин высвобождает его, обеспечивая клеткам необходимый газ для дыхания.
В отличие от этого, у эритроцитов лягушки основной механизм транспорта кислорода — растворение его в плазме крови. У этих животных эритроциты отсутствуют вообще или их количество очень невелико. Поэтому лягушкам приходится полагаться на растворение кислорода в крови. Такой механизм является не столь эффективным, поэтому лягушки предпочитают обитать в воде или в условиях высокой влажности, где присутствует больше кислорода.
Теплокровные животные
У температура тела постоянная. К ним относятся птицы и млекопитающие животные, в том числе и человек. В их организме не происходит смешивания венозной и артериальной крови. Это является результатом наличия полной перегородки между камерами их сердца. В итоге ко всем тканям и органам, кроме легких, поступает чистая артериальная кровь, насыщенная кислородом. Наряду с более совершенной терморегуляцией это способствует повышение интенсивности газообмена.
Итак, в нашей статье мы рассмотрели, какие особенности имеют эритроциты человека и лягушки. Их основные отличия касаются размеров, наличия ядра и уровня концентрации в крови. Эритроциты лягушки являются эукариотическими клетками, имеют более крупные размеры, а концентрация их невелика. Вследствие такого строения они содержат меньшее количество дыхательного пигмента, поэтому легочный газообмен у земноводных происходит менее эффективно. Это компенсируется с помощью дополнительной системы кожного дыхания.Особенности строения эритроцитов, кровеносной системы и механизмов терморегуляции обусловливает холоднокровность земноводных животных.
Черты строения этих клеток у человека более прогрессивны. Двояковогнутая форма, маленький размер и отсутствие ядра значительно повышают количество переносимого кислорода и интенсивность газообмена. Эритроциты человека более эффективно осуществляют дыхательную функцию, быстро насыщая все клетки организма кислородом и освобождая от углекислого газа.
Рассмотреть под
микроскопом постоянный микропрепарат
– кровь лягушки при малом и большом
увеличении микроскопа. В поле зрения
видны отдельные клетки правильной
овальной формы с гомогенной цитоплазмой
интенсивно розового цвета. В центре
клетки заметно сине-фиолетовое, вытянутое
в длину ядро. В поле зрения встречаются
более крупные шаровидные клетки –
лейкоциты со светлой цитоплазмой, с
шаровидными или лопастными ядрами.
Рассмотрите
готовый окрашенный препарат крови
лягушки при малом и большом увеличении.
Все поле зрения покрыто клетками.
Основную массу клеток составляют
эритроциты, имеющие овальную форму,
розовую окраску цитоплазмы и продолговатое
ядро сине-фиолетового цвета
Среди
эритроцитов иногда встречаются лейкоциты.
Они отличаются от эритроцитов округлой
формой и строением ядра, которое разделено
на сегменты (нейтрофилы) или имеет
круглую форму (лимфоциты).
Обратите
внимание, что в животных клетках в
отличие от растительных клеток клеточные
оболочки почти незаметны
Для зарисовки
выберите участок препарата, где клеточные
элементы расположены не так плотно.
Зарисуйте
несколько эритроцитов.
Сделайте
обозначения:
Эритроцит.
Оболочка.
Ядро.
Цитоплазма.
Холоднокровные животные
Форма эритроцита лягушки, как и его внутреннее строение, позволяет переносить только ограниченное количество кислорода. Это связано с тем, что земноводные не нуждаются в таком количестве этого газа, как млекопитающие. Объяснить это очень легко. У земноводных дыхание осуществляется не только через легкие, но и через кожу.
Данная группа животных является холоднокровными. Это значит, что температура их тела зависит от изменения этого показателя в окружающей среде. Этот признак напрямую зависит от строения их кровеносной системы. Так, между камерами сердца земноводных отсутствует перегородка. Поэтому в их правом предсердии венозная и смешивается и в таком виде поступает к тканям и органам. Наряду с особенностями строения эритроцитов, это делает их систему газообмена не столь совершенной, как у теплокровных животных.
Структура эритроцитов человека и лягушки
У эритроцитов человека и лягушки есть общие черты. Они оба являются биконкавными дисками без ядра. Эта форма позволяет им иметь большую поверхность контакта с окружающей средой и легко проходить через сосудистую систему.
Однако, есть и различия в структуре этих клеток. В эритроцитах человека присутствует гемоглобин, который отвечает за транспорт кислорода и удерживает его внутри клетки. У эритроцитов лягушки гемоглобина нет, вместо этого, они осуществляют газообмен через тонкие ветвистые выросты на их поверхности, которые увеличивают их площадь поверхности.
Кроме того, структура мембраны эритроцитов также отличается у человека и лягушки. У эритроцитов человека мембрана состоит из фосфолипидного двойного слоя, который содержит также специфические гликолипиды и гликопротеины. Эти структуры обеспечивают эритроцитам специфичность и играют роль в их связывании с другими клетками и молекулами в крови. У лягушек мембрана эритроцитов не содержит гликолипидов и гликопротеинов, что связано с особенностями их физиологии и системы свертывания крови.
Таким образом, хотя эритроциты человека и лягушки выполняют одну и ту же функцию, их структура различается. Эти различия в структуре обусловлены адаптацией к условиям жизни и физиологическим особенностям каждого вида.
Что такое лягушачьи клетки крови
Клетки крови лягушки относятся к циркулирующим клеткам в крови лягушки. Хотя люди и другие млекопитающие являются теплокровными животными, рыбы и земноводные, такие как лягушки, а рептилии – хладнокровные животные. Это означает, что они полагаются на внешнее тепло, чтобы нагреть кровь. Сердце лягушки состоит из трех камер: двух предсердий и единственного желудочка. Кислородная кровь в некоторой степени смешивается с деоксигенированной кровью в сердце лягушки. Следовательно, лягушки должны поддерживать низкий уровень метаболизма в организме. Лягушки также поглощают некоторое количество кислорода через кожу. У лягушек есть красные и белые кровяные тельца в крови. Красные кровяные тельца лягушек показаны на рисунке 4.

Рисунок 4: Красные кровяные тельца лягушки при увеличении в 1000 раз.
Красные кровяные тельца лягушек намного больше, чем красные кровяные тельца человека. Они также имеют несколько эллиптическую форму, чем эритроциты человека. В отличие от людей (млекопитающих), красные кровяные тельца рыб, земноводных, рептилий и птиц состоят из одного ядра на клетку. Лейкоциты лягушек больше похожи на человеческие как по морфологии, так и по функциям. Однако в крови лягушек отсутствуют тромбоциты.
Что такое малокровие
Одышка, ощутимая слабость, шум в ушах, заметная бледность кожных покровов и слизистых оболочек может свидетельствовать о недостаточном количестве гемоглобина крови. Норма его содержания колеблется в зависимости от пола. У женщин этот показатель составляет 120 – 140 г на 1000 мл крови, а у мужчин достигает 180 г/л. Содержание гемоглобина в крови новорожденных детей самое большое. Оно превышает эту цифру у взрослых людей, достигая 210 г/л.
Недостаток гемоглобина является серьезным заболеванием, которое называется малокровием или анемией. Оно может быть вызвано недостатком в продуктах питания витаминов и солей железа, пристрастием к употреблению алкоголя, влиянием на организм радиационного загрязнения и других негативных экологических факторов.
Снижение количества гемоглобина может быть обусловлено и естественными факторами. К примеру, у женщин причиной анемии могут быть менструальный цикл или беременность. Впоследствии количество гемоглобина нормализируется. Временное снижение данного показателя наблюдается и у активных доноров, которые часто сдают кровь. Но повышенное количество эритроцитов также достаточно опасно и нежелательно для организма. Оно приводит к увеличению густоты крови и образованию тромбов. Часто повышение этого показателя наблюдается у людей, проживающих в высокогорных районах.
Нормализовать уровень гемоглобина возможно употребляя продукты питания, содержащие железо. К ним относятся печень, язык, мясо крупного рогатого скота, кролика, рыба, черная и красная икра. Продукты растительного происхождения также содержат необходимый микроэлемент, однако находящееся в них железо усваивается гораздо сложнее. К ним относятся плоды бобовых, гречневая крупа, яблоки, патока, красный перец и зелень.






























