Как бороться с воспалением в бронхах
Как лечить трахеит и бронхит? При бронхиальном недомогании острого течения для уменьшения воспаления и ускорения оздоровительного процесса включают:
- Употребление жидкости в большом количестве, препятствует скапливаться слизи;
- Не включать в рацион острую пищу, максимальное употребление фруктов и еды, оснащённой витаминами;
- Поддерживать влажный климат жилища, частое проветривание;
- Ингаляционные процедура на травах;
- Дышать свежим воздухом.
Эффективно включать в курс лечения народные средства на начальной стадии вирусного и трахейного бронхиального заболевания. На затянувших стадиях применяют медикаментозное лечение.
Почему возникает воспаление в бронхах и трахее?
Трахеальный бронхит или воспаление верхних дыхательных путей возникает под воздействием ряда причин:
Чаще всего развивается инфекционный трахеобронхит, который вызывают:
- Вирусы — грипп, риновирус, парагрипп и др.
- Бактерии — чаще всего, это стрептококковая инфекция
- Грибы
Помимо этого заболевание провоцируют:
- Аллергены
- Загрязненный и загазованный воздух
- Курение, в том числе и пассивное, то есть вдыхание табачного дыма
- Профессиональные вредности, например, вдыхание химических веществ у мастеров маникюра, маляров и работников заводов
Обратите внимание! Отдельно следует выделить аспирационные трахеобронхиты, причиной которых становится привычное попадание кусочков пищи в дыхательные пути.
Благоприятной почвой для воспаления верхних дыхательных путей являются:
- Снижение иммунитета
- Сырой и холодный климат
- Нарушение носового дыхания (искривление носовой перегородки, насморк, отек слизистой носа)
- Инфекция и воспаление в носоглотке
- Отек и застойные явления при артериальной гипертензии, сердечной недостаточности и др.

Симптомы бронхита и трахеита
При первых симптомах заболевания важно знать, как отличить трахеит от бронхита. Характерные симптомы трахеита – сухой кашель. Он проявляется утром или по ночам
Чувствуется «растяжение» в груди, переходящее в кашель, при глубоком вдохе, смехе. При бронхите ярко выражен кашель, затруднения дыхания. Кашель более влажный. Ещё один важный симптом – жжение в груди. Оно сильно проявляется при кашле, особенно при долгом течении заболевания
Он проявляется утром или по ночам. Чувствуется «растяжение» в груди, переходящее в кашель, при глубоком вдохе, смехе. При бронхите ярко выражен кашель, затруднения дыхания. Кашель более влажный. Ещё один важный симптом – жжение в груди. Оно сильно проявляется при кашле, особенно при долгом течении заболевания.
Прослушивание фонендоскопом выявляет характерные сухие или влажные хрипы в лёгких. При трахеите хрипы прослушиваются и сзади, и спереди посередине, при бронхите – характерные хрипы со спины в боковой части. Бронхит может поражать только одно лёгкое – при этом хрипы будут прослушиваться только справа или слева.
Существует ещё одно комплексное заболевание, называемое «трахеобронхит». Оно поражает и трахею, и бронхи одновременно. Если же поражены альвеолы – маленькие пузырьки в лёгких, которые отвечают за усвоение кислорода из воздуха, то тут уже в пору бить тревогу и назначать серьёзное лечение в стационаре. Иногда возникают такие ситуации, когда одно заболевание начинает переходить в другое – например, начинается ангина, которая затем, при ослабленном иммунитете, переходит в трахеит, и он, в свою очередь, переходит в бронхит.
Вместе с повышением температуры эти два заболевания вызывают частичную дисфункцию лёгких и дыхательной системы. Следствием этого будет недостаточное поступление кислорода в кровь, и общее угнетённое состояние организма. Например, при трахеите и бронхите вместе с температурой возникает головная боль.
И бронхит, и трахеит могут возникать при химическом поражении дыхательных путей. Чаще всего возникают при вдыхании испарений хлорки, паров гальванических ванн на производстве. Встречаются поражения при токсикомании – при вдыхании паров ацетона или бензина. Может возникнуть поражение в результате длительного воздействия капсикама из газового баллончика в закрытом помещении, например, в камере в КПЗ или при близком применении в момент вдоха. Возможно поражение и при травме, пневмотораксе, или попадании в трахею острых предметов изо рта.

В этих случаях трахеита и бронхита симптомы выявляются непосредственно сразу после отравления, и выражены наиболее ярко – ощущается острое жжение в груди, боль при глубоком вдохе. Возможны периодические потери сознания и сильная головная боль из-за недостатка поступления кислорода. Во всех этих случаях больной нуждается в срочной госпитализации, и лечение будет назначено врачом соответствующей квалификации.
Спирометрия для диагностики бронхита
Спирометрия является одним из наиболее эффективных методов диагностики бронхита. Это неинвазивный тест, который позволяет оценить объемы и скорость вдоха и выдоха в легких. Данные, полученные в результате спирометрии, могут помочь определить наличие бронхита, а также его тип и степень тяжести.
В ходе спирометрии пациенту предлагают вдохнуть максимальный объем воздуха, а затем выдохнуть его максимально быстро и полностью в прибор, называемый спирометром. Исследование проводится как при нормальном дыхании, так и после использования бронходилатирующих препаратов.
С помощью спирометрии можно измерить такие показатели, как FVC (форсированный объем легких), FEV1 (форсированный объем выдоха за первую секунду), FEV1/FVC (отношение форсированного объема выдоха за первую секунду к форсированному объему легких). Эти показатели могут помочь определить наличие обструкции бронхов, характеристики дыхательной системы и прогнозирование эффективности лечения.
Спирометрия является безопасным и неинвазивным методом диагностики бронхита, который дает врачам ценную информацию о состоянии дыхательной системы. Рекомендуется проходить спирометрию для всех пациентов, у которых есть подозрения на наличие бронхита или других заболеваний легких.
Важно помнить, что результаты спирометрии не являются окончательным диагнозом и должны рассматриваться в сочетании с другими методами диагностики и клиническими проявлениями заболевания. Преимущества спирометрии для диагностики бронхита:. Преимущества спирометрии для диагностики бронхита:
Преимущества спирометрии для диагностики бронхита:
- Высокий уровень точности и надежности.
- Неинвазивный и безопасный метод.
- Позволяет определить наличие обструкции бронхов и другие характеристики дыхательной системы.
- Помогает прогнозировать эффективность лечения.
Спирометрия для диагностики бронхита является важным и эффективным методом, который поможет определить наличие заболевания и помочь врачу правильно выбрать лечение.
Отличия бронхита от пневмонии
При проникновении инфекционных агентов в нижний отдел дыхательной системы развивается воспаление бронхов или легких. Основное отличие бронхита от пневмонии – очаг патологических изменений. Причиной воспаления альвеол является инфекция, а вот бронхи чаще поражаются респираторными вирусами.
Во время приступов кашля возникает слизистая или слизисто-гнойная мокрота. Это первый признак того, что развивается опасный недуг. Основной зоной патологического процесса являются альвеолы, которые отвечают за полноценное поглощение кислорода и выведение углекислого газа. Взрослый и ребенок страдают одинаково – газообмен нарушается, начинается кислородное голодание. Когда воспалительный очаг распространяется на большие участки тканей легких, появляются симптомы интоксикации – слабость, гипертермия.
У детей есть особенность строения органов респираторного тракта – слизистая бронхов склонна к стремительному развитию отека. Эта особенность способствует быстрому распространению болезнетворных микроорганизмов на нижние отделы дыхательной системы. Дети намного чаще, чем взрослые, страдают от развития бронхопневмонии, которая сочетает в себе проявления обоих болезней.
Прежде чем назначить антибиотик и другие препараты, врач направит больного на проведение дифференциальной диагностики, чтобы установить правильный диагноз
Это важное условие для назначения правильного лечения
Причины воспаления слизистых оболочек бронхиального дерева:
- влияние вирусных агентов, которые передаются воздушно-капельным путем;
- воздействие внешних раздражителей – перепады температурных условий, влажности;
- химические раздражители;
- воздействие аллергенов.
Основные признаки, которые позволяют определить наличие бронхита и отличить его от пневмонии:
Боли в области грудной клетки
- сухой, надсадный кашель, когда скапливается большое количество слизи, отмечается переход во влажный;
- болезненные ощущения в грудине, которые возникают вследствие сильного напряжения мускулатуры;
- субфебрильная температура, слабость в период обострения;
- покраснение горла, налет, покашливание, боли, сиплость голоса;
- больной ребенок страдает признаками обструктивного синдрома. Чем младше дети, тем сложнее развитие болезни и симптоматика более выражена.
Причины пневмонии: инфекционные агенты, вирусные частицы, паразитарные инвазии, грибковые поражения на фоне аутоиммунных заболеваний. Специфическая симптоматика:
- болезненность в грудине при глубоком вдохе – это различие двух заболеваний;
- повышенная бледность эпидермиса, которая спровоцирована кислородным голоданием – тоже основное проявление воспаления альвеол;
- пациент сильно кашляет, отделяется содержимое гнойного характера, нередко присутствует кровь, кашель надсадный, приступообразный – это позволяет врачам легко различить болезнь;
- симптоматика всесторонней интоксикации внутренних органов – внезапный подъем температурных показателей, сильная слабость, отсутствие аппетита;
- определение пневмонии у ребенка – жаропонижающее средство неэффективно.
Легкий тип бронхита возможно лечить дома, при более сложном течении заболевания пациент подлежит госпитализации. При пневмонии домашний режим лечения оказывается неэффективным, поскольку требуется внутримышечное и внутривенное введение препаратов.
Разница в диагностических данных
По сравнению симптомов бронхита и пневмонии можно сделать предварительный вывод о состоянии пациента. Окончательно отличить эти болезни дыхательной системы можно с помощью диагностики. Нужно понимать, что в домашних условиях довольно трудно провести диагностику, поэтому действительный диагноз называет только врач после исследования у детей и взрослых.
Аускультация
При прослушивании клиническая картина будет отличаться у этих двух заболеваний. Патология легких характеризуется локальными хрипами, которые слышны только в конкретных участках. Патология бронхов проявляться будет хрипами по всей поверхности легких. Они равномерны при прослушивании справа, слева, спереди, вверху и так далее.

Перкуссия
Диагностическое постукивание при бронхите и пневмонии: отличие в притупленном перкуторном звуке. Лёгочные ткани при воспалении поражаются, и их выстукивание дает притупленный звук, возникающий локализовано, где и развивается воспаление. При патологии бронхов изменений звука при перкуссии не наблюдается. 
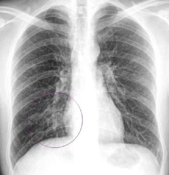
Рентгенография
Основным способом диагностики этих заболеваний, понятным всем врачам, является рентгенологическое обследование. У врача не будет и сомнения в определении диагноза, когда он изучит снимок.
Бронхит проявляется явным рисунком бронхиального дерева. На снимке будут видны даже маленькие разветвления бронхов, которые при нормальном состоянии никогда не проявляются.
Пневмонию можно определить по затемненным участкам легких на снимке. Эти участки могут быть разными по размерам – это зависит от степени поражения сегментов и долей легких. 
Основные отличия бронхита и трахеита
Что такое бронхит
Воспаленная слизь обычно забивает трубочки бронхов, мешает нормальному дыханию, у человека возникают приступы кашля. Именно кашель помогает очищать бронхи от этой слизи.
Бронхит чаще всего не является серьезным заболеванием, проходит достаточно быстро (при своевременном лечении) и не вызывает осложнений в организме больного.
Однако люди, которые имеют хронические формы болезней таких внутренних органов, как сердце или легкие, пожилые и лежачие пациенты переносят такой воспалительный процесс в верхних органах дыхания достаточно тяжело.
Что такое трахеит
Так как трахея напрямую соединена с гортанью, все воспалительные процессы, происходящие в носоглотке, могут вызывать такие же процессы и в ней. Чаще всего острая форма трахеита возникает параллельно с такими заболеваниями, как острый насморк, и с воспалительными процессами в гортани: ларингитом и фарингитом.
Развитию этого заболевания способствуют следующие факторы:
- человек дышит слишком сухим и загазованным воздухом;
- в окружающей среде слишком много паров химических веществ и различных газов;
- больному приходится вдыхать слишком холодный воздух.
Если у пациента диагностируется острый вид этого заболевания, то для него характерна отечность слизистой оболочки трахеи. На ее поверхности скапливается слизь, а иногда могут возникать кровоизлияния в виде мелких точек.
Частыми причинами возникновения хронического воспалительного процесса в трахее могут быть хронические формы болезней полости носа и носовых пазух.
Основная симптоматика этих заболеваний
- сильное першение в горле;
- ухудшение самочувствия;
- сильный кашель, развивающийся на фоне острого ринита;
- приступы кашля сопровождаются отхождением мокроты;
- повышение температуры;
- слабость;
- утомляемость;
- больного могут мучить головные боли;
- в хронической форме обострения болезни возникают при резком похолодании.
Бронхит может вызывать такое осложнение, как воспаление легких.
Лечение трахеита
При лечении острого трахеита сначала необходимо устранить те причины, которые привели к его развитию. Основные мероприятия при лечении этой болезни:
Лечение трахеита проводится в домашних условиях, госпитализация при данной болезни обычно не производится.
Лечение бронхита
При лечении бронхита учитывается множество факторов:
- общее состояние больного;
- возраст пациента;
- есть ли противопоказания к каким-либо лекарственным средствам (либо наличие лекарственной аллергии);
- насколько размыта симптоматика данной болезни;
- из-за чего развился бронхит в верхних дыхательных путях.
Для улучшения отхождения мокроты и улучшения отхаркивания рекомендуется проводить ингаляции растворами, содержащими специальные лекарственные препараты.
Из лекарственных трав лучше всего для ингаляций подойдут эвкалипт, мята, душица.
При бронхите показан постельный режим, из рациона рекомендовано исключить острые блюда, пряности и другие раздражающие слизистые оболочки продукты. Физических нагрузок на организм следует избегать.
Госпитализируют больного только в том случае, если на фоне бронхита развилось сильное воспаление легких, которое подлежит лечению в больничных условиях. Сам же бронхит обычно лечится дома, под контролем лечащего врача.
Несколько различны и методы лечения этих заболеваний. При трахеите лечение направлено на облегчение сухого кашля и разжижение мокроты, а при бронхите главный упор делается на освобождение бронхов от скопившейся слизи и лечении самого заболевания.
Бронхит или пневмония: десять отличий

Несмотря на то, что симптомы заболеваний имеют схожесть между собой, можно выделить 10 основных признаков, благодаря которым определяется бронхит и пневмония:
- Прослушивание хрипов. Первое, что врач делает до забора анализов – это прослушивание хрипов и пальпация грудины. При пневмонии хрипы сухие или влажные, а для бронхита свойственны только свистящие. Бронхиальные хрипы отчетливо прослушиваются без фонендоскопа, в то время как при воспалении легких это сделать невозможно без специального прибора.
- Температура тела. Бронхиту характерно повышение температуры до 38°С, после чего на вторые-третьи сутки она стабилизируется. При пневмонии температура повышается резко и может доходить до 40°С. Также могут наблюдаться резкие скачки температуры, что говорит о силе интоксикации организма при воспалении легких. Продолжительность сохранения повышенной температуры при пневмонии в несколько раз больше, нежели при бронхите. Также при наличии воспаления легких температуру сложно сбить обычными жаропонижающими средствами, в то время как при бронхите это делается без особого труда.
- Боль за грудиной. При пальпации и легком постукивании грудной клетки в области легких, пневмония даст о себе знать резкой острой болью, проходящей через какое-то время самостоятельно. Для бронхита болезненной частью является горло и верхняя часть бронхиального дерева.
- Результаты рентгенограммы. Именно рентген снимок позволяет точно определить, на каком этапе нижних органов дыхания локализуется воспалительный процесс.
- Развернутый анализ крови. При наличии воспаления легких в крови отмечается недостаток кислорода, а также большая концентрация токсинов. При бронхите биохимический состав крови менее насыщенный. В большинстве случаев причиной возникновения бронхита является вирус, пневмония же провоцируется бактериями и продуктами их жизнедеятельности.
- Мокрота. Отхождение мокроты при бронхите наблюдается на 3-5 сутки, в то время как при воспалении легких она может длительное время находится в альвеолах. Также имеет значение цвет и консистенция мокрот. Бронхиальные мокроты чаще всего прозрачного цвета, имеют пенообразную консистенцию. Для пневмонии характерны мокроты белого или зеленоватого цветов, с примесями крови. Последние появляются за счет резкого кашля, в результате которого мелкие кровеносные сосуды разрываются, провоцируя кровянистые включения.
- Продолжительность лечения. Бронхит излечивается достаточно быстро, тогда как для лечения пневмонии потребуется не менее трех недель. Ускорить подобный процесс может специальная дыхательная гимнастика и физиотерапия.
- Начало заболевания и его течение. Бронхит протекает в острой форме, а для пневмонии характерно длительное отсутствие видимых симптомов.
- Учащенность дыхания. При пневмонии дыхание затруднено, но учащено до 50-60 вдохов в минуту. Также учащается сердечный ритм до 100 ударов в минуту. Для бронхита такая симптоматика нехарактерна.
- Характер симптомов. Если к основным симптомам присоединяется насморк, а мокрота хорошо отделяется при откашливании, то речь идет только о бронхите. Это значит, что инфекция пошла не вниз к легким, а наоборот вверх, что может свидетельствовать о скорейшем выздоровлении. Когда у человека отмечается только резкий рвущий кашель, при этом болей в горле нет – скорее всего это пневмония.
 
Бронхиальная астма: симптомы и лечение, диагностика
Бронхиальная астма: лечение и симптомы, признаки, диагностика. Астма — хроническая (долгосрочная) болезнь, которая …«Подробнее»
Пневмония является последствием бронхита, который длительное время функционировал в бронхах без лечения.
Эти два заболевания взаимосвязаны друг с другом, но имеют абсолютно разные методы лечения и осложнения.
Самостоятельно поставить диагноз и определить чем отличаются бронхит и пневмония, невозможно.
Чтобы избежать серьезных последствий для здоровья и осложнений, рекомендуется отказаться от самолечения простудных заболеваний.
Поход к врачу, на который современному человеку не хватает свободного времени, способен обезопасить от пневмонии.
Таким образом, бронхит отличается от пневмонии, а также может ее провоцировать.
Только специалист на основе результатов анализов и проведения рентгенографии вправе поставить правильный диагноз и назначать соответствующее лечение.
Нужно помнить, что как пневмония, так и бронхит, являются следствием запущенности простудных заболеваний. Не допустить их поможет своевременное лечение.
Симптомы бронхита

Трахеидный бронхит начинается одновременно с воспалительного процесса в бронхах и трахеях. Трахейный бронхит на начальном этапе обусловлен болезнью верхних каналов дыхательного тракта, затем быстро спускается на нижние каналы. Признаки трахеидного бронхита:
- Болезненные ощущения в грудной клетке;
- Удушье;
- Хрипение;
- Кашлевой синдром;
- Недомогание.
Пациенты подвержены трахейному бронхиту в холодное время года, люди переохлаждаются, начинают заболевать. Трахеобронхит, если не лечить с начального этапа заболевания переходит в тяжёлые стадии, которые сложно поддаются лечению.
Приведём основные симптомы бронхиальной немощи, когда начинается воспалительный процесс в бронхах:
- Удушье;
- Надрывной кашель с приступами;
- Недостаток кислорода из-за бронхиальной обструкции;
- Хрипение в бронхах.
Оба заболевания имеют общий симптом – это кашель, который имеет длительный период и надрывной характер. Различить болезни может только доктор, после обследования. Прослушав пациента и сделав рентген, доктор устанавливает диагноз.
Лечение бронхита
Механизм лечения бронхита заключается в приёме отхаркивающих, противовоспалительных средств. При осложнённом анамнезе назначаются антибактериальные препараты.
Когда клиническая картина заболевания сопровождается лихорадкой и отхождением гнойной мокроты, обязателен приём бактерицидных антибиотиков (Амоксиклав).
Для расширения бронхов с помощью ингаляций следует использовать:
- Беротек,
- Атровент,
- Вентолин.
| Препарат | Фото | Цена | 
|---|---|---|
| Беротек | от 380 руб. | |
| Атровент | от 232 руб. | |
| Вентолин | от 148 руб. | 
Чтобы уменьшить вязкость бронхиальной мокроты, назначают мукорегулирующие средства (Амброксол, Бромгексин).
| Препарат | Фото | Цена | 
|---|---|---|
| Амброксол | от 48 руб. | |
| Бромгексин | от 21 руб. | 
Лечение
 
Качественное лечение бронхита построено на нескольких принципах:
 Пациенту важно облегчить отхождение мокроты и обеспечить доступ кислорода в лёгкие.
 Снять признаки воспалительного процесса.
 Ликвидировать очаг инфекции.
В этом случае применяют несколько методов терапии, которая помогает исправить положение пациента и привести его к привычному качеству жизни, который был у него до болезни.
Лечение антибиотиками
 
Тяжёлые препараты назначаются исключительно при тяжёлом течении заболевания, а также при выявленных осложнениях и выявлении бактериального возбудителя патологии. При нетяжёлом течении болезни и аллергическом бронхите антибиотики бессильны.
Необходимость подключения курса антибиотиков определяется изменением характера мокроты или отсутствием эффективности применяемой классической терапии.
Острый осложнённый бронхит зачастую лечат с использованием иммуномодуляторов и кортикостероидов. Это необходимо, чтобы исключить повторные рецидивы болезни, приводящие к серьёзным осложнениям.
Подавление механизмов, способствующих развитию заболевания
Другое название подобного лечения – патогенетическая терапия. Пациенту выписывают муколитики, которые разжижают мокроту и способствуют её выведению на поверхность. Также применяются бронхорасширяющие препараты, типа ингаляций. Они помогают увеличить просвет бронхов и сделать дыхание более свободным.
Препараты применяются в виде ингалятора, в том числе домашнего или переносного небулайзера, а также в виде пероральных пилюль.
Симптоматическая терапия
 
При большом повышении температуры тела, выше 38.5 градусов, применяются жаропонижающие препараты. При субфебрильной температуре подобная мера не требуется. Также подключают кислородотерапию, если у пациента бронхит осложнён обструкцией.
Противокашлевые таблетки применять не рекомендуется, ведь кашель помогает выходить мокроте и способствует очищению лёгких и бронхов. Если это предотвратить, могут возникнуть осложнения. Однако, если сильные приступы кашля осложняют жизнь пациента и изматывают его, врач может назначить и подобные препараты для облегчения состояния больного.
Физиопроцедуры
 
Ряд процедур применяется для облегчения симптомов болезни и достижения стойкой ремиссии при хроническом течении заболевания. К примеру ингаляции, электрофорез, гимнастика и массаж.
Обязательно следить за увлажнённостью воздуха в комнате, где находится больной. Пересушенный воздух способствует высыханию слизистой оболочки и вызывает кашель, также это чревато присоединением инфекции.
Обильное питьё помогает свободному отхождению мокроты, так как обеспечивает переизбыток жидкости в организме пациента. Кроме того, с помощью тёплой влаги из организма выводятся вредные вещества.
Для хронических больных в период ремиссий показано лечение в условия курортов и санаториев. Пациентам с осложнениями и патологиями бронхиального дерева показан отказ от курения и регулярное проведение дыхательной гимнастики.
Острый бронхит без осложнений, не осложнённый другими хроническими заболеваниями, особенно сердечно-сосудистыми патологиями, проходит за 2 – 3 недели без последствий. Небольшой кашель ещё может сохраняться в течение некоторого времени. Осложнённый хроническими болезнями бронхит длится чуть дольше и при качественном лечении выздоровление наступает спустя примерно месяц.
Хронический бронхит – сложное заболевании, которое сменяет стадии обострения и ремиссии, а также имеет длительное лечение. Но для такой формы заболевания имеются свои способы терапии, которые могут гарантировать полное восстановление пациента.
Лечение трахеобронхита
Терапия патологии осуществляется комплексно. При отягченных формах трахеобронхита лечение проводится в пульмонологическом отделении.
Пациенту назначают:
- Препараты против кашля. К ним относятся Кодеин, Либексин, Преноксдиазин.
- Муколитические и отхаркивающие лекарства. Можно выделить Амброксол, Мукалтин.
- Щелочные ингаляции для отхождения мокроты.
При легком течении заболевания терапия в большинстве случаев проводится дома. Для улучшения дренажной функции бронхов применяются горчичники, разогревающие мази и компрессы.
Пациенту назначаются антибактериальные, противовирусные или противоаллергические средства в соответствии с этиологией болезни. Препараты и дозировку врач подбирает каждому пациенту индивидуально.
Применяются такие методы физиотерапии, как электрофорез, галотерапия, лазеротерапия, дыхательная гимнастика.
Антибактериальная или противовирусная терапия
После постановки диагноза и определения этиологического фактора патологии назначаются соответствующие лекарства:
- Противовирусные. Используются, если возбудителем является вирус. Средства включают Кагоцел, Анаферон, Арбидол.
- Противобактериальные. Применяются местные и системные антибиотики из группы пенициллинов, фторхинолонов. К ним относятся Ампициллин, Амоксициллин, Авелокс, Норфлоксацин.
Назначаются витаминные комплексы и препараты, укрепляющие иммунитет. Вне зависимости от причины заболевания применяются сиропы от кашля при трахеобронхите, что способствует выведению мокроты, уменьшению раздражения и воспаления.
Симптоматическая терапия
Симптоматическая терапия направлена на купирование неприятных проявлений патологии.
Применяются такие средства:
- Противоаллергические. Помогают устранить признаки аллергической реакции.
- Препараты, обладающие жаропонижающим, противовоспалительным эффектом. Например, Ибупрофен, Парацетамол. Помогают снизить температуру, снять воспаление и боли.
- Отхаркивающие. Трахеобронхит в основном не протекает без кашля. Так как на начальной стадии кашель сухой, прием таких препаратов способствует разжижению и выведению мокроты.
Немедикаментозная терапия
Немедикаментозная терапия считается эффективным вспомогательным средством в лечении патологии.
Процедуры включают:
- Физиотерапию. Позволяет уменьшить отечность, устранить воспаление. При тяжелых формах болезни применяется оксигенотерапия.
- Оздоровительный массаж. Способствует выведению мокроты.
- Ингаляции. Стимулируют отхождение мокроты. Эффективными травами для проведения ингаляций считаются душица, багульник.
- Дыхательную гимнастику. Продолжительное течение респираторной патологии вызывает напряжение мышц и диафрагмы. Дыхательные упражнения помогают устранить эти симптомы, очистить бронхи, облегчить дыхание.
- Лечебную физкультуру. Занятия способствуют откашливанию, облегчению дыхания.
Процедуры не проводятся, если у пациента наблюдается температура.
Лечение трахеобронхита у детей
При появлении симптомов заболевания у ребенка необходимо исключить посещение школы или детского сада, обеспечить ему постельный режим. Лечение практически такое же, как и у взрослых.
После определения причины патологии назначаются средства:
- противовирусные или антибактериальные;
- отхаркивающие лекарства, сиропы от кашля;
- травяные настои и ингаляции.
После купирования острой симптоматики показаны физиотерапевтические процедуры.
 Макс Невелов
 Макс Невелов 



























