Строение зубов человека
Зубы не только предназначены для механической переработки пищи, но и необходимы для формирования речи, дыхания, оказывают влияние на черты лица. Чтобы ориентироваться в том, что советуют стоматологи, как беречь зубы, какие существуют риски заболеваний, полезно знать, как же они устроены.
Анатомическое строение
3 части, из которых состоит зуб:
- Коронка. Используемая для жевания, видимая часть зуба. С внешней стороны покрыта прочной эмалью, защищающей его от бактерий, химических веществ, содержащихся в пище, воде, слюне. Поверхности имеют свои названия:
- Лицевая (вестибулярная) – контактирует с губой или щекой.
- Язычная (лингвальная) – противоположная лицевой, участвующая в формировании речи.
- Окклюзия – верхняя поверхность, соприкасающаяся с зубом противолежащей челюсти.
- Контактная (аппроксимальная) – контактирует с соседними зубами.
- Шейка. Область зуба со слегка заметным сужением. Служит для соединения коронки и корня зуба, для чего используются соединительно-тканые волокна.
- Корень. Находится в кости челюсти (альвеоле). Количество корней различается для разных зубов и может варьироваться от 1 до 5.
Молочные зубы, имея во многом схожее строение, имеют и отличия в анатомии:
- Они заметно меньше по высоте, чем постоянные.
- Коронка намного шире корня.
- Эмаль тоньше и более хрупкая.
- Корни более круглые.
- Стирание молочных зубов, как и их самостоятельное выпадение – нормальный физиологический процесс.
Гистологическое строение
Структура имеет несколько слоев:
- Эмаль – наиболее прочная ткань. Когда зуб только прорезывается, на ней располагается кутикула, которая постепенно, под воздействием слюны, заменяется пелликулой.
- Дентин – высокоминерализированная ткань, напоминающая костную, но имеющая лучшую механическую прочность. Вместо эмали корневая часть дентина покрыта цементом.
- Пульпа – центральная часть зуба, представляет собой мягкую соединительную ткань, в которой находится большое количество кровеносных сосудов. Кариес, воспалительные процессы «обязаны» болью именно пульпе с ее большим количеством нервных окончаний.
Молочные зубы отличаются дентином с меньшей степенью минерализации, что ослабляет их защиту от кариеса. Пульпа по объему занимает большую часть зуба, а небольшие защитные слои (эмаль и дентин) хуже предохраняют от проникновения бактерий, развития воспалительных процессов.
Виды зубов
Выделяют 4 группы:
- Резцы. 4 резца долотообразной формы. Наиболее крупные – пара верхних центральных резцов, причем снизу противоположная ситуация – боковые резцы несколько крупнее центральных.
- Клыки. 2 на верхней и столько же на нижней челюсти. Длина их больше, чем остальных, передняя стенка выпуклой формы.
- Премоляры. Всего 8, призматической формы, верхняя поверхность с двумя бугорками (щечным и язычным). Корней у премоляров 2. Второй премоляр – с более крупной щечной поверхностью. Молочных премоляров не бывает.
- Моляры. Первый моляр (большой коренной зуб) – самый крупный зуб верхней челюсти. Жевательная поверхность имеет четыре бугорка, корней 3. Кубической формы второй моляр меньше, а щечные бугорки крупнее язычных. Третий («зуб мудрости») во многом похож на второй, но появляется не у всех.
Когда происходит смена зубов?
Для того чтобы следить за порядком смены зубов и уметь при необходимости выявить патологию, следует помнить о временных рамках:
- Резцы меняются у детей в 6-8 лет.
- Клыки выпадают и появляются новые в 9-12 лет.
- Моляры начинают смену в 9-10, могут меняться до 12 лет.
- Большие коренные зубы прорезываются в возрасте 11-13 лет, а последние («восьмерки», так называемые «зубы мудрости») могут появиться в 20-30 лет.
И если смену резцов и клыков вы заметите сразу ー ребенок становится щербатым и всем с удовольствием демонстрирует свою очаровательную беззубую улыбку, то с молярами все не так однозначно.
Как отличить постоянный коренной зуб от молочного
Различать временные и постоянные зубки можно, в первую очередь, по цвету. Эмаль молочных белая и даже имеет синеватый оттенок.
Это такие зубки, которые называют белоснежными. А вот постоянные всегда чуть темнее и имеют скорее желтоватый или сероватый оттенок.
Также временные зубки мельче, а постоянные
ー
более крупные
, у моляров и премоляров большая жевательная поверхность и несколько крупных бугорков на ней. Коренные зубы производят впечатление внушительных, крепких.
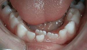
Формула челюстного ряда у деток, чьи зубки уже сменились, будет аналогична взрослой ー 8 резцов, 4 клыка, 8 премоляров и 8 моляров. То есть с одной стороны челюсти будет 2 малых коренных и 2 больших коренных. Чтобы понять эту формулу и научиться отличать постоянный коренной зуб от молочного, рекомендуем сравнить их на фото.
Профилактика неправильного прорезывания
Появление молочных зубов и смена их постоянными ー естественный процесс. Однако болезни или сложности с питанием могут повлиять на прорезывание и привести к стоматологическим проблемам.
Какие факторы влияют на смену зубов?
- наследственные.
Так, от генетической предрасположенности зависит скорость появления новых, их цвет, прочность, иногда ー прикус и особенности роста; - питание.
Характер пищи, сбалансированность, наличие в рационе достаточного количества белка, минеральных компонентов, витаминов, клетчатки ー все это влияет на процесс смены; - физическое и эмоциональное состояние ребенка
. Болезни, избыточные физические нагрузки, стрессы в школе или дома ー это факторы, которые могут стать причиной замедления прорезывания; - недостаточная гигиена полости рта
в младшем возрасте. Размножение кариозных бактерий приводит к стоматологическим проблемам, которые в запущенных случаях могут привести к удалению молочных зубов. А последние, в свою очередь, держат место для постоянных. И если молочный зубик удален рано, то прорезывание постоянного будет затруднено.
Чтобы обеспечить ребенку белоснежную улыбку и в детстве, и во взрослом возрасте, приучайте его к гигиене! Средства «Асепта» созданы для детей различных возрастов.
Несмотря на все индивидуальные особенности каждого человека, расположение зубов и их название одинаково для всех. Это объясняется тем, что зубные элементы начинают формироваться еще задолго до появления на свет (примерно на 2-3 месяце эмбриогенеза), и при рождении у ребенка имеются все зубные зачатки, расположенные глубоко в челюсти.
У малышей старше двух лет в зубном ряду имеется 20 молочных зубов
Как у взрослых, так и у детей зубные ряды симметричны — верхняя и нижняя челюсть имеет одинаковое количество одноименных зубов (точкой отсчета при этом берется срединная линия лица).
В таблице приведен порядок расположения зубов и их правильное название.
| Порядковый номер | Молочные | Постоянные |
| 1 | центральный резец | центральный резец |
| 2 | боковой резец | боковой резец |
| 3 | клык | клык |
| 4 | первый моляр | первый (малый) премоляр |
| 5 | второй моляр | второй (малый) премоляр) |
| 6 | — | первый (большой) моляр |
| 7 | — | второй (большой) моляр |
| 8 | — | третий (большой) моляр |
У взрослых количество постоянных зубов может варьировать от 28 до 32 (это зависит от того, прорезались ли «зубы мудрости» или нет)
Как видно из таблицы, у детей и взрослых совпадают названия и расположение лишь передних зубов (резцов и клыков). Задние (или «коренные») имеют существенные отличия.
Отличия молочных и коренных зубов
Теперь вы знаете, что главное отличие временных единиц от постоянных в форме, цвете и размере. Отличая постоянный прикус от временного, можно отслеживать сроки прорезывания, тщательно подбирать уход, защищая эмаль от развития кариеса. Подведем итоги:
- Шестые и седьмые моляры в ряду от центра – всегда коренные. В молочном ряду снизу и сверху расположено только 10 единиц, крайние из них – «пятерки»;
- Если есть сомнения в пятом по счете моляре – тщательно проверяют форму, цвет, считают бугорки на жевательной поверхности. У коренного их четыре;
- Временный клык всегда меньше постоянного и не имеет четкой угловой формы;
- Молочные резцы сменяются первыми и всегда меньше по размеру, чем постоянные. Поверхность взрослых резцов часто бугристая.
Молочные зубы всегда выпадают. Но в стоматологической практике существуют случаи, когда на его смену не приходит постоянный. Это происходит из-за отсутствия зачатка коренного зуба. Количество зачатков четко видно на рентгенологическом снимке. Поэтому, если зуб выпал, а новый не прорезался, нужно обратиться к врачу за консультацией по вопросу дальнейшего протезирования. Некоторые родители переживают о том, может ли остаться молочный корень в десне. Такого не происходит, так как молочная зубная ткань во время смены прикуса рассасывается. Именно поэтому, во время естественной смены зубов ребенок не испытывает боли.
Чтобы детально узнать о смене прикуса у ребенка, обратитесь в стоматологическую клинику «Dental Effect». Опытный детский стоматолог посчитает количество зубов, определит сроки смены прикуса, увидит возможные аномалии и проведет нужную диагностику.
Возможные патологии зубов у детей
Среди заболеваний у двух-трёхлетних малышей развивается кариес. Разрушение зубных единиц в раннем возрасте способно стать причиной осложнений, нарушение челюстного развития, смещение постоянных моляров. Возможно наличие инфекции в зачатках коренных зубов.
Заменённые зубные единицы способны расти криво, если молочные были прямыми. Это связано с замедленным ростом челюсти. Из-за отсутствия места зубы начинают коситься, выпячиваться, вырастать сверху.
Возможна угроза «акульих зубов». Так случается, когда коренные начали прорезаться перед выпадением молочных. Серьёзной становится ситуация с зубами, которые растут задним рядом. Тогда прибегают к помощи ортодонта. Встречаются случаи, когда наступило время смены зубов, а они не появляются. Это может быть обусловлено физиологическими причинами, генетическими, адентией.ф
Несмотря на то, что временные и постоянные зубы имеют одинаковое строение, есть ряд признаков, которые помогут понять, как отличить молочный зуб от коренного. Определить, какой именно зуб присутствует в ротовой полости, можно по:
Отличаются временные и постоянные зубы также тем, какие цифры используют для их обозначения в зубной формуле. У молочных это римские цифры, например, I и II -резцы, III – клыки, IV и V – моляры, а у коренных – арабские: 1 и 2 – резцы, 3 – клыки, 4 и 5 – премоляры, 6,7 и 8 – моляры. Бывают люди, у которых восьмерок, больше известных как зубы мудрости, нет.
Молочные и коренные зубы имеют множество отличий. Прежде всего, стоит отметить, что молочные зубы являются временными, со временем они выпадают, а их место занимают зубы. Процесс происходит с некоторым усилием.
В первую очередь происходит разрастание корней постоянных зубов. Они выталкивают молочки через зубные каналы. Также постоянный зуб, вырастая, упирается в молочный зуб, что создают дополнительную силу, которая его выталкивает.
Если зуб сам не выпадает по тем или иным причинам, то его можно легко устранить с помощью стоматологических инструментов.
Различить зубы между собой можно и по количеству. Прежде всего, стоит отметить, что у взрослого человека насчитывается 32 коренных зуба.

Их корни искривляются и расходятся, что обеспечивает надежное крепление с челюстью. Молочные же зубы имеют характерную форму. В пришеечной части зуба можно наблюдать подушечкообразное утолщение.
Также различить зубы можно по оттенку. Первые зубы ребенка имеют белый цвет с легким синеватым оттенком. Что касается коренных, то они имею желтовато-сероватый оттенок. Шейка зуба является более темной.
Также стоит отметить, что молочные зубы менее тверды, чем постоянные. Они легко поддаются сверлению и другим манипуляциям, проводимые стоматологом с целью лечения.
Обладая такой информацией, каждый родитель сможет легко распознать, какой зуб растет у ребенка. В дальнейшем это позволит вести тщательный контроль за изменениями в прикусе.
Прорезывание зубов у детей: порядок, сроки, симптомы
Важным этапом на первом году жизни малыша является «дентация» или прорезывание зубов. Молочные зубы закладываются у эмбриона на 7 неделе, а к 20 неделе под молочными зубами начинает формироваться коренные. Молочные зубы по размеру меньше коренных, эмаль и дентин у них тоньше. Всего их 20 — по 10 сверху и снизу.
Во время прорезывания у малышей наблюдаются следующие симптомы:
- раздражительность, плохое настроение; нарушение сна; плохой аппетит, срыгивание, иногда рвота; слюнотечение; повышение температуры, но не более 38 градусов; частый жидкий стул не более 3 суток; заложенность носа, насморк с прозрачными выделениями.
Десна в период прорезывания опухают и чешутся, поэтому ребенок постоянно тянет в рот разные предметы.
Сроки и последовательность прорезывания зубов
Первый зуб у грудничка обычно появляется в полгода, а к двум годам прорезываются все 20 молочных зубов. На сроки прорезывания влияет генетическая предрасположенность, условия протекания беременности, климатические особенности, рост, вес и здоровье грудничка. Одни уже рождаются с натальным зубом, у других дентация начинается ближе к году.
Порядок прорезывания зубов у ребенка следующий:
- 6–10 месяцев – 2 резца по центру снизу; 8–12 месяцев – 2 резца по центру сверху; 9–13 месяцев – 2 боковых резца сверху; 10–16 месяцев – 2 боковых резца снизу; 12–13 месяцев – 2 верхних и нижних жевательных моляра; 17–19 месяцев – клыки; 21–24 месяца – вторые нижние моляры; 24–33 – моляры сверху.
Порядок прорезывания может отличаться от классической схемы — это не является отклонением.
С двух лет следует приучать ребенка к самостоятельной гигиене полости рта. Смена молочного ряда начинается приблизительно в 5,5 лет и длится вплоть до подросткового возраста, симптомы прорезывания схожи, но обычно менее выражены.
Рекомендуется проводить первый профилактический осмотр у детского стоматолога после появления первых зубов. В дальнейшем достаточно посещать дантиста раз в год при отсутствии жалоб.
Получить более подробную консультацию о прорезывании зубов вы можете в детской стоматологии «Дент-Ист». Наши врачи успешно работают с детьми разного возраста, а цены на услуги одни из самых выгодных в Москве. Осмотр и лечение молочных зубов проходят в комфортной дружелюбной обстановке.
Формирование зубов у детей – важно знать
Многие родители не всегда следят за процессом формирования зубов у ребенка. Особенно, если этот период проходит безболезненно. Мамы и папы часто руководствуются тем фактом, что рано или поздно молочные зубы выпадут. Поэтому, нет повода для беспокойства. Это в корне неверное отношение
Если ваш ребенок находится на этапе смены молочных зубов, важно тщательно следить за этим периодом

Когда постоянный зуб начинает расти еще до того, как должен уйти с его места «предшественник», вопрос об отличиях зубов становится неактуальным. Тем не менее, когда коренные и молочные зубы расположены на одной линии десны, это считается отклонением от нормы. Впоследствии, зубной ряд может сформироваться кривым, на исправление которого понадобится помощь детского стоматолога-ортопеда
В возрасте от 5 до 11 лет дети сталкиваются с разными проблемами. Иногда молочные зубы крошатся, выпадают преждевременно или с большим опозданием. Все эти явления создают неблагоприятную почву для роста и развития постоянных зубов. И чтобы в дальнейшем это не сказалось негативно на их здоровье, необходимо знать, в какое время начинает расти коренной зуб.
Постоянный зуб, в отличие от молочного, не подлежит перерождению. Как известно, в определенный момент корень молочного зуба поглощается вновь растущим, что приводит к его полному распаду
И когда наступает этап смены молочного зуба, важно позаботиться о том, чтобы для роста постоянных зубов не было никаких препятствий. К некоторым из них относятся воспаление десен, вредные бактерии и инфекции в полости рта
Если вы хотите, чтобы у вашего ребенка выросли крепкие и здоровые зубы, необходимо следить за каждым изменением, которое происходит на фоне развития зубного ряда
И конечно, важно уметь отличить молочные от постоянных зубов, чтобы не допустить их преждевременного повреждения и неправильного развития
Молочные и постоянные зубы – отличия

Как отличить молочный зуб от коренного? На самом деле, у некоторых детей довольно сложно определить разницу, потому что внешне эти зубы могут ничем не отличаться. Однако если родители будут хорошо ориентироваться во временных рамках формирования молочного и коренного зубов, а также, научатся детально рассматривать зубную эмаль, тогда они смогут понять разницу между ними.

Таблица, которая объясняет отличия молочных зубов от коренных.
| Особенности | Молочные зубы | Коренные зубы |
| Количество | В общей сложности – 20 зубов: 10 передних и 10 нижних | В общей сложности – 32 зуба (полный зубной ряд) |
| Типы | На ранней стадии развития появляются резцы – 2, клык – 1, моляры -2 в каждом квадранте. В общей сложности: 8 резцов, 4 клыка, 8 моляров | На ранней стадии развития появляются резцы – 2, клык – 1, премоляры/моляры -2 и 3 в каждом квадранте |
| Размер | Молочные зубы по ширине больше коренных, но меньше по размеру | За исключением ширины, коренные зубы по размеру больше молочных |
| Форма | Бугры молочных зубов выглядят гладкими | Бугры коренных зубов выглядят зазубренными |
| Цвет | Эмаль у молочных зубов тонкая и насыщенная. Как правило, такие зубы выглядят белее, чем коренные | Эмаль постоянных зубов прозрачная и имеет оттенок желтоватого цвета |
| Корень | Корни короткие, слабые и легко рассасываются | Корни длинные и крепкие |
Ровный прикус весомо сказывается на здоровье человека. Не зря каждую маму интересует появление и смена прикуса у её чада. Часто возникают вопросы при определении вида зуба, находящегося во рту у ребёнка – молочный он или коренной.
Мнение эксперта
Бирюков Aндрей Aнатольевич
врач имплантолог ортопед-хирург
Закончил Крымский мед. институт в 1991 г. Специализация терапевтическая, хирургическая и ортопедическая стоматология включая имплантологию и протезирование на имплантах.
Задать вопрос эксперту
Считаю, что на визитах к стоматологу всё же можно существенно сэкономить. Конечно я говорю об уходе за зубами. Ведь если тщательно ухаживать за ними, то до лечения действительно может и не доходить дело – не потребуется. Микротрещинки и небольшой кариес на зубах можно убрать обычной пастой. Как? Так называемой пломбирующей пастой. Для себя выделяю Denta Seal . Попробуйте и вы.
Смена прикуса сопровождается осложнениями и необходимо понимать их природу.
Когда происходит смена зубов?
Для того, чтоб смотреть за порядком смены зубов и уметь по мере необходимости выявить патологию, следует держать в голове о временных рамках:
- Резцы изменяются у малышей в 6-8 лет.
- Клыки выпадают и возникают новейшие в 9-12 лет.
- Моляры начинают смену в 9-10, могут изменяться до 12 лет.
- Огромные коренные зубы прорезываются в возрасте с 6 до 11-13 лет, а крайние («восьмерки», так именуемые «зубы мудрости») могут показаться в 20-30 лет.
И если смену резцов и клыков вы заметите сходу ー ребенок всем с наслаждением показывает свою обворожительную беззубую ухмылку, то с молярами все не так совершенно точно.
Как отличить неизменный коренной зуб от молочного
Различать временные и неизменные зубки можно, сначала, по цвету. Эмаль молочных белоснежная и даже имеет синий колер. Это такие зубки, которые именуют белыми. А вот неизменные постоянно чуток темнее и имеют быстрее желтый либо серый колер.
Также временные зубки мельче, а неизменные ー наиболее большие, у моляров и премоляров большая жевательная поверхность и несколько больших бугорков на ней. Зубы создают воспоминание впечатляющих, крепких.
Формула зубного ряда у детей, чьи зубки уже сменились, будет подобна взрослой ー 8 резцов, 4 клыка, 8 премоляров и 8 моляров. Другими словами, с одной стороны челюсти будет 2 малых коренных и 2 огромных коренных зуба. Чтоб осознать эту формулу и научиться различать неизменный коренной зуб от молочного, советуем сопоставить их на фото.
Профилактика неверного прорезывания
Возникновение молочных зубов и смена их неизменными ー естественный процесс. Но заболевания либо трудности с питанием могут воздействовать на прорезывание и привести к стоматологическим дилеммам.
Какие причины влияют на замену зубов?
- наследные.Так, от генетической расположенности зависит скорость возникновения новейших, их цвет, крепкость, время от времени ー прикус и индивидуальности роста;
- питание. Нрав еды, сбалансированность, наличие в рационе достаточного количества белка, минеральных компонент, витаминов, клетчатки ー все это влияет на процесс смены;
- физическое и эмоциональное состояние малыша. Заболевания, лишниие физические перегрузки, стрессы в школе либо дома ー это причины, которые могут стать предпосылкой замедления прорезывания;
- недостающая гигиена полости рта в младшем возрасте. Размножение кариесогенных микробов приводит к стоматологическим дилеммам, которые в запущенных вариантах могут привести к удалению молочных зубов. А крайние, в свою очередь, “держат” пространство для неизменных. И если молочный зубик удален рано, то прорезывание неизменного будет затруднено.
Чтоб обеспечить ребенку белую ухмылку и в детстве, и во взрослом возрасте, приучивайте его к гигиене! Средства «Асепта» сделаны для малышей разных возрастов:
- Салфетки для очищения зубов и десен и зубная паста BABY подходят для гигиены полости рта с 0 месяцев.
- Гель АСЕПТА KIDS понравится деткам от 4 лет.
- Пасту серии TEENS любят подросшие детки (от 8 лет) ー у нее классный сливочно-персиковый вкус.
Все средства неопасны, гипоаллергенны, не содержат фтора, парабенов, брутальных абразивов. Они насыщены кальцием и активными субстанциями, предотвращающими кариес.
Хлопотать о собственных близких сейчас еще проще! Покупайте зубную пасту «Асепта» и будьте здоровы!
Как отличить молочный зуб от коренного
Молочные и коренные зубы имеют множество отличий. Прежде всего, стоит отметить, что молочные зубы являются временными, со временем они выпадают, а их место занимают зубы. Процесс происходит с некоторым усилием.
В первую очередь происходит разрастание корней постоянных зубов. Они выталкивают молочки через зубные каналы. Также постоянный зуб, вырастая, упирается в молочный зуб, что создают дополнительную силу, которая его выталкивает.
Особое значение имеют и специальные клетки, которые разрушают корни молочных зубов. В результате они теряют сцепление с челюстью. Корень стает тонким и длинным. Такая форма сопутствует выталкиванию молочного зуба под воздействием предыдущих факторов.
Если зуб сам не выпадает по тем или иным причинам, то его можно легко устранить с помощью стоматологических инструментов.
Различить зубы между собой можно и по количеству. Прежде всего, стоит отметить, что у взрослого человека насчитывается 32 коренных зуба.
Их корни искривляются и расходятся, что обеспечивает надежное крепление с челюстью. Молочные же зубы имеют характерную форму. В пришеечной части зуба можно наблюдать подушечкообразное утолщение.
Также различить зубы можно по оттенку. Первые зубы ребенка имеют белый цвет с легким синеватым оттенком. Что касается коренных, то они имею желтовато-сероватый оттенок. Шейка зуба является более темной.
Также стоит отметить, что молочные зубы менее тверды, чем постоянные. Они легко поддаются сверлению и другим манипуляциям, проводимые стоматологом с целью лечения.
Обладая такой информацией, каждый родитель сможет легко распознать, какой зуб растет у ребенка. В дальнейшем это позволит вести тщательный контроль за изменениями в прикусе.
Благодаря этому, есть все шансы, чтобы ребенок получил здоровую и красивую улыбку. Если вы вдруг определите, что молочный зуб никак не может покинуть зубной канал, то необходимо сразу же обратиться за помощью к врачу. Это позволит избежать многих проблем, в том числе и возникновение болевых ощущений, и недомогание у ребенка.
До 7 лет, молочные зубы детей сменяются постоянными зубами. Но этот процесс не у всех одинаков. От того, какие зубы имеются у ребенка, зависят последующие шаги в их уходе и лечении. В этой статье мы подробно рассмотрим все отличия молочных зубов от постоянных.
- Отличается количество зубов: временные зубы – не больше 20, постоянные – 32.
- В молочном прикусе отсутствуют премоляры. В постоянном прикусе есть все четыре вида зубов – моляры, клыки, резцы, премоляры.
- У молочных зубов бело-голубоватый оттенок, а у постоянных зубов встречается только желтоватый.
- Коронка и корень постоянного зуба больше, чем молочного.
- У молочного зуба более выраженная ширина коронки, по сравнению с его высотой.
- У молочного зуба выпуклая коронка. Поэтому корень такого зуба намного уже коронки. У постоянных зубов коронки не такие выпуклые.
- Область шейки молочных зубов имеет выпуклую, утолщенную эмаль, что носит название – эмалевый валик. За счет этой выпуклости, коронки временных зубов утолщены в диаметре в области шейки зуба. Постоянный зуб имеет наибольший диаметр в области экватора.
- Молочные зубы имеют более тонкую твердую ткань, что достигается за счет ее уменьшенной минерализации. Постоянные зубы минерализованы больше, поэтому их твердая ткань толще.
- Полость молочного зуба более обширна, чем у постоянного зуба.
- Временные зубы имеют широкие, легкопроходимые корневые каналы и апикальные отверстия. В период формирования корней — это особенно выражено.
- По сравнению с постоянными зубами, у молочных зубов более круглые корни.
- Корни у молочных моляров немного сдвинуты в сторону, т.к. между ними образовывается постоянный зуб.
- Сменяясь на постоянные, корни временных зубов рассасываются, вследствие чего временные зубы подвижные, а постоянные, напротив — неподвижны.
- Зубные ряды 6-летнего ребенка имеют немалые межзубные промежутки. Нормальный постоянный прикус не имеет трем и диастем.
- К 6 годам, у ребенка постепенно стираются бугры и режущие края. Бугорки и бугры постоянных зубов хорошо выражены.
Детская стоматология
Стоматология для детей является фундаментальной медицинской дисциплиной, которая объединяет сразу два направления – педиатрию и стоматологию. Детские стоматологи нашей клиники оказывают весь спектр услуг по уходу за молочными и постоянными зубами:
- Диагностика;
- Профилактика;
- Лечение заболеваний полости рта и зубов;
- Установка зубочелюстных аппаратов для детей и подростков.
Нумерация при аномальном количестве зубов
Если у человека во рту располагается нормальное количество зубов, то их нумерация не вызывает затруднений и остается постоянной как в молодом возрасте, так и после 60 лет.
Но бывают заболевания зубной системы, для которых характерно увеличение количества зубов с атипичным их расположением. При таких вариантах использование любых схем нумерации затруднительно и чаще всего стоматологи отказываются от их использования. В этом случае в медицинскую документацию пациента вносится полная информация о количестве зубов, их описание и расположение.
Прорезывание зубов — сложный процесс, доставляющий детям и их родителям много хлопот и беспокойства. У кого-то при их прорезывании отмечается температура, воспаления, заложенность носа, а кто-то переносит смену молочного зуба без особых симптомов.
Многих родителей волнует вопрос как отличить молочный зуб от коренного, и в каком периоде это может произойти.
Практически у всех детей начинают прорезаться с шести месяцев молочные зубки, которые со временем меняются на коренные. Процесс замены характеризуется рядом определенных особенностей. И чтобы коренные зубы, которые будут служить исправно человеку всю жизнь, оставались здоровыми, ровными, красивыми, родителям необходимо следить за ротовой полостью во время смены.
Желательно обратиться за помощью к стоматологам и ортодонтам
для понимания своевременности событий по смене зубов и правильности их роста. И, если обладать информацией, которая поможет определить молочный зуб или коренной, некоторые моменты можно решать самостоятельно.
У детей первые молочные зубы начинают прорезываться с 6 месяцев
Период характеризуется первыми движениями, которые совершает подрастающий малыш. Во время прорезывания у малышей часто повышается температура, припухлость десен. К двум годам в основном у многих детей имеются практически все молочные зубки, разные по размерам, форме, а также они обладают синеватым уникальным оттенком. Этот фактор отличает их от коренных единиц, которые имеют оттенок желтовато-серого цвета.
Молочные зубки обычно к 6-летнему возрасту активно заменяются на коренные единицы
. Но следует ухаживать за зубами в любом периоде их развития, в том числе контролировать питание, гигиену, проводить регулярные визиты к стоматологам для обеспечения формирования прикуса. Молочные зубы также подвержены различным стоматологическим заболеваниям, как пульпит, кариес, которые необходимо лечить.
Отличие постоянных зубов от молочных имеют такие характерные особенности, как:
- зубная коронка определяется разным размером, в частности форма молочного зуба имеет большую округлость, а в месте пришеечной части содержится валик эмалевый;
- молочные зубки имеют голубоватый оттенок за счет низкой минерализации дентина, эмали, а также меньшей толщины. Постоянные зубы отличает желтоватый оттенок;
- коронка постоянной единицы имеет наклон в область губы и щек, а молочные растут в вертикальном положении;
- различие по внешнему признаку можно определить и по порядковому номеру зубной дуги, где начало отсчета происходит от средней линии, как:

Особое значение принадлежит клеточным специальным структурам, способным разрушать временные корни, теряющие сцепление и прочность в челюсти. При невозможности самостоятельного выпадения их устраняют при помощи стоматологических инструментов.
Следует отметить, что на вопрос, все ли молочные зубы меняются на коренные, ответ можно получить неоднозначный. После выпадения временных зубов проходит много времени. И если срок превышает полгода, лучше посетить стоматологический кабинет для осмотра и выявление проблем.
В возрасте шести лет у ребенка только начинают появляться первые коренные
единицы – моляры в количестве 6 штук на каждую челюсть. Верхние отличаются большими размерами и высокой крепостью, так как корневая система представляет три корня, расходящиеся в разные стороны.
Засчет этой особенности они отличаются устойчивостью к нагрузкам, надежным креплением. Для быстрого определения и получения ответа на такой вопрос, как узнать коренной зуб или молочный, можно посчитать количество.
Взрослый человек имеет 32 коренных прочных зуба
, в отличие от молочных. В лечении молочные легко поддаются манипуляциям, которые проводит стоматолог. Обладая полезной информацией, родители могут обеспечить своим детям здоровую, красивую улыбку.
Полезные советы родителям

Трудно уследить, когда и какие зубы меняются у детей, особенно, если в семье несколько ребят с небольшой разницей в возрасте.
Советуем завести таблицу смены зубов, на которой вместе с ребёнком вы будете отмечать выпавшие молочные зубы и появившиеся коренные. Тогда вы точно не запутаетесь. Не забывайте ставить даты: тогда вы проследите за сроками смены прикуса.
Обсудите с ребёнком грядущую смену молочных на коренные заранее. Пусть он не пугается, когда один из зубов начнёт шататься.
С момента появления молочных зубов следите за гигиеной полости рта ребёнка. Научите его в 2-3 года тщательно чистить зубы и полоскать их после еды. Лучше использовать для этих целей не воду, а специально приобретённые травяные растворы или самостоятельно приготовленный отвар ромашки.
Заведите традицию осмотра зубов ребёнка — так вы не прокараулить кариес, в случае его появления
В период смены зубов не повредит увеличить количество продуктов с кальцием в рационе ребёнка. А когда коренные зубы будут резаться, старайтесь давать мягкую пищу (например, супы-пюре).

Завершая статью отметим, что смена зубов у ребёнка — это естественный процесс, который не должен пугать ни малыша, ни родителя. Поговорите с ребёнком на эту тему, подготовьте схему, на которой будете вместе отмечать сменившиеся зубы, но не торопите процесс. Если возникнут трудности — обсудите их с врачом.
Обратите внимание, что на полное обновление прикуса уйдут годы
Важно, чтобы ребёнок не пытался избавиться от молочных зубов самостоятельно, если у его друзей из садика или школы смена началась раньше
Наследственность имеет значение. Если у родителей неправильный прикус (или был таким в детстве), лучше проследить за ростом коренных зубов и скорректировать их положение сразу. Чем старше человек становится, тем больше времени уйдёт на решение проблемы.
Молочные зубы менее чувствительные, чем коренные, когда их лечат или вырывают. Но ребёнку тоже может быть больно и страшно. Пусть встречи со стоматологами проходят максимально комфортно, тогда в будущем, ваш сын или дочь не будут бояться регулярно обращаться к врачу для профилактического осмотра, а значит — сохранят улыбку надолго.





























