Процесс прямого деления клеток: его разновидности
Существует несколько классификаций амитоза — процесса прямого деления клеток.
В зависимости от способа деления ядра выделяют несколько видов:
- Равномерный процесс прямого деления клеток — результатом такого деления будут два одинаковых ядра.
- Неравномерный — в результате ядра новых клеток будут разными.
- Фрагментация — в ходе его наблюдается распад ядра на множество фрагментов, которые могут быть одинаковые или нет. Фрагментация характерна для клеток печени: сначала в ядре происходит деление ядрышек, затем образуются перетяжки ядерной оболочки (кариолеммы) и внутри одной клетки появляется много ядер — она становится многоядерной. Фрагментация может привести к образованию колоний, что характерно для почкования дрожжей. Многоядерные клетки не способны к митозу, в последующем они гибнут.
Возможны 2 варианта равномерного и неравномерного деления:
- Амитоз, при котором из 1 клетки образуются 2 новые. Ядро делится на 2 части без образования митотического аппарата (центриолей, системы микротрубочек, структурированных хромосом). Затем перешнуровывается цитоплазма, что приводит к полному делению, в том числе всех органоидов на 2 части, из 1 клетки получается 2 дочерние с ядрами и неравномерным количеством органелл.Такой способ деления может происходить в некоторых дифференцированных тканях (клетки скелетной мускулатуры, хрящевые, эпителиальные, клетки соединительной ткани) или в патологически измененных тканях. Свойственен для опухолей, в результате образуются эукариотические дефектные элементарные единицы, у которых нарушены внутриклеточные процессы.
- В некоторых случаях после прямого деления ядра не происходит кольцевая перетяжка цитоплазмы, она не раздваивается, образуется одна двухъядерная клетка.
По физиологическому значению выделяют 3 вида амитоза:
- Реактивный — данный вид характерен для клеток, на которые было неадекватное воздействие какого-то болезненного фактора.
- Дегенеративный — характерен для клеток, которые дегенерируют, отмирают.
- Генеративный — полноценный амитоз, в результате которого дочерние клетки способны к дальнейшему существованию, митозу.
Нет времени решать самому?
Наши эксперты помогут!
Контрольная
| от 300 ₽ |
Реферат
| от 500 ₽ |
Курсовая
| от 1 000 ₽ |
Нужна помощь
Первое деление
Чем мейоз функционально отличается от митоза? Дело в том, что в мейозе происходит не одно деление, а два. Их так и называют: первое и второе деление мейоза. В каждом делении по 4 фазы. Тут нам повезлоЕ называются эти фазы так же, как и фазы митоза, поэтому сложностей с ними обычно не возникает. Между делениями не проходит интерфаза, клетка может немного «отдохнуть», но удвоения ДНК не происходит.
Рассмотрим фазы каждого деления подробнее.
Профаза первого деления
Начинается мейоз практически так же, как и митоз. Хромосомы спирализуются, ядро и ядерная оболочка распадается, центриоли клеточного центра расходятся к полюсам и начинают формировать веретено деления. А вот дальше начинается самое интересное – хромосомы встречают свою гомологичную пару.
Что же такое гомологичные хромосомы? Все мы знаем, что половину хромосом при оплодотворении получаем от материнского организма, а другую половину от отцовского. Так вот, гомологичные хромосомы сходны по строению, размеру и несут одинаковый набор генов (но, возможно, разные аллели). Одну из таких хромосом организм получает от матери, а вторую от отца. Такие хромосомы подходят близко друг к другу, это называется конъюгация, и могут даже обменяться участками – это кроссинговер.
После этого хромосомы хаотично располагаются в цитоплазме. При этом набор хромосом и ДНК по сравнению с интерфазой не меняется (меняется только генетическая информация), а остается таким же, как в интерфазе – 2n4c.
Метафаза первого деления
Помните, что метафаза — самая статичная и красивая из всех фаз? Хромосомы выстраиваются по экватору гомологичными парами, друг напротив друга. Нити веретена деления прикрепляются к центромере хромосомы, которая расположена ближе к тому полюсу, где находится центриоль. Таким образом, каждую хромосому нить фиксирует только одной стороны. Набор остается 2n4c.
Анафаза первого деления
Нити веретена деления сокращаются и растаскивают к полюсам по одной из пары гомологичных двухроматидных хромосом. Хромосомы расходятся к полюсам, а набор в клетке не меняется, так и остается 2n4c.
Телофаза первого деления
Дальше клетка действует, как будто по инерции. Она продолжает работать по тому же алгоритму, что и в митозе. Поэтому в первой телофазе хромосомы деконденсируются, формируются ядра и ядерные оболочки, клетка делится на две, при этом набор в каждой из новых клеток тоже делится пополам и становится 1n2c. С этим набором клетка переходит во второе деление.
§26. Деление клетки. Митоз
§26. Вспомните.
Задание №1
В каких частях растения клетки делятся наиболее часто?
Ответ:
Клетки растения наиболее часто делятся в области стебля, так как там состредоточена образовательная ткань.
Задание №2
Как размножается амёба?
Ответ:
Амёбы размножаются только бесполым путём. Оно происходит путём деления клетки надвое. До деления клетки ядро удваивается, чтобы каждая дочерняя клетка получила свою копию наследственной информации.
Подумайте.
Задание №1
Почему эукариоты делятся при помощи сложного процесса митоза, а не простой перетяжкой, как прокариоты?
Ответ:
Эукариоты в своем строении значительно сложнее прокариотов. Митотическое деление дает возможность распредлять генетическую информацию поровну между дочерними клетками. И, соответственно, функции дочерних клеток остаются в полном порядке.
Задание №2
В чём состоит смысл программированной гибели клеток?
Ответ:
Апоптоз — естественный и необходимый процесс для поддержания гомеостаза в тканях и нормального развития многоклеточного организма. Апоптоз, чаще называемый программированной гибелью клетки, является энергетически активным, генетически контролируемым процессом, который избавляет организм от ненужных или поврежденных клеток.
Задание №3
Почему ядра некоторых клеток делятся путём амитоза?
Ответ:
В амитозе процессы, обеспечивающие равномерное распределение материала каждой хромосомы между двумя клетками, отсутствуют, также образуются многоядерные клетки или увеличивается их количество.
Тренируемся.
Задание №1
Перечислите стадии митоза в их естественном порядке.
Ответ:
Последовательность стадий митоза: 1. Интерфаза 2. Профаза 3. Метафаза 4. Анафаза 5. Телофаза
Задание №2
В какой фазе происходит деление цитоплазмы клетки?
Ответ:
В телофазе происходит деление цитоплазмы — цитокинез (цитотомия), в результате которого образуются две дочерние клетки с набором 2n2c. В клетках животных цитокинез осуществляется стягиванием цитоплазмы, в клетках растений — формированием плотной клеточной стенки (которая растет изнутри наружу).
Задание №3
Что такое редупликация ДНК?
Ответ:
Удвоение молекулы ДНК называют репликацией или редупликацией. С помощью специальных ферментов двойная спираль материнской ДНК расплетается на две нити, на каждой образовавшейся нити достраивается вторая нить, образуя две идентичных дочерних молекулы ДНК, которые затем скручиваются в отдельные спирали. В ходе последующего деления материнской клетки каждая дочерняя клетка получает по одной копии молекулы ДНК, которая является идентичной ДНК исходной материнской клетки. Этот процесс обеспечивает точную передачу генетической информации из поколения в поколение.
Задание №4
Что происходит в интерфазе для подготовки деления клетки?
Ответ:
Интерфаза — период клеточного цикла, подразделяющийся на G1 −, G−, S− и G2−фазы. Во время интерфазы клетка готовится к будущему делению: растёт, удваивает количество цитоплазмы, клеточных белков и органелл. В S−фазе происходит удвоение ДНК и центросом (клеточных центров).
Задание №5
В чём заключается биологическое значение митоза?
Ответ:
Биологическое значение митоза состоит в строго одинаковом распределении хромосом между дочерними ядрами, что обеспечивает образование генетически идентичных дочерних клеток и сохраняет преемственность в ряду клеточных поколений.
Совершенствуемся.
Задание №1
Всегда ли в хромосоме две хроматиды? Ответ обоснуйте.
Ответ:
Нет, не всегда. До деления хромосома имеет одну хроматиду, но уже в синтетическом периоде интерфазы (S−фазе) генетический материал удваивается и у хроматиды появляется пара. Это нужно для равномерного распределения генетической информации между двумя дочерними клетками в процессе деления.
Задание №2
В чём состоят отличия митоза от амитоза? Представьте ответ в виде сравнительной таблицы.
Ответ:
| Признаки | Амитоз | Митоз |
| Определение | Прямое деление ядра | Непрямое деление |
| Образование хромосом | Не образуются хромосомы | Образуются хромосомы |
| Веретено деления | Не образуется | Образуется |
| Распределение генетической информации | Наследственная информация распределяется неравномерно | Наследственная информация распределяется равномерно |
Задание №3
В чём преимущество полового размножения перед бесполым? Ответ обоснуйте.
Ответ:
Преимущество полового размножения перед бесполым: • Обмен наследственной информацией между особями одного вида. • Широкая приспосабливаемость потомков к условиям среды. • Организм получает признаки двух родителей. • Источник наследственной изменчивости. • Успех в борьбе за существование.
Назад
Вперед
Преимущества и недостатки митоза
Преимущества митоза:
1. Скорость: митоз является быстрым процессом, который позволяет клеткам быстро размножаться и заменять поврежденные или умершие клетки.
2. Генетическая стабильность: в результате митоза каждая дочерняя клетка получает полный комплект генетической информации, что обеспечивает сохранение генотипа и фенотипа организма.
3. Однородность: все дочерние клетки, полученные в результате митоза, являются генетически и структурно идентичными исходной клетке. Это обеспечивает однородность и сохранение основных функций организма.
Недостатки митоза:
1. Отсутствие генетического разнообразия: митотическое деление не приводит к изменению генетического материала и, следовательно, не способствует возникновению новых генетических комбинаций или видов.
2. Риск накопления мутаций: при митозе возможно возникновение мутаций, которые не устраняются в процессе деления и могут накапливаться в последующих поколениях клеток.
3. Ограничение роста: митоз ограничен количеством клеток и размером тканей, что может стать препятствием для дальнейшего роста организма.
Таким образом, митоз имеет свои преимущества и недостатки, которые зависят от рассматриваемого контекста и требований организма. В совокупности с другими процессами клеточного деления, такими как амитоз, митоз обеспечивает жизненно важные функции организмов и обеспечивает их выживание и развитие.
Значение амитоза
Замечание 3
Суть амитоза заключается в том, что ядро, а за ним содержимое клетки делится на две части – дочерние клетки без каких-либо предварительных изменений структуры органелл, в том числе и ядра.
Причем ядро делится на две части даже без предварительного растворения ядерной оболочки. Отсутствует формирование веретена деления, которое характерно для других типов деления.
После деления ядра начинает делиться протопласт и вся клетка на две части, но в тех случаях, когда наблюдается дробление ядра на несколько частей, образуются многоядерные клетки. При амитозе не происходит равномерного распределения вещества ядра между дочерними ядрами, то есть не обеспечивается их биологическая равномерность. Однако образованные клетки не теряют своей структурной организации и жизнедеятельности.
Долгое время в науке бытовало мнение, что амитоз – это патологическое явление, присущее только патологически измененным клеткам. Однако последние исследования не подтверждают этой точки зрения. Многими исследованиями (Каролинская, 1951 и др.) доказано, что амитоз наблюдается и у молодых нормально развитых клетках. Этот тип деления клетки и ядра наблюдали в клетках междоузлий харовых водорослей, в клетках лука, традесканции. Кроме того, амитоз встречается и в специализированных тканях с высокой активностью метаболических процессов, а именно: в клетках тапетума микроспорангиев, в эндосперме семян некоторых растений и тому подобное.
Однако этот тип разделения не встречается в клетках, в которых необходимо сохранить полноценную генетическую информацию, например, в яйцеклетках и клетках зародыша. Поэтому, по мнению ряда ученых, амитоз не может считаться полноценным способом размножения клеток.
Мейоз I
Профаза I
Обычно это самая длинная и сложная фаза мейоза. Протекает намного дольше, чем при митозе. Связано это с тем, что в это время гомологичные хромосомы сближаются и обмениваются участками ДНК (происходят конъюгация и кроссинговер).
Конъюгация — процесс сцепления гомологичных хромосом. Кроссинговер — обмен идентичными участками между гомологичными хромосомами. Несестринские хроматиды гомологичных хромосом могут обменяться равнозначными участками. В местах, где происходит такой обмен формируется так называемая хиазма.
Спаренные гомологичные хромосомы называются бивалентами, или тетрадами. Связь сохраняется до анафазы I и обеспечивается центромерами между сестринскими хроматидами и хиазмами между несестринскими.
В профазе происходит спирализация хромосом, так что к концу фазы хромосомы приобретают характерную для них форму и размеры.
На более поздних этапах профазы I ядерная оболочка распадается на везикулы, ядрышки исчезают. Начинает формироваться мейотическое веретено деления. Образуются три вида микротрубочек веретена. Одни прикрепляются к кинетохорам, другие — к трубочкам, нарастающим с противоположного полюса (конструкция выполняет функцию распорок). Третьи формируют звезчатую структуру и прикрепляются к мембранному скелету, выполняя функцию опоры.
Центросомы с центриолями расходятся к полюсам. Микротрубочки внедряются в область бывшего ядра, прикрепляются к кинетохорам, находящимся в области центромер хромосом. При этом кинетохоры сестринских хроматид сливаются и действуют единым целым, что позволяет хроматидам одной хромосомы не разъединяться и в дальнейшем вместе отойти к одному из полюсов клетки.
Метафаза I
Окончательно формируется веретено деления. Пары гомологичных хромосом располагаются в плоскости экватора. Они выстраиваются друг против друга по экватору клетки так, что экваториальная плоскость оказывается между парами гомологичных хромосом.
Анафаза I
Гомологичные хромосомы разъединяются и расходятся к разным полюсам клетки. Из-за произошедшего в профазу кроссинговера их хроматиды уже не идентичны друг другу.
Телофаза I
Восстанавливаются ядра. Хромосомы деспирализуются в тонкий хроматин. Клетка делится надвое. У животных впячиванием мембраны. У растений образуется клеточная стенка.
Современное положение
Амитоз как понятие стал возникать во множестве учебников еще в 80-х годах двадцатого века. На сегодняшний день существуют предположения о том, что все процессы, которые ранее подкладывали под это понятие, на самом деле являются неверно интерпретированными результатами исследований на плохо подготовленных микропрепаратах. Ученые полагают, что явление клеточного деления, сопровождающееся разрушением последних, могло привести к тем же неверно понятым и истолкованным данным. Однако некоторые процессы деления эукариотических клеток нельзя отнести ни к митозу, ни к мейозу. Ярким примером и подтверждением тому служит процесс деления макронуклеуса (ядро клетки инфузории, крупное по размерам), во время которого сегрегация некоторых участков хромосом происходит, несмотря на то что веретено для деления не образуется.

Чем же обусловливается осложнение изучения процессов амитоза? Дело в том, что это явление сложно определить по его морфологическим признакам. Такое определение является ненадежным. Неспособность четко определить по знакам морфологии процесс амитоза основывается на том, что не всякая ядерная перетяжка является признаком самого амитоза. И даже гантелевидная ее форма, которая четко выражается в ядре, может относиться лишь к переходящему типу. Также перетяжки ядра могут быть следствием ошибок в явлении предшествующего деления митозом. Чаще всего амитоз происходит сразу после эндомитоза (способ удвоения хромосомного числа без деления как клетки, так и ее ядра). Обычно процесс амитоза приводит к удвоению Повторение данного явления создает клетку с множеством ядер. Таким образом, амитоз создает клетки с хромосомным набором полиплоидного типа.
Практическое применение митоза и амитоза
Митоз, осуществляемый в большинстве клеток организмов, является основным механизмом роста, развития и регенерации тканей. Он позволяет клеткам дочернего поколения получать генетически идентичную информацию и сохранять внутреннюю структуру и функции оригинальной клетки. Практическое применение митоза заключается в его использовании для исследования процессов клеточной дифференциации, восстановления поврежденных тканей и создания клеточных линий для медицинских экспериментов и производства биологических препаратов.
Амитоз — это альтернативный канал клеточного деления, характеризующийся отсутствием специфических фаз и организации клеточного вещества. Этот процесс обычно протекает быстрее, чем митоз, и служит для размножения микроорганизмов и некоторых простейших организмов. В медицине амитоз может быть использован для получения культурных суспензий клеток, клонирования растений и редких видов животных, а также для создания условий для их дальнейшего изучения.
Таким образом, понимание механизмов митоза и амитоза позволяет биологам и медикам решать различные вопросы, связанные с ростом, развитием и регенерацией клеток. Исследования в этой области могут привести к новым методам лечения различных заболеваний и созданию новых биологических материалов.
| Митоз | Амитоз |
|---|---|
| Основной процесс клеточного деления, обеспечивающий рост и развитие организмов | Альтернативный канал клеточного деления, характерный для некоторых простейших организмов и микроорганизмов |
| Генетически идентичное разделение клеток | Отсутствие специфических фаз и организации клеточного вещества |
| Применяется для исследования клеточной дифференциации, восстановления поврежденных тканей и создания клеточных линий для медицинских экспериментов и производства биологических препаратов | Используется для получения культурных суспензий клеток, клонирования растений и редких видов животных |
Механизм и примеры процесса
Амитоз изучен биологами недостаточно. Известно, что при делении ядерные оболочки умножаются. Из родительских клеток получается 2 новые структуры. Амитоз протекает в 2 фазах:
- Кариокинез. Получается ядро с непостоянным распределением ДНК.
- Цитокинез. Структура делится на 2 части, но с неравным числом органелл.
Амиотический процесс протекает в нескольких типах, включая равномерный, фрагментарный. В первом случае получается 2 одинаковых ядра, а во втором — образуется несколько ядрышек разного размера. Отдельно выделяется и неравномерный амиотический процесс, при котором появляется 2 разнокалиберных ядра. Чаще процесс наблюдается у клеток, которые отмирают.

Амитоз у человека передается по наследству, когда один из родителей болен. Ученые, которые исследуют этот процесс, считают, что деление наиболее простое. Отношения между кариоплазмой и цитоплазмой изменяются. Дополнительно увеличивается число многоядерных клеток. Амитоз имеет биологическое значение, так как он способствует быстрому восстановлению тканей, размножению эукариот и прокариот. Подобным способом делятся лейкоциты.
У бактерий нет ядра, поэтому амитоз протекает по другой схеме. Вначале удваивается ДНК, прикрепленная к мембране. На следующем этапе между новыми структурами появляется перетяжка. Она делит клетку на 2 части. Амитоз способствует образованию элементарных частиц, у которых неравная генетическая информация. После процесса они утрачивают способность деления митозом.
Биологическое значение амитоза
Некоторые учёные считают этот способ деления клеток примитивным, другие относят его к вторичным явлениям.
Амитоз по сравнению с митозом встречается значительно реже у многоклеточных организмов и может быть отнесён к неполноценному способу деления клеток, утративших способность к делению.
Биологическое значение процессов амитотического деления:
- процессы, обеспечивающие равномерное распределение материала каждой хромосомы между двумя клетками, отсутствуют;
- образование многоядерных клеток или увеличение количества клеток.
Определение 2
Амитоз
– это своеобразный тип деления, который иногда можно наблюдать при нормальной жизнедеятельности клетки, а в большинстве случаев, когда функции нарушаются: влияние излучения или действие других вредных факторов.
Амитоз свойствен высокодифференцированным клеткам. В сравнении с митозом он встречается реже и играет второстепенную роль в клеточном делении большинства живых организмов.
Амитоз (прямое деление клетки), происходит в соматических клетках эукариот реже, чем митоз. В большинстве случаев амитоз наблюдается в клетках со сниженной митотической активностью: это стареющие или патологически измененные клетки, часто обреченные на гибель (клетки зародышевых оболочек млекопитающих, опухолевые клетки и др.). При амитозе морфологически сохраняется интерфазное состояние ядра, хорошо видны ядрышко и ядерная оболочка. Репликация ДНК отсутствует. Спирализация хроматина не происходит, хромосомы не выявляются. Клетка сохраняет свойственную ей функциональную активность, которая почти полностью исчезает при митозе. При амитозе делится только ядро, причем без образования веретена деления, поэтому наследственный материал распределяется случайным образом. Отсутствие цитокинеза приводит к образованию двуядерных клеток, которые в дальнейшем не способны вступать в нормальный митотический цикл. При повторных амитозах могут образовываться многоядерные клетки.
35. Проблемы клеточной пролиферации в медицине
.
Основной способ деления тканевых клеток – это митоз. По мере увеличения числа клеток возникают клеточные группы, или популяции, объединенные общностью локализации в составе зародышевых листков (эмбриональных зачатков) и обладающие сходными гистогенетическими потенциями. Клеточный цикл регулируется многочисленными вне- и внутриклеточными механизмами. К внеклеточным относятся влияния на клетку цитокинов, факторов роста, гормональных и нейрогенных стимулов. Роль внутриклеточных регуляторов играют специфические белки цитоплазмы. В течение каждого клеточного цикла существуют несколько критических точек, соответствующих переходу клетки из одного периода цикла в другой. При нарушении внутренней системы контроля клетка под влиянием собственных факторов регуляции элиминируется апоптозом, либо на некоторое время задерживается в одном из периодов цикла.
36. Биологическая роль и общая характеристика прогенеза
.
Процесс созревания половых клеток до достижения организмом взрослого состояния; в частности, Прогенез всегда сопровождает неотению. Зрелые половые клетки, в отличие от соматических, содержат одиночный (гаплоидный) набор хромосом. Все хромосомы гаметы, за исключением одной половой, называются аутосомами. В мужских половых клетках у млекопитающих содержатся половые хромосомы либо X, либо Y, в женских половых клетках – только хромосома Х, Дифференцированные гаметы обладают невысоким уровнем метаболизма и неспособны к размножению.Прогенез включает в себя сперматогенез и овогенез.
Амитоз кратко
В процессе деления происходит расщепление клеточного ядра. В процессе амитоза клеточное ядро постепенно удлиняется, после чего оно приобретает ганглии. Размер сужения постоянно увеличивается, приводя в конечном итоге к делению ядра на два самостоятельных, завершается процесс сужением цитоплазмы, делящей клетку на две примерно одинаковые части. Две дочерние клетки образуются без возникновения клеточных событий, благодаря чему происходит увеличение клетки в объеме. Ядро расширяется, образуя структуру по форме напоминающую песочные часы.
На средней части мембраны образуются сужения. Которые постепенно углубляются, разделяя ядро на два дочерних. Инвагинация перемещается внутрь клетки. После чего, родительская ячейка делится на две (равные по размеру).
Амитоз характерен для здоровых клеток, не имеющих патологий. Но чаще он встречается у высокодифференцированных, старых клеток. А также, амитоз может встречаться у низкоуровневых организмов. Недостатком данного процесса является – отсутствие возможности генетической рекомбинации, что провоцирует возможность появления поврежденных генов.
Не нашли ответ?
Просто напиши,с чем тебе нужна помощь
Мне нужна помощь
Чем митоз разнится от амитоза?
Репродукция клеток в человеческом организме может происходить путем митоза (непрямое дробление) и амитоза (прямое дробление).
Митоза (от греч.
Mitos – нить) – это разграничение эукариотических клеток, из-за которого появляются 2 дочерние клетки с подобным же набором хромосом, и в материнской клетки. Митоз в клеточном цикле происходит после интерфазы, во время которой клетка растет, синтезирует органические соединения, удваивает наследственную информацию, запасает энергию и готовится к митоза.
Митоз условно делят на 4 фазы: профазу, метафазу, анафазу и телофазу.
Профаза – фаза конденсации хромосом.
Ключевыми процессами профазы считаются:
- конденсация (уплотнения) двохроматидних хромосом;
- различия центриолей к полюсам;
- пропадание ядрышки;
- распад ядерной оболочки;
- формирование веретена деления.
Метафаза – фаза расположения хромосом на экваторе клетки. Встречается прикрепления коротких нитей веретена деления к центромер и расположение двохроматидних хромосом на экваторе клетки в один ряд.
Анафаза – фаза расхождения хромосом.
Сравнение митоза и мейоза (видео 5)| Деление Клетки | Биология
В анафазе происходят сокращения нитей веретена деления и различия однохроматидних хромосом к полюсам.
Телофаза – фаза деконденсация хромосом.
Это как бы «профаза наоборот», в которой происходят:
- деконденсация однохроматидних хромосом;
- расположение центриолей у ядра;
- формирование ядрышек;
- образование ядерной оболочки;
- разрушение веретена деления.
Биологическая роль митоза состоит в точном воспроизведении клеток, обеспечении одинакового распределения хромосом материнской клетки между 2-мя дочерними клетками и поддержании постоянства кариотипа. Митоз служит основой роста, регенерации и бесполого размножения организмов.
Амитоз – это прямое дробление клеток, происходит делением ядра, без репликации ДНК и конденсации хромосом и без образования веретена деления. Он свойствен высокоспециализированным клеткам (нейронам, хондроцитам, лейкоцитам крови, клеткам эндотелия сосудов кровообращения), клеткам опухолей, стареющим клеткам или клеткам, обреченным на погибель (к примеру, клеткам зародышевых оболочек млекопитающих).
Амитоз сопровождается делением клетки с образованием 2-ух клеток с приблизительно одинаковой наследственной информацией, а может ограничиваться разделением ядра без деления цитоплазмы, приводит к появлению 2-ух и многоядерных клеток. Амитоз сравнению с митозом происходит реже и играет второстепенную роль в клеточном делении организмов, потому как клетки после амитоза берегут практичную активность, делиться уже не могут.
Биологическая роль амитоза – это быстрое пополнение клеточных популяций в процессе репаративной регенерации.
Итак, митоз считается главным способом репродукции эукариотических клеток тела, определяет рост, физиологическую восстановление и бесполое размножение эукариот; амитоз – происходит реже и обеспечивает репаративной регенерации.
Амитоз биологическое значение
Значение амитоза
Для амитоза характерно деление клеточного ядра и содержимого клетки на две равных части – без структурных изменений.
Заметим, что клеточное ядро делится на два равных части, без предшествующего растворения оболочки ядра. Также, в клетке отсутствует веретено деления.
По завершению процесса происходит деление протопласта и всей массы клетки на две равных части, но в случае, деления ядра на равные части, образуются новые многоядерные клеточные структуры. В процессе деления не происходит распределение клеточного вещества между ядрами.
Долгое время считалось, что амитоз – это патологический процесс, присущий только пораженным клеткам. Однако новейшие научные исследования не подтвердили данной точки зрения. Учеными доказано, что процесс амитоза чаще встречается в молодых клетках, не имеющих дефектов в развитии. Данный тип деления присущ водорослям, луку, традесканции. Помимо этого, он встречается в клетках, отличающихся высокой метаболической активностью.
Однако, данный тип деления не характерен для клеток, биологическая функция которых сводится к наиболее безопасному хранению и передаче генетической информации. К примеру, в половых клетках или клетках зародышей. Благодаря чему, амитоз не считается полноценным способом клеточного размножения.
Особенности
Амитоз – наиболее простой процесс, чем митоз или мейоз. Амитоз у эукариотов встречается довольно редко и более свойственен прокариотам. Это более быстрый и экономичный процесс, чем митоз. Наблюдается при стремительном восстановлении тканей. Амитозом делятся стареющие клетки и клетки ткани, которые в дальнейшем не будут делиться митотическим способом. Чаще всего это группа клеток, выполняющая строго определённые функции.
Амитоз наблюдается:
- при увеличении корневого чехлика;
- в клетках эпителия;
- при росте лука;
- в рыхлой соединительной ткани;
- в хрящевой ткани;
- в мускулатуре;
- в клетках зародышевых оболочек;
- при увеличении тканей водорослей;
- в клетках эндосперма.
Основные особенности амитоза, по сравнению с митозом:
- не сопровождается перестройкой всей клетки;
- отсутствует веретено деления;
- не происходит спирализация хроматина;
- не выявляются хромосомы;
- отсутствие репликации (удвоения) ДНК;
- генетический материал распределяется неравномерно;
- образовавшаяся клетка не способна к митозу.

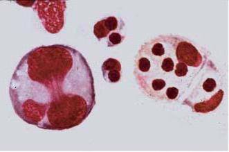
Рис. 1. Митоз и амитоз.
Амитоз может происходить в опухолевых тканях. При неравномерном распределении генетического материала образуются дефектные эукариотические клетки с нарушенными внутриклеточными процессами.
Процесс амитоза
Амитоз не включает в себя множество ядерных событий. Он включает простое массовое деление уже существующей клетки через центральное сужение клетки. Личности, образующиеся после деления родительской клетки, называются дочерними или зарождающимися клетками, а делящаяся клетка называется родительской или предсуществующей клеткой.
Фазы процесса амитоза:
- Элонгация ядра родительской клетки: ядро родительской клетки удлиняется.
- Удлиненные ядра имеют вид гантели из-за накопления ядерного материала на обоих концах.
- Репликация ДНК: ДНК формирует свою копию путем репликации внутри ядра. В результате ДНК удваивается.
- Кариокинез: ядро разделяется на два ядра с неравным содержанием ДНК.
- Цитокинез: после отделения ядра цитоплазма начинает сжиматься центростремительно, образуя бороздоподобную структуру. Постепенное сужение цитоплазмы внутрь приводит к делению клетки.





























