Показания к установке
Врачи рекомендуют прибегнуть к помощи искусственных зубов из металла, керамики в следующих случаях:
- эстетический заметный дефект, возникший в результате изменения естественной формы или окраски зуба на фоне приёма различных медикаментов;
- обширные повреждения зубного ряда кариесом, невозможность пломбирования, протезирования облицовками, вкладками;
- неспецифические поражения твёрдых тканей зуба (аномалии эмали, флюороз);
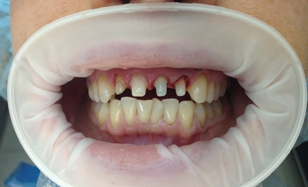
- частичная потеря зубов (1–4 единицы) в переднем или боковом отделе ряда;
- наличие в ротовой полости изживших себя несъемных протезов, которые нуждаются в немедленной замене;
- повышенное стирание зубов. Коронки ставятся для устранения уже имеющихся дефектов, предупреждения образования новых;
- наличие аллергической реакции у пациента на уже имеющийся протез;
- аномалии формы зубов (врожденные или полученные в результате механической травмы).
Металлокерамика
Весьма популярный и доступный вид протезирования. Основу металлокерамического протеза составляет металлический каркас, его покрывает керамическая паста. Это способствует прочности данного изделия, поэтому его рекомендовано фиксировать на места жевательных зубов (из-за способности выдерживать повышенные нагрузки и отсутствие деформации).
ЧИТАЕМ ПОДРОБНО: как устанавливаются керамические и металлокерамические коронки на передние зубы?
Наиболее частые случаи установки протезов из металлокерамики:
- если зуб в большей степени разрушен;
- если устанавливаются мостовидные протезы;
- если имеются штифты;
- для исправления дефекта жевательного отдела.
Производство и установка

Металлокерамические протезы моделируются и изготавливаются по зубным слепкам. До завершения процесса изготовления на зубы устанавливаются временные коронки для защиты и лучшего визуального эффекта. Для создания изделий используется кобальтохромовый, никель-хромовый сплав или драгоценные металлы (золото, платина, палладий). После примерки каркаса наносят керамическое покрытие. Керамику наносят на каркас ручным послойным способом с обжиганием всех слоев в печи. В завершающей стадии наносится глазурь.
Перед установкой металлокерамических протезов также нужно провести лечебно-профилактические процедуры. Ключевой момент – это препарирование — обточка зуба. В заключении выполняется установка протезов на стоматологический цемент.
Уход
Особых требований по уходу за металлокерамическими изделиями в большинстве случаев не назначается.
Специалистами рекомендовано соблюдать обычную гигиену ротовой полости и не допускать разгрызания твердых продуктов, таких как орехи, семечки, сухари, козинаки.
Стоимость
На стоимость металлокерамических коронок оказывает влияние выбор материала и изготовителя. Изделия могут обойтись потребителю в сумму от 4 000 рублей, а при использовании драгоценного металла – от 17 000 рублей.
Показания к установке металлокерамики

Коронки и мостовидные протезы из металлокерамики стоматологи устанавливают при функциональной, анатомической или эстетической неполноценности родных зубов.
В числе основных показаний к применению принадлежат:
- разрушения природных коронок вследствие кариозных процессов или травматических факторов, при которых восстановление вкладками или пломбами является невозможным;
- повышенная стираемость зубной эмали;
- отклонения в развитии или неправильное положение передних зубов и другие методики не обеспечивают должного эффекта при устранении таких аномалий;
- клиновидные дефекты зубов в области улыбки и флюороз;
- изменения цвета зубной эмали и невозможность достичь белизны технологиями отбеливания;
- отсутствие в зубном ряду одной и больше единиц;
- несоответствие уже имеющихся ортопедических конструкций в плане функционала и эстетики.
В некоторых случаях изделия из металлокерамики применяются при пародонтите легкой и средней степеней в качестве шинирующих конструкций.
Часто задаваемые вопросы о выборе зубных коронок
Какие зубные коронки самые лучшие – с напылением или без него?
За счет золотого напыления коронки получают дополнительные антисептические и прочностные свойства, но такие модели будут выделяться на фоне натуральных зубов из-за глянцевого блеска и характерного для золота оттенка. Да и цена на них значительно выше.
Учитывая, что сейчас более важным является воссоздание эстетики улыбки, то лучше отдавать предпочтение конструкциям без напыления, которые будут выглядеть максимально естественно.
Что лучше: установить коронку или вылечить и запломбировать разрушенный зуб?
Ставить пломбу рекомендуется в том случае, если зуб разрушен не более чем на 1/3 часть. Если повреждения серьезнее и отсутствует нерв, то пломба не поможет вернуть герметичность и целостность единицы, а значит, под ней может легко развиться кариес. То есть при очень сильном разрушении зуба и депульпации оптимальным вариантом реставрации станет протезирование.
Каким образом проводится установка коронки?
- Процедура включает в себя несколько этапов. Сначала зуб подготавливается, обтачивается в зависимости от параметров выбранной коронки, при необходимости изготавливается культевая вкладка (для этого нужно с уже подготовленной единицы снять слепок). После проведения всех этих мероприятий врач снимает слепок уже для изготовления протеза и на время фиксирует временную конструкцию на препарированный зуб.
- Далее следует этап ожидания изготовления коронки по индивидуальному слепку, ее примерка и, если нужно, подгонка.
- Итоговая примерка протеза и его фиксация при помощи специального медицинского цемента.
Какой цемент для зубных коронок лучше?
В большинстве случаев сегодня стоматологи используют для фиксации протезов композитные цементы, которые обеспечивают надежное краевое прилегание, устойчивы к повышенной влажности в полости зуба, удобны в применении, гипоаллергенны и не деформируются в процессе носки коронок. Недостатками можно считать увеличение рисков появления чрезмерной чувствительности и обязательное использование прокладок для защиты пульпы.

Основываясь на всем вышесказанном, скажем, что протезирование является действительно хорошим выходом из ситуации, когда зуб существенно поврежден. Коронки дают возможность не только вернуть функциональность и эстетичный внешний вид зубному ряду, но и защитить единицы от продолжения процесса разрушения. К тому же врач совместно с пациентом могут выбрать наиболее подходящие материалы и тем самым регулировать цену услуг.
Какой клей используется при протезировании?
Если вдруг вы случайно повредили протез, то в Интернете многие рекомендуют воспользоваться суперклеем. Но стоматологи не советуют так делать из-за наличия в составе вредных веществ. Конечно, лучше сразу же посетить своего лечащего врача, который проведет ремонт коронки.
Получается, что однозначно сказать, какие зубные коронки лучше, нельзя. Все они имеют свои достоинства и недостатки. Выбор будет зависеть от индивидуальных особенностей пациента, его пожеланий и проведенной врачом диагностики.
ПОЗВОНИТЬ БЕСПЛАТНО
Материал основан на исследованиях:
- Жан-Франсуа Руле Гвидо Ванхерле. Адгезивные технологии в эстетической стоматологии
- Шиллинбург. Якоби. Бракетт. Основы препарирования зубов. Для изготовления литых металлических, металлокерамических и керамических реставраций
- Наоши Шито. Хирургия пародонта. Клинический атлас

Этапы протезирования металлокерамикой
Любые разновидности зубных коронок устанавливаются поэтапно и металлокерамические изделия не являются исключением
Важно не только качественно установить протезы, но также правильно выполнить подготовку к протезированию
Терапевтический этап
От правильности терапевтических процедур напрямую зависят качественные характеристики протезирования. Сущность подготовительной терапии состоит в следующем:
- диагностические мероприятия. Выполняется рентгеновский снимок, по которому стоматолог определяет фактическое состояние корневого канала, наличие или отсутствие в нем воспалительных процессов;
- если обнаружены какие-либо нарушения, то обязательным является эндодонтическое лечение с последующей пломбировкой каналов. В некоторых случаях полное депульпирование не требуется и под коронкой зубы остаются «живыми»;
- если больше половины коронковой части разрушено, то врач устанавливает культевую вкладку. Она необходима для более прочной фиксации будущей коронки.
На период выполнения конструкции из металлокерамики на место дефекта при необходимости устанавливается пластмассовая временная коронка.

Подготовка зуба к протезированию
Этот этап состоит из следующих процедур:
- когда пролечены и запломбированы корневые каналы врач приступает к обтачиванию эмали на соответствующую протезу толщину. В среднем необходимо снять 1,5-2,0 мм родной эмали;
- выполняются слепки с применением силиконовой массы и передаются зуботехникам;
- в мастерской вначале изготавливается каркас и после примерки конструкция доводится до эстетического совершенства.
Цвет для окрашивания керамического покрытия выбирается таким, чтобы он полностью соответствовал оттенку зубов пациента.
Установка коронки
Выполненный в зубопротезной лаборатории протез устанавливается в ротовую полость пациенту и фиксируется временным цементным составом. Это необходимо для того, чтобы пациент понял действительно ли комфортным будет для него ношение коронки. Если в течение нескольких месяцев никаких неудобств пациент не наблюдает, то протез фиксируется постоянной смесью. Когда имеются жалобы на дискомфорт или болезненность, коронка отправляется на коррекцию.
Металлокерамические коронки
Основа металлокерамических коронок чаще всего выполнена из сплава кобальта и хрома, либо никеля и хрома. Реже используют сплавы благородных металлов (золота, платины, палладия в разных пропорциях). Именно металлический каркас обеспечивает прочность конструкции. Внешняя часть протеза облицована керамической массой, по цвету похожей на природную эмаль.
Керамика наносится послойно, после каждого слоя изделие обжигают в специальной печи при высокой температуре. После обжига конструкция становится прочной и функциональной.
Из-за присутствия металла коронки непрозрачные, поэтому при определенном освещении могут выделяться на фоне остальных зубов. Их не рекомендуется ставить на передние зубы. Металлокерамика чаще используется для протезирования жевательных зубных единиц.
Преимущества:
- Высокая прочность. Благодаря литому металлическому каркасу, выдерживают сильные нагрузки, устойчивы к износу и истиранию.
- Доступная цена.
- Приемлемая эстетика.
- Долговечность.
Недостатки:
- Аллергические реакции на металл. Некоторые пациенты жалуются на жжение и металлический привкус во рту, повышенное слюноотделение, покраснение и отечность слизистой, однако, так как применяемые сплавы гипоаллергенные, такие симптомы встречаются редко.
- Стенки коронок имеют большую толщину, поэтому приходится стачивать примерно 2 мм зубных тканей – чаще всего это ведет к депульпированию зуба. При длительном взаимодействии протеза с десной окисляются мягкие ткани. Десна становится синюшной, корневая часть зуба оголяется. Особенно эта проблема актуальна, если речь идет о протезировании фронтальных зубов. Из-за того, что коронки выполнены из неоднородного материала, становится выше вероятность сколов (т.е. скалывается покрытие из керамики).
- Эстетика хуже, чем у керамики.
- Металлокерамические коронки с каркасом из драгоценных металлов гипоаллергенны, не вызывают отторжения и выглядят более естественно. Но цена их будет на порядок выше.
Однако современные, прогрессивные клиники в большинстве случаев не используют металлокерамику, так как разница в цене не большая, а вот преимущества, которые получаются за небольшую доплату – очень значимые.
Коронки закрепляют на зуб стеклоиономерным или композитным цементом. Если зубная единица сильно разрушена, то сначала устанавливают металлическую вкладку, служащую надежным каркасом для протеза, либо делают так называемый билдап: восстанавливают зуб композитом.
Срок службы металлокерамических коронок – до 10 лет и выше. В будущем цемент, на котором держится конструкция, начинает терять свою целостность из-за воздействия слюны и других обстоятельств. Если конструкцию не снять вовремя, то может появиться вторичный кариес на стыке коронки и зубной единицы. Как и другие коронки, металлокерамические изделия могут опираться на зуб или на имплант.
Особых требований по уходу за металлокерамическими протезами нет. Достаточно обычной гигиены ротовой полости и регулярных (раз в несколько месяцев) посещений стоматолога.
Этапы создания
Как уже отмечалось, чаще всего безметалловые коронки изготавливают из дисиликатлитиевой керамики. В зависимости от формы исходного материала и наличия оборудования, применяются две технологии – прессование и фрезерование.
Первая методика представляет собой изготовление восковой модели изделия, ее запаковку и заполнение керамической расплавленной массой полости, образовавшейся после расплавления воска.
Фрезерование предусматривает вытачивание на фрезерном станке по цифровой модели, построенной на основании данных внутриротового сканирования препарированного зуба или его гипсовой модели, изготовленной по слепкам.
Коронки из дисиликатлитиевой керамики могут изготавливаться обоими способами (прессованием и фрезерованием), конструкции из оксида циркония – только фрезерованием по технологии CAD/CAM.
Изготовление цельнокерамических конструкций способом прессования предусматривает следующие операции.
Клинический этап

- Обследование пациента и составление плана протезирования (оценка состояния зуба, выбор материала и конструкции микропротеза).
- Очистка зуба способом, зависящим от его состояния. Чаще обходятся пастой и щеточкой, в других случаях необходимы более эффективные технологии – ультразвуковая очистка или Air Flow.
- Определение цвета. Подбор нужного оттенка сопоставлением цветовых образцов с натуральными элементами пациента.
- Препарирование. Удаление тканей, подвергшихся кариозному процессу, а также слоя со всех сторон зуба.
Требуется соблюдение следующих параметров: с окклюзионной поверхности снимается не менее 1,5 мм, наклон стенок культи должен составлять 4-6°, придесневой уступ под нижний край коронки должен быть в пределах 0,8-1,2 мм.
- Снятие оттисков с препарированного зуба и антагонистов.
- Изготовление и установка временного пластмассового протеза. (проводится не всегда, в зависимости от клинической ситуации).
Лабораторный этап
- Изготовление по оттискам гипсовых моделей – рабочей и диагностической.
- Установка и проверка моделей в артикуляторе.
- Восковое моделирование коронки на гипсовой модели.
- Прессование конструкции (установка литников на восковую модель, запаковка, прессование в печи, распаковка, очистка готового изделия).
Финишные клинический и лабораторный этапы
- Припасовка готового изделия.
- Финишная доработка, коррекция цвета, глазуровочный обжиг.
- Фиксация на зуб с помощью адгезива (цемента).
В видео представлен процесс изготовления безметалловой коронки на зуб.
https://youtube.com/watch?v=Y5HMZbIzLYE
Что такое зубные коронки
Это искусственный зубной протез, который устанавливают на предварительно обработанную естественную коронку. Цель протезирования – восстановление анатомической формы, эстетического вида, а также жевательной функции. Коронки могут быть также частью какой-то другой ортопедической конструкции: опорой для неполного съемного или несъемного протеза, шинирования при расшатывании зубного ряда и т.д.
Коронки на зубах
Конструкция должна соответствовать определенным требованиям:
- восстанавливать анатомическую форму зуба, его эстетику и цвет;
- поддерживать жевательную и речевую функцию;
- хорошо прилегать к шейке разрушенного зуба, правильно контактировать с соседними единицами, а также с зубами на противоположной стороне, не создавая препятствие смыканию зубных рядов;
- не препятствовать двигательной активности нижней челюсти;
- не вызывать аллергических реакций и раздражения тканей.
Все конструкции данного вида имеют свои плюсы и минусы.
Плюсы
Из всех видов зубных протезов этот имеет ряд положительных качеств, в некоторых случаях дающих преимущества перед другими видами протезирования:
- быстрое восстановление внешнего вида и жевательной функции;
- большой выбор материала для протезирования;
- правильное распределение нагрузки, устраняющее риски стираемости рядом расположенных зубов и нарушения прикуса;
- предупреждение разрушения околозубных тканей и атрофии костной ткани челюсти;
- возможность установки сразу нескольких протезов;
- при частично разрушенном корне возможна установка протеза на штифт, при полном отсутствии корня – на имплантат (титановый корень).
Минусы
Отрицательные качества:
- необходимость обтачивания зуба, иногда здорового, если он выполняет опорную функцию;
- небольшой период дискомфорта после установки протеза; при правильном подборе материала и соблюдении технологий при установке – очень короткий;
- аллергические реакции на некоторые стоматологические материалы;
- возможные осложнения – сводятся к минимумы при правильном протезировании;
- высокая стоимость качественных материалов и недостаточно хороший внешний вид дешевых.
Материалы и состав
Металлокерамика – это материал, состоящий из металлического основания, обычно циркония или никеля, покрытого керамическим слоем. Обычная керамика, в свою очередь, состоит полностью из керамических материалов. Таким образом, основное отличие между металлокерамикой и обычной керамикой заключается в составе материалов.
Металлическое основание в металлокерамике имеет свои преимущества. Оно обеспечивает прочность и стабильность конструкции, а также способно выдерживать большие нагрузки и потери давления. Керамический слой на металлическом основании придает изделию эстетичность и приближает его внешний вид к натуральным зубам.
Керамический слой металлокерамики обладает высокими эстетическими свойствами. Такой слой может имитировать естественный цвет и форму зуба, что позволяет достичь естественного и непринужденного вида. Кроме того, керамический слой обладает высокой стойкостью к зацеплениям и стойкостью к истиранию, что делает подобные изделия более долговечными.
Также следует отметить, что металлокерамика обеспечивает возможность адаптировать конструкцию к анатомическим особенностям и функциональной нагрузке зубов. Керамический слой можно полностью или частично покрыть цирконием, что придает конструкции дополнительную прочность и устойчивость.
В итоге, металлокерамические конструкции являются универсальным решением, сочетая в себе прочность металла и эстетичность керамики. Они могут использоваться для создания протезов различной степени сложности и придания натурального вида зубам.
Металлокерамика — прочная и сравнительно недорогая
Металлокерамические коронки делают из металлического основания с покрытием керамическим слоем. Они выглядят так же, как обычные зубы, идеально повторяют их форму, хорошо выдерживают жевательные нагрузки. Их цена ниже, если сравнивать с керамикой, но при этом у использования керамики есть несколько ограничений.
Эстетика. Металл может просвечивать под керамическим слоем. Это меняет оттенок коронки. Из-за этого добиться точного соответствия цвету соседних зубов довольно сложно. Еще одна проблема — небольшие различия в поглощении, отражении, преломлении света. Это может оказаться серьезным недостатком при протезировании резцов. В зоне улыбки металлокерамика может быть заметной. Поэтому ее нежелательно использовать для единиц, двоек или троек (особенно на верхней челюсти). Если улыбка широкая или мимика такая, что при смехе, разговоре, во время еды видна значительная часть зубного ряда, для протезирования в этой зоне нежелательно использовать керамические коронки.
Особенности установки. Для установки металлокерамической коронки понадобится серьезная обточка зуба. Это связано с использованием двух материалов (основания из металла и покрытия из керамики). Каждый из слоев имеет минимально допустимую толщину. Поэтому стенки искусственной коронки получаются сравнительно толстыми
Здесь важно учитывать, что протезирование часто выполняется для сильно разрушенных зубов, у которых объем собственных сохранившихся тканей невелик. Если культя в любом случае небольшая, выбор металлокерамики может быть оправданным
Это касается и имплантации (особенно на концах зубного ряда).
Ограничения, связанные с использованием металла. При протезировании, если коронка устанавливается на культю (вылеченный и обточенный зуб), нужно максимально плотное, качественное краевое прилегание на стыке металла с сохранившимися тканями. Любой зазор, неплотность, пора спровоцируют разрушение тканей зуба. У металла краевое прилегание всегда хуже, чем у керамики, и при протезировании это требует особенно тщательной работы врача
Также, если зуб был восстановлен металлокерамической коронкой, важно регулярно контролировать его состояние. Для этого желательно периодически (раз в год, два или по назначению врача) делать диагностические снимки
Из-за контакта с металлом десневой край со временем может становиться синюшным. Обычно это неопасно, но при широкой улыбке такой дефект может быть заметным. Кроме того, при использовании металла есть риск аллергии, окисления, гальванизма. Все это — редкие осложнения, и в норме протезирование металлокерамикой позволяет качественно восстанавливать зубы. Однако, если есть возможность выбора, керамика чаще всего оказывается более предпочтительной.
Преимущества и недостатки керамики и металлокерамики
Преимущества керамики:
- Естественный внешний вид: керамические зубы имеют прекрасную эстетику и непревзойденную перламутровую отражающую способность, что делает их практически неотличимыми от естественных зубов.
- Биологическое совместимость: керамические материалы хорошо переносятся организмом, не вызывая аллергических реакций или раздражений десен.
- Минимальная степень сужения десны: керамические коронки имеют точное прилегание к десне, что снижает риск возникновения запаха изо рта и воспалительных процессов.
- Стойкость к пигментации и пятнам: керамические материалы обладают высокой устойчивостью к пятнам от кофе, чая и других пигментированных напитков и продуктов.
Недостатки керамики:
- Хрупкость: керамические материалы могут быть хрупкими и подверженными разрушениям при сильных ударах или неправильном использовании.
- Требует больше времени на изготовление: процесс создания керамических конструкций может занять больше времени, так как требуется несколько этапов и точная подгонка.
- Высокая стоимость: керамические материалы могут быть более дорогими в сравнении с другими материалами.
Преимущества металлокерамики:
- Прочность и долговечность: металлическое основание металлокерамики обеспечивает высокую степень прочности и устойчивости к разрушениям.
- Удобство в обработке: металлокерамика легко крепится на зубы и позволяет проводить дополнительную обработку при необходимости.
- Более доступная стоимость: металлокерамика может быть более экономически выгодной вариантом.
Недостатки металлокерамики:
- Металлический оттенок: металлокерамические конструкции могут иметь металлический оттенок, который может быть нежелательным с эстетической точки зрения.
- Высокая теплопроводность: металлическая основа может приводить к повышенной теплопроводности, вызывая дискомфорт при контакте с горячими или холодными продуктами.
- Возможность аллергических реакций: некоторые люди могут быть аллергичны к компонентам металлокерамики, что вызывает дискомфорт и раздражение.
Когда дело доходит до выбора между керамикой и металлокерамикой, важно учитывать индивидуальные особенности пациента и требования к эстетическому внешнему виду. Советуйтесь со своим стоматологом, чтобы определить наиболее подходящий материал для вашей конкретной ситуации
Виды коронок
Для восстановления сильно разрушенных или полностью утерянных зубов стоматологи клиники «Березка» предлагают коронки на зубы «металлокерамика» в нескольких разновидностях.
Традиционные изделия
Для изготовления классических коронок применяются как правило сплавы их хрома и кобальта. Материалы недорогие, из них получаются весьма прочные основания. Но есть один нюанс – каркасная часть не полностью обрабатывается керамической массой, поэтому в месте соединения протеза с десной остается небольшой просвет. В результате металл соприкасается с мягкими тканями и на десне образуется некрасивый синюшный оттенок.
Если выполнить протез с плечевой массой, то можно избежать негативного эффекта. Такие конструкции полностью покрываются керамическим слоем, но стоимость изготовления обойдется дороже обычных.
Конструкции с каркасом из драгметаллов

Если использовать драгоценные металлы для выполнения каркасного основания, то такие конструкции получаются более эстетичными и прочными
Учитывая то, что самой важной частью конструкции является именно каркас, то для достижения максимального качества лучшим решением будет использовать для его изготовления благородные металлы
Коронки по компьютерным технологиям
При создании протезов данной методикой каркас выполняется не литьем, а с помощью специального фрезеровального станка. Такие конструкции отлично прилегают к поверхностям родных зубов, что существенно повышает их прочностные характеристики.
Компьютерное моделирование позволяет с максимальной точностью спроектировать конструкции для каждого клинического случая и достичь наивысших результатов надежности и эстетичности.
Срок службы коронки из керамики?
Длительность срока службы зависит от выбранного материала. Керамическая коронка прослужит 5-7, максимум 15 лет. Цирконий и прессованная керамика более прочные, их срок службы достигает 15-20 лет.
Значение имеет не только технология изготовления, но и установка протеза. Фиксируются все коронки на специальные цементы. За счет этого отсутствуют пустоты между зубом и коронкой, а сама конструкция надежно удерживается в полости рта. При соблюдении всех указаний прочность фиксации сохраняется значительно больше срока службы. При необходимости замены конструкции потребуется снятие коронки специальными инструментами.
Каркасы из диоксида циркония
Диоксид циркония – материал, который все чаще заменяет металлические сплавы для изготовления каркасов коронок, мостовидных протезов, абатментов. В медицине изначально использовался для изготовления суставных протезов, а с 1993 года нашел применение в стоматологической практике.
Стоматологические конструкции из диоксида циркония можно устанавливать и на фронтальные и на жевательные зубы. Благодаря способности пропускать свет, изделия очень сложно отличить от натуральных зубов при любом освещении.

Преимущества конструкций из диоксида циркония:
- Безопасность. Диоксид циркония по своим химическим и физическим свойствам близок к зубной ткани, кроме того, он является гипоаллергенным. За все время использования материала в медицине не зарегистрировано ни одного случая аллергической реакции. Такие свойства диоксида циркония делают его почти единственным вариантом для лечения пациентов с аллергией на металлы;
- Прочность и долговечность. Каркасы из диоксида циркония почти не уступают прочности металлическим. Диоксид циркония, в отличие от металла, не деформируется со временем;
- Небольшая толщина (всего 0,4 мм). Это дает возможность стоматологу сохранять больше собственной костной зубной ткани пациента при препарировании зубов под протезы, при этом конструкция получается более легкой;
- Низкая теплопроводность. Каркас из диоксида циркония – хороший теплоизолятор, который защищает пульпу зуба от перепада температур. Это свойство циркониевого каркаса позволяет сохранять зубы под коронками «живыми»;
- Технология изготовления протезов из диоксида циркония отличается от технологии создания изделий из металлокерамики. Каркас для протеза выполняется после 3D оцифровки зубного ряда пациента, с помощью компьютерных программ задаются параметры стоматологической конструкции, рассчитанная конструкция передается на фрезерный станок для вытачивания каркаса из циркониевой заготовки. Технология позволяет с высокой точностью учесть малейшие детали зуба, а допустимый зазор между протезом и зубом снижается с 100-300 мкм до 30 мкм. Это означает, что контакт между зубом и коронкой будет максимально точным, это снижает риск разрушения зуба под конструкцией.
Диоксид циркония – отличный материал для изготовления эффективных, безопасных и красивых стоматологических протезов.
Цельнокерамические (безметалловые) коронки E-max
Данные протезы называются цельнокерамическими, так как они вытачиваются из стеклокерамических заготовок и не имеют металлического каркаса. Стеклокерамика – это уникальный материал, его основой является дисиликат лития. Он обладает хорошей светопроницаемостью и большим запасом прочности. Каждый протез изготавливается с использованием технологии компьютерного моделирования CAD/CAM по заранее снятым индивидуальным слепкам. Это позволяет достичь идеального прилегания протеза к краю десны, а значит, туда не попадут частички пищи и не проникнет инфекция.
Преимущества цельнокерамических коронок E-max
- Высокая биосовместимость с живыми тканями зуба и пародонта.
- Низкая вероятность развития аллергической реакции.
- Коронки обладают высокой износостойкостью и хорошо выдерживают значительные физические нагрузки.
- Не требуется сильно обтачивать зуб перед протезированием.
- Легкая и прочная конструкция обеспечивает длительный срок службы протеза — примерно 15-25 лет.
- Цельнокерамические коронки имеют невероятно гладкую поверхность, поэтому на них не скапливаются налет и отложения зубного камня.
- Безметалловые коронки отличаются превосходными эстетическими качествами. По своей светопроницаемости они очень близки к естественным зубам. Богатая палитра позволяет стоматологу точно подобрать нужный оттенок протеза. Отличить, где настоящий зуб, а где искусственный, неспециалисту практически невозможно.
- Коронки надолго сохраняют первоначальный цвет.
- Подходят для протезирования с помощью имплантов.
К минусам безметалловых коронок, как правило, относят их высокую стоимость и трудоемкость процесса изготовления и установки. Цельнокерамические коронки не рекомендуются, если во время их фиксации невозможно обеспечить оптимальный уровень сухости в ротовой полости, иначе клеевой шов может в будущем утратить необходимую герметичность. В этом случае целесообразно поставить металлокерамические протезы, ведь состав для их фиксации не боится влаги.
Возможные осложнения
Зависят от того, как ставят коронку на зуб. При соблюдении всех показаний и противопоказаний к протезированию, правильном выборе стоматологического материала, методики протезирования, качественном выполнении всех работ, осложнений, как правило, не бывает или они сводятся к минимуму. Иногда причиной осложнений являются индивидуальные особенности организма пациента.
Боль под коронкой
После лечения и протезирования некоторое время (1 – 5 дней) может держаться умеренная, снижающаяся по интенсивности боль. Но если зуб под коронкой болит, и боль не уменьшается, а нарастает, появился отек тканей, из десен выделяется гной или повышается температура, нужно немедленно обращаться к врачу – это признак воспалительного процесса. Причиной воспаления может быть не полностью вылеченный кариес, не полностью удаленная пульпа из корневых каналов. Еще одна причина – нарушения при установке протеза, его неплотное прилегание к остаткам естественной коронки и попадание под нее инфекции.
Болит под протезом с иррадиацией в челюсть также при прободении корневого канала штифтом или при отломе небольшой части инструмента, используемого для чистки корневого канала. Что делать: не стоит пытаться лечить больной зуб самостоятельно, здесь требуется срочная помощь стоматолога. Обычно коронку снимают, лечат патологический процесс, а затем проводят повторную установку коронки (новой или прежней, если она не разрушена). Иногда патологию можно устранить, не снимая коронку, просто просверлив в ней дырочку. Отверстие затем устраняется с помощью пломбировочных фотоотверждаемых материалов.
Если зубная боль под коронкой очень сильная, до того, как обратиться за медицинской помощью, можно принять обезболивающее: таблетку Парацетамола 500 мг, Кеторола 10 мг или Найза 100 мг.
Неприятный запах
Говорит о присутствии во рту инфекции. Это может быть вялотекущий воспалительный процесс, а может – острый, тогда зубик еще и болит. Причиной неприятного запаха от зуба под коронкой может быть также недостаточная гигиена полости рта, курение и употребление большого количества сладостей. Что делать: обратиться к врачу, этот симптом можно устранить только в кабинете стоматолога.
Аллергия
Аллергические реакции чаще всего связаны с установкой коронок из недрагоценных сплавов металла и пластмассы (акрила). Появляется покраснение и отек десен, боль. Аллергический процесс опасен тем, что может быстро распространяться на окружающие ткани. При этом отекают ткани гортани, нарушается дыхание (отек Квинке). Что делать: срочно обращаться к стоматологу. Помощь заключается в замене протеза, вызвавшего аллергию на конструкцию из другого материала. Дома пациент может принять таблетку любого антигистаминного средства: Зодак, Кларитин, Тавегил и др.
Кариес
Причиной развития кариеса зуба под коронкой чаще всего является не полностью вылеченный первичный кариес. Но иногда даже после тщательного лечения кариес развивается повторно (вторичный кариес). Особенно часто это бывает при неплотно прилегающей коронке (под нее попадает инфекция), несоблюдении гигиены полости рта, употреблении большого количества легкоусвояемых углеводов. Что делать: как можно раньше обратиться к стоматологу. Изделие снимают, лечат кариес, затем устанавливают конструкцию заново. Если она износилась, устанавливают новую.
Протезный стоматит
Появление болезненных язвочек на деснах в области протезирования, распространение их на слизистую полости рта во многом зависит от того, как ставят коронку на зуб. Протезный стоматит является следствием неправильной конструкции или установки коронки, сдавливания ей мелких кровеносных сосудов десны, приводящего к нарушению питания, разрушению слизистой. Иногда причиной стоматита является токсическое действие стоматологического материала (акрила) на ткани ротовой полости. Если к воспалению присоединяется инфекция, стоматит может иметь гнойный характер. Что делать: обратиться к стоматологу, выяснить и устранить причину осложнения.



























