Клиническая картина
Симптоматика при опухолях яичника зависит от размера кистомы, степени компрессии окружающих органов, наличия осложнений. Небольшие новообразования нередко никак себя не проявляют и выявляются лишь при гинекологическом осмотре и обследовании
При этом важно понимать, что склонность к малигнизации не зависит от размера кистомы. И даже небольшая опухоль может быть потенциально опасна, если ее клетки активно пролиферируют
Кистомы могут давать о себе знать болевым синдромом разной степени выраженности. Женщина может ощущать дискомфорт внизу живота при интимной близости, во время дефекации. Нередко боли носят постоянный ноющий и тянущий характер, локализуются в области матки и отдают в пах или поясницу. Они могут усиливаться при физической нагрузке, после прыжков, бега и быстрой ходьбы.
Женщину может беспокоить ощущение вздутия и распирания. А кистома яичника больших размеров приводит к видимому увеличению живота и может стать причиной прибавки веса. Иногда быстрый рост опухоли даже внешне имитирует беременность. Увеличение живота может быть обусловлено не только значительным объемом кистомы, но и сопутствующим асцитом – накоплением жидкости в брюшной полости.
По мере своего роста опухоль начинает оттеснять и сдавливать соседние органы. При воздействии на мочевой пузырь возникает дизурия с частыми позывами на мочеиспускание, а давление на толстый кишечник приводит к запорам. Возможно затруднение оттока по системе нижней полой вены, что сопровождается отеками ног и провоцирует развитие варикоза ног и половых органов. Нарушение проходимости маточной трубы приводит к гидросальпинксу.
Кистома нередко приводит к нарушениям овариально-менструального цикла и бесплодию у женщин репродуктивного возраста. Новообразование может быть первично выявлено именно на этапе обследования при подготовке к беременности.
Кистома яичников: причины, удаление, профилактика и прогноз
Внутри также выстлана эпителием, заполнена жидкостью или желеобразной субстанцией. Может состоять из нескольких камер. Стенки образуются из клеток, склонных к быстрому росту. Поэтому кистома в короткие временные промежутки увеличивается в своих размерах.
С яичником образование связано ножкой, состоящей их связок яичника, маточной артерии, лимфатических, венозных сосудов и нервов. Благодаря этой особенности образование очень подвижно, но при перекручивании могут появиться неприятные последствия – нарушение кровоснабжения и апоплексия тканей.
По виду кистомы бывают доброкачественными, малигнизированными, пограничными.
Различаются и по внутреннему содержимому. Серозный вид заполнены жидкостью соломенного цвета. Обычно они однокамерные, но их размеры могут быть больше 30 см в диаметре.
Их чаще обнаруживают у женщин старше 40 лет, у 10-15% он становятся злокачественными.
Клерсфельд Борис Владимирович
2009-2017, Медицинский портал Приморского края ВладМедицина .ру”
Электронное периодическое издание: Владмедицина.ру медицинский портал Приморского края
Приморский край, г. Владивосток, ул. Хабаровская, 12. Главный редактор: Мосолов К.В. тел. +7 292-31-27,
Все права защищены. При полном или частичном копировании информации с данного ресурса ссылка на сайт обязательна.
Информация, приведенная на сайте, имеет характер общей информации и не может заменить реальную консультацию врача.
Имеются противопоказания. Обязательно проконсультируйтесь со специалистом!
Признаки беременности
Первые признаки беременности могут появиться еще в момент имплантации, примерно за неделю до начала предполагаемых месячных. Женщина может почувствовать незначительные покалывания в области матки. Редким специфическим признаком имплантации являются кровянистые выделения. Они возникают в результате повреждения кровеносных сосудов при внедрении эмбриона в матку. После этого процесса гормональный фон женщины начинается меняться за счет увеличения уровня прогестерона. Это приводит к возникновению следующих симптомов:
- тошнота и рвота;
- эмоциональные перепады;
- тяжесть в груди;
- потягивания в матке и яичнике, из которого вышла яйцеклетка;
- снижение работоспособности;
- развитие молочницы;
- частые позывы к мочеиспусканию;
- мигрени и головокружение;
- одышка.

Размеры кистомы яичника
Знакомясь со случаями диагностирования рассматриваемого заболевания, бросается в глаза, что кистома яичника, размеры которой диагностируются от нескольких миллиметров до 10 – 15 см, может разрастаться и представлять достаточно внушительные размеры. Данная патология преимущественно наблюдают у женщин старше 30 лет. Это заболевание гораздо реже встречается у представительниц слабого пола, которые уже перешли рубеж в 60 лет.
Большая кистома яичника
Как только сложились условия, которые запустили механизм разрастания патологических новообразований, размеры опухоли начинают стремительно увеличиваться. Проходит не так много времени, и на экране компьютера, при прохождении женщиной ультразвукового обследования, узист может наблюдать хорошо различимую капсулу, с содержимым меньшей плотности, чем ее оболочка. Если раньше опытный гинеколог мог, используя методику пальпации, констатировать, что определяется большая кистома яичника, то современное медицинское оборудование дает возможность диагностировать данное заболевание еще в зародыше, когда развитие капсулы только начинается и имеет небольшой размер.
Одной из отличительных характеристик рассматриваемой патологии является быстрый пролиферативный рост сформировавшегося новообразования. Проходит совсем немного времени и данная капсула, при очередном исследовании, может показать размеры в 10 – 15 см. Но, наверное, любому гинекологу хотя бы раз в своей практике пришлось сталкиваться с особой патологией, когда была диагностирована кистома яичников больших размеров. И это не единичные случаи.
Человек от природы ленив и начинает предпринимать ответные меры только тогда, когда неприятная дискомфортная симптоматика начинает донимать его достаточно сильно. А если эта характерная особенность накладывается еще и на русское «авось пронесет», то доктору порой приходится наблюдать кистомы, достигшие диаметра 30 см. Представив шар таких размеров, неподготовленный человек способен испытать настоящий шок.
Но проблема таких новообразований не только в их ужасающем размере, но и в том, что чем больше времени оно растет, тем больше вероятности того, что рано или поздно оно малигнизируется в раковую опухоль. Но проблема не только в риске перерождения, кистома яичников больших размеров занимает все больше и больше места внутри организма женщины. Это приводит к тому, что новообразование начинает своим весом давить на соседние органы. Поэтому клиническая картина кистомы яичника с большими размерными характеристиками обычно сопровождается и симптоматикой, говорящей о сбоях в функционировании, например, таких органов как кишечник, желудок или мочевой пузырь, страдают и женские половые органы, а так же сосудистая система.
Размеры кистомы правого яичника
Рассматриваемое заболевание относится к полимеризирующим патологиям. При этом скорость их роста может быть достаточно существенной. Если своевременно опухоль определена не была, то при появлении явной симптоматики и установлении диагноза – кистома правого яичника – размеры капсулы могут достигать диаметра до 30 см. Такие размеры кистозного образования не могут не влиять на работу соседних органов.
Лечение
Общепринятой тактикой лечения пациенток с кистомой яичников является хирургическое удаление новообразования. Правильность такого утверждения подтверждена многочисленными клиническими исследованиями, которые свидетельствуют о том, что истинные доброкачественные опухоли яичников не излечиваются консервативно и промедление с их удалением может грозить злокачественной трансформацией или другими осложнениями, которые могут иметь серьезные, и даже жизнеугрожающие последствия:
- Перекрут ножки новообразования.
- Разрыв капсулы.
- Истечение содержимого кистомы в брюшную полость или органы малого таза.
Объем операции определяется следующими критериями:
- Возраст пациентки.
- Ее репродуктивный статус.
- Гистотип образования и его размер.
- Одностороннее или двустороннее поражение.
У молодых фертильных пациенток при низком риске малигнизации кистомы возможно выполнение кистэктомии — резекция яичника вместе с опухолью. При наличии неблагоприятного гистологического типа кистомы у молодых пациенток выполняется удаление пораженного яичника. Пациенткам в постменопаузе с высокими и умеренными рисками малигнизации рекомендуют проводить пангистерэктомию — удаление матки с придатками.
Предпочтение отдается лапароскопическому (эндоскопическому) доступу. Он позволяет снизить травматичность, уменьшает риски развития спаек и тромбоэмболии, а также позволяет пациентке скорее восстановиться. При отсутствии условий для проведения такого вида операций, а также при больших размерах новообразования используется лапаротомный доступ.
Первым этапом в проведении операции является визуальный осмотр новообразования и ревизия брюшной полости на предмет наличия подозрительных имплантов. При малейших сомнениях в доброкачественности кистомы проводят срочное цитологическое исследование смывов из брюшной полости и гистологическое исследование биоптата опухоли.
При подозрении на пограничный характер кистомы выполняется удаление пораженного яичника, резекция второго яичника, резекция большого сальника, а также аспирация внутрибрюшной жидкости, смывы со всех этажей брюшной полости и биопсия имплантов.
Возможные осложнения кисты яичника
Несвоевременное лечение может привести к росту кисты и развитию таких осложнений, как:
- Перекрут ножки кисты. Сопровождается нарушением кровообращения, неподвижностью образования, формированием спаек. Полный перекрут опасен развитием некроза, а в дальнейшем перитонита. Данное состояние требует немедленного обращения за медицинской помощью. Заподозрить наличие перекрута ножки кисты можно при появлении артериальной гипотензии, тошноты, рвоты, неустойчивости стула, лихорадки, резких болей внизу живота, которые отдают в ногу или поясницу.
- Внутрибрюшное кровотечение. Возникает при разрыве кисты. Требует немедленного медицинского вмешательства.
- Кровоизлияние в полость кисты.
- Бесплодие.
- Разрыв кисты. Возникает на фоне травм живота, полового акта, гормонального дисбаланса, физических нагрузок. Проявляется выраженной болью внизу живота. При разрыве кисты может наблюдаться запор.
Для того чтобы не допустить развития вышеперечисленных состояний, при появлении первых признаков заболевания рекомендуем обращаться к врачу. При отсутствии жалоб также следует ежегодно проходить профилактический осмотр. Это позволит своевременно определить образование и пройти необходимое лечение.
Диагностика
Определение диагноза возможно уже при первичном осмотре пациента лечащим врачом-гинекологом. В качестве подтверждения или же опровержения подозрений назначается ультразвуковое исследование органов малого таза с дополнительной сдачей анализов на гистологию с целью определения структуры новообразований. Как правило, содержимое опухолей изучается на наличие раковых клеток для подтверждения ее доброкачественности или же злокачественности.
В процессе консультации врач обязательно должен поинтересоваться:
- наличием каких-либо жалоб у самого пациента с уточнением их продолжительности, например, как давно появились боли внизу живота и как часто они повторяются;
- возможными ранее проведенными оперативными вмешательствами и наличием заболеваний, передающихся половым путем;
- характеристиками менструального цикла, в том числе возможными сопутствующими болями самих выделений и их обильностью;
- степенью имеющихся фоновых заболеваний, например, наличием лишнего веса у пациента или нарушений в работе эндокринной системы.

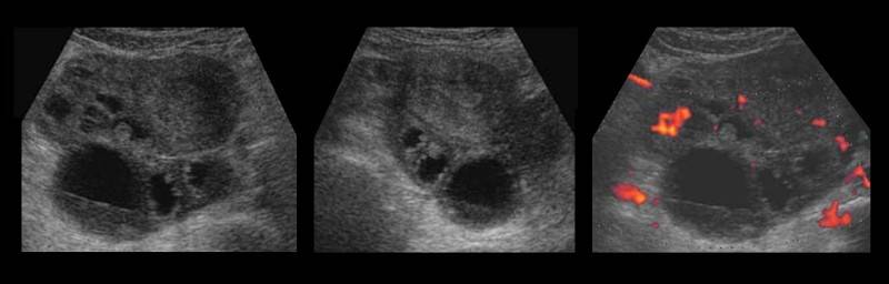
В процессе УЗИ специалист определяет расположение новообразований, а также их характеристику, формы и непосредственные размеры. Чтобы отличить доброкачественную кистому от злокачественной, врачом может проводиться специальное цветовое доплеровсое картирование. С его помощью подтверждается наличие или отсутствие кровотока в новообразовании, чем и отличается характер опухоли.
Дополнительным способом диагностики новообразований в области яичников является лапароскопия, при которой необходим хирургический разрез для получения изображения кистомы, а также ее возможного удаления.
Что являет собой заболевание
Кисты и кистомы яичников являют собой новообразования в эпителиальных тканях органов репродуктивной системы, имеющие доброкачественный характер. Отличие кистомы от кисты – быстрое прогрессирование. Киста развивается медленно, постепенно увеличиваясь в размерах. Они достигают иногда до 15 сантиметров в диаметре. Такое новообразование диагностируется нередко, может развиваться из имеющихся кист.

Кистома – это капсула, внутри которой содержится экссудат. Крепление к тканям яичника происходит за счет ножки.
Возрастная категория, в которой чаще всего появляются кистомы – от 30 до 60 лет. Среди всех пациентов большая часть представительниц прекрасной половины населения находятся в предклимактерическом периоде.
Этиологически разделяют первичное образование – возникает из структур органа, и вторичное – возникает как итог метастаз.
Чем отличается киста от кистомы
Женский организм – это сложная система, которая может целых девять месяцев поддерживать в себе новую жизнь. Но если вдруг она даёт сбой, то даже самые опытные врачи могут схватиться за голову. Сегодня мы рассмотрим, чем отличается киста от кистомы яичника. Оба эти образования достаточно часто встречаются у женщин репродуктивного возраста
Киста и кистома – что это такое?
Киста – это небольшой пузырь, который образуется вследствие задержки жидкости или секрета в одной из полостей. Киста не вызывает гормональный сбой в организме и не провоцирует быстрый рост клеток. Киста не является истинной опухолью яичника.
Кистома – это истинная опухоль яичника, она характеризуется наличием полости, наполненной жидкостью. Она может быть как первичной , так и вторичной . Также кистомы делятся на доброкачественные, малигнизированные и пролиферирующие.
В чём разница между кистой и кистомой?
Кисты яичников чаще всего образуются из созревающих фолликулов. В подавляющем случае они не опасны для организма женщины. Не требуют какого-то специального лечения и сами собой исчезают через несколько менструальных циклов. Кистома отличается от кисты тем, что имеет эпителиальную оболочку и продуцирует собственный секрет, к тому же она способна расти и иногда достигает достаточно внушительных размеров. Оболочка кисты, в свою очередь, состоит из соединительной ткани. Поэтому кисты не растут, а просто растягиваются под напором накапливающейся жидкости. Поэтому обычные кисты бывают небольших размеров, кроме тератомы , которая может достаточно объёмной.
Чаще всего небольшие кисты и кистомы никак себя не проявляют и обнаруживают себя исключительно на плановом осмотре при прохождении УЗИ. Иногда у женщины может наблюдаться тупая боль внизу живота, может быть склонность к запорам или частому мочеиспусканию. При кистомах больших размеров возникает асцит и асиметричное увеличение живота. Киста опасна своими осложнениями, она может разрываться и вызывать кровотечения или перекручиваться.
TheDifference.ru определил, что отличие кисты от кистомы заключается в следующем:
Киста – доброкачественное образование, кистому принято считать потенциально злокачественной из-за способности к инвазиям.
Кисты могут раздвигать и сдавливать окружающие ткани, они не метастазируют в другие органы и ткани. Кистомы прорастают в другие ткани и разрушают их.
Кисты растут медленно за счёт увеличения объёма жидкости, они бывают небольшого размера. Кистомы быстро растут и достигают достаточно больших размеров.
Кисты могут разрываться и перекручиваться, у кистом – это встречается крайне редко.
Воспаление придатков на УЗИ
Воспаление маточных труб сопровождается экссудацией жидкости в просвет — гидросальпинкс. На УЗИ между маткой и нормальным яичником определяется вытянутой формы одно- или многокамерное анэхогенное образование с тонкими стенками. При хроническом сальпингите стенка маточных труб утолщена, по периферии гиперэхогенные мелкие (2-3 мм) структуры по типу «бисера»; в просвете неоднородная взвесь.
Рисунок. Женщина с жалобами на тянущие боли внизу живота, появились нескольких дней. Матка и правый яичник удалены 4 года назад. На УЗИ левый яичник соприкасается с анэхогенной трубчатой структурой с неполными перегородками. Заключение: Гидросальпинкс слева.
Рисунок. На УЗИ между маткой и яичником определяется многокамерная анэхогенная структура, стенки толстые с мелкими гиперэхогенными включениями по типу «бисера», в просвете мелкодисперсная взвесь и уровни. Заключение: Хронический сальпингит.

Кистомы яичника
– серозные и муциноз-ные эпителиальные доброкачественные опухоли. Морфологически различают гладкостенные и папиллярные кистомы. Гладкостенная серозная кистома представляет собой шаровидное одно- или многокамерное образование с тонкими стенками, содержащее светлую опалесцирующую жидкость, выстланное изнутри мерцательным эпителием. Как правило, опухоль односторонняя, небольшая, но встречаются опухоли, масса которых достигает нескольких килограммов. Папиллярная серозная кистома отличается от гладкостенной наличием сосочковых разрастаний на внутренней поверхности, а иногда и снаружи. Нередко поражаются оба яичника, возникают сращения с соседними органами, асцит. Серозные кистомы развиваются чаще в пре-и постменопаузе. Муцинозные кистомы получили свое название из-за слизеподобного содержимого. Опухоли, как правило, многокамерные, имеют дольчатую поверхность за счет выбухающих отдельных камер, могут достигать больших размеров. При папиллярных муцинозных кистомах с разрастанием сосочков на поверхности опухоли нередко возникает асцит. Муцинозные кистомы наблюдаются обычно в возрасте 40-60 лет, папиллярные опухоли – в постменопаузе.
Клинические проявления
доброкачественных эпителиальных опухолей яичников зависят в основном от величины и расположения опухоли. Опухоли даже небольшого размера вызывают чувство тяжести и боли в низу живота. При сдавлении мочевого пузыря и кишечника нарушаются мочеиспускание и дефекация. Для некоторых опухолей характерен асцит. Частое осложнение – перекрут ножки опухоли яичника. Реже наблюдается разрыв капсулы кистомы. Озлока-чествляются наиболее часто серозные палиллярные кистомы, реже муцинозные папиллярные.
кистом яичника устанавливают на основании данных гинекологического, ультразвукового и гистологического исследований. В диагностических центрах применяются специальные исследования с целью дооперационной дифференциальной диагностики доброкачественных и злокачественных опухолей яичника. Лечение кистом оперативное, т. к. независимо от размера опухоли существует опасность малигнизации. Во время операции проводится срочное гистологическое исследование опухолевой ткани. При серозной гладкостенной кистоме у молодых женщин допустимо вылущивание опухоли с оставлением здоровой ткани яичника, в постменопаузе необходима пангистерэктомия – удаление матки ш ее придатков. При серозных папиллярных и муцинозных кистомах пораженный яичник у женщин репродуктивного возраста удаляют, в пост- менопаузе удаляют матку и ее придатки. При перекру-те ножки опухоли яичника или разрыве капсулы опухоли операция проводится в экстренном порядке.
при своевременной операции благоприятный. Женщины, перенесшие операции по поводу серозных папиллярных кистом, должны наблюдаться гинекологом.
Осложнения
Наличие кистомы яичника чревато развитием следующих осложнений:
- трансформация образования в рак яичника и прорастание его в соседние органы;
- нагноение опухоли в случае распространения инфекции с током крови или лимфы из кишечника или хронических очагов инфекции (кариозные зубы, аппендицит, хронический фарингит и прочее);
- перекрут ножки опухоли;
- разрыв кистомы;
- кровоизлияние (апоплексия) в стенку образования.
Нагноение образования сопровождается значительным повышением температуры, признаками интоксикации (тошнота и рвота, отсутствие аппетита, слабость и вялость), усилением болей внизу живота и развитием перитонита (напряжение мышц брюшного пресса, появление симптомов раздражения брюшины, ослабление кишечной перистальтики). В случае разрыва опухоли, кровоизлияния в стенку или перекрута ее ножки возникает резкая боль по типу кинжальной, присоединяются перитонеальные симптомы и/или признаки внутрибрюшного кровотечения и шока (падение кровяного давления, потеря сознания).
Кистома негативно влияет на течение беременности. В ранних сроках велика вероятность самопроизвольного аборта, а в поздних опухоль вызывает нарушение кровотока в системе матка-плацента-плод, что приводит к формированию фетоплацентарной недостаточности и внутриутробной гипоксии плода.




























