Отличия в причинах
Кариес – это патологический процесс, при котором происходит постепенное разрушение твердых зубных тканей, составляющих эмаль и дентин. Под пульпитом понимается воспалительный процесс, затрагивающий сосудистое русло. При таком заболевании поражается пульпа.
Кариес постепенно разрушает твердую ткань зуба, боль возникает в результате температурного воздействия, при употреблении сладкого или кислого.
Пульпит поражает сосудистое русло. Болезнь сопровождается увеличением лимфатических узлов, повышением температуры, головными болями, отечностью щеки.
Развитию кариеса обычно предшествует появление зубного налета. Под ним скапливаются патогенные микроорганизмы, которые развиваются, потребляя сахар. Эти бактерии выделяют кислоту, разрушающую зубную эмаль посредством ее деминерализации. Со временем описанный процесс приводит к формированию кариозной полости.
Стоматолог-хирург, пародонтолог
Тевс Мария Константиновна
Стаж 7 лет
Деминерализация эмали происходит под влиянием:
- наследственности;
- неправильного питания, включающего в себя богатые на сахар продукты;
- несоблюдения гигиены полости рта;
- низкого иммунитета полости рта, ослабленный респираторными и иными заболеваниями;
- возрастных изменений.
Пульпит развивается под воздействием патогенных микроорганизмов, проникших в пульпу. Инфицирование происходит под влиянием следующих факторов:
- кариес (наиболее распространенная причина);
- травма зуба, перелом;
- ошибки врача, совершенные в ходе лечения зуба (некачественная пломбировка и другое);
- стрептококковая ангина;
- воздействие температуры и химических веществ (в редких случаях);
- инъекция в десну.
И кариес, и пульпит развивается под действием патогенной микрофлоры. В остальном причины развития обоих заболеваний различны.
Лечение и профилактика
Профессиональное лечение пульпита в стоматологии подразделяют на два метода:

Основной момент терапии в первом варианте сводится к качественной обработке полости зуба и установлении постоянной пломбы. Для обработки используют антисептики, антибиотики, кортикостероиды, снимающие воспаление, ферменты и витамины. Это более щадящий метод, что особенно актуально для детских и женских зубов при беременности.
Одним из эффективных препаратов для лечения воспаления пульпы является димексид. Он оказывает местноанестезирующее и противомикробное действие. Согласно инструкции по применению аппликации с димексидом нужно делать 2-3 раза в день. Салфетка с димексидом прикладывается к пораженному участку на 10-30 минут по рекомендации врача.
Среди других препаратов, актуальных при борьбе с пульпитом:
- хлоргексидин;
- кеторол;
- ибуклин;
- индометацин;
- вольтарен;
- этодолак;
- мелоксикам;
- лорноксикам;
- нимесулид;
- набуметон;
- целебрекс;
- виокс;
- теноксикам;
- мирамистин и др.
В любом случае применение медикаментов разрешено после консультации с врачом. Что касается профилактики пульпита, она сводится к:
- своевременной терапии кариеса и пломбированию дырок;
- посещению стоматолога 2 раза в год;
- правильному питанию, включающему витамины, кальций, и минимум углеводов;
- употреблению фторированной воды, которая укрепляет эмаль;
- уходу за ротовой полостью, включающему чистку зубов, зубную нить и полоскание.
Кариес и пульпит – разновидности заболеваний зубов . Они во многом отличаются
друг от друга и во многом схожи. Часто кариес заканчивается именно пульпитом.
Поэтому пульпит по праву считается типичным осложнением кариеса.
Переход кариеса в пульпит происходит примерно так: в зубе образуется небольшая
кариозная полость. Если лечения нет, то
кариес продолжает разрушение зуба и
достигает своей завершающей стадии –
глубокого кариеса . При котором между
полостью и нервом остается тончайшая стеночка. Нерв при этом еще не поврежден,
хотя и реагирует уже не совсем адекватно. Если кариес не пролечен, то нерв
возмущается такой халатностью своего владельца и вовлекается в воспаление. Так
кариес перерастает в пульпит .
Проявления кариеса и пульпита
Иногда глубокий кариес и пульпит – очень похожи друг на друга и четкая грань
между ними достаточно условна. Если при глубоком кариесе, в нерве есть начальные
признаки воспаления, то они могут полностью уйти после его
лечения . То есть эти
изменения обратимы. Если же обратной дороги нет, то
пульпит будет… Однозначно.
Кариес или пульпит Что делать?
Если же Вы живете рядом со стоматологом, и хотите сохранить зуб от его
посягательств, то для начала можно положить в полость лекарство, которое
успокоит нерв. Чтобы оное не вымылось слюной, его закрывают временной пломбой. И
по пришествию нескольких недель, если все хорошо, можно водружать постоянную
пломбу – значит нерв утихомирился Но… бывают иногда нюансы, точнее появление
пульпита. Даже если все было хорошо и замечательно. Иногда через пол года,
иногда через несколько лет. Это иногда – приблизительно в 5-10% случаях
наиглубочайшего кариеса. Когда пульпит замаскировался на какое то время, а потом
проявляет себя во всей красе.
Поэтому что делать если есть сомнения –
Каждый зуб надёжно защищён от внешних воздействий одной из самых прочных тканей человеческого организма
— эмалью
.
Но под воздействием микроорганизмов она может разрушаться
, и тогда возникает кариозное поражение тканей зуба.
Но если на этом этапе не начать лечение, то может начаться воспаление более глубоких тканей
— пульпит.
Сравнение
Таким образом, отличие кариеса от пульпита состоит в том, какую часть зуба поражает каждый из них. Кариес затрагивает только стенки зуба. Процесс начинается с появления на эмали небольшой полости. Нерву еще ничего не угрожает, ведь между ним и полостью находится слой твердого вещества. Но уже на этом этапе следует насторожиться и обратиться к стоматологу.
Если ничего не предпринимать, кариозное поражение будет приобретать все большие размеры, пока до нерва не останется лишь тонкая стенка. Когда же разрушится и она, процесс перейдет в стадию пульпита. А это уже совсем другое состояние: очень болезненное и требующее сложного лечения, поскольку поражается самая чувствительная часть зуба. Очень часто у пациента с таким диагнозом удаляют нерв.
Остановимся подробней на ощущениях человека, страдающего кариесом или пульпитом. Так, при кариесе боль обычно возникает только при внешнем воздействии. Раздражителями в этом случае могут стать холодная вода или холодный вдыхаемый воздух, кислая пища, сладости. При глубоком кариесе, когда дно образовавшейся полости истончено, боль можно почувствовать во время еды – причиной неприятных ощущений является сдавливание пульпы в процессе разжевывания пищи.
Однако в случае кариеса достаточно устранить раздражитель, чтобы боль моментально прошла. Иное дело пульпит. При нем зуб даже после удаления раздражителя долго ноет. Мало того, в отличие от кариеса, болевые приступы при пульпите нередко начинаются без какого-либо внешнего воздействия, самопроизвольно.
Понять, в чем разница между кариесом и пульпитом, можно, и проанализировав самочувствие человека во время ночного сна. Кариес отдых не нарушает. Но если больной зуб находится в стадии пульпита, человеку часто приходится терпеть ночную боль.
Возможно, будет полезно почитать:
- Патриарх кирилл запретил актеру и священнику ивану охлобыстину служить в церкви Охлобыстин церковный сан ;
- Иван охлобыстин – биография, информация, личная жизнь Почему охлобыстин ушел из священников ;
- Ужин для ребенка 4 лет рецепты меню ;
- Принципы функционирования бюджетной системы РФ ;
- Особенности размещения населения на территории земли Население земли размещается равномерно средняя плотность населения ;
- Тонька-пулеметчица — cтрашная судьба страшного человека Фильм палач тонька пулеметчица реальная история ;
- Как поздравить начальницу с юбилеем? ;
- Российские студенты выиграли чемпионат мира по программированию Вот они, герои ;
Кариес и пульпит – подробнее
Нервно-сосудистый пучок зуба, пульпа находится внутри зуба, в нижней части коронки и корневых каналах. Простыми словами, это зубной нерв, его сердце, обеспечивающее жизнеспособность. Именно пульпа позволяет чувствовать температуру и механическое воздействие.Также она препятствует попаданию инфекции в корневую часть зуба. Пульпа очень чувствительна, и сама она может легко пострадать от воздействия патогенных микроорганизмов, что чаще всего происходит на фоне запущенного кариеса.

Особенности развития кариеса
Кариозные поражения зубов – это очень серьезная проблема, которую многие считают не стоящей внимания. Кариес развивается очень медленно, сначала совсем не вызывает никаких неприятных ощущений. В итоге многие удивляются, почему приходится удалять зуб или проводить сложное и болезненное хирургическое лечение надкостницы и кости, не улавливая связи с незначительным тёмным пятнышком на зубе, которое появилось несколько лет назад.
Интересный факт! С момента появления на эмали белого пятна до развития глубокого кариеса проходит от 1 до 4 лет. При этом поражение корневых каналов происходит в 2 раза быстрее. Медленнее развивается только пародонтоз, дегенеративно-дистрофическое заболевание тканей, которые окружают зубы. Он может продолжаться около 15 лет без каких-либо симптомов.
При этом и кариес и пародонтоз одинаково опасны для здоровья зубного ряда. В первом случае зубы разрушаются и их приходится удалять, во втором случае происходит их расшатывание и выпадение, но при этом они могут оставаться полностью здоровыми.
Что приводит к развитию пульпита?
Зная основные причины воспаления пульпы, его можно избежать.
Чаще всего развитие пульпита провоцируют:
1. Запущенный, глубокий кариес.
2. Заболевания тканей периодонта и пародонта.
3. Нарушение целостности коронки, трещины, сколы, переломы.
4. Травма челюсти.
5. Разные очаги инфекции в организме, когда поражение пульпы происходит гематогенным путем.
6. Ошибки стоматолога в процессе лечения кариеса.
7. Некачественная и неправильная подготовка к протезированию, ошибки в процессе препарирования зуба под коронку.
Справка! Пульпит может поражать и молочные и коренные зубы. В первом случае заболевание развивается очень быстро, что обусловлено особенностями молочных коронок. Ткани намного тоньше, поэтому патогенные микроорганизмы распространяются намного быстрее.
Что делать пациенту?
Понять, что произошло воспаление зубного нерва совсем несложно. Сильная боль – это основной симптом заболевания. Во многих случаях он единственный. Поэтому при появлении денталгии нужно сразу отправляться к стоматологу. На самой ранней стадии пульпита ещё можно сохранить пульпу, а значит и жизнеспособность зуба. Без нервно-сосудистого пучка он становится безжизненным, легко повреждается, темнеет. Такие зубы быстрее повреждаются и выпадают.
Читайте так же:
Сопутствующими симптомами пульпита могут быть неприятный запах, отёк десны, ощущение пульсации, общее недомогание с повышением температуры.
Как болит зуб при пульпите?
Какая боль возникает, если проблема такого рода волнует? При данной болезни у пациента появляются частые болевые ощущения, которые затрудняют жизнь пациента.
Дискомфорт может начинаться и ночью.
Боль будет сильная, иногда даже пульсирующая, и связывают это с тем, что происходит поражение самой чувствительной части зуба.
Начальная стадия не сопровождается выраженной симптоматикой.
Возникает кратковременная боль, которая быстро проходит.
При остром пульпите присутствуют постоянные болевые ощущения острого характера. Дискомфорт появляется из-за воздействия каких-нибудь раздражителей.
Лазер против бормашины — #ВГолливудСУлыбкой
Если убрать действие на больной участок, то она постепенно проходит. При постоянном раздражении пульпы интенсивного характера, там происходят необратимые изменения.
Во время острой формы могут возникать такие болевые ощущения, как: острые, тупые, пульсирующие, постоянные, локализированные или распределенные, продолжительные и не очень.
При гнойном пульпите, являющийся основным осложнением острого, бывает резкая нестерпимая боль, иногда рвущая, пульсирующая и постепенно усиливающая к ночи. Она может отдавать в висок, ухо или глаз.
Холодная вода может облегчить общее состояние.
При хроническом пульпите появляются болевые приступы, если оказывается какое-либо влияние на больной участок. Если убрать раздражитель дискомфорт постепенно исчезает.
На данной стадии может появиться внезапная боль, пульсирующего и тупого типа.
От внешних раздражителей состояние только будет ухудшаться. Но может и не возникать, если пульпа недоступна для раздражителя.
Сколько болит зуб при пульпите?
Боль есть постоянно, будет даже беспокоить пациента после удаления заболевшего зуба еще некоторое время.
Если не предпринять никаких мер, то воспалительный процес будет усиливаться и приводит к плохим результатам и значительным осложнениям.
Лечение будет проводиться в комплексе, после щепетильного осмотра ротовой полости. если после пройденного курса состояние не стабилизируется пациенту проводят убирание нерва. Самостоятельная терапия должна быть полностью исключена, так как это может только на порядок выше ухудшить ситуации и общее самочувствие пациента.
Методы лечения
Лечение кариеса и пульпита проводится также определенными методами, имеющими существенную разницу. Это связано с тем, что первое заболевание не сопровождается таким глубоким разрушением зубных тканей, как пульпит.
Лечение пульпита
Устранение стоматологической проблемы такого вида проводится 2 способами:
Витальный. Заключается в удалении участков и сохранении жизнеспособности пульпы.
Проводится процедура следующим образом:
- в область десны вводят местный анестетик, позволяющий предупредить возникновение болевых ощущений;
- примерно через 10-15 мин. осуществляют вскрытие пульповой камеры;
- с помощью файла проводят очистку корневых каналов от пораженных тканей, а также их расширение до необходимых размеров путем поочередного вкручивания инструментов различной длины;
- после этого осуществляют антисептическую обработку каналов;
- в полость закладывается прокладка, пропитанная противовоспалительным средством;
- по истечении 2 суток врач вторично очищает каналы и конусовидным бором рассверливает отверстие для проведения пломбировки;
- на следующем приеме устанавливается постоянная пломба, осуществляется ее шлифовка и полировка.
Такой способ лечения отличается от предыдущего тем, что на первом приеме стоматолог закладывает в полость обработанного канала специальную пасту, обеспечивающую гибель пульпы. Она может быть как на основе мышьяка, так и без него. Зуб закрывается временной пломбой на 7 дней.
На втором приеме врач удалит установленную пломбу, проведет повторную чистку каналов, удалит пульпу, запломбирует каналы и установит на зуб постоянную пломбу.
Пациенты предпочитаю первый способ лечения, который сохранит жизнеспособность пораженного элемента, но в случаях прогресса патологии используется только девитальный метод.
Лечение кариеса
В зависимости от диагностируемой стадии заболевания существуют следующие методы лечения:
- На начальных стадиях стоматолог предлагает провести реминерализацию или фторирование эмали.
- При поверхностной стадии можно воспользоваться малоинвазивными методами лечения:
- применение лазера;
- озонотерапия;
- инфильтрационный метод (Icon);
- воздушно-кинетическая обработка.
Такие методы позволяют отказаться от использования бормашины, что очень удобно при лечении детей, потому что процедура не оставит в их памяти чувство страха перед визитом к стоматологу. Единственным их минусом является высокая цена.
Пломбировка проводится для предупреждения распространения патологического процесса на близлежащие участки.
Процедура включает следующие этапы:
- очищение поверхности поврежденного элемента от зубных отложений (налет или камни) механическим или ультразвуковым способом;
- подбирается материал пломбы, соответствующий цвету эмали здоровых зубов;
- при необходимости делают укол анестетика в десну;
- проводят препарирование кариозного элемента бормашиной с целью удаления поврежденных тканей;
- установка коффердама осуществляется для изолирования рабочей зоны от слюны, что повысит качество последующей установки пломбы. В обычных стоматологических клиниках для этой цели используются ватные шарики, закладываемые вокруг пораженного элемента;
- полость зуба обрабатывается антисептиком и ортофосфорной кислотой, которая улучшает связь между тканями зуба и пломбировочным материалом;
- твердые ткани элемента обрабатывают адгезивом, что позволяет обеспечить фиксацию пломбы;
- полость зуба заполняется пломбировочным материалом;
- проводится шлифовка пломбы с целью устранения неровностей и полировка.
Отличия в лечении заболеваний
Лечение кариеса требует меньших материальных и временных затрат, ведь патологический процесс в этом случае не затрагивает нерв зуба. На начальных стадиях можно воспользоваться народными рецептами на основе лекарственных трав, которые помогут укрепить эмаль и снять симптомы воспаления.
Стоимость лечения при пульпите также будет гораздо выше, потому что будет включать проведение дополнительной процедуры по удалению нерва.
Испытываете ли волнение перед визитом к стоматологу?
Да
Нет
Профилактика
Гигиена полости рта. Необходимо правильно чистить зубы (движения при чистке должны как бы «выметать» остатки пищи и загрязнения
Важно! Для полноценной гигиены полости рта необходимо использовать не только зубную пасту и подходящую щетку, но и зубную нить, которая позволяет очистить межзубное пространство, недоступной для щетки, а также ополаскиватель полости рта для более качественного удаления бактерий;
Правильный рацион. Сладкие продукты питания – благоприятная питательная среда, способствующая размножению патогенной микрофлоры, бактерий, которые способствуют разрушению зубной эмали и более глубоких слоев
Для предотвращения развития глубокого кариеса необходимо ограничить потребление сладостей, а вот овощи и фрукты должны присутствовать в ежедневном меню в достаточном количестве;
Регулярное посещение врача стоматолога для профилактики. Врач во время осмотра определить наличие кариеса на ранней стадии его развития. Соответственно, устранение проблемы будет более простым и недорогим.
Глубокий кариес – заболевание, которое поражает не только зубную эмаль, но и более глубокие слои дентина. Патологию можно заметить невооруженным взглядом
, недуг проявляется определенным набором характерных признаков.
Разрушительные процессы, поражающие зуб, имеют необратимый характер, и при отсутствии лечения возможно развитие более серьезных заболеваний полости рта, таких как, например, пульпит.
Как отличить кариес?
Кариесом называют патологическое состояние
зубной эмали, при котором происходит её размягчение
. Непосредственной причиной является потеря минеральных соединений, содержащих кальций
.

Фото 1. Стадии развития кариеса зубов (слева направо): поражение эмали, дентина, пульпит, периодонтит.
Ответственность за это несут микроорганизмы
, которые выделяют органические кислоты, способные вступить в реакцию с гидроксиапатитом. Поскольку именно это соединение кальция придаёт твёрдость внешней оболочке зуба
, их разрушение неизбежно приводит к истончению защитного слоя, а затем, при углублении процесса, и к появлению каверны.
В зависимости от степени разрушения эмали выделяют несколько видов
кариеса:
- стадия пятна;
- поверхностный;
- средний;
- глубокий.
Обычно развитие происходит постепенно
: пятно на эмали переходит в поверхностное разрушение, затем обнажается более мягкий дентин, и кариес прогрессирует быстрее.
Что отличает пульпит от кариеса?
Конечно, разобраться в отличиях заболевания достаточно сложно, в данном случае обязательно врачами проводится осмотр, и определяются причины появления болевых ощущений. Только после этого определяются методы и схемы устранения патологий. Рассмотрим некоторые моменты:
Этиология. Начинается развитие кариоза с деминерализации зубной эмали, это происходит по причине негативного воздействия бактерий, на поверхность эмали постепенно убивая минералы необходимые для здоровья зубов. В результате структура эмали становится пористой, уязвимой перед действием болезнетворных бактерий. На первой стадии подобные поражения практически не видны, они выражаются в едва заметных на зубе пятнах, отсутствие блеска. Постепенно проблема проникает глубже и начинается развитие заболевания, которое проходит в течение нескольких лет, будут затрагиваться только твердые ткани.
Что касается пульпита, то это одно из осложнений кариеса. Он при проникновении вглубь начинает затрагивать пульпу, в которой сосредотачиваются нервные окончания. Следует учесть, что существует несколько разновидностей пульпита, например, травматический, в этом случае заболевание протекает стремительно, в случае если имеется физическое повреждение зуба или были проведены некачественные стоматологические манипуляции.
- Клиническая картина. Кариес всегда сопровождается болью, которая появляется в результате действия раздражителей мгновенно, но и уходит она быстро при устранении раздражителя. Пульпит сопровождается продолжительной и ноющей болью, которая может продолжаться часами. Особенно часто она может появляться в вечернее время и ночью, иррадиировать может в ухо или височную область. При запущенной форме помочь справиться с такой болью не способны даже обезболивающие препараты.
- Лечение. При начальной стадии кариеса устранить заболевание помогут фторирование или ремотерапия, при которых проводится процесс обогащения минералами, в результате протекание процесса деминерализации полностью прекращается. В случае если кариес запущен, имеется кариозная полость, то проводится очистка с последующим пломбированием. При пульпите проводится раскрытие каналов с удалением или сохранением пульты, проводится лечение с последующим пломбированием. Если не предоставляется возможность установки пломбы, то рассматриваются иные методы восстановления зуба, например, устанавливается на специальный штифт искусственная коронка.
Пульпит
Чтоб понять, чем отличается пульпит от кариеса надо выяснить что собой представляет воспаление сосудисто-нервного пучка зуба. Это заболевание принято считать осложнением кариеса.
Пульпит нижнего коренного зуба
В некоторых случаях бывает пульпит без кариеса.
Такое воспаление сосудисто-нервного пучка происходит по следующим причинам:
- травматическое повреждение зуба или корня (перелом, вывих);
- перегревание зуба во время подготовки зуба к протезированию;
- чрезмерная стертость зубов.
Клинические симптомы пульпита
Первоначально пульпит проявляется приступами интенсивной боли, которая беспокоит пациента в ночное время. Болевые ощущения усиливаются во время приема холодной воды или сладких продуктов.
Боль при этом на имеет четкой локализации, она может распространяться на ухо, горла, зубы противоположной стороны, лоб или затылок. В результате больной затрудняется указать на причинный зуб.
Острая боль при пульпите
Диагностика пульпита
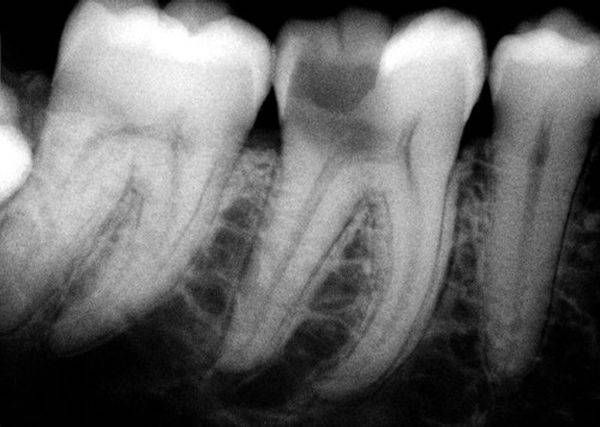
Обследование пациента с признаками воспаления сосудисто-нервного пучка осуществляется по такому плану:
| Метод исследования | Результаты обследования |
| Сбор анамнеза болезни | |
| Осмотр ротовой полости | |
| Зондирование зуба | |
| Перкуссия причинного зуба | |
| Термометрия | |
| Электроодонтометрия | |
| Рентгенография | |
Методы лечения пульпита
Кариес и пульпит имеют существенные отличия в лечении.
Терапия пульпитного поражения заключается в таком порядке:
- Механическая обработка кариозной полости. Врач с помощью бора и бормашины удаляет все пигментированные и нежизнеспособные ткани зуба. Таким образом, стоматолог также открывает доступ к пульпарной камере.
- Удаление сосудисто-нервного пучка. Извлечение пульпы из зуба возможно двумя способами. В первом варианте врач под анестезией удаляет нерв, а во втором случае пациенту предварительно устанавливают мышьяк или девитализующую пасту.
- Механическая и медикаментозная обработка корневых каналов. На данном этапе лечебные мероприятия направлены на расширение корневых каналов и формирование их конусной формы.
- Пломбирование корневых каналов. Лечение пульпита завершается реставрацией кариозного дефекта, что позволяет восстановить эстетический вид и жевательную функцию зубов.
Стадии кариеса –
Принято выделять 4 последовательные стадии кариеса:
Поверхностная форма кариес
а
(рис.2) –
образуется дефект в пределах слоя эмали, без поражения лежащего под эмалью дентина
Обратите внимание, что на рис.1 кариозный очаг в виде темного пятна не выходит за пределы эмалево-дентинной границы
Осложнения кариеса –
Если глубокая форма кариеса вовремя не лечится, то инфекция проникает в пульпу зуба. В этом случае развивается воспаление нерва в зубе, которое называют . Если в свою очередь пульпит своевременно не лечится, то воспаление выходит уже за границы зуба – в ткани, окружающие верхушки корней больного зуба. На верхушках корней в этом случае появляются гранулемы или кисты (гнойные мешочки). Такое заболевание называют .

Отличительные симптомы
Как можно достоверно отличить кариес с пульпитом? По признакам эти патологии схожи, отличаясь только некоторыми параметрами. Похожими являются следующие параметры:
- боль в месте поражения,
- реакция на появление раздражителя: температурного, механического либо химического,
- появление потемнения на эмали.
Чем же отличаются кардинально кариес с пульпитом? Различаются эти патологии такими параметрами:
- Кариозная боль выражена слабо, носит ноющий характер. При пульпите этот синдром острый, происходит приступами, существенно усиливается ночью.
- При кариесе, если устранить провоцирующий фактор, синдром проходит быстро. В ситуации с пульпитом, когда воспален нерв – дискомфорт ощущается минимум полчаса.
- Неприятные кариозные ощущения локализуются в месте повреждения эмали. Когда поражена же пульпа, синдром боли блуждающий, он возникает, где угодно.
В отношении малышей пульпит оказывает непредсказуемые симптомы, способен осложняться, выявляя признаки общего отравления.
Зубная боль
Подробнее рассмотрим, как отличить состояние пульпита от проблемы кариеса по болезненным ощущениям. При последней патологии дискомфорт возникает лишь из-за внешнего воздействия. Его провоцируют сладости, кислые продукты, воздух либо вода разных температур. При глубоком проникновении проблемы, когда полостное дно слишком истончено, дискомфорт ощутим при трапезах – причиной его становится сдавливание пульпы в момент разжевывания еды.

Но главное отличие кариеса, в противовес пульпиту – при первой проблеме достаточно устранить причину раздражения и боль моментально утихнет. А вот с пульпитом дело серьезнее. При таком заболевании даже устранение причины раздражения не купирует боль – зуб еще долго ноет. Причем болевой синдром нередко стартует самопроизвольно, даже при отсутствии внешнего воздействия.
Как определить еще, кариес у больного или пульпит? Понять разницу в патологиях можно, если проанализировать ночное самочувствие. Кариес не мешает спать, а когда больной зуб уже перешел в фазу пульпита, пациент нередко страдает из-за ночных болей.
Цвет эмали
Для обеих патологий характерно появление на зубной поверхности характерной пигментации, которая при инструментальном осмотре выявляет в этой зоне определенное размягчение эмали. Нередко уже на фазе поверхностного кариеса вовлечены все эмалевые слои в этот разрушительный процесс. Хотя обычно дефект при кариесе ограничен, он не покидает границ эмалевого слоя.
Кариозное поражение отличается коричневым либо серым пятном, у которого дно шероховатое. В ситуации с хроническим кариесом заметны пигментация, определенное уплотнение участков поражения, края их сглажены.
Как определить болезнь в клинике
Различить точно все имеющиеся отличия способен лишь стоматолог, который для этого использует различные диагностические методики. Выявить кариес получается даже при визуальном осмотре зубного ряда стоматологическим зеркалом либо различными зондами.

Также дантист использует просвечивание больного зуба ультрафиолетовым лучом, лазером либо холодным светом. Прекрасно себя зарекомендовал метод окрашивания – так выполняют проверку тканей на присутствие кариозных поражений. Используют кариес-индикаторы, наиболее распространенными из которых являются детекторы Caries Marker либо индикатор Evicarie.
Чтобы диагностировать же пульпит, необходимы иные методики исследования. В их числе электроодонтометрия, позволяющая выявить порога чувствительности к электрическому импульсу у пульпы. Принцип действия этого способа основан на том, что нервные окончания раздражают слабым током. Еще рекомендована термометрия – так именуют диагностические мероприятия, при которых проверяют, как реагирует зуб на соприкосновение с водой разной степени охлаждения либо нагрева. При пульпите возникшая боль сохраняется продолжительное время, невзирая на устранение влияния этого фактора.
Что такое пульпит, причины его возникновения
Пульпитом называется воспалительная реакция зубного нерва (пульпы). На ее возникновения влияют всевозможные раздражающие факторы как внешние, так и внутренние. Пульпа представляет собой мягкую ткань, которая окружена огромным количеством сосудов и нервных окончаний. Именно нервные клетки провоцируют сильнейшую зубную боль.
Заболевания кариес и пульпит связаны между собой тонкой нитью. Одной из самых распространенных причин воспаления пульпы является:
- Кариозное поражение зуба. Отсутствие своевременной терапии провоцирует разрушение эмали, проникновение бактерий в самую глубь тканевых соединений. В итоге пульпа воспаляется, образуя пульпит зуба.
- Некачественная терапия. Пульпит может развиться, если стоматолог провел недостаточную очистку зуба перед пломбированием, неправильно обточил или допустил ошибку в момент оперативного вмешательства.
- Травма. Целостность эмали нарушается не только при наличии кариеса, но и в результате различных повреждений. Травматический ушиб открывает беспрепятственный доступ бактерий к здоровым тканям челюсти. Буквально через несколько часов наблюдается активное инфицирование и образование пульпита.
Лечение пульпита
В борьбе с пульпитом стоматологи применяют несколько способов лечения, а конкретнее пять. Рассмотрим каждый по отдельности, определив достоинства и недостатки:
Биологический. Вскрытие полости зуба не происходит, медикамент прикладывается ко дну кариозной полости. Данный метод обеспечивает жизнеспособность зуба, не нарушает его функций, противостоит развитию нового кариозного рецидива. Положительный результат не наступит, если заболевание протекает в запущенной форме.
Витальная ампутация. Препарируется кариозная полость, удаляется часть пульпы, но корневая зона сохраняется. К преимуществам данного лечения относится предотвращение возможного инфицирования периодонта. Недостаток: дальнейший распад требует повторной терапии.
Витальная экстирпация. В этой ситуации доктор удаляет полностью всю пульпу, затем пломбирует корневые каналы. Данный способ терапии требует прохождения рентген снимка
Очень важно, чтобы не было искривления или разветвления корневых каналов.
Девитальная ампутация применяется в отдельных случаях при непереносимости пациентом анестезии. Пульпа удаляется частично с последующей мумификацией тканей
Лечебные мероприятия отличаются своей простотой. К минусам относится возможность дальнейшего распада пульпы.
Девитальная экстирпация. Производится удаление нерва с помощью мышьяка или иного средства. После этого в каналы накладывается пломбировочный материал, который предотвратит повторное возникновение рецидива. К достоинствам метода относится полное отсутствие анестезии, несложная обработка корневого канала, за счет обескровленной, извлеченной пульпы.
Пульпит сложнейшее заболевание всего зуба, которое требует немедленного вмешательства опытного специалиста.
Своевременное и правильное лечение поспособствует долговечности и здоровью всей ротовой полости.
Причины
Причиной обоих недугов являются патогенные микроорганизмы. Первоочередную роль в кариесогенной ситуации отводят стрептококкам. Они составляют основу мягкого и твердого зубного налета.
На развитие кариеса влияет:
- неудовлетворительная гигиена полости рта (обильный налет и камень);
- генетическая предрасположенность к патологии;
- соматические заболевания, за счет которых снижается резистентность эмали и дентина;
- неполноценная диета с дефицитом белков и преобладанием углеводов;
- отсутствие в слюне достаточного количества кальция, фтора и фосфора;
- употребление кислой пищи.
Кроме инфекционного агента воспаление пульпы способны вызвать:
- травмы (механические, термические, химические);
- гиперчувствительность к медикаментам (антибиотикам, цинкоксид-эвгеноловой пасте);
- обменные нарушения в пульпе, в ходе которых образовываются дентикли и петрификаты.
Внимание! Плотные образования в пульпе наподобие дентиклей сдавливают и раздражают ее сосуды, провоцируя отек. Ускорить развитие пульпита способны следующие проблемы со здоровьем:
Ускорить развитие пульпита способны следующие проблемы со здоровьем:
- гиповитаминоз либо авитаминоз С;
- гипертоническая болезнь;
- атеросклероз;
- лучевое поражение;
- лейкоз;
- сахарный диабет;
- туберкулез;
- холера.




















Пациент жалуется на приступы интенсивной ночной боли
Во время осмотра врач определяет больной зуб
Стоматолог выявляет локализацию и размер кариозной полости
Постукивание по зубу не вызывает боли
Промывание зуба провоцирует приступ боли
При пульпите показатели электроодонтометрии находятся в пределах 15-90 мкА
Рентгенографический снимок пульпитного зуба






